JavaScript is disabled in your browser. Please enable JavaScript to view this website.
AB314121

Anti-Ly6c antibody [EPR27220-23] - BSA and Azide free

  • BOND RX™ Validated
  • Recombinant
  • Advanced Validation
  • RabMAb
  • What is this?

Be the first to review this product! Submit a review

|

(0 Publication)

Anti-Ly6c antibody [EPR27220-23] - BSA and Azide free (ab314121) is a rabbit recombinant monoclonal antibody provided in a PBS only buffer for easy conjugation detecting Ly6c in Western Blot, IHC-P, mIHC. Suitable for Mouse.

- BSA, sodium azide, and glycerol-free for easy conjugation
- Multiplex IHC validated on the Leica BOND® MAX using Opal reagents
- Biophysical QC for unrivalled batch-batch consistency

View Alternative Names

Lymphocyte antigen 6C1, Ly-6C1, Ly6c1

8 Images
Immunohistochemistry (Formalin/PFA-fixed paraffin-embedded sections) - Anti-Ly6c antibody [EPR27220-23] - BSA and Azide free (AB314121)
  • IHC-P

Supplier Data

Immunohistochemistry (Formalin/PFA-fixed paraffin-embedded sections) - Anti-Ly6c antibody [EPR27220-23] - BSA and Azide free (AB314121)

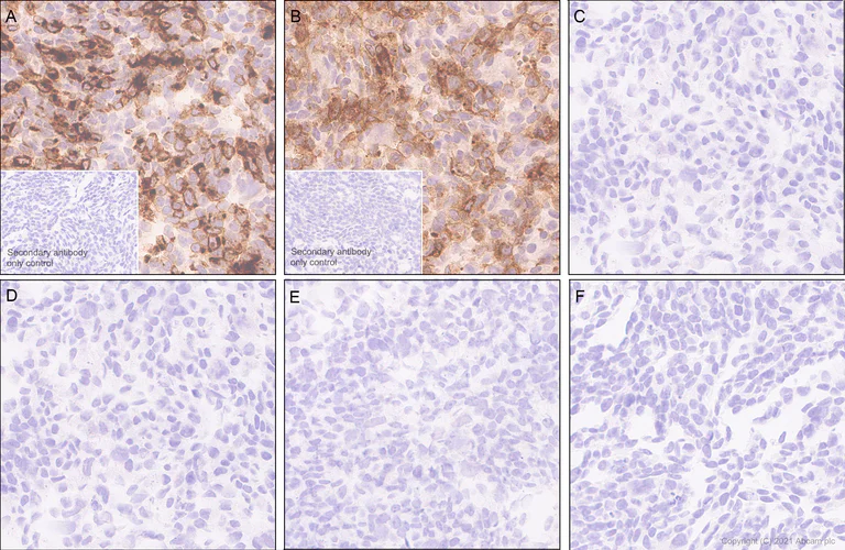
This data was developed using ab314120, the same antibody clone in a different buffer formulation. Immunohistochemical analysis of paraffin-embedded Panel A : HEK-293T ( tissue labeling Ly6c with ab314120 at 1/100 (5.19 ug/ml) followed by a ready to use LeicaDS9800 (Bond™ Polymer Refine Detection). Cytoplasmic staining on (A) HEK-293T transfected with mouse LY6C1 expression vector and (B) HEK-293T cells transfected with a mouse LY6C2 protein expression vector, no staining on (C) HEK-293T cells transfected with a mouse Ly6i protein expression vector, (D) HEK-293T cells transfected with a mouse Ly6g protein expression vector, (E) HEK-293T cells transfected with a mouse Ly6a protein expression vector and (F) HEK-293T transfected with empty vector.The section was incubated with ab314120 for 30 mins at room temperature. The immunostaining was performed on a Leica Biosystems BOND® RX instrument. Counterstained with Hematoxylin. Secondary antibody only control : Secondary antibody is a ready to use LeicaDS9800 (Bond™ Polymer Refine Detection). Heat mediated antigen retrieval was performed with Tris-EDTA buffer (pH 9.0, Epitope Retrieval Solution2) for 20 mins.

