JavaScript is disabled in your browser. Please enable JavaScript to view this website.
AB54223

Anti-Ly6c antibody [ER-MP20]

5

(1 Review)

|

(15 Publications)

Anti-Ly6c antibody [ER-MP20] (ab54223) is a rat monoclonal antibody detecting Ly6c in Flow Cytometry, IHC-Fr. Suitable for Mouse.

- Over 10 publications
- Trusted since 2007

View Alternative Names

Lymphocyte antigen 6C1, Ly-6C1, Ly6c1

3 Images
Flow Cytometry - Anti-Ly6c antibody [ER-MP20] (AB54223)
  • Flow Cyt

Supplier Data

Flow Cytometry - Anti-Ly6c antibody [ER-MP20] (AB54223)

Flow cytometric analysis of Mouse Blood cells labelling Ly6c with ab54223 (Red) at 1/50 dilution compared with Rat IgG2a Negative Control (Black).

Immunohistochemistry (Frozen sections) - Anti-Ly6c antibody [ER-MP20] (AB54223)
  • IHC-Fr

Supplier Data

Immunohistochemistry (Frozen sections) - Anti-Ly6c antibody [ER-MP20] (AB54223)

Immunohistochemical analysis of frozen Mouse lymph node tissue labeling Ly6c with ab283653 at 1/100 dilution, followed by horseradish peroxidase conjugated Goat anti Rat IgG antibody as the secondary antibody.

Immunohistochemistry (Frozen sections) - Anti-Ly6c antibody [ER-MP20] (AB54223)
  • IHC-Fr

AbReview20604****

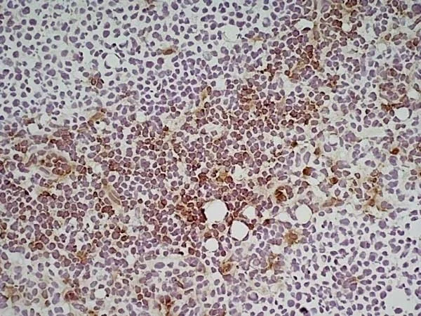
Immunohistochemistry (Frozen sections) - Anti-Ly6c antibody [ER-MP20] (AB54223)

ab54223 staining Ly6c in mouse spleen tissue sections by Immunohistochemistry (frozen sections). Tissue was fixed with paraformaldehyde and then blocked with TNB for 30 minutes at 22°C followed by incubation with the primary antibody, at a 1/100 dilution, for 18 hours at 4°C. A Biotin-conjugated goat anti-rat polyclonal was used as secondary antibody at a 1/500 dilution.

Image courtesy of an anonymous Abreview.

Key facts

Host species

Rat

Clonality

Monoclonal

Clone number

ER-MP20

Isotype

IgG2a

Carrier free

No

Reacts with

Mouse

Applications

IHC-Fr, Flow Cyt

applications

Specificity

ab54223 recognizes murine Ly-6C, a 131 amino acid ~14 kDa differentiation antigen, expressed on macrophage/dendritic cell precursors in mid-stage development (late CFU-M, monoblasts and immature monocytes), granulocytes, and on a wide range of endothelial cells and subpopulations of B- and T-lymphocytes.

ab54223 is able to distinguish multiple mouse blood monocyte subsets: immature Ly-6Chi monocytes are recruited to acute peripheral inflammation and develop into Ly-6C+ exudate macrophages, whereas more mature Ly-6C-/lo monocytes are precursors for tissue macrophages and dendritic cells in steady state.

ab54223 was originally described as recognizing a protein encoded by the LY6C gene. It has subsequently become apparent that the LY6C locus demonstrates polymorphism and the LY6C gene has been re-designated LY6C2. The LY6C1 gene encodes a similar protein with ~95% sequence homology to LY6C2

Reactivity data

{ "title": "Reactivity Data", "filters": { "stats": ["", "Species", "Dilution Info", "Notes"], "tabs": { "all-applications": {"fullname" : "All Applications", "shortname": "All Applications"}, "FlowCyt" : {"fullname" : "Flow Cytometry", "shortname":"Flow Cyt"}, "IHCFr" : {"fullname" : "Immunohistochemistry (Frozen sections)", "shortname":"IHC-Fr"} }, "product-promise": { "all": "all", "testedAndGuaranteed": "tested", "guaranteed": "expected", "predicted": "predicted", "notRecommended": "not-recommended" } }, "values": { "Mouse": { "FlowCyt-species-checked": "testedAndGuaranteed", "FlowCyt-species-dilution-info": "1/10 - 1/50", "FlowCyt-species-notes": "<p>Use 10 μl of the suggested working dilution to label 10<sup>6</sup> cells in 100ul.</p>", "IHCFr-species-checked": "testedAndGuaranteed", "IHCFr-species-dilution-info": "1/100", "IHCFr-species-notes": "<p>We recommend titration to determine the optimal conditions for specific staining assays.</p>" } } }

Product details

This product should be stored undiluted. Shelf life - 18 months

Studies show that clone ER-MP20 can be used in conjunction with clone ER-MP12 in two colour flow cytometric analysis, to identify different stages of myeloid progenitor cells in mouse bone marrow.

