JavaScript is disabled in your browser. Please enable JavaScript to view this website.
AB324817

Anti-Lubricin/MSF antibody [EPR27164-57] - BSA and Azide free

Be the first to review this product! Submit a review

|

(0 Publication)

Rabbit Recombinant Monoclonal Lubricin/MSF antibody. Carrier free. Suitable for WB and reacts with Human samples.

View Alternative Names

MSF, SZP, PRG4, Proteoglycan 4, Lubricin, Megakaryocyte-stimulating factor, Superficial zone proteoglycan

1 Images
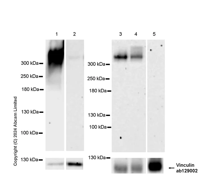
Western blot - Anti-Lubricin/MSF antibody [EPR27164-57] - BSA and Azide free (AB324817)
  • WB

Supplier Data

Western blot - Anti-Lubricin/MSF antibody [EPR27164-57] - BSA and Azide free (AB324817)

This data was developed using ab322552, the same antibody clone in a different buffer formulation.

Blocking and diluting buffer and concentration : 5% NFDM/TBST.

Low expression : cerebellum, placenta (PMID : 10545950).

The expression profile/ molecular weight observed is consistent with what has been described in the literature (PMID : 10545950, PMID : 25187573, PMID : 25642942).

In Western blot, Anti-Vinculin antibody [EPR8185] (ab129002) staining at 1/10000 dilution.

Exposure time : Lane 1 : 26 seconds, lanes 2-5 : 180 seconds

All lanes:

Western blot - Anti-Lubricin/MSF antibody [EPR27164-57] (<a href='/en-us/products/primary-antibodies/lubricin-msf-antibody-epr27164-57-ab322552'>ab322552</a>) at 1/1000 dilution

Lane 1:

Human synovial fluid lysate  at 10 µL

Lane 2:

Human cerebellum tissues lysate at 20 µg

Lane 3:

Human liver cancer tissues lysate at 20 µg

Lane 4:

Human liver tissues lysate at 20 µg

Lane 5:

Human placenta tissues lysate at 20 µg

Secondary

All lanes:

Goat Anti-Rabbit IgG (HRP) with minimal cross-reactivity with human IgG at 1/2000 dilution

Observed band size: 300-460 kDa,124 kDa

false

Key facts

Host species

Rabbit

Clonality

Monoclonal

Clone number

EPR27164-57

Isotype

IgG

Carrier free

Yes

Reacts with

Human

Applications

WB

applications

Immunogen

The exact immunogen used to generate this antibody is proprietary information.

Reactivity data

{ "title": "Reactivity Data", "filters": { "stats": ["", "Species", "Dilution Info", "Notes"], "tabs": { "all-applications": {"fullname" : "All Applications", "shortname": "All Applications"}, "IHCP" : {"fullname" : "Immunohistochemistry (Formalin/PFA-fixed paraffin-embedded sections)", "shortname":"IHC-P"}, "WB" : {"fullname" : "Western blot", "shortname":"WB"} }, "product-promise": { "all": "all", "testedAndGuaranteed": "tested", "guaranteed": "expected", "predicted": "predicted", "notRecommended": "not-recommended" } }, "values": { "Human": { "IHCP-species-checked": "notRecommended", "IHCP-species-dilution-info": "", "IHCP-species-notes": "<p></p>", "WB-species-checked": "testedAndGuaranteed", "WB-species-dilution-info": "", "WB-species-notes": "<p></p>" }, "Mouse": { "IHCP-species-checked": "notRecommended", "IHCP-species-dilution-info": "", "IHCP-species-notes": "<p></p>", "WB-species-checked": "notRecommended", "WB-species-dilution-info": "", "WB-species-notes": "<p></p>" } } }

Product details

ab324817 is the carrier-free version of ab322552.

Patented technology
Our RabMAb® technology is a patented hybridoma-based technology for making rabbit monoclonal antibodies. For details on our patents, please refer to RabMAb® patents.

What are the advantages of a recombinant monoclonal antibody?
This product is a recombinant monoclonal antibody, which offers several advantages including:

  • - High batch-to-batch consistency and reproducibility
  • - Improved sensitivity and specificity
  • - Long-term security of supply
  • - Animal-free batch production

For more information, read more on recombinant antibodies.

Conjugation ready
Our carrier-free antibodies are typically supplied in a PBS-only formulation, purified and free of BSA, sodium azide and glycerol. This conjugation-ready format is designed for use with fluorochromes, metal isotopes, oligonucleotides, and enzymes, which makes them ideal for antibody labelling, functional and cell-based assays, flow-based assays (e.g. mass cytometry) and Multiplex Imaging applications.

Use our conjugation kits for antibody conjugates that are ready-to-use in as little as 20 minutes with 1 minute hands-on-time and 100% antibody recovery: available for fluorescent dyes, HRP, biotin and gold.

Compatibility
This product is compatible with the Maxpar® Antibody Labeling Kit from Fluidigm, without the need for antibody preparation. Maxpar® is a trademark of Fluidigm Canada Inc.

Properties and storage information

Form
Liquid
Purification technique
Affinity purification Protein A
Storage buffer
pH: 7.2 - 7.4 Constituents: PBS
Shipped at conditions
Blue Ice
Appropriate short-term storage conditions
+4°C
Appropriate long-term storage conditions
+4°C

Product protocols

For this product, it's our understanding that no specific protocols are required. You can visit:

Target data

Plays a role in boundary lubrication within articulating joints. Prevents protein deposition onto cartilage from synovial fluid by controlling adhesion-dependent synovial growth and inhibiting the adhesion of synovial cells to the cartilage surface.. Isoform F plays a role as a growth factor acting on the primitive cells of both hematopoietic and endothelial cell lineages.
See full target information PRG4

Product promise

We are committed to supporting your work with high-quality reagents, and we're here for you every step of the way. In the unlikely event that one of our products does not perform as expected, you're protected by our Product Promise.
For full details, please see our Terms & Conditions

Please note: All products are 'FOR RESEARCH USE ONLY. NOT FOR USE IN DIAGNOSTIC OR THERAPEUTIC PROCEDURES'.

For licensing inquiries, please contact partnerships@abcam.com