Immunohistochemistry (Formalin/PFA-fixed paraffin-embedded sections) - Anti-Ly6c antibody [EPR27220-23] - BSA and Azide free (AB314121)
  • IHC-P

Supplier Data

Immunohistochemistry (Formalin/PFA-fixed paraffin-embedded sections) - Anti-Ly6c antibody [EPR27220-23] - BSA and Azide free (AB314121)

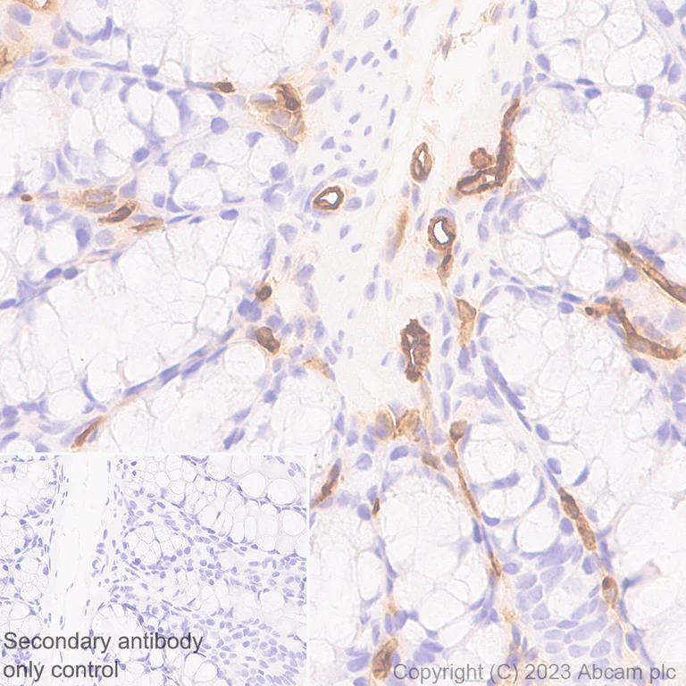
This data was developed using ab314120, the same antibody clone in a different buffer formulation. Immunohistochemical analysis of paraffin-embedded mouse colon tissue labeling Ly6c with ab314120 at 1/100 (5.19 ug/ml) followed by a ready to use LeicaDS9800 (Bond™ Polymer Refine Detection). Cytoplasmic staining on mouse colon vascular endothelium. The section was incubated with ab314120 for 30 mins at room temperature. The immunostaining was performed on a Leica Biosystems BOND® RX instrument. Counterstained with Hematoxylin. Secondary antibody only control : Secondary antibody is a ready to use LeicaDS9800 (Bond™ Polymer Refine Detection). Heat mediated antigen retrieval was performed with Tris-EDTA buffer (pH 9.0, Epitope Retrieval Solution2) for 20 mins.

Immunohistochemistry (Formalin/PFA-fixed paraffin-embedded sections) - Anti-Ly6c antibody [EPR27220-23] - BSA and Azide free (AB314121)
  • IHC-P

Supplier Data

Immunohistochemistry (Formalin/PFA-fixed paraffin-embedded sections) - Anti-Ly6c antibody [EPR27220-23] - BSA and Azide free (AB314121)

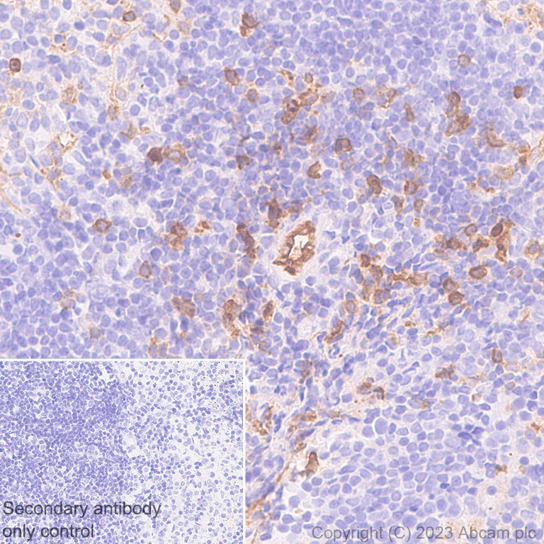
This data was developed using ab314120, the same antibody clone in a different buffer formulation. Immunohistochemical analysis of paraffin-embedded mouse spleen tissue labeling Ly6c with ab314120 at 1/100 (5.19 ug/ml) followed by a ready to use LeicaDS9800 (Bond™ Polymer Refine Detection). Cytoplasmic staining on mouse spleen. The section was incubated with ab314120 for 30 mins at room temperature. The immunostaining was performed on a Leica Biosystems BOND® RX instrument. Counterstained with Hematoxylin. Secondary antibody only control : Secondary antibody is a ready to use LeicaDS9800 (Bond™ Polymer Refine Detection). Heat mediated antigen retrieval was performed with Tris-EDTA buffer (pH 9.0, Epitope Retrieval Solution2) for 20 mins.

