JavaScript is disabled in your browser. Please enable JavaScript to view this website.
AB246486

Anti-Ly-6K antibody [EPR23021-61]

  • BOND RX™ Validated
  • RabMAb
  • Recombinant
  • KO Validated
  • 20ul selling size
  • What is this?

Be the first to review this product! Submit a review

|

(1 Publication)

Anti-Ly-6K antibody [EPR23021-61] (ab246486) is a rabbit monoclonal antibody detecting Ly-6K in Western Blot, IP, IHC-P. Suitable for Human.

- KO validated for confirmed specificity
- Biophysical QC for unrivalled batch-batch consistency

View Alternative Names

CO16, LY6K, Lymphocyte antigen 6K, Ly-6K

5 Images
Immunohistochemistry (Formalin/PFA-fixed paraffin-embedded sections) - Anti-Ly-6K antibody [EPR23021-61] (AB246486)
  • IHC-P

Unknown

Immunohistochemistry (Formalin/PFA-fixed paraffin-embedded sections) - Anti-Ly-6K antibody [EPR23021-61] (AB246486)

Immunohistochemical analysis of paraffin-embedded Human heart tissue labeling Ly-6K with ab246486 at 1/2000 dilution followed by a ready to use Goat Anti-Rabbit IgG H&L (HRP). Negative control : No staining in human heart (PMID : 18089789). The section was incubated with ab246486 for 30 mins at room temperature.The immunostaining was performed on a Leica Biosystems BOND® RX instrument Counterstained with Hematoxylin.

Secondary antibody only control : Secondary antibody is a ready to use Goat Anti-Rabbit IgG H&L (HRP).

Heat mediated antigen retrieval with Tris-EDTA buffer (pH 9.0, epitope retrieval solution2) for 20 mins.

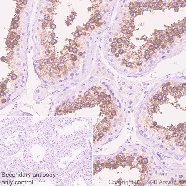
Immunohistochemistry (Formalin/PFA-fixed paraffin-embedded sections) - Anti-Ly-6K antibody [EPR23021-61] (AB246486)
  • IHC-P

Unknown

Immunohistochemistry (Formalin/PFA-fixed paraffin-embedded sections) - Anti-Ly-6K antibody [EPR23021-61] (AB246486)

Immunohistochemical analysis of paraffin-embedded Human testis tissue labeling Ly-6K with ab246486 at 1/2000 dilution followed by a ready to use Goat Anti-Rabbit IgG H&L (HRP). Positive staining in spermatocytes of human testis (PMID : 18089789). The section was incubated with ab246486 for 30 mins at room temperature.The immunostaining was performed on a Leica Biosystems BOND® RX instrument Counterstained with Hematoxylin.

Secondary antibody only control : Secondary antibody is a ready to use Goat Anti-Rabbit IgG H&L (HRP).

Heat mediated antigen retrieval with Tris-EDTA buffer (pH 9.0, epitope retrieval solution2) for 20 mins.

Immunoprecipitation - Anti-Ly-6K antibody [EPR23021-61] (AB246486)
  • IP

Unknown

Immunoprecipitation - Anti-Ly-6K antibody [EPR23021-61] (AB246486)

Ly-6K was immunoprecipitated from 0.35 mg Human testis tissue lysate with ab246486 at 1/30 dilution (2ug in 0.35mg lysates). Western blot was performed on the immunoprecipitate using ab246486 at 1/500 dilution. VeriBlot for IP Detection Reagent (HRP)(ab131366) was used at 1/1000 dilution.

Lane 1 : Human testis tissue lysate 10 ug

Lane 2 : ab246486 IP in Human testis tissue lysate

Lane 3 : Rabbit monoclonal IgG (ab172730) instead of ab246486 in human testis tissue lysate

Blocking and dilution buffer and concentration : 5% NFDM/TBST.

Exposure time : 3 seconds.

All lanes:

Immunoprecipitation - Anti-Ly-6K antibody [EPR23021-61] (ab246486)

Predicted band size: 25 kDa

Observed band size: 24 kDa

false

Western blot - Anti-Ly-6K antibody [EPR23021-61] (AB246486)
  • WB

Lab

Western blot - Anti-Ly-6K antibody [EPR23021-61] (AB246486)

Blocking and diluting buffer and concentration : 5% NFDM/TBST.

The expression profile observed is consistent with what has been described in the literature (PMID : 27197181, 18089789).

