JavaScript is disabled in your browser. Please enable JavaScript to view this website.
AB317273

Anti-LY6C antibody [RM1151] - BSA and Azide free

  • BOND RX™ Validated
  • Recombinant
  • Advanced Validation
  • RabMAb
  • What is this?

Be the first to review this product! Submit a review

|

(0 Publication)

Rabbit Recombinant Multiclonal Ly6c antibody. Carrier free. Suitable for IHC-P, WB, mIHC, ICC/IF, Flow Cyt, IP and reacts with Mouse samples.

View Alternative Names

Lymphocyte antigen 6C1, Ly-6C1, Ly6c1

12 Images
Multiplex immunohistochemistry - Anti-LY6C antibody [RM1151] - BSA and Azide free (AB317273)
  • mIHC

Supplier Data

Multiplex immunohistochemistry - Anti-LY6C antibody [RM1151] - BSA and Azide free (AB317273)

This data was developed using ab317272, the same antibody clone in a different buffer formulation.

Multiplex immunohistochemistry analysis of formalin/PFA-fixed paraffin-embedded mouse spleen tissue staining LY6C with ab317272 at a 1 : 100 (0.978 ug/ml) dilution, ab133357 anti-CD11b used at 1 : 20000 (0.05 ug/ml) dilution and ab245235 anti-CD19 used at a 1 : 1000 (0.999 ug/ml) dilution.

Panel A : merged staining of anti-Ly6c (green; Opal™690), anti-CD11b (magenta; Opal™570) and anti-CD19 (yellow; Opal™520) on mouse spleen.
Panel B : anti-Ly6c stained on monocytes/macrophages.
Panel C : anti-CD11b stained on monocytes/macrophages.
Panel D : anti-CD19 stained on B cells.
Co-staining of Ly6c and CD11b can be observed.
The section was incubated in three rounds of staining : in the order of ab317272, ab133357, and ab245235 for 30 mins at room temperature. Each round was followed by a separate fluorescent tyramide signal amplification system.
Nuclear DNA was labeled with DAPI (shown in blue).

The immunostaining was performed on a Leica Biosystems BOND® RX instrument with an Opal™ 4-color kit. Image acquisition was performed with Leica SP8 confocal microscope.

Nuclear counter stain with DAPI.

Heat mediated antigen retrieval was performed with Tris-EDTA buffer (pH 9.0, Epitope Retrieval Solution2) for 20 mins.

Immunohistochemistry (Formalin/PFA-fixed paraffin-embedded sections) - Anti-LY6C antibody [RM1151] - BSA and Azide free (AB317273)
  • IHC-P

Supplier Data

Immunohistochemistry (Formalin/PFA-fixed paraffin-embedded sections) - Anti-LY6C antibody [RM1151] - BSA and Azide free (AB317273)

This data was developed using ab317272, the same antibody clone in a different buffer formulation.

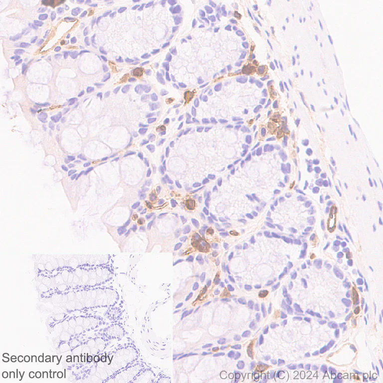
Immunohistochemical analysis of paraffin-embedded Mouse colon tissue labeling LY6C with ab317272 at 1/500 (0.978 ug/ml) dilution, followed by a ready to use LeicaDS9800 (Bond™ Polymer Refine Detection).

Positive staining on endothelial cells and immune cells in mouse colon. The section was incubated with ab317272 for 30 mins at room temperature.
The immunostaining was performed on a Leica Biosystems BOND® RX instrument

Counterstained with Hematoxylin.

Secondary antibody only control : Secondary antibody is a ready to use LeicaDS9800 (Bond™ Polymer Refine Detection).

Heat mediated antigen retrieval was performed with Tris-EDTA buffer (pH 9.0, Epitope Retrieval Solution2) for 20 mins

Immunohistochemistry (Formalin/PFA-fixed paraffin-embedded sections) - Anti-LY6C antibody [RM1151] - BSA and Azide free (AB317273)
  • IHC-P

Supplier Data

Immunohistochemistry (Formalin/PFA-fixed paraffin-embedded sections) - Anti-LY6C antibody [RM1151] - BSA and Azide free (AB317273)

This data was developed using ab317272, the same antibody clone in a different buffer formulation.