Multiplex immunohistochemistry - Anti-Ly6c antibody [EPR27220-23] - BSA and Azide free (AB314121)
  • mIHC

Supplier Data

Multiplex immunohistochemistry - Anti-Ly6c antibody [EPR27220-23] - BSA and Azide free (AB314121)

This data was produced using ab314120, the same clone but in a different formulation. Multiplex immunohistochemistry (Formalin/PFA-fixed paraffin-embedded sections) analysis of Mouse spleen tissue staining Ly6c with ab314120 at a 1/100 dilution ( 5.19 μg/ml), ab245235 anti-CD19 used at 1/1000 dilution (0.999 μg/ml), ab133357 anti-CD11b used at 1/20000 dilution (0.05 μg/ml). Panel A : merged staining of anti-Ly6c (green; Opal™690), anti-CD19 (gray; Opal™520) and anti-CD11b (red; Opal™570) on mouse spleen. Panel B : anti-Ly6c stained on monocytes/macrophages. Panel C : anti-CD19 stained on B cells. Panel D : anti-CD11b stained on monocytes/macrophages. The section was incubated in three rounds of staining : in the order of ab314120, ab245235, and ab133357 for 30 mins at room temperature. Each round was followed by a separate fluorescent tyramide signal amplification system. Heat mediated antigen retrieval was performed with Tris-EDTA buffer (pH 9.0, Epitope Retrieval Solution2) for 20 mins The immunostaining was performed on a Leica Biosystems BOND® RX instrument with an Opal™ 4-color kit. Image acquisition was performed with Leica SP8 confocal microscope.

Immunohistochemistry (Formalin/PFA-fixed paraffin-embedded sections) - Anti-Ly6c antibody [EPR27220-23] - BSA and Azide free (AB314121)
  • IHC-P

Supplier Data

Immunohistochemistry (Formalin/PFA-fixed paraffin-embedded sections) - Anti-Ly6c antibody [EPR27220-23] - BSA and Azide free (AB314121)

This data was developed using ab314120, the same antibody clone in a different buffer formulation. Immunohistochemical analysis of paraffin-embedded mouse cerebrum tissue labeling Ly6c with ab314120 at 1/100 followed by a ready to use LeicaDS9800 (Bond™ Polymer Refine Detection). Cytoplasmic staining on mouse cerebrum vascular endothelium. The section was incubated with ab314120 for 30 mins at room temperature. The immunostaining was performed on a Leica Biosystems BOND® RX instrument. Counterstained with Hematoxylin. Secondary antibody only control : Secondary antibody is a ready to use LeicaDS9800 (Bond™ Polymer Refine Detection). Heat mediated antigen retrieval was performed with Tris-EDTA buffer (pH 9.0, Epitope Retrieval Solution2) for 20 mins.