Negative control : Human heart (PMID : 18089789) Exposure time : 10 seconds

All lanes:

Western blot - Anti-Ly-6K antibody [EPR23021-61] (ab246486) at 1/1000 dilution

Lane 1:

Human testis tissue lysate at 20 µg

Lane 2:

Human heart tissue lysate at 20 µg

Secondary

All lanes:

VeriBlot for IP secondary antibody(HRP)(<a href='/en-us/products/reagents/veriblot-for-ip-detection-reagent-hrp-ab131366'>ab131366</a>) at 1/1000 dilution

Predicted band size: 25 kDa

Observed band size: 24 kDa

false

Western blot - Anti-Ly-6K antibody [EPR23021-61] (AB246486)
  • WB

Lab

Western blot - Anti-Ly-6K antibody [EPR23021-61] (AB246486)

Lanes 1-2 : Merged signal (red and green). Green - ab246486 observed at 24 kDa. Red - loading control ab8245 observed at 36 kDa.

ab246486 Anti-Ly-6K antibody [EPR23021-61] was shown to specifically react with Ly-6K in wild-type HeLa cells. Loss of signal was observed when knockout cell line ab265874 (knockout cell lysate ab263248) was used. Wild-type and Ly-6K knockout samples were subjected to SDS-PAGE. ab246486 and Anti-GAPDH antibody [6C5] - Loading Control (ab8245) were incubated overnight at 4°C at 1 in 1000 dilution and 1 in 20000 dilution respectively. Blots were developed with Goat anti-Rabbit IgG H&L (IRDye® 800CW) preadsorbed (ab216773) and Goat anti-Mouse IgG H&L (IRDye® 680RD) preadsorbed (ab216776) secondary antibodies at 1 in 20000 dilution for 1 hour at room temperature before imaging.

All lanes:

Western blot - Anti-Ly-6K antibody [EPR23021-61] (ab246486) at 1/1000 dilution

Lane 1:

Wild-type HeLa (Human epithelial cell line from cervix adenocarcinoma) whole cell lysate at 20 µg

Lane 2:

LY6K knockout HeLa (Human epithelial cell line from cervix adenocarcinoma) whole cell lysate at 20 µg

Lane 2:

Western blot - Human LY6K (Ly-6K) knockout HeLa cell line (<a href='/en-us/products/cell-lines/human-ly6k-ly-6k-knockout-hela-cell-line-ab265874'>ab265874</a>)

Secondary

All lanes:

Western blot - Goat anti-Rabbit IgG H&L (IRDye® 800CW) preadsorbed (<a href='/en-us/products/secondary-antibodies/goat-rabbit-igg-h-l-irdye-800cw-preadsorbed-ab216773'>ab216773</a>) at 1/10000 dilution

Predicted band size: 25 kDa

Observed band size: 24 kDa

false

  • Carrier free

    Anti-Ly-6K antibody [EPR23021-61] - BSA and Azide free

Key facts

Host species

Rabbit

Clonality

Monoclonal

Clone number

EPR23021-61

Isotype

IgG

Carrier free

No

Reacts with

Human

Applications

WB, IHC-P, IP

applications

Immunogen

The exact immunogen used to generate this antibody is proprietary information.

Reactivity data

{ "title": "Reactivity Data", "filters": { "stats": ["", "Species", "Dilution Info", "Notes"], "tabs": { "all-applications": {"fullname" : "All Applications", "shortname": "All Applications"}, "IP" : {"fullname" : "Immunoprecipitation", "shortname":"IP"}, "FlowCyt" : {"fullname" : "Flow Cytometry", "shortname":"Flow Cyt"}, "WB" : {"fullname" : "Western blot", "shortname":"WB"}, "ICCIF" : {"fullname" : "Immunocytochemistry/ Immunofluorescence", "shortname":"ICC/IF"}, "IHCP" : {"fullname" : "Immunohistochemistry (Formalin/PFA-fixed paraffin-embedded sections)", "shortname":"IHC-P"} }, "product-promise": { "all": "all", "testedAndGuaranteed": "tested", "guaranteed": "expected", "predicted": "predicted", "notRecommended": "not-recommended" } }, "values": { "Human": { "IP-species-checked": "testedAndGuaranteed", "IP-species-dilution-info": "1/30", "IP-species-notes": "<p></p>", "FlowCyt-species-checked": "notRecommended", "FlowCyt-species-dilution-info": "", "FlowCyt-species-notes": "<p></p>", "WB-species-checked": "testedAndGuaranteed", "WB-species-dilution-info": "1/1000", "WB-species-notes": "<p></p>", "ICCIF-species-checked": "notRecommended", "ICCIF-species-dilution-info": "", "ICCIF-species-notes": "<p></p>", "IHCP-species-checked": "testedAndGuaranteed", "IHCP-species-dilution-info": "1/2000", "IHCP-species-notes": "<p></p> Perform heat-mediated antigen retrieval with Tris/EDTA buffer pH 9.0 before commencing with IHC staining protocol." }, "Mouse": { "IP-species-checked": "notRecommended", "IP-species-dilution-info": "", "IP-species-notes": "", "FlowCyt-species-checked": "notRecommended", "FlowCyt-species-dilution-info": "", "FlowCyt-species-notes": "", "WB-species-checked": "notRecommended", "WB-species-dilution-info": "1/1000", "WB-species-notes": "<p></p>", "ICCIF-species-checked": "notRecommended", "ICCIF-species-dilution-info": "", "ICCIF-species-notes": "", "IHCP-species-checked": "notRecommended", "IHCP-species-dilution-info": "1/2000", "IHCP-species-notes": "<p></p> Perform heat-mediated antigen retrieval with Tris/EDTA buffer pH 9.0 before commencing with IHC staining protocol." }, "Rat": { "IP-species-checked": "notRecommended", "IP-species-dilution-info": "", "IP-species-notes": "", "FlowCyt-species-checked": "notRecommended", "FlowCyt-species-dilution-info": "", "FlowCyt-species-notes": "", "WB-species-checked": "notRecommended", "WB-species-dilution-info": "1/1000", "WB-species-notes": "<p></p>", "ICCIF-species-checked": "notRecommended", "ICCIF-species-dilution-info": "", "ICCIF-species-notes": "", "IHCP-species-checked": "notRecommended", "IHCP-species-dilution-info": "1/2000", "IHCP-species-notes": "<p></p> Perform heat-mediated antigen retrieval with Tris/EDTA buffer pH 9.0 before commencing with IHC staining protocol." } } }