Product Specifications
Anti-Ly6c antibody [ER-MP20] (ab54223) is a rat monoclonal antibody and is validated for use in Flow Cyt, IHC-Fr in mouse samples.
Anti-Ly6c antibody [ER-MP20] (ab54223) specifically detects Ly6c (UniProt ID: P0CW03; Molecular weight: 9kDa) and is sold in 100 µg selling sizes.

Quality and Validation
Abcam's high quality validation processes ensure Anti-Ly6c antibody [ER-MP20] (ab54223) has high sensitivity and specificity.
Anti-Ly6c antibody [ER-MP20] (ab54223) has been cited over 13 times in peer reviewed journals and is trusted by the scientific community.


Related Products
Conjugation-ready, carrier free format available for antibody clone ER-MP20 - ab236269.

Properties and storage information

Form
Liquid
Purification technique
Affinity purification Protein G
Purification notes
Purified IgG prepared by affinity chromatography on Protein G from tissue culture supernatant
Storage buffer
pH: 7.4 Preservative: 0.09% Sodium azide Constituents: 99% PBS
Shipped at conditions
Blue Ice
Appropriate short-term storage duration
1-2 weeks
Appropriate short-term storage conditions
+4°C
Appropriate long-term storage conditions
-20°C
Aliquoting information
Upon delivery aliquot
Storage information
Avoid freeze / thaw cycle

Supplementary information

This supplementary information is collated from multiple sources and compiled automatically.

Ly6c also known as Ly-6C is a protein marker with a molecular weight of approximately 18 kDa. It is part of the Ly6 family of glycosylphosphatidylinositol (GPI)-anchored cell surface proteins. Ly6c is predominantly expressed in mice on the surface of certain immune cells including monocytes macrophages dendritic cells and subsets of T cells. The expression levels can vary depending on the cell type and the activation or developmental stage of the cell. Ly6c serves as a useful marker in immunological studies to distinguish between different subsets of monocytes commonly identified as Ly6c^high and Ly6c^low populations.
Biological function summary

Ly6c is involved in the differentiation and trafficking of immune cells. It is not known to be part of a larger protein complex. In the immune system the Ly6c marker is critical for distinguishing between classical and non-classical monocytes in mice. Classical monocytes expressing high levels of Ly6c are involved in rapid response to inflammatory stimuli while non-classical monocytes with lower Ly6c expression help in patrolling blood vessels. This distinction is important in understanding how the immune system responds to various infections and how the body maintains immune homeostasis.

Pathways

Ly6c plays a role in the monocyte recruitment and differentiation pathways. It is closely related to the chemokine signaling pathway influencing how immune cells migrate towards sites of inflammation or injury. The presence of the Ly6c2 protein an isoform of Ly6c helps modulate these responses by interacting with cytokines and chemokines that guide the trafficking of immune cells. The presence of Ly6c influences the activity of proteins like CCR2 which plays a significant role in chemotaxis in response to inflammation.

Ly6c is associated with inflammatory and autoimmune conditions. For example high Ly6c expression has been linked to inflammatory bowel disease (IBD) and atherosclerosis. In IBD the ability of Ly6c^high monocytes to migrate to the gut and promote inflammation is well-documented. Similarly in atherosclerosis the recruitment of Ly6c^high monocytes to blood vessels contributes to plaque formation. In these contexts proteins like MCP-1 (also known as CCL2) interact with Ly6c-expressing cells facilitating their movement and function in disease processes. Understanding the role of Ly6c in these conditions might help develop targeted therapies to mitigate chronic inflammation and related diseases.

Product protocols

For this product, it's our understanding that no specific protocols are required. You can visit:

Publications (15)

Recent publications for all applications. Explore the full list and refine your search

Virus research 329:199092 PubMed36965673

2023

Development of NS2B-NS3 protease inhibitor that impairs Zika virus replication.

Applications

Unspecified application

Species

Unspecified reactive species

Wen-Wei Lin,Yi-Jung Huang,Yen-Tseng Wang,Yun-Syuan Lin,Nonsikelelo Mazibuko,Chien-Shu Chen,Tian-Lu Cheng,Chih-Shiang Chang,Yu-Ling Leu,Chiao-Yun Chen,Chih-Hung Chuang

Frontiers in immunology 14:1098056 PubMed36911682

2023

Characteristic gene expression in the liver monocyte-macrophage-DC system is associated with the progression of fibrosis in NASH.