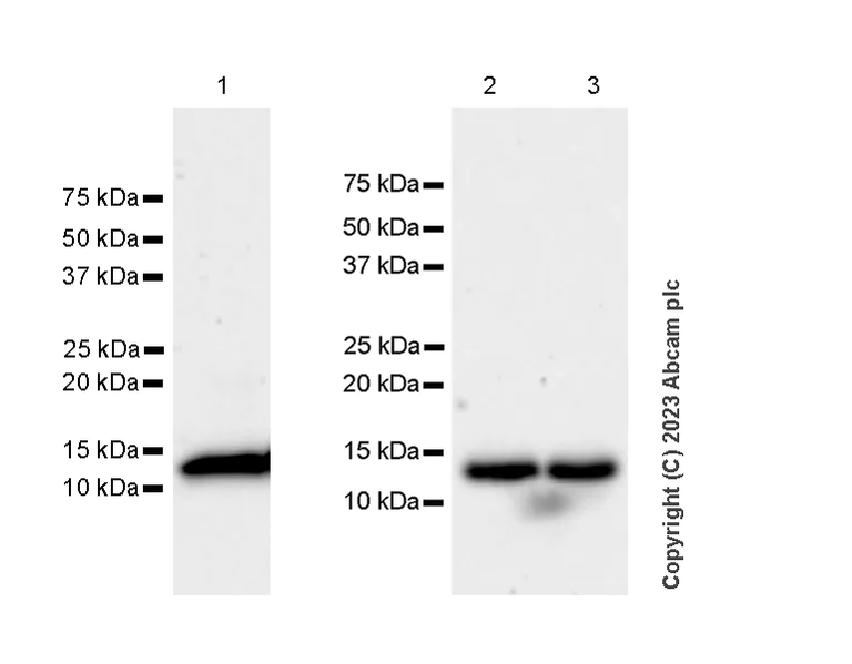
Western blot - Anti-Ly6c antibody [EPR27220-23] - BSA and Azide free (AB314121)
  • WB

Supplier Data

Western blot - Anti-Ly6c antibody [EPR27220-23] - BSA and Azide free (AB314121)

This data was developed using ab314120, the same antibody clone in a different buffer formulation. Blocking and diluting buffer and concentration : 5% NFDM/TBST Exposure time : 92 seconds

All lanes:

Western blot - Anti-Ly6c antibody [EPR27220-23] (<a href='/en-us/products/primary-antibodies/ly6c-antibody-epr27220-23-ab314120'>ab314120</a>) at 1/1000 dilution

Lane 1:

Mouse bone marrow lysate at 20 µg

Lane 2:

Mouse kidney lysate at 20 µg

Lane 3:

Mouse heart lysate at 20 µg

Secondary

All lanes:

Western blot - Goat Anti-Rabbit IgG H&L (HRP) (<a href='/en-us/products/secondary-antibodies/goat-rabbit-igg-h-l-hrp-ab97051'>ab97051</a>) at 1/100000 dilution

Observed band size: 14 kDa

false

Exposure time: 92s

Western blot - Anti-Ly6c antibody [EPR27220-23] - BSA and Azide free (AB314121)
  • WB

Supplier Data

Western blot - Anti-Ly6c antibody [EPR27220-23] - BSA and Azide free (AB314121)

This data was developed using ab314120, the same antibody clone in a different buffer formulation. Blocking and diluting buffer and concentration : 5% NFDM/TBST Low expression : testis, liver In Western blot, Anti-GAPDH antibody [EPR16891] - Loading Control (ab181602) staining at 1/200000 dilution. Exposure time : 92 seconds

All lanes:

Western blot - Anti-Ly6c antibody [EPR27220-23] (<a href='/en-us/products/primary-antibodies/ly6c-antibody-epr27220-23-ab314120'>ab314120</a>) at 1/1000 dilution

Lane 1:

Mouse lung lysate at 20 µg

Lane 2:

Mouse spleen lysate at 20 µg

Lane 3:

Mouse testis lysate at 20 µg

Lane 4:

Mouse liver lysate at 20 µg

Secondary

All lanes:

Western blot - Goat Anti-Rabbit IgG H&L (HRP) (<a href='/en-us/products/secondary-antibodies/goat-rabbit-igg-h-l-hrp-ab97051'>ab97051</a>) at 1/100000 dilution

Observed band size: 14 kDa

false

Exposure time: 92s

Western blot - Anti-Ly6c antibody [EPR27220-23] - BSA and Azide free (AB314121)
  • WB

Supplier Data

Western blot - Anti-Ly6c antibody [EPR27220-23] - BSA and Azide free (AB314121)