Immunohistochemical analysis of paraffin-embedded Mouse cerebrum tissue labeling LY6C with ab317272 at 1/500 (0.978 ug/ml) dilution, followed by a ready to use LeicaDS9800 (Bond™ Polymer Refine Detection).

Positive staining on endothelial cells in mouse cerebrum. The section was incubated with ab317272 for 30 mins at room temperature.
The immunostaining was performed on a Leica Biosystems BOND® RX instrument

Counterstained with Hematoxylin.

Secondary antibody only control : Secondary antibody is a ready to use LeicaDS9800 (Bond™ Polymer Refine Detection).

Heat mediated antigen retrieval was performed with Tris-EDTA buffer (pH 9.0, Epitope Retrieval Solution2) for 20 mins

Immunohistochemistry (Formalin/PFA-fixed paraffin-embedded sections) - Anti-LY6C antibody [RM1151] - BSA and Azide free (AB317273)
  • IHC-P

Supplier Data

Immunohistochemistry (Formalin/PFA-fixed paraffin-embedded sections) - Anti-LY6C antibody [RM1151] - BSA and Azide free (AB317273)

This data was developed using ab317272, the same antibody clone in a different buffer formulation.

Immunohistochemical analysis of paraffin-embedded Mouse spleen tissue labeling LY6C with ab317272 at 1/500 (0.978 ug/ml) dilution, followed by a ready to use LeicaDS9800 (Bond™ Polymer Refine Detection).

Positive staining on endothelial cells and immune cells in mouse spleen. The section was incubated with ab317272 for 30 mins at room temperature.
The immunostaining was performed on a Leica Biosystems BOND® RX instrument

Counterstained with Hematoxylin.

Secondary antibody only control : Secondary antibody is a ready to use LeicaDS9800 (Bond™ Polymer Refine Detection).

Heat mediated antigen retrieval was performed with Tris-EDTA buffer (pH 9.0, Epitope Retrieval Solution2) for 20 mins

Immunocytochemistry/ Immunofluorescence - Anti-LY6C antibody [RM1151] - BSA and Azide free (AB317273)
  • ICC/IF

Supplier Data

Immunocytochemistry/ Immunofluorescence - Anti-LY6C antibody [RM1151] - BSA and Azide free (AB317273)

This data was developed using ab317272, the same antibody clone in a different buffer formulation.

Immunofluorescent analysis of 4% Paraformaldehyde-fixed, 0.1% TritonX-100 permeabilized Mouse splenocyte cells labelling LY6C with ab317272 at 1/500 (0.978 ug/ml) dilution, followed by ab150081 Goat Anti-Rabbit IgG H&L (Alexa Fluor® 488) preadsorbed antibody at 1/1000 (2 ug/ml) dilution (Green).

Confocal image showing cytoplasmic staining in subsets of mouse splenocytes (shown in green), which is partially co-located with CD11b. The counterstain was observed in magenta. Nuclear DNA was labeled with DAPI (shown in blue). Image was taken with a confocal microscope (Leica-Microsystems, TCS SP8).

ab8878 Anti-CD11b Rat monoclonal antibody was used to counterstain at 1/200 (2.5ug/ml) dilution (Magenta). The Nuclear counterstain was DAPI (Blue).

Secondary antibody only control : Secondary antibody is ab150081 Goat Anti-Rabbit IgG H&L (Alexa Fluor® 488) preadsorbed at 1/1000 (2 ug/ml) dilution.

Immunocytochemistry/ Immunofluorescence - Anti-LY6C antibody [RM1151] - BSA and Azide free (AB317273)
  • ICC/IF

Supplier Data

Immunocytochemistry/ Immunofluorescence - Anti-LY6C antibody [RM1151] - BSA and Azide free (AB317273)

This data was developed using ab317272, the same antibody clone in a different buffer formulation.

Immunofluorescent analysis of 4% Paraformaldehyde-fixed, 0.1% TritonX-100 permeabilized Mouse bone marrow cells labelling LY6C with ab317272 at 1/500 (0.978 ug/ml) dilution, followed by ab150081 Goat Anti-Rabbit IgG H&L (Alexa Fluor® 488) preadsorbed antibody at 1/1000 (2 ug/ml) dilution (Green).

