JavaScript is disabled in your browser. Please enable JavaScript to view this website.
AB315083

Anti-LXR beta/NER antibody [EPR24051-104] - BSA and Azide free

Be the first to review this product! Submit a review

|

(0 Publication)

Rabbit Recombinant Monoclonal LXR beta/NER antibody. Carrier free. Suitable for WB, ICC/IF, Flow Cyt (Intra) and reacts with Human, Mouse, Rat, Recombinant fragment - Human samples.

View Alternative Names

LXRB, NER, UNR, NR1H2, Oxysterols receptor LXR-beta, Liver X receptor beta, Nuclear receptor NER, Nuclear receptor subfamily 1 group H member 2, Ubiquitously-expressed nuclear receptor

6 Images
Immunocytochemistry/ Immunofluorescence - Anti-LXR beta/NER antibody [EPR24051-104] - BSA and Azide free (AB315083)
  • ICC/IF

Supplier Data

Immunocytochemistry/ Immunofluorescence - Anti-LXR beta/NER antibody [EPR24051-104] - BSA and Azide free (AB315083)

This data was developed using ab315082, the same antibody clone in a different buffer formulation.

Immunofluorescent analysis of 4% Paraformaldehyde-fixed, 0.1% TritonX-100 permeabilized A549 (human lung carcinoma epithelial cell) cells labelling LXR beta/NER with ab315082 at 1/100 (5.18 ug/ml) dilution, followed by ab150081 Goat Anti-Rabbit IgG H&L (Alexa Fluor® 488) preadsorbed antibody at 1/1000 (2 ug/ml) dilution (Green).

Confocal image showing nuclear and cytoplasmic staining in A549 cell line. Image was taken with a confocal microscope(Leica-Microsystems, TCS SP8).

ab195889 Anti-alpha Tubulin mouse monoclonal antibody - Microtubule Marker (Alexa Fluor® 594) was used to counterstain tubulin at 1/200 (2.5ug/ml) dilution (Red). The Nuclear counterstain was DAPI (Blue).

Secondary antibody only control : Secondary antibody is ab150081 Goat Anti-Rabbit IgG H&L (Alexa Fluor® 488) preadsorbed at 1/1000 (2 ug/ml) dilution.

Flow Cytometry (Intracellular) - Anti-LXR beta/NER antibody [EPR24051-104] - BSA and Azide free (AB315083)
  • Flow Cyt (Intra)

Supplier Data

Flow Cytometry (Intracellular) - Anti-LXR beta/NER antibody [EPR24051-104] - BSA and Azide free (AB315083)

This data was developed using ab315082, the same antibody clone in a different buffer formulation.

Flow cytometric analysis of 4% paraformaldehyde fixed 90% methanol permeabilized A549 (human lung carcinoma epithelial cell) cells labelling LXR beta/NER with ab315082 at 1/500 dilution (0.1 ug)/Red compared with a Rabbit monoclonal IgG (ab172730) (Black) isotype control and an unlabelled control (cells without incubation with primary antibody and secondary antibody) (Blue).

Goat Anti-Rabbit IgG (Alexa Fluor® 488, ab150081) at 1/5000 dilution was used as the secondary antibody.

Western blot - Anti-LXR beta/NER antibody [EPR24051-104] - BSA and Azide free (AB315083)
  • WB

Supplier Data

Western blot - Anti-LXR beta/NER antibody [EPR24051-104] - BSA and Azide free (AB315083)

This data was developed using ab315082, the same antibody clone in a different buffer formulation.

Blocking and diluting buffer and concentration : 5% NFDM/TBST.

In Western blot, Anti-GAPDH antibody [EPR16891] - Loading Control (ab181602) staining at 1/200000 dilution.

All lanes:

Western blot - Anti-LXR beta/NER antibody [EPR24051-104] (<a href='/en-us/products/primary-antibodies/lxr-beta-ner-antibody-epr24051-104-ab315082'>ab315082</a>) at 1/1000 dilution

Lane 1:

Human liver tissue lysate at 20 µg

Lane 2:

Mouse lung lysate at 20 µg

Lane 3:

Mouse small intestine lysate at 20 µg

Lane 4:

Rat liver tissue lysate at 20 µg

Secondary

Lane 1:

Goat Anti-Rabbit IgG (HRP) with minimal cross-reactivity with human IgG at 1/2000 dilution

Lanes 2 - 4:

Western blot - Goat Anti-Rabbit IgG H&L (HRP) (<a href='/en-us/products/secondary-antibodies/goat-rabbit-igg-h-l-hrp-ab97051'>ab97051</a>) at 1/20000 dilution

Observed band size: 60 kDa,36 kDa

true

Exposure time: 180s

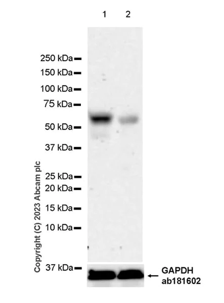
Western blot - Anti-LXR beta/NER antibody [EPR24051-104] - BSA and Azide free (AB315083)
  • WB

Supplier Data

Western blot - Anti-LXR beta/NER antibody [EPR24051-104] - BSA and Azide free (AB315083)

This data was developed using ab315082, the same antibody clone in a different buffer formulation.