Applications

Unspecified application

Species

Unspecified reactive species

Xiaoxiao Wang,Zilong Wang,Baiyi Liu,Rui Jin,Yuyun Song,Ran Fei,Xu Cong,Rui Huang,Xiaohe Li,Jia Yang,Lai Wei,Huiying Rao,Feng Liu

Journal of neuroinflammation 19:203 PubMed35941655

2022

Macrophages in close proximity to the vitreoretinal interface are potential biomarkers of inflammation during retinal vascular disease.

Applications

Unspecified application

Species

Unspecified reactive species

Amrita Rajesh,Steven Droho,Jeremy A Lavine

Nature communications 13:897 PubMed35173168

2022

Lin28B-high breast cancer cells promote immune suppression in the lung pre-metastatic niche via exosomes and support cancer progression.

Applications

Unspecified application

Species

Unspecified reactive species

Meiyan Qi,Yun Xia,Yanjun Wu,Zhuo Zhang,Xinyu Wang,Liying Lu,Cheng Dai,Yanan Song,Keying Xu,Weiwei Ji,Lixing Zhan

Immunity 50:317-333.e6 PubMed30683620

2019

Cell-Type-Specific Interleukin 1 Receptor 1 Signaling in the Brain Regulates Distinct Neuroimmune Activities.

Applications

Unspecified application

Species

Unspecified reactive species

Xiaoyu Liu,Daniel P Nemeth,Daniel B McKim,Ling Zhu,Damon J DiSabato,Olimpia Berdysz,Gowthami Gorantla,Braedan Oliver,Kristina G Witcher,Yufen Wang,Christina E Negray,Rekha S Vegesna,John F Sheridan,Jonathan P Godbout,Matthew J Robson,Randy D Blakely,Phillip G Popovich,Staci D Bilbo,Ning Quan

Glia 67:291-308 PubMed30456797

2018

Microglial modulation through colony-stimulating factor-1 receptor inhibition attenuates demyelination.

Applications

Unspecified application

Species

Unspecified reactive species

Victoria Sofía Berenice Wies Mancini,Juana María Pasquini,Jorge Daniel Correale,Laura Andrea Pasquini

Glia 66:2719-2736 PubMed30378170

2018

Traumatic brain injury-induced neuronal damage in the somatosensory cortex causes formation of rod-shaped microglia that promote astrogliosis and persistent neuroinflammation.

Applications

Unspecified application

Species

Unspecified reactive species

Kristina G Witcher,Chelsea E Bray,Julia E Dziabis,Daniel B McKim,Brooke N Benner,Rachel K Rowe,Olga N Kokiko-Cochran,Phillip G Popovich,Jonathan Lifshitz,Daniel S Eiferman,Jonathan P Godbout

The Journal of neuroscience : the official journal of the Society for Neuroscience 35:2860-70 PubMed25698726

2015

Interleukin 1 type 1 receptor restore: a genetic mouse model for studying interleukin 1 receptor-mediated effects in specific cell types.

Applications

IHC-Fr

Species

Mouse

Xiaoyu Liu,Tetsuji Yamashita,Qun Chen,Natalya Belevych,Daniel B Mckim,Andrew J Tarr,Vincenzo Coppola,Nikitaa Nath,Daniel P Nemeth,Zunera W Syed,John F Sheridan,Jonathan P Godbout,Jian Zuo,Ning Quan

The Journal of neuroscience : the official journal of the Society for Neuroscience 33:13820-33 PubMed23966702

2013

Stress-induced recruitment of bone marrow-derived monocytes to the brain promotes anxiety-like behavior.

Applications

Unspecified application

Species

Unspecified reactive species

Eric S Wohleb,Nicole D Powell,Jonathan P Godbout,John F Sheridan

Circulation 120:1893-902 PubMed19858416

2009

Hyperhomocysteinemia promotes inflammatory monocyte generation and accelerates atherosclerosis in transgenic cystathionine beta-synthase-deficient mice.

Applications

IHC-Fr

Species

Mouse

Daqing Zhang,Xiaohua Jiang,Pu Fang,Yan Yan,Jian Song,Sapna Gupta,Andrew I Schafer,William Durante,Warren D Kruger,Xiaofeng Yang,Hong Wang
View all publications

Product promise

We are committed to supporting your work with high-quality reagents, and we're here for you every step of the way. In the unlikely event that one of our products does not perform as expected, you're protected by our Product Promise.
For full details, please see our Terms & Conditions

Please note: All products are 'FOR RESEARCH USE ONLY. NOT FOR USE IN DIAGNOSTIC OR THERAPEUTIC PROCEDURES'.

For licensing inquiries, please contact partnerships@abcam.com