JavaScript is disabled in your browser. Please enable JavaScript to view this website.
AB235534

Anti-Lunatic Fringe antibody

Be the first to review this product! Submit a review

|

(2 Publications)

Rabbit Polyclonal Lunatic Fringe antibody. Suitable for IHC-P and reacts with Human samples. Cited in 2 publications. Immunogen corresponding to Recombinant Fragment Protein within Human LFNG aa 1-250.

View Alternative Names

O-fucosylpeptide 3-beta-N-acetylglucosaminyltransferase, LFNG

2 Images
Immunohistochemistry (Formalin/PFA-fixed paraffin-embedded sections) - Anti-Lunatic Fringe antibody (AB235534)
  • IHC-P

Supplier Data

Immunohistochemistry (Formalin/PFA-fixed paraffin-embedded sections) - Anti-Lunatic Fringe antibody (AB235534)

Paraffin-embedded human adrenal gland tissue stained for Lunatic Fringe using ab235534 at 1/100 dilution in immunohistochemical analysis.

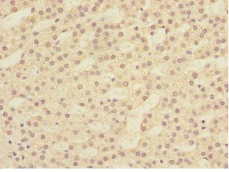
Immunohistochemistry (Formalin/PFA-fixed paraffin-embedded sections) - Anti-Lunatic Fringe antibody (AB235534)
  • IHC-P

Supplier Data

Immunohistochemistry (Formalin/PFA-fixed paraffin-embedded sections) - Anti-Lunatic Fringe antibody (AB235534)

Paraffin-embedded human testis tissue stained for Lunatic Fringe using ab235534 at 1/100 dilution in immunohistochemical analysis.

Key facts

Host species

Rabbit

Clonality

Polyclonal

Isotype

IgG

Carrier free

No

Reacts with

Human

Applications

IHC-P

applications

Immunogen

Recombinant Fragment Protein within Human LFNG aa 1-250. The exact immunogen used to generate this antibody is proprietary information.

Q8NES3

Reactivity data

{ "title": "Reactivity Data", "filters": { "stats": ["", "Species", "Dilution Info", "Notes"], "tabs": { "all-applications": {"fullname" : "All Applications", "shortname": "All Applications"}, "IHCP" : {"fullname" : "Immunohistochemistry (Formalin/PFA-fixed paraffin-embedded sections)", "shortname":"IHC-P"} }, "product-promise": { "all": "all", "testedAndGuaranteed": "tested", "guaranteed": "expected", "predicted": "predicted", "notRecommended": "not-recommended" } }, "values": { "Human": { "IHCP-species-checked": "testedAndGuaranteed", "IHCP-species-dilution-info": "1/20 - 1/200", "IHCP-species-notes": "<p></p>" } } }

Properties and storage information

Form
Liquid
Purification technique
Affinity purification Immunogen
Storage buffer
pH: 7.3 Preservative: 0.02% Sodium azide Constituents: PBS, 50% Glycerol (glycerin, glycerine)
Shipped at conditions
Blue Ice
Appropriate short-term storage duration
1-2 weeks
Appropriate short-term storage conditions
+4°C
Appropriate long-term storage conditions
-20°C
Aliquoting information
Upon delivery aliquot
Storage information
Avoid freeze / thaw cycle

Product protocols

For this product, it's our understanding that no specific protocols are required. You can visit:

Target data

Glycosyltransferase that initiates the elongation of O-linked fucose residues attached to EGF-like repeats in the extracellular domain of Notch molecules. Modulates NOTCH1 activity by modifying O-fucose residues at specific EGF-like domains resulting in inhibition of NOTCH1 activation by JAG1 and enhancement of NOTCH1 activation by DLL1 via an increase in its binding to DLL1 (By similarity). Decreases the binding of JAG1 to NOTCH2 but not that of DLL1 (PubMed : 11346656). Essential mediator of somite segmentation and patterning (By similarity).
See full target information LFNG

Publications (2)

Recent publications for all applications. Explore the full list and refine your search

BMC cancer 23:1065 PubMed37932706

2023

A pan-cancer analysis revealing the role of LFNG, MFNG and RFNG in tumor prognosis and microenvironment.

Applications

Unspecified application

Species

Unspecified reactive species

Xun Gong,Chenglong Zheng,Haiying Jia,Yangruiyu Liu,Rui Yang,Zizhou Chen,Yihang Pan,Xiaowu Li,Yuchen Liu

Frontiers in oncology 11:629974 PubMed33968728

2021

DDX19A Promotes Metastasis of Cervical Squamous Cell Carcinoma by Inducing NOX1-Mediated ROS Production.

Applications

Unspecified application

Species

Unspecified reactive species

Yanhui Jiang,Baibin Wang,Yongliang Li,Jiahui Shen,Yutao Wei,Hanjie Li,Shangqiu Chen,Hua Yang,Famin Zeng,Changqing Liu,Feng Wang,Huanhuan He,Yong Chen,Jihong Liu
View all publications

Product promise

We are committed to supporting your work with high-quality reagents, and we're here for you every step of the way. In the unlikely event that one of our products does not perform as expected, you're protected by our Product Promise.
For full details, please see our Terms & Conditions

Please note: All products are 'FOR RESEARCH USE ONLY. NOT FOR USE IN DIAGNOSTIC OR THERAPEUTIC PROCEDURES'.

For licensing inquiries, please contact partnerships@abcam.com