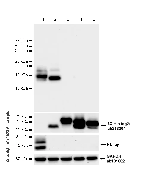
This data was developed using ab314120, the same antibody clone in a different buffer formulation. Blocking and diluting buffer and concentration : 5% NFDM/TBST This antibody recognizes both Ly6c1 and Ly6c2. In Western blot, Anti-GAPDH antibody [EPR16891] - Loading Control (ab181602) staining at 1/200000 dilution. In Western blot, Anti-6X His tag® antibody [EPR20547] - ChIP Grade (ab213204) staining at 1/5000 dilution Exposure time : 15 seconds

All lanes:

Western blot - Anti-Ly6c antibody [EPR27220-23] (<a href='/en-us/products/primary-antibodies/ly6c-antibody-epr27220-23-ab314120'>ab314120</a>) at 1/1000 dilution

Lane 1:

293T (human embryonic kidney epithelial cell) cells transfected with a mouse Ly6c1 expression vector containing a HA-tag whole cell lysate at 10 µg

Lane 2:

293T cells transfected with a mouse Ly6c2 expression vector containing a His-tag whole cell lysate at 10 µg

Lane 3:

293T cells transfected with a mouse Ly6i expression vector containing a His-tag whole cell lysate at 20 µg

Lane 4:

293T cells transfected with a mouse Ly6g expression vector containing a His-tag whole cell lysate at 20 µg

Lane 5:

293T cells transfected with a mouse Ly6a expression vector containing a His-tag whole cell lysate at 20 µg

Secondary

All lanes:

Western blot - Goat Anti-Rabbit IgG H&L (HRP) (<a href='/en-us/products/secondary-antibodies/goat-rabbit-igg-h-l-hrp-ab97051'>ab97051</a>) at 1/100000 dilution

Observed band size: 14 kDa

false

Exposure time: 15s

Key facts

Host species

Rabbit

Clonality

Monoclonal

Clone number

EPR27220-23

Isotype

IgG

Carrier free

Yes

Reacts with

Mouse

Applications

WB, IHC-P, mIHC

applications

Immunogen

The exact immunogen used to generate this antibody is proprietary information.

Specificity

This antibody recognizes both Ly6c1 and Ly6c2.

