JavaScript is disabled in your browser. Please enable JavaScript to view this website.
AB198974

Anti-Lumican antibody [EPR8898(2)] - BSA and Azide free

3

(2 Reviews)

|

(2 Publications)

Rabbit Recombinant Monoclonal Lumican antibody. Carrier free. Suitable for IHC-P, WB, ICC/IF, Flow Cyt (Intra) and reacts with Human samples. Cited in 2 publications.

View Alternative Names

LDC, SLRR2D, LUM, Lumican, Keratan sulfate proteoglycan lumican, KSPG lumican

5 Images
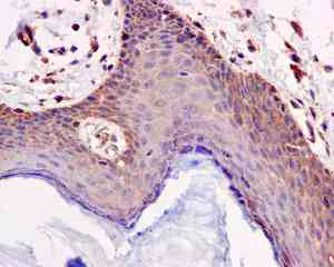
Immunohistochemistry (Formalin/PFA-fixed paraffin-embedded sections) - Anti-Lumican antibody [EPR8898(2)] - BSA and Azide free (AB198974)
  • IHC-P

Unknown

Immunohistochemistry (Formalin/PFA-fixed paraffin-embedded sections) - Anti-Lumican antibody [EPR8898(2)] - BSA and Azide free (AB198974)

Immunohistochemical analysis of paraffin embedded Human skin tissue labeling Lumican with ab168348 at 1/50.

This data was developed using the same antibody clone in a different buffer formulation containing PBS, BSA, glycerol, and sodium azide (ab168348).

Perform heat mediated antigen retrieval with citrate buffer pH 6 before commencing with IHC staining protocol.

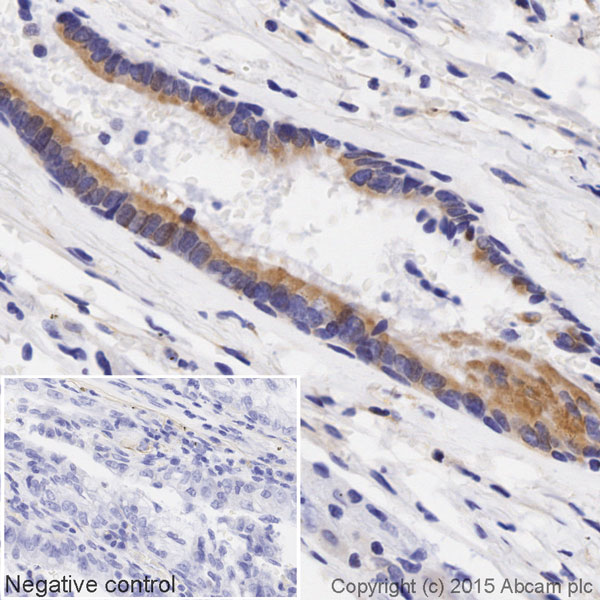
Immunohistochemistry (Formalin/PFA-fixed paraffin-embedded sections) - Anti-Lumican antibody [EPR8898(2)] - BSA and Azide free (AB198974)
  • IHC-P

Unknown

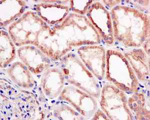
Immunohistochemistry (Formalin/PFA-fixed paraffin-embedded sections) - Anti-Lumican antibody [EPR8898(2)] - BSA and Azide free (AB198974)

Immunohistochemical analysis of paraffin embedded Human kidney tissue labeling Lumican with ab168348 at 1/50.

This data was developed using the same antibody clone in a different buffer formulation containing PBS, BSA, glycerol, and sodium azide (ab168348).

Perform heat mediated antigen retrieval with citrate buffer pH 6 before commencing with IHC staining protocol.

Immunocytochemistry/ Immunofluorescence - Anti-Lumican antibody [EPR8898(2)] - BSA and Azide free (AB198974)
  • ICC/IF

Unknown

Immunocytochemistry/ Immunofluorescence - Anti-Lumican antibody [EPR8898(2)] - BSA and Azide free (AB198974)

This ICC/IF data was generated using the same anti-Lumican antibody clone, EPR8898(2), in a different buffer formulation (cat# ab168348).

Immunofluorescent analysis of Saos-2 cells labeling Lumican with ab168348 at 1/250.

