JavaScript is disabled in your browser. Please enable JavaScript to view this website.
AB130750

Anti-Luteinizing Hormone antibody [SP132]

Be the first to review this product! Submit a review

|

(2 Publications)

Rabbit Recombinant Monoclonal Luteinizing Hormone beta antibody. Suitable for IHC-P and reacts with Chemical, Human samples. Cited in 2 publications.

View Alternative Names

Lutropin subunit beta, Lutropin beta chain, Luteinizing hormone subunit beta, LH-B, LSH-B, LSH-beta, LHB

1 Images
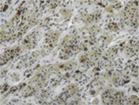
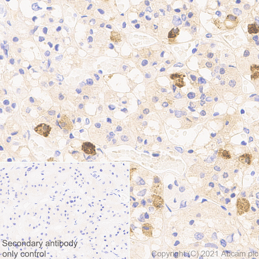
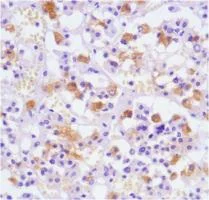
Immunohistochemistry (Formalin/PFA-fixed paraffin-embedded sections) - Anti-Luteinizing Hormone antibody [SP132] (AB130750)
  • IHC-P

Unknown

Immunohistochemistry (Formalin/PFA-fixed paraffin-embedded sections) - Anti-Luteinizing Hormone antibody [SP132] (AB130750)

ab130750, at 1/100 dilution, staining Luteinizing Hormone in formalin-fixed, paraffin-embedded human pituitary gland tissue by Immunohistochemistry.

  • Carrier free

    Anti-Luteinizing Hormone antibody [SP132] - BSA and Azide free

Key facts

Host species

Rabbit

Clonality

Monoclonal

Clone number

SP132

Isotype

IgG

Carrier free

No

Reacts with

Human

Applications

IHC-P

applications

Immunogen

The exact immunogen used to generate this antibody is proprietary information.

Reactivity data

{ "title": "Reactivity Data", "filters": { "stats": ["", "Species", "Dilution Info", "Notes"], "tabs": { "all-applications": {"fullname" : "All Applications", "shortname": "All Applications"}, "IHCP" : {"fullname" : "Immunohistochemistry (Formalin/PFA-fixed paraffin-embedded sections)", "shortname":"IHC-P"} }, "product-promise": { "all": "all", "testedAndGuaranteed": "tested", "guaranteed": "expected", "predicted": "predicted", "notRecommended": "not-recommended" } }, "values": { "Human": { "IHCP-species-checked": "testedAndGuaranteed", "IHCP-species-dilution-info": "1/100", "IHCP-species-notes": "<p>Primary incubation for 10 minutes at room temperature.</p>" }, "Chemical": { "IHCP-species-checked": "testedAndGuaranteed", "IHCP-species-dilution-info": "1/100", "IHCP-species-notes": "<p>Primary incubation for 10 minutes at room temperature.</p>" }, "Cow": { "IHCP-species-checked": "predicted", "IHCP-species-dilution-info": "", "IHCP-species-notes": "" } } }

Product details

What are the advantages of a recombinant monoclonal antibody?
This product is a recombinant monoclonal antibody, which offers several advantages including:

  • - High batch-to-batch consistency and reproducibility
  • - Improved sensitivity and specificity
  • - Long-term security of supply
  • - Animal-free batch production

For more information, read more on recombinant antibodies.

Properties and storage information

Form
Liquid
Purification technique
Affinity purification Protein A/G
Purification notes
Purified from TCS by protein A/G.
Storage buffer
pH: 7.6 Preservative: 0.1% Sodium azide Constituents: PBS, 1% BSA
Shipped at conditions
Blue Ice
Appropriate short-term storage conditions
+4°C
Appropriate long-term storage conditions
+4°C
Storage information
Do Not Freeze

Product protocols

For this product, it's our understanding that no specific protocols are required. You can visit:

Target data

Promotes spermatogenesis and ovulation by stimulating the testes and ovaries to synthesize steroids.
See full target information LHB

Publications (2)

Recent publications for all applications. Explore the full list and refine your search

Journal of veterinary research 67:307-314 PubMed38143820

2023

Functional and morphological maturation of the full-sized and mini-pig corpus luteum by programmed cell death mechanism.

Applications

Unspecified application

Species

Unspecified reactive species

Ji-Hye Lee,Sang-Hwan Kim

Oncology letters 24:411 PubMed36245818

2022

Individualized therapy based on the combination of mini-PDX and NGS for a patient with metastatic AFP-producing and HER-2 amplified gastric cancer.

Applications

Unspecified application

Species

Unspecified reactive species

Xiaodan Zhu,Xiaoqing Xu,Baonan Zhang,Yun Dong,Shixia Gong,Tingjie Gong,Feifei Zhang,Chunhui Jin
View all publications

Product promise

We are committed to supporting your work with high-quality reagents, and we're here for you every step of the way. In the unlikely event that one of our products does not perform as expected, you're protected by our Product Promise.
For full details, please see our Terms & Conditions

Please note: All products are 'FOR RESEARCH USE ONLY. NOT FOR USE IN DIAGNOSTIC OR THERAPEUTIC PROCEDURES'.

For licensing inquiries, please contact partnerships@abcam.com