Reactivity data

{ "title": "Reactivity Data", "filters": { "stats": ["", "Species", "Dilution Info", "Notes"], "tabs": { "all-applications": {"fullname" : "All Applications", "shortname": "All Applications"}, "IHCP" : {"fullname" : "Immunohistochemistry (Formalin/PFA-fixed paraffin-embedded sections)", "shortname":"IHC-P"}, "WB" : {"fullname" : "Western blot", "shortname":"WB"}, "mIHC" : {"fullname" : "Multiplex immunohistochemistry", "shortname":"mIHC"}, "FlowCyt" : {"fullname" : "Flow Cytometry", "shortname":"Flow Cyt"}, "ICCIF" : {"fullname" : "Immunocytochemistry/ Immunofluorescence", "shortname":"ICC/IF"}, "IP" : {"fullname" : "Immunoprecipitation", "shortname":"IP"} }, "product-promise": { "all": "all", "testedAndGuaranteed": "tested", "guaranteed": "expected", "predicted": "predicted", "notRecommended": "not-recommended" } }, "values": { "Human": { "IHCP-species-checked": "notRecommended", "IHCP-species-dilution-info": "", "IHCP-species-notes": "<p></p>", "WB-species-checked": "notRecommended", "WB-species-dilution-info": "", "WB-species-notes": "", "mIHC-species-checked": "notRecommended", "mIHC-species-dilution-info": "", "mIHC-species-notes": "", "FlowCyt-species-checked": "notRecommended", "FlowCyt-species-dilution-info": "", "FlowCyt-species-notes": "", "ICCIF-species-checked": "notRecommended", "ICCIF-species-dilution-info": "", "ICCIF-species-notes": "", "IP-species-checked": "notRecommended", "IP-species-dilution-info": "", "IP-species-notes": "" }, "Mouse": { "IHCP-species-checked": "testedAndGuaranteed", "IHCP-species-dilution-info": "", "IHCP-species-notes": "<p></p>", "WB-species-checked": "testedAndGuaranteed", "WB-species-dilution-info": "", "WB-species-notes": "<p></p>", "mIHC-species-checked": "testedAndGuaranteed", "mIHC-species-dilution-info": "", "mIHC-species-notes": "<p></p>", "FlowCyt-species-checked": "notRecommended", "FlowCyt-species-dilution-info": "", "FlowCyt-species-notes": "<p></p>", "ICCIF-species-checked": "notRecommended", "ICCIF-species-dilution-info": "", "ICCIF-species-notes": "<p></p>", "IP-species-checked": "notRecommended", "IP-species-dilution-info": "", "IP-species-notes": "<p></p>" }, "Rat": { "IHCP-species-checked": "notRecommended", "IHCP-species-dilution-info": "", "IHCP-species-notes": "<p></p>", "WB-species-checked": "notRecommended", "WB-species-dilution-info": "", "WB-species-notes": "<p></p>", "mIHC-species-checked": "notRecommended", "mIHC-species-dilution-info": "", "mIHC-species-notes": "", "FlowCyt-species-checked": "notRecommended", "FlowCyt-species-dilution-info": "", "FlowCyt-species-notes": "", "ICCIF-species-checked": "notRecommended", "ICCIF-species-dilution-info": "", "ICCIF-species-notes": "", "IP-species-checked": "notRecommended", "IP-species-dilution-info": "", "IP-species-notes": "" }, "Transfected cell line - Human": { "IHCP-species-checked": "testedAndGuaranteed", "IHCP-species-dilution-info": "", "IHCP-species-notes": "<p></p>", "WB-species-checked": "notRecommended", "WB-species-dilution-info": "", "WB-species-notes": "", "mIHC-species-checked": "notRecommended", "mIHC-species-dilution-info": "", "mIHC-species-notes": "", "FlowCyt-species-checked": "notRecommended", "FlowCyt-species-dilution-info": "", "FlowCyt-species-notes": "", "ICCIF-species-checked": "notRecommended", "ICCIF-species-dilution-info": "", "ICCIF-species-notes": "", "IP-species-checked": "notRecommended", "IP-species-dilution-info": "", "IP-species-notes": "" }, "Transfected cell line - Mouse": { "IHCP-species-checked": "testedAndGuaranteed", "IHCP-species-dilution-info": "", "IHCP-species-notes": "<p></p>", "WB-species-checked": "notRecommended", "WB-species-dilution-info": "", "WB-species-notes": "", "mIHC-species-checked": "notRecommended", "mIHC-species-dilution-info": "", "mIHC-species-notes": "", "FlowCyt-species-checked": "notRecommended", "FlowCyt-species-dilution-info": "", "FlowCyt-species-notes": "", "ICCIF-species-checked": "notRecommended", "ICCIF-species-dilution-info": "", "ICCIF-species-notes": "", "IP-species-checked": "notRecommended", "IP-species-dilution-info": "", "IP-species-notes": "" }, "Transfected cell lysate - Mouse": { "IHCP-species-checked": "notRecommended", "IHCP-species-dilution-info": "", "IHCP-species-notes": "", "WB-species-checked": "testedAndGuaranteed", "WB-species-dilution-info": "", "WB-species-notes": "<p></p>", "mIHC-species-checked": "notRecommended", "mIHC-species-dilution-info": "", "mIHC-species-notes": "", "FlowCyt-species-checked": "notRecommended", "FlowCyt-species-dilution-info": "", "FlowCyt-species-notes": "", "ICCIF-species-checked": "notRecommended", "ICCIF-species-dilution-info": "", "ICCIF-species-notes": "", "IP-species-checked": "notRecommended", "IP-species-dilution-info": "", "IP-species-notes": "" } } }

Product details

What is this antibody validated in?
Anti-Ly6c antibody [EPR27220-23] - BSA and Azide free (ab314121) is a rabbit recombinant monoclonal antibody and is validated for use in Western Blot (WB), Immunohistochemistry (IHC-P), Multiplex IHC (mIHC) in Mouse samples.

Other related products
We have a range of other formats of antibody clone [EPR27220-23] also available for your convenience: ab314120, Carrier free - ab314121, Alexa Fluor® 647 - ab319187

Patented technology
Our RabMAb® technology is a patented hybridoma-based technology for making rabbit monoclonal antibodies. For details on our patents, please refer to RabMAb® patents.