Blocking and diluting buffer and concentration : 5% NFDM/TBST.

In Western blot, Anti-GAPDH antibody [EPR16891] - Loading Control (ab181602) staining at 1/200000 dilution.

All lanes:

Western blot - Anti-LXR beta/NER antibody [EPR24051-104] (<a href='/en-us/products/primary-antibodies/lxr-beta-ner-antibody-epr24051-104-ab315082'>ab315082</a>) at 1/1000 dilution

Lane 1:

A549 (human lung carcinoma epithelial cell) transfected with scrambled siRNA control whole cell lysate at 20 µg

Lane 2:

A549 transfected with siRNA specifically targeting LXR beta whole cell lysate at 20 µg

Secondary

All lanes:

Western blot - Goat Anti-Rabbit IgG H&L (HRP) (<a href='/en-us/products/secondary-antibodies/goat-rabbit-igg-h-l-hrp-ab97051'>ab97051</a>) at 1/20000 dilution

Observed band size: 60 kDa,36 kDa

true

Exposure time: 180s

Western blot - Anti-LXR beta/NER antibody [EPR24051-104] - BSA and Azide free (AB315083)
  • WB

Supplier Data

Western blot - Anti-LXR beta/NER antibody [EPR24051-104] - BSA and Azide free (AB315083)

This data was developed using ab315082, the same antibody clone in a different buffer formulation.

Blocking and diluting buffer and concentration : 5% NFDM/TBST.

Low expression : SW620 (PMID : 26450852), HCT116 (PMID : 26450852).

In Western blot, Anti-GAPDH antibody [EPR16891] - Loading Control (ab181602) staining at 1/200000 dilution.

All lanes:

Western blot - Anti-LXR beta/NER antibody [EPR24051-104] (<a href='/en-us/products/primary-antibodies/lxr-beta-ner-antibody-epr24051-104-ab315082'>ab315082</a>) at 1/1000 dilution

Lane 1:

SW480 (human colorectal adenocarcinoma epithelial cell) whole cell lysate at 20 µg

Lane 2:

SW620 (human colorectal adenocarcinoma epithelial cell) whole cell lysate at 20 µg

Lane 3:

HCT116 (human colorectal carcinoma epithelial cell) whole cell lysate at 20 µg

Secondary

All lanes:

Western blot - Goat Anti-Rabbit IgG H&L (HRP) (<a href='/en-us/products/secondary-antibodies/goat-rabbit-igg-h-l-hrp-ab97051'>ab97051</a>) at 1/20000 dilution

Observed band size: 60 kDa

false

Exposure time: 180s

Western blot - Anti-LXR beta/NER antibody [EPR24051-104] - BSA and Azide free (AB315083)
  • WB

Supplier Data

Western blot - Anti-LXR beta/NER antibody [EPR24051-104] - BSA and Azide free (AB315083)

This data was developed using ab315082, the same antibody clone in a different buffer formulation.

Blocking and diluting buffer and concentration : 5% NFDM/TBST.

This antibody does not cross-react with human LXR alpha.

In Western blot, Anti-6X His tag® antibody [EPR20547] - ChIP Grade (ab213204) staining at 1/5000 dilution.

All lanes:

Western blot - Anti-LXR beta/NER antibody [EPR24051-104] (<a href='/en-us/products/primary-antibodies/lxr-beta-ner-antibody-epr24051-104-ab315082'>ab315082</a>) at 1/1000 dilution

Lane 1:

His-tagged human LXR beta fragment at 10 ng

Lane 2:

His-tagged human LXR alpha fragment at 10 ng

Secondary

All lanes:

Western blot - Goat Anti-Rabbit IgG H&L (HRP) (<a href='/en-us/products/secondary-antibodies/goat-rabbit-igg-h-l-hrp-ab97051'>ab97051</a>) at 1/100000 dilution

Observed band size: 30 kDa

false

Exposure time: 180s

Key facts

Host species

Rabbit

Clonality

Monoclonal

Clone number

EPR24051-104

Isotype

IgG

Carrier free

Yes

Reacts with

Human, Mouse, Rat

Applications

ICC/IF, Flow Cyt (Intra), WB

applications

Immunogen

The exact immunogen used to generate this antibody is proprietary information.