Product details

What is this antibody validated in?
Anti-Ly-6K antibody [EPR23021-61] (ab246486) is a rabbit recombinant monoclonal antibody and is validated for use in Western Blot (WB), Immunoprecipitation (IP), Immunohistochemistry (IHC-P) in Human samples.

What is the molecular weight of Ly-6K?
Anti-Ly-6K [EPR23021-61] (ab246486) specifically detects a band for Ly-6K (UniProt: Q17RY6) at a molecular weight of 19kDa.

Trial sizes available!
Test your antibody or perform pre-screening before committing to a larger quantity. Sold in 10µl. Discover our selection of trial-size antibodies.

Specificity confirmed
The specificity of Anti-Ly-6K antibody [EPR23021-61] (ab246486) has been confirmed by Western blot testing in LY6K Knockout HeLa cell line, ab265874.

Other related products
We have a range of other formats of antibody clone [EPR23021-61] also available for your convenience: ab246486, Carrier free - ab272394

Patented technology
Our RabMAb® technology is a patented hybridoma-based technology for making rabbit monoclonal antibodies. For details on our patents, please refer to RabMAb® patents.

What are the advantages of a recombinant monoclonal antibody?
This product is a recombinant monoclonal antibody, which offers several advantages including:

  • - High batch-to-batch consistency and reproducibility
  • - Improved sensitivity and specificity
  • - Long-term security of supply
  • - Animal-free batch production

For more information, read more on recombinant antibodies.

Properties and storage information

Form
Liquid
Purification technique
Affinity purification Protein A
Storage buffer
pH: 7.2 - 7.4 Preservative: 0.01% Sodium azide Constituents: PBS, 40% Glycerol (glycerin, glycerine), 0.05% BSA
Shipped at conditions
Blue Ice
Appropriate short-term storage duration
1-2 weeks
Appropriate short-term storage conditions
+4°C
Appropriate long-term storage conditions
-20°C
Aliquoting information
Upon delivery aliquot
Storage information
Avoid freeze / thaw cycle

Product protocols

For this product, it's our understanding that no specific protocols are required. You can visit:

Target data

Required for sperm migration into the oviduct and male fertility by controlling binding of sperm to zona pellucida (By similarity). May play a role in cell growth (PubMed : 18089789).
See full target information LY6K

Publications (1)

Recent publications for all applications. Explore the full list and refine your search

Frontiers in pharmacology 16:1559546 PubMed40115255

2025

Targeting glycolysis in esophageal squamous cell carcinoma: single-cell and multi-omics insights for risk stratification and personalized therapy.

Applications

Unspecified application

Species

Unspecified reactive species

Yan Wang,Yunjie Shi,Xiao Hu,Chenfang Wang
View all publications

Product promise

We are committed to supporting your work with high-quality reagents, and we're here for you every step of the way. In the unlikely event that one of our products does not perform as expected, you're protected by our Product Promise.
For full details, please see our Terms & Conditions

Please note: All products are 'FOR RESEARCH USE ONLY. NOT FOR USE IN DIAGNOSTIC OR THERAPEUTIC PROCEDURES'.

For licensing inquiries, please contact partnerships@abcam.com