Confocal image showing cytoplasmic staining in subsets of mouse bone marrow (shown in green), which is partially co-located with CD11b. The counterstain was observed in magenta. Nuclear DNA was labeled with DAPI (shown in blue). Image was taken with a confocal microscope (Leica-Microsystems, TCS SP8).

ab8878 Anti-CD11b Rat monoclonal antibody was used to counterstain at 1/200 (2.5ug/ml) dilution (Magenta). The Nuclear counterstain was DAPI (Blue).

Secondary antibody only control : Secondary antibody is ab150081 Goat Anti-Rabbit IgG H&L (Alexa Fluor® 488) preadsorbed at 1/1000 (2 ug/ml) dilution.

Flow Cytometry - Anti-LY6C antibody [RM1151] - BSA and Azide free (AB317273)
  • Flow Cyt

Supplier Data

Flow Cytometry - Anti-LY6C antibody [RM1151] - BSA and Azide free (AB317273)

This data was developed using ab317272, the same antibody clone in a different buffer formulation.

Flow cytometric analysis of Mouse bone marrow cells labelling LY6C with ab317272 at 1/500 dilution (0.1 ug)/Right compared with a Rabbit monoclonal IgG (ab172730) / Left isotype control.

Goat Anti-Rabbit IgG (Alexa Fluor® 488, ab150081) at 1/5000 dilution was used as the secondary antibody.

Mouse bone marrow are co-stained with CD11b conjugated BV510 (512/25BP).
Gated on viable cell.

Flow Cytometry - Anti-LY6C antibody [RM1151] - BSA and Azide free (AB317273)
  • Flow Cyt

Supplier Data

Flow Cytometry - Anti-LY6C antibody [RM1151] - BSA and Azide free (AB317273)

This data was developed using ab317272, the same antibody clone in a different buffer formulation.

Flow cytometric analysis of Mouse spleen cell cells labelling LY6C with ab317272 at 1/500 dilution (0.1 ug)/Right compared with a Rabbit monoclonal IgG (ab172730) / Left isotype control.

Goat Anti-Rabbit IgG (Alexa Fluor® 488, ab150081) at 1/5000 dilution was used as the secondary antibody.

Mouse spleen cell are co-stained with CD8a conjugated Alexa Fluor®647.
Gated on viable cell.

Flow Cytometry - Anti-LY6C antibody [RM1151] - BSA and Azide free (AB317273)
  • Flow Cyt

Supplier Data

Flow Cytometry - Anti-LY6C antibody [RM1151] - BSA and Azide free (AB317273)

This data was developed using ab317272, the same antibody clone in a different buffer formulation.

Flow cytometric analysis of Mouse bone marrow cells labelling LY6C with ab317272 at 1/500 dilution (0.1 ug)/Right compared with a Rabbit monoclonal IgG (ab172730) / Left isotype control.

Goat Anti-Rabbit IgG (Alexa Fluor® 488, ab150081) at 1/5000 dilution was used as the secondary antibody.

Mouse bone marrow are co-stained with B220 conjugated Alexa Fluor®647.
Gated on viable cell.

Immunohistochemistry (Formalin/PFA-fixed paraffin-embedded sections) - Anti-LY6C antibody [RM1151] - BSA and Azide free (AB317273)
  • IHC-P

Supplier Data

Immunohistochemistry (Formalin/PFA-fixed paraffin-embedded sections) - Anti-LY6C antibody [RM1151] - BSA and Azide free (AB317273)

This data was developed using ab317272, the same antibody clone in a different buffer formulation.

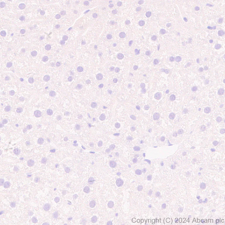
Immunohistochemical analysis of paraffin-embedded Mouse liver tissue labeling LY6C with ab317272 at 1/500 (0.978 ug/ml) dilution, followed by a ready to use LeicaDS9800 (Bond™ Polymer Refine Detection).

Low expression tissue : no staining on mouse liver. The section was incubated with ab317272 for 30 mins at room temperature.
The immunostaining was performed on a Leica Biosystems BOND® RX instrument

Counterstained with Hematoxylin.