Reactivity data

{ "title": "Reactivity Data", "filters": { "stats": ["", "Species", "Dilution Info", "Notes"], "tabs": { "all-applications": {"fullname" : "All Applications", "shortname": "All Applications"}, "WB" : {"fullname" : "Western blot", "shortname":"WB"}, "ICCIF" : {"fullname" : "Immunocytochemistry/ Immunofluorescence", "shortname":"ICC/IF"}, "FlowCytIntra" : {"fullname" : "Flow Cytometry (Intracellular)", "shortname":"Flow Cyt (Intra)"}, "IP" : {"fullname" : "Immunoprecipitation", "shortname":"IP"}, "IHCP" : {"fullname" : "Immunohistochemistry (Formalin/PFA-fixed paraffin-embedded sections)", "shortname":"IHC-P"} }, "product-promise": { "all": "all", "testedAndGuaranteed": "tested", "guaranteed": "expected", "predicted": "predicted", "notRecommended": "not-recommended" } }, "values": { "Human": { "WB-species-checked": "testedAndGuaranteed", "WB-species-dilution-info": "", "WB-species-notes": "<p></p>", "ICCIF-species-checked": "testedAndGuaranteed", "ICCIF-species-dilution-info": "", "ICCIF-species-notes": "<p></p>", "FlowCytIntra-species-checked": "testedAndGuaranteed", "FlowCytIntra-species-dilution-info": "", "FlowCytIntra-species-notes": "<p></p>", "IP-species-checked": "notRecommended", "IP-species-dilution-info": "", "IP-species-notes": "<p></p>", "IHCP-species-checked": "notRecommended", "IHCP-species-dilution-info": "", "IHCP-species-notes": "<p></p>" }, "Mouse": { "WB-species-checked": "testedAndGuaranteed", "WB-species-dilution-info": "", "WB-species-notes": "<p></p>", "ICCIF-species-checked": "notRecommended", "ICCIF-species-dilution-info": "", "ICCIF-species-notes": "<p></p>", "FlowCytIntra-species-checked": "notRecommended", "FlowCytIntra-species-dilution-info": "", "FlowCytIntra-species-notes": "<p></p>", "IP-species-checked": "notRecommended", "IP-species-dilution-info": "", "IP-species-notes": "<p></p>", "IHCP-species-checked": "notRecommended", "IHCP-species-dilution-info": "", "IHCP-species-notes": "<p></p>" }, "Rat": { "WB-species-checked": "testedAndGuaranteed", "WB-species-dilution-info": "", "WB-species-notes": "<p></p>", "ICCIF-species-checked": "guaranteed", "ICCIF-species-dilution-info": "", "ICCIF-species-notes": "", "FlowCytIntra-species-checked": "guaranteed", "FlowCytIntra-species-dilution-info": "", "FlowCytIntra-species-notes": "", "IP-species-checked": "notRecommended", "IP-species-dilution-info": "", "IP-species-notes": "", "IHCP-species-checked": "notRecommended", "IHCP-species-dilution-info": "", "IHCP-species-notes": "<p></p>" }, "Recombinant fragment - Human": { "WB-species-checked": "testedAndGuaranteed", "WB-species-dilution-info": "", "WB-species-notes": "<p></p>", "ICCIF-species-checked": "notRecommended", "ICCIF-species-dilution-info": "", "ICCIF-species-notes": "", "FlowCytIntra-species-checked": "notRecommended", "FlowCytIntra-species-dilution-info": "", "FlowCytIntra-species-notes": "", "IP-species-checked": "notRecommended", "IP-species-dilution-info": "", "IP-species-notes": "", "IHCP-species-checked": "notRecommended", "IHCP-species-dilution-info": "", "IHCP-species-notes": "" } } }

Product details

ab315083 is the carrier-free version of ab315082.

Patented technology
Our RabMAb® technology is a patented hybridoma-based technology for making rabbit monoclonal antibodies. For details on our patents, please refer to RabMAb® patents.

What are the advantages of a recombinant monoclonal antibody?
This product is a recombinant monoclonal antibody, which offers several advantages including:

  • - High batch-to-batch consistency and reproducibility
  • - Improved sensitivity and specificity
  • - Long-term security of supply
  • - Animal-free batch production

For more information, read more on recombinant antibodies.

