JavaScript is disabled in your browser. Please enable JavaScript to view this website.
AB239951

Anti-Ly-6A/E (Sca-1) antibody [EPR3355] - BSA and Azide free

Be the first to review this product! Submit a review

|

(1 Publication)

Rabbit Recombinant Monoclonal Sca1 / Ly6A/E antibody. Carrier free. Suitable for IHC-P, WB and reacts with Mouse samples. Cited in 1 publication.

View Alternative Names

Ly6, Ly6a, Lymphocyte antigen 6A-2/6E-1, Ly-6A.2/Ly-6E.1, Stem cell antigen 1, T-cell-activating protein, SCA-1, TAP

3 Images
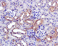
Immunohistochemistry (Formalin/PFA-fixed paraffin-embedded sections) - Anti-Ly-6A/E (Sca-1) antibody [EPR3355] - BSA and Azide free (AB239951)
  • IHC-P

Unknown

Immunohistochemistry (Formalin/PFA-fixed paraffin-embedded sections) - Anti-Ly-6A/E (Sca-1) antibody [EPR3355] - BSA and Azide free (AB239951)

ab109211, at 1/50 dilution staining Ly6A/E (Sca1) in paraffin-embedded Mouse kidney tissue by Immunohistochemistry.

This data was developed using the same antibody clone in a different buffer formulation containing PBS, BSA, glycerol, and sodium azide (ab109211).

Perform heat mediated antigen retrieval with citrate buffer pH 6 before commencing with IHC staining protocol.

Immunohistochemistry (Formalin/PFA-fixed paraffin-embedded sections) - Anti-Ly-6A/E (Sca-1) antibody [EPR3355] - BSA and Azide free (AB239951)
  • IHC-P

Unknown

Immunohistochemistry (Formalin/PFA-fixed paraffin-embedded sections) - Anti-Ly-6A/E (Sca-1) antibody [EPR3355] - BSA and Azide free (AB239951)

Immunohistochemistry (Formalin/PFA-fixed paraffin-embedded sections) analysis of mouse kidney tissue sections labeling Ly6A/E (Sca1) with Purified ab109211 at 1 : 150 dilution (1.37 μg/ml). Perform heat mediated antigen retrieval using ab93684 (Tris/EDTA buffer, pH 9.0). Purified)ImmunoHistoProbe one step HRP Polymer (ready to use) was used for detection. Negative control : PBS instead of the primary antibody. Hematoxylin was used as a counterstain.
This data was developed using the same antibody clone in a different buffer formulation containing PBS, BSA, glycerol, and sodium azide (ab109211)

Immunohistochemistry (Formalin/PFA-fixed paraffin-embedded sections) - Anti-Ly-6A/E (Sca-1) antibody [EPR3355] - BSA and Azide free (AB239951)
  • IHC-P

PubMed

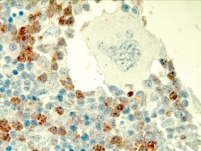
Immunohistochemistry (Formalin/PFA-fixed paraffin-embedded sections) - Anti-Ly-6A/E (Sca-1) antibody [EPR3355] - BSA and Azide free (AB239951)

Immunohistochemical analysis of murine bone marrow tissue, following total body irradiation, staining Ly6A/E (Sca1) with ab109211. Sections were blocked with blocking reagent before staining with primary antibody and a peroxidase conjugated anti-rabbit IgG. Staining was detected with AEC substrate.

This data was developed using the same antibody clone in a different buffer formulation containing PBS, BSA, glycerol, and sodium azide (ab109211).

Perform heat mediated antigen retrieval with citrate buffer pH 6 before commencing with IHC staining protocol.

Image from Basile LA et al., PLoS One. 2012;7(2):e30434. Epub 2012 Feb 24. Fig 5.; doi:10.1371/journal.pone.0030434; February 24, 2012, PLoS ONE 7(2): e30434.

  • Unconjugated

    Anti-Ly-6A/E (Sca-1) antibody [EPR3355]

  • 617 Alexa Fluor® 594

    Alexa Fluor® 594 Anti-Ly-6A/E (Sca-1) antibody [EPR3355]

  • 578 PE

    PE Anti-Ly-6A/E (Sca-1) antibody [EPR3355]

  • 660 APC

    APC Anti-Ly-6A/E (Sca-1) antibody [EPR3355]

  • 519 Alexa Fluor® 488

    Alexa Fluor® 488 Anti-Ly-6A/E (Sca-1) antibody [EPR3355]

  • 565 Alexa Fluor® 555

    Alexa Fluor® 555 Anti-Ly-6A/E (Sca-1) antibody [EPR3355]

  • 665 Alexa Fluor® 647

    Alexa Fluor® 647 Anti-Ly-6A/E (Sca-1) antibody [EPR3355]

  • 775 Alexa Fluor® 750

    Alexa Fluor® 750 Anti-Ly-6A/E (Sca-1) antibody [EPR3355]

Key facts

Host species

Rabbit

Clonality

Monoclonal

Clone number

EPR3355

Isotype

IgG

Carrier free

Yes

Reacts with

Mouse

Applications

IHC-P, WB

applications

Immunogen

The exact immunogen used to generate this antibody is proprietary information.

