JavaScript is disabled in your browser. Please enable JavaScript to view this website.
AB221494

Anti-Luteinizing Hormone beta antibody [EPR8195] - BSA and Azide free

  • BOND RX™ Validated
  • RabMAb
  • Advanced Validation
  • Recombinant
  • What is this?

Be the first to review this product! Submit a review

|

(0 Publication)

Rabbit Recombinant Monoclonal Luteinizing Hormone beta antibody. Carrier free. Suitable for mIHC, IHC-P and reacts with Human samples.

View Alternative Names

Lutropin subunit beta, Lutropin beta chain, Luteinizing hormone subunit beta, LH-B, LSH-B, LSH-beta, LHB

2 Images
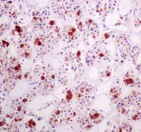
Immunohistochemistry (Formalin/PFA-fixed paraffin-embedded sections) - Anti-Luteinizing Hormone beta antibody [EPR8195] - BSA and Azide free (AB221494)
  • IHC-P

Supplier Data

Immunohistochemistry (Formalin/PFA-fixed paraffin-embedded sections) - Anti-Luteinizing Hormone beta antibody [EPR8195] - BSA and Azide free (AB221494)

This data was developed using ab174265, the same antibody clone in a different buffer formulation.

Immunohistochemical analysis of paraffin-embedded Human pancreas tissue labeling Luteinizing Hormone beta with ab174265 at a 1/250 dilution.

Perform heat mediated antigen retrieval with citrate buffer pH 6 before commencing with IHC staining protocol.

Multiplex immunohistochemistry - Anti-Luteinizing Hormone beta antibody [EPR8195] - BSA and Azide free (AB221494)
  • mIHC

Supplier Data

Multiplex immunohistochemistry - Anti-Luteinizing Hormone beta antibody [EPR8195] - BSA and Azide free (AB221494)

Immunohistochemistry (Formalin/PFA-fixed paraffin-embedded sections) analysis of Human pituitary gland labelling ACTH with ab233954 at 1/5000 dilution (0.214 μg/ml) (B), Luteinizing Hormone beta with ab221494 at 1/4000 dilution (0.258 μg/ml) (C) and Growth Hormone with ab155276 at 1/5000 dilution (0.044 μg/ml) (D). Opal Polymer HRP Ms + Rb was used as a secondary antibody, and DAPI was used for a nuclear counter stain. Heat mediated antigen retrieval with Tris-EDTA buffer (pH 9.0, epitope retrieval solution2) for 20 mins. Panel A : merged staining of anti-Growth Hormone (gray; Opal™690), anti-ACTH (green; Opal™520) and anti-Luteinizing Hormone beta (red; Opal™570) on human pituitary gland. Panel B : anti-ACTH stained on corticotrophs. Panel C : anti-Luteinizing Hormone beta stained on gonadotrophs. Panel D : anti-Growth Hormone stained on somatotrophs. The section was incubated in three rounds of staining : in the order of ab155276, ab233954, and ab221494 for 30 mins at room temperature. Each round was followed by a separate fluorescent tyramide signal amplification system. The immunostaining was performed on a Leica Biosystems BOND® RX instrument with an Opal™ 4-color kit. Image acquisition was performed with Leica SP8 confocal microscope.

  • Unconjugated

    Anti-Luteinizing Hormone beta antibody [EPR8195]

Key facts

Host species

Rabbit

Clonality

Monoclonal

Clone number

EPR8195

Isotype

IgG

Carrier free

Yes

Reacts with

Human

Applications

IHC-P, mIHC

applications

Immunogen

The exact immunogen used to generate this antibody is proprietary information.