Conjugation ready
Our carrier-free antibodies are typically supplied in a PBS-only formulation, purified and free of BSA, sodium azide and glycerol. This conjugation-ready format is designed for use with fluorochromes, metal isotopes, oligonucleotides, and enzymes, which makes them ideal for antibody labelling, functional and cell-based assays, flow-based assays (e.g. mass cytometry) and Multiplex Imaging applications.

Use our conjugation kits for antibody conjugates that are ready-to-use in as little as 20 minutes with 1 minute hands-on-time and 100% antibody recovery: available for fluorescent dyes, HRP, biotin and gold.

Compatibility
This product is compatible with the Maxpar® Antibody Labeling Kit from Fluidigm, without the need for antibody preparation. Maxpar® is a trademark of Fluidigm Canada Inc.

Properties and storage information

Form
Liquid
Purification technique
Affinity purification Protein A
Storage buffer
pH: 7.2 - 7.4 Constituents: PBS
Shipped at conditions
Blue Ice
Appropriate short-term storage conditions
+4°C
Appropriate long-term storage conditions
+4°C

Supplementary information

This supplementary information is collated from multiple sources and compiled automatically.

Liver X Receptor Beta (LXR beta) also known as NR1H2 is a nuclear receptor that functions as a transcription factor. It has a molecular mass of approximately 51 kDa. This receptor is primarily expressed in tissues like liver kidney adipose tissue and macrophages. LXR beta regulates genes involved in cholesterol homeostasis lipid metabolism and inflammation. Additionally LXR beta forms heterodimers with Retinoid X Receptors (RXRs) to regulate gene expression in response to ligands.
Biological function summary

The protein plays a central role in the maintenance of lipid homeostasis and modulation of inflammatory responses. LXR beta acts within a complex system that also involves other nuclear receptors and co-regulators to effectively control gene transcription. Through its activity LXR beta impacts cholesterol efflux fatty acid synthesis and inflammatory gene expression. It helps preserve cellular lipid balance a critical factor for normal cellular function and overall organism health.

Pathways

LXR beta plays a significant role in the cholesterol metabolism and lipid homeostasis pathways. It activates the transcription of genes like ABCA1 and ABCG1 important for cholesterol efflux in macrophages and other cell types. LXR beta interacts closely with proteins such as SREBP-1c (Sterol Regulatory Element Binding Protein 1c) and RXR which are integral to lipid metabolism pathways. By modulating these pathways LXR beta contributes to reverse cholesterol transport reducing cholesterol overload in cells.

LXR beta has connections to atherosclerosis and metabolic syndrome. Alterations in LXR beta function can lead to impaired cholesterol efflux and excessive lipid accumulation contributing to atherosclerosis. In metabolic syndrome irregularities in LXR beta's regulation of lipid metabolism may exacerbate the disorder's associated risks. Its interaction with proteins like GM-CSF (Granulocyte-Macrophage Colony-Stimulating Factor) further highlights the target's potential role in inflammatory conditions linked to these diseases.

Product protocols

For this product, it's our understanding that no specific protocols are required. You can visit:

Target data

Nuclear receptor that exhibits a ligand-dependent transcriptional activation activity (PubMed : 25661920). Binds preferentially to double-stranded oligonucleotide direct repeats having the consensus half-site sequence 5'-AGGTCA-3' and 4-nt spacing (DR-4). Regulates cholesterol uptake through MYLIP-dependent ubiquitination of LDLR, VLDLR and LRP8; DLDLR and LRP8. Interplays functionally with RORA for the regulation of genes involved in liver metabolism (By similarity). Induces LPCAT3-dependent phospholipid remodeling in endoplasmic reticulum (ER) membranes of hepatocytes, driving SREBF1 processing and lipogenesis (By similarity). Via LPCAT3, triggers the incorporation of arachidonate into phosphatidylcholines of ER membranes, increasing membrane dynamics and enabling triacylglycerols transfer to nascent very low-density lipoprotein (VLDL) particles (By similarity). Via LPCAT3 also counteracts lipid-induced ER stress response and inflammation, likely by modulating SRC kinase membrane compartmentalization and limiting the synthesis of lipid inflammatory mediators (By similarity). Plays an anti-inflammatory role during the hepatic acute phase response by acting as a corepressor : inhibits the hepatic acute phase response by preventing dissociation of the N-Cor corepressor complex (PubMed : 20159957).
See full target information NR1H2

Product promise

We are committed to supporting your work with high-quality reagents, and we're here for you every step of the way. In the unlikely event that one of our products does not perform as expected, you're protected by our Product Promise.
For full details, please see our Terms & Conditions

Please note: All products are 'FOR RESEARCH USE ONLY. NOT FOR USE IN DIAGNOSTIC OR THERAPEUTIC PROCEDURES'.

For licensing inquiries, please contact partnerships@abcam.com