What are the advantages of a recombinant monoclonal antibody?
This product is a recombinant monoclonal antibody, which offers several advantages including:

  • - High batch-to-batch consistency and reproducibility
  • - Improved sensitivity and specificity
  • - Long-term security of supply
  • - Animal-free batch production

For more information, read more on recombinant antibodies.

Conjugation ready
Our carrier-free antibodies are typically supplied in a PBS-only formulation, purified and free of BSA, sodium azide and glycerol. This conjugation-ready format is designed for use with fluorochromes, metal isotopes, oligonucleotides, and enzymes, which makes them ideal for antibody labelling, functional and cell-based assays, flow-based assays (e.g. mass cytometry) and Multiplex Imaging applications.

Use our conjugation kits for antibody conjugates that are ready-to-use in as little as 20 minutes with 1 minute hands-on-time and 100% antibody recovery: available for fluorescent dyes, HRP, biotin and gold.

Compatibility
This product is compatible with the Maxpar® Antibody Labeling Kit from Fluidigm, without the need for antibody preparation. Maxpar® is a trademark of Fluidigm Canada Inc.

Properties and storage information

Form
Liquid
Purification technique
Affinity purification Protein A
Storage buffer
pH: 7.2 - 7.4 Constituents: PBS
Shipped at conditions
Blue Ice
Appropriate short-term storage conditions
+4°C
Appropriate long-term storage conditions
+4°C

Supplementary information

This supplementary information is collated from multiple sources and compiled automatically.

Ly6c also known as Ly-6C is a protein marker with a molecular weight of approximately 18 kDa. It is part of the Ly6 family of glycosylphosphatidylinositol (GPI)-anchored cell surface proteins. Ly6c is predominantly expressed in mice on the surface of certain immune cells including monocytes macrophages dendritic cells and subsets of T cells. The expression levels can vary depending on the cell type and the activation or developmental stage of the cell. Ly6c serves as a useful marker in immunological studies to distinguish between different subsets of monocytes commonly identified as Ly6c^high and Ly6c^low populations.
Biological function summary

Ly6c is involved in the differentiation and trafficking of immune cells. It is not known to be part of a larger protein complex. In the immune system the Ly6c marker is critical for distinguishing between classical and non-classical monocytes in mice. Classical monocytes expressing high levels of Ly6c are involved in rapid response to inflammatory stimuli while non-classical monocytes with lower Ly6c expression help in patrolling blood vessels. This distinction is important in understanding how the immune system responds to various infections and how the body maintains immune homeostasis.

Pathways

Ly6c plays a role in the monocyte recruitment and differentiation pathways. It is closely related to the chemokine signaling pathway influencing how immune cells migrate towards sites of inflammation or injury. The presence of the Ly6c2 protein an isoform of Ly6c helps modulate these responses by interacting with cytokines and chemokines that guide the trafficking of immune cells. The presence of Ly6c influences the activity of proteins like CCR2 which plays a significant role in chemotaxis in response to inflammation.

Ly6c is associated with inflammatory and autoimmune conditions. For example high Ly6c expression has been linked to inflammatory bowel disease (IBD) and atherosclerosis. In IBD the ability of Ly6c^high monocytes to migrate to the gut and promote inflammation is well-documented. Similarly in atherosclerosis the recruitment of Ly6c^high monocytes to blood vessels contributes to plaque formation. In these contexts proteins like MCP-1 (also known as CCL2) interact with Ly6c-expressing cells facilitating their movement and function in disease processes. Understanding the role of Ly6c in these conditions might help develop targeted therapies to mitigate chronic inflammation and related diseases.

Product protocols

For this product, it's our understanding that no specific protocols are required. You can visit:

Product promise

We are committed to supporting your work with high-quality reagents, and we're here for you every step of the way. In the unlikely event that one of our products does not perform as expected, you're protected by our Product Promise.
For full details, please see our Terms & Conditions

Please note: All products are 'FOR RESEARCH USE ONLY. NOT FOR USE IN DIAGNOSTIC OR THERAPEUTIC PROCEDURES'.

For licensing inquiries, please contact partnerships@abcam.com