Reactivity data

{ "title": "Reactivity Data", "filters": { "stats": ["", "Species", "Dilution Info", "Notes"], "tabs": { "all-applications": {"fullname" : "All Applications", "shortname": "All Applications"}, "IHCP" : {"fullname" : "Immunohistochemistry (Formalin/PFA-fixed paraffin-embedded sections)", "shortname":"IHC-P"}, "WB" : {"fullname" : "Western blot", "shortname":"WB"}, "ICCIF" : {"fullname" : "Immunocytochemistry/ Immunofluorescence", "shortname":"ICC/IF"}, "IP" : {"fullname" : "Immunoprecipitation", "shortname":"IP"}, "FlowCyt" : {"fullname" : "Flow Cytometry", "shortname":"Flow Cyt"} }, "product-promise": { "all": "all", "testedAndGuaranteed": "tested", "guaranteed": "expected", "predicted": "predicted", "notRecommended": "not-recommended" } }, "values": { "Mouse": { "IHCP-species-checked": "testedAndGuaranteed", "IHCP-species-dilution-info": "", "IHCP-species-notes": "<p>Antigen retrieval is recommended.</p>", "WB-species-checked": "guaranteed", "WB-species-dilution-info": "", "WB-species-notes": "<p></p>", "ICCIF-species-checked": "notRecommended", "ICCIF-species-dilution-info": "", "ICCIF-species-notes": "<p></p>", "IP-species-checked": "notRecommended", "IP-species-dilution-info": "", "IP-species-notes": "<p></p>", "FlowCyt-species-checked": "notRecommended", "FlowCyt-species-dilution-info": "", "FlowCyt-species-notes": "<p></p>" } } }

Product details

ab239951 is the carrier-free version of ab109211.

Species reactivity
Human, Rat: We have preliminary internal testing data to indicate this antibody may not react with these species.
Please contact us for more information.

Patented technology
Our RabMAb® technology is a patented hybridoma-based technology for making rabbit monoclonal antibodies. For details on our patents, please refer to RabMAb® patents.

What are the advantages of a recombinant monoclonal antibody?
This product is a recombinant monoclonal antibody, which offers several advantages including:

  • - High batch-to-batch consistency and reproducibility
  • - Improved sensitivity and specificity
  • - Long-term security of supply
  • - Animal-free batch production

For more information, read more on recombinant antibodies.

Conjugation ready
Our carrier-free antibodies are typically supplied in a PBS-only formulation, purified and free of BSA, sodium azide and glycerol. This conjugation-ready format is designed for use with fluorochromes, metal isotopes, oligonucleotides, and enzymes, which makes them ideal for antibody labelling, functional and cell-based assays, flow-based assays (e.g. mass cytometry) and Multiplex Imaging applications.

Use our conjugation kits for antibody conjugates that are ready-to-use in as little as 20 minutes with 1 minute hands-on-time and 100% antibody recovery: available for fluorescent dyes, HRP, biotin and gold.

Compatibility
This product is compatible with the Maxpar® Antibody Labeling Kit from Fluidigm, without the need for antibody preparation. Maxpar® is a trademark of Fluidigm Canada Inc.

Properties and storage information

Form
Liquid
Purification technique
Affinity purification Protein A
Storage buffer
pH: 7.2 - 7.4 Constituents: PBS
Shipped at conditions
Blue Ice
Appropriate short-term storage conditions
+4°C
Appropriate long-term storage conditions
+4°C
Storage information
Do Not Freeze

Product protocols

For this product, it's our understanding that no specific protocols are required. You can visit:

Target data

T-cell activation.
See full target information Ly6a

Publications (1)

Recent publications for all applications. Explore the full list and refine your search

International journal of oncology 63: PubMed37449524

2023

circRPS19 affects HK2‑mediated aerobic glycolysis and cell viability via the miR‑125a‑5p/USP7 pathway in gastric cancer.

Applications

Unspecified application

Species

Unspecified reactive species

Xia Zheng,Jie Shao,Jun Qian,Shenlin Liu
View all publications

Product promise

We are committed to supporting your work with high-quality reagents, and we're here for you every step of the way. In the unlikely event that one of our products does not perform as expected, you're protected by our Product Promise.
For full details, please see our Terms & Conditions

Please note: All products are 'FOR RESEARCH USE ONLY. NOT FOR USE IN DIAGNOSTIC OR THERAPEUTIC PROCEDURES'.

For licensing inquiries, please contact partnerships@abcam.com