Secondary antibody only control : Secondary antibody is a ready to use LeicaDS9800 (Bond™ Polymer Refine Detection).

Heat mediated antigen retrieval was performed with Tris-EDTA buffer (pH 9.0, Epitope Retrieval Solution2) for 20 mins

Immunoprecipitation - Anti-LY6C antibody [RM1151] - BSA and Azide free (AB317273)
  • IP

Supplier Data

Immunoprecipitation - Anti-LY6C antibody [RM1151] - BSA and Azide free (AB317273)

This data was developed using ab317272, the same antibody clone in a different buffer formulation.

LY6C was immunoprecipitated from 0.35 mg Mouse spleen tissue lysate with ab317272 at 1/30 dilution (2ug in 0.35mg lysates). Western blot was performed on the immunoprecipitate using ab317272 at 1/1000 dilution. VeriBlot for IP secondary antibody(HRP)(ab131366) was used at 1/5000 dilution.

Lane 1 : Mouse spleen tissue lysate
Lane 2 : ab317272 IP in Mouse spleen tissue lysate
Lane 3 : Rabbit monoclonal IgG (ab172730) instead of ab317272 in mouse spleen tissue lysate.

All lanes:

Immunoprecipitation - Anti-LY6C antibody [RM1151] (<a href='/en-us/products/primary-antibodies/ly6c-antibody-rm1151-ab317272'>ab317272</a>) at 1/30 dilution

All lanes:

Mouse spleen tissue lysate with 5% NFDM/TBST

Secondary

All lanes:

Immunoprecipitation - VeriBlot for IP Detection Reagent (HRP) (<a href='/en-us/products/reagents/veriblot-for-ip-detection-reagent-hrp-ab131366'>ab131366</a>) at 1/5000 dilution

false

Exposure time: 128s

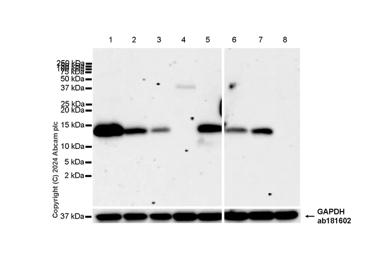
Western blot - Anti-LY6C antibody [RM1151] - BSA and Azide free (AB317273)
  • WB

Supplier Data

Western blot - Anti-LY6C antibody [RM1151] - BSA and Azide free (AB317273)

This data was developed using ab317272, the same antibody clone in a different buffer formulation.

Negative control : Neuro-2a.

Low expression : testis, liver.

In Western blot, Anti-GAPDH antibody [EPR16891] - Loading Control (ab181602) staining at 1/200000 dilution.

All lanes:

Western blot - Anti-LY6C antibody [RM1151] (<a href='/en-us/products/primary-antibodies/ly6c-antibody-rm1151-ab317272'>ab317272</a>) at 1/1000 dilution

Lane 1:

Mouse lung tissue lysate at 20 µg with 5% NFDM/TBST

Lane 2:

Mouse spleen tissue lysate at 20 µg with 5% NFDM/TBST

Lane 3:

Mouse testis tissue lysate at 20 µg with 5% NFDM/TBST

Lane 4:

Mouse liver tissue lysate at 20 µg with 5% NFDM/TBST

Lane 5:

Mouse kidney tissue lysate at 20 µg with 5% NFDM/TBST

Lane 6:

NIH/3T3 (mouse embryonic fibroblast) whole cell lysate at 20 µg with 5% NFDM/TBST

Lane 7:

C2C12 (mouse myoblast) whole cell lysate at 20 µg with 5% NFDM/TBST

Lane 8:

Neuro-2a (mouse neuroblastoma neuroblast) whole cell lysate at 20 µg with 5% NFDM/TBST

Secondary

All lanes:

Western blot - Goat Anti-Rabbit IgG H&L (HRP) (<a href='/en-us/products/secondary-antibodies/goat-rabbit-igg-h-l-hrp-ab97051'>ab97051</a>) at 1/100000 dilution

Observed band size: 14 kDa,36 kDa

false

Exposure time: 180s

Key facts

Host species

Rabbit

Clonality

Multiclonal

Clone number

RM1151

Isotype

IgG

Carrier free

Yes

Reacts with

Mouse

Applications

IHC-P, mIHC, WB, Flow Cyt, IP, ICC/IF

applications

Immunogen

The exact immunogen used to generate this antibody is proprietary information.