Flow Cytometry (Intracellular) - Anti-Lumican antibody [EPR8898(2)] - BSA and Azide free (AB198974)
  • Flow Cyt (Intra)

Unknown

Flow Cytometry (Intracellular) - Anti-Lumican antibody [EPR8898(2)] - BSA and Azide free (AB198974)

Intracellular flow cytometrical analysis of permeabilized 293T cells with ab168348 antibody at a dilution of 1/100 (red) or a rabbit IgG (negative) (green).

This data was developed using the same antibody clone in a different buffer formulation containing PBS, BSA, glycerol, and sodium azide (ab168348).

Flow Cytometry (Intracellular) - Anti-Lumican antibody [EPR8898(2)] - BSA and Azide free (AB198974)
  • Flow Cyt (Intra)

Lab

Flow Cytometry (Intracellular) - Anti-Lumican antibody [EPR8898(2)] - BSA and Azide free (AB198974)

This data was developed using the same antibody clone in a different buffer formulation containing PBS, BSA, glycerol, and sodium azide (ab168348).

Flow cytometry overlay histogram showing HeLa cells stained with ab168348 (red line). The cells were fixed with 4% formaldehyde (10 min) and then permeabilised with 0.1% PBS-Triton X-100 for 15 mins. The cells were incubated in 1x PBS containing 10% normal goat serum to block non-specific protein-protein interaction followed by the antibody (ab168348) (1x 106 in 100μl at 0.2μg/ml (1/10,000 dilution)) for 30 mins at 22°C.

The secondary antibody Goat Anti-Rabbit IgG H&L (Alexa Fluor® 488) preadsorbed was incubated at 1/2000 dilution for 30 mins at 22°C

Isotype control antibody (black line) was Recombinant Rabbit IgG, monoclonal [EPR25A] - Isotype Control used at the same concentration and conditions as the primary antibody. Unlabelled sample (blue line) was also used as a control.

Acquisition of >5000 events were collected using a 50 mW Blue laser (488nm) and 525/40 bandpass filter.

This antibody gave a positive signal in HeLa Fixed with 80% methanol (5 min) / permeabilised with 0.1% PBS-Triton X-100 for 15 mins under the same conditions.

Key facts

Host species

Rabbit

Clonality

Monoclonal

Clone number

EPR8898(2)

Isotype

IgG

Carrier free

Yes

Reacts with

Human

Applications

ICC/IF, Flow Cyt (Intra), WB, IHC-P

applications

Immunogen

The exact immunogen used to generate this antibody is proprietary information.

Reactivity data

{ "title": "Reactivity Data", "filters": { "stats": ["", "Species", "Dilution Info", "Notes"], "tabs": { "all-applications": {"fullname" : "All Applications", "shortname": "All Applications"}, "IHCP" : {"fullname" : "Immunohistochemistry (Formalin/PFA-fixed paraffin-embedded sections)", "shortname":"IHC-P"}, "IP" : {"fullname" : "Immunoprecipitation", "shortname":"IP"}, "WB" : {"fullname" : "Western blot", "shortname":"WB"}, "ICCIF" : {"fullname" : "Immunocytochemistry/ Immunofluorescence", "shortname":"ICC/IF"}, "FlowCytIntra" : {"fullname" : "Flow Cytometry (Intracellular)", "shortname":"Flow Cyt (Intra)"} }, "product-promise": { "all": "all", "testedAndGuaranteed": "tested", "guaranteed": "expected", "predicted": "predicted", "notRecommended": "not-recommended" } }, "values": { "Human": { "IHCP-species-checked": "testedAndGuaranteed", "IHCP-species-dilution-info": "", "IHCP-species-notes": "<p></p>", "IP-species-checked": "notRecommended", "IP-species-dilution-info": "", "IP-species-notes": "<p></p>", "WB-species-checked": "guaranteed", "WB-species-dilution-info": "", "WB-species-notes": "<p></p>", "ICCIF-species-checked": "testedAndGuaranteed", "ICCIF-species-dilution-info": "", "ICCIF-species-notes": "<p></p>", "FlowCytIntra-species-checked": "testedAndGuaranteed", "FlowCytIntra-species-dilution-info": "", "FlowCytIntra-species-notes": "<p></p>" }, "Mouse": { "IHCP-species-checked": "predicted", "IHCP-species-dilution-info": "", "IHCP-species-notes": "", "IP-species-checked": "notRecommended", "IP-species-dilution-info": "", "IP-species-notes": "", "WB-species-checked": "predicted", "WB-species-dilution-info": "", "WB-species-notes": "", "ICCIF-species-checked": "predicted", "ICCIF-species-dilution-info": "", "ICCIF-species-notes": "", "FlowCytIntra-species-checked": "predicted", "FlowCytIntra-species-dilution-info": "", "FlowCytIntra-species-notes": "" }, "Rat": { "IHCP-species-checked": "predicted", "IHCP-species-dilution-info": "", "IHCP-species-notes": "", "IP-species-checked": "notRecommended", "IP-species-dilution-info": "", "IP-species-notes": "", "WB-species-checked": "predicted", "WB-species-dilution-info": "", "WB-species-notes": "", "ICCIF-species-checked": "predicted", "ICCIF-species-dilution-info": "", "ICCIF-species-notes": "", "FlowCytIntra-species-checked": "predicted", "FlowCytIntra-species-dilution-info": "", "FlowCytIntra-species-notes": "" } } }