Reactivity data

{ "title": "Reactivity Data", "filters": { "stats": ["", "Species", "Dilution Info", "Notes"], "tabs": { "all-applications": {"fullname" : "All Applications", "shortname": "All Applications"}, "mIHC" : {"fullname" : "Multiplex immunohistochemistry", "shortname":"mIHC"}, "IHCP" : {"fullname" : "Immunohistochemistry (Formalin/PFA-fixed paraffin-embedded sections)", "shortname":"IHC-P"}, "IP" : {"fullname" : "Immunoprecipitation", "shortname":"IP"}, "FlowCyt" : {"fullname" : "Flow Cytometry", "shortname":"Flow Cyt"}, "WB" : {"fullname" : "Western blot", "shortname":"WB"}, "ICCIF" : {"fullname" : "Immunocytochemistry/ Immunofluorescence", "shortname":"ICC/IF"} }, "product-promise": { "all": "all", "testedAndGuaranteed": "tested", "guaranteed": "expected", "predicted": "predicted", "notRecommended": "not-recommended" } }, "values": { "Human": { "mIHC-species-checked": "testedAndGuaranteed", "mIHC-species-dilution-info": "", "mIHC-species-notes": "<p></p>", "IHCP-species-checked": "testedAndGuaranteed", "IHCP-species-dilution-info": "", "IHCP-species-notes": "<p></p>", "IP-species-checked": "notRecommended", "IP-species-dilution-info": "", "IP-species-notes": "<p></p>", "FlowCyt-species-checked": "notRecommended", "FlowCyt-species-dilution-info": "", "FlowCyt-species-notes": "<p></p>", "WB-species-checked": "notRecommended", "WB-species-dilution-info": "", "WB-species-notes": "<p></p>", "ICCIF-species-checked": "notRecommended", "ICCIF-species-dilution-info": "", "ICCIF-species-notes": "<p></p>" } } }

You may be interested in:

AB178658

Human Luteinizing hormone ELISA Kit (LH)

0

0 Reviews

View product

We recommend this product because it’s often used in the same experiment or related research.

We advise that you always check the datasheet to ensure it fits your experiments, or contact ourtechnical teamfor help.

Product details

ab221494 is the carrier-free version of ab174265.

Patented technology
Our RabMAb® technology is a patented hybridoma-based technology for making rabbit monoclonal antibodies. For details on our patents, please refer to RabMAb® patents.

What are the advantages of a recombinant monoclonal antibody?
This product is a recombinant monoclonal antibody, which offers several advantages including:

  • - High batch-to-batch consistency and reproducibility
  • - Improved sensitivity and specificity
  • - Long-term security of supply
  • - Animal-free batch production

For more information, read more on recombinant antibodies.

Conjugation ready
Our carrier-free antibodies are typically supplied in a PBS-only formulation, purified and free of BSA, sodium azide and glycerol. This conjugation-ready format is designed for use with fluorochromes, metal isotopes, oligonucleotides, and enzymes, which makes them ideal for antibody labelling, functional and cell-based assays, flow-based assays (e.g. mass cytometry) and Multiplex Imaging applications.

Use our conjugation kits for antibody conjugates that are ready-to-use in as little as 20 minutes with 1 minute hands-on-time and 100% antibody recovery: available for fluorescent dyes, HRP, biotin and gold.

Compatibility
This product is compatible with the Maxpar® Antibody Labeling Kit from Fluidigm, without the need for antibody preparation. Maxpar® is a trademark of Fluidigm Canada Inc.

Properties and storage information

Form
Liquid
Purification technique
Affinity purification Protein A
Storage buffer
pH: 7.2 - 7.4 Constituents: PBS
Shipped at conditions
Blue Ice
Appropriate short-term storage conditions
+4°C
Appropriate long-term storage conditions
+4°C
Storage information
Do Not Freeze

Product protocols

For this product, it's our understanding that no specific protocols are required. You can visit:

Target data

Promotes spermatogenesis and ovulation by stimulating the testes and ovaries to synthesize steroids.
See full target information LHB

Product promise

We are committed to supporting your work with high-quality reagents, and we're here for you every step of the way. In the unlikely event that one of our products does not perform as expected, you're protected by our Product Promise.
For full details, please see our Terms & Conditions

Please note: All products are 'FOR RESEARCH USE ONLY. NOT FOR USE IN DIAGNOSTIC OR THERAPEUTIC PROCEDURES'.

For licensing inquiries, please contact partnerships@abcam.com