Product details

ab198974 is the carrier-free version of ab168348.

Patented technology
Our RabMAb® technology is a patented hybridoma-based technology for making rabbit monoclonal antibodies. For details on our patents, please refer to RabMAb® patents.

What are the advantages of a recombinant monoclonal antibody?
This product is a recombinant monoclonal antibody, which offers several advantages including:

  • - High batch-to-batch consistency and reproducibility
  • - Improved sensitivity and specificity
  • - Long-term security of supply
  • - Animal-free batch production

For more information, read more on recombinant antibodies.

Conjugation ready
Our carrier-free antibodies are typically supplied in a PBS-only formulation, purified and free of BSA, sodium azide and glycerol. This conjugation-ready format is designed for use with fluorochromes, metal isotopes, oligonucleotides, and enzymes, which makes them ideal for antibody labelling, functional and cell-based assays, flow-based assays (e.g. mass cytometry) and Multiplex Imaging applications.

Use our conjugation kits for antibody conjugates that are ready-to-use in as little as 20 minutes with 1 minute hands-on-time and 100% antibody recovery: available for fluorescent dyes, HRP, biotin and gold.

Compatibility
This product is compatible with the Maxpar® Antibody Labeling Kit from Fluidigm, without the need for antibody preparation. Maxpar® is a trademark of Fluidigm Canada Inc.

Properties and storage information

Form
Liquid
Purification technique
Affinity purification Protein A
Storage buffer
pH: 7.2 - 7.4 Constituents: PBS
Shipped at conditions
Blue Ice
Appropriate short-term storage conditions
+4°C
Appropriate long-term storage conditions
+4°C
Storage information
Do Not Freeze

Product protocols

For this product, it's our understanding that no specific protocols are required. You can visit:

Publications (2)

Recent publications for all applications. Explore the full list and refine your search

Nature communications 13:3399 PubMed35697697

2022

Gene expression signatures of individual ductal carcinoma in situ lesions identify processes and biomarkers associated with progression towards invasive ductal carcinoma.

Applications

Unspecified application

Species

Unspecified reactive species

Clare A Rebbeck,Jian Xian,Susanne Bornelöv,Joseph Geradts,Amy Hobeika,Heather Geiger,Jose Franco Alvarez,Elena Rozhkova,Ashley Nicholls,Nicolas Robine,Herbert K Lyerly,Gregory J Hannon

PloS one 9:e90817 PubMed24603701

2014

Fibromodulin-deficiency alters temporospatial expression patterns of transforming growth factor-β ligands and receptors during adult mouse skin wound healing.

Applications

IHC-P

Species

Mouse

Zhong Zheng,Kevin S Lee,Xinli Zhang,Calvin Nguyen,Chingyun Hsu,Joyce Z Wang,Todd Matthew Rackohn,Dwarak Reddy Enjamuri,Maxwell Murphy,Kang Ting,Chia Soo
View all publications

Product promise

We are committed to supporting your work with high-quality reagents, and we're here for you every step of the way. In the unlikely event that one of our products does not perform as expected, you're protected by our Product Promise.
For full details, please see our Terms & Conditions

Please note: All products are 'FOR RESEARCH USE ONLY. NOT FOR USE IN DIAGNOSTIC OR THERAPEUTIC PROCEDURES'.

For licensing inquiries, please contact partnerships@abcam.com