Reactivity data

{ "title": "Reactivity Data", "filters": { "stats": ["", "Species", "Dilution Info", "Notes"], "tabs": { "all-applications": {"fullname" : "All Applications", "shortname": "All Applications"}, "IHCP" : {"fullname" : "Immunohistochemistry (Formalin/PFA-fixed paraffin-embedded sections)", "shortname":"IHC-P"}, "WB" : {"fullname" : "Western blot", "shortname":"WB"}, "mIHC" : {"fullname" : "Multiplex immunohistochemistry", "shortname":"mIHC"}, "ICCIF" : {"fullname" : "Immunocytochemistry/ Immunofluorescence", "shortname":"ICC/IF"}, "FlowCyt" : {"fullname" : "Flow Cytometry", "shortname":"Flow Cyt"}, "IP" : {"fullname" : "Immunoprecipitation", "shortname":"IP"} }, "product-promise": { "all": "all", "testedAndGuaranteed": "tested", "guaranteed": "expected", "predicted": "predicted", "notRecommended": "not-recommended" } }, "values": { "Human": { "IHCP-species-checked": "notRecommended", "IHCP-species-dilution-info": "", "IHCP-species-notes": "<p></p>", "WB-species-checked": "notRecommended", "WB-species-dilution-info": "", "WB-species-notes": "", "mIHC-species-checked": "notRecommended", "mIHC-species-dilution-info": "", "mIHC-species-notes": "", "ICCIF-species-checked": "notRecommended", "ICCIF-species-dilution-info": "", "ICCIF-species-notes": "", "FlowCyt-species-checked": "notRecommended", "FlowCyt-species-dilution-info": "", "FlowCyt-species-notes": "", "IP-species-checked": "notRecommended", "IP-species-dilution-info": "", "IP-species-notes": "" }, "Mouse": { "IHCP-species-checked": "testedAndGuaranteed", "IHCP-species-dilution-info": "", "IHCP-species-notes": "<p></p> Perform heat-mediated antigen retrieval with Tris/EDTA buffer pH 9.0 before commencing with IHC staining protocol.", "WB-species-checked": "testedAndGuaranteed", "WB-species-dilution-info": "", "WB-species-notes": "<p></p>", "mIHC-species-checked": "testedAndGuaranteed", "mIHC-species-dilution-info": "", "mIHC-species-notes": "<p></p> Perform heat-mediated antigen retrieval with Tris/EDTA buffer pH 9.0 before commencing with IHC staining protocol.", "ICCIF-species-checked": "testedAndGuaranteed", "ICCIF-species-dilution-info": "", "ICCIF-species-notes": "<p></p>", "FlowCyt-species-checked": "testedAndGuaranteed", "FlowCyt-species-dilution-info": "", "FlowCyt-species-notes": "<p></p>", "IP-species-checked": "testedAndGuaranteed", "IP-species-dilution-info": "", "IP-species-notes": "<p></p>" }, "Rat": { "IHCP-species-checked": "notRecommended", "IHCP-species-dilution-info": "", "IHCP-species-notes": "<p></p>", "WB-species-checked": "notRecommended", "WB-species-dilution-info": "", "WB-species-notes": "", "mIHC-species-checked": "notRecommended", "mIHC-species-dilution-info": "", "mIHC-species-notes": "", "ICCIF-species-checked": "notRecommended", "ICCIF-species-dilution-info": "", "ICCIF-species-notes": "", "FlowCyt-species-checked": "notRecommended", "FlowCyt-species-dilution-info": "", "FlowCyt-species-notes": "", "IP-species-checked": "notRecommended", "IP-species-dilution-info": "", "IP-species-notes": "" } } }

Product details

ab317273 is the carrirer-free version of ab317272.

What are recombinant multiclonals?
Recombinant multiclonals are a mixture of recombinant antibodies co-expressed from a library of heavy and light chains. They offer several advantages including:

  • - The sensitivity of polyclonal antibodies by recognising multiple epitopes
  • - High batch-to-batch consistency and reproducibility
  • - Improved sensitivity and specificity
  • - Long-term security of supply
  • - Animal-free batch production

View our range of recombinant multiclonal antibodies.

Patented technology
Our RabMAb® technology is a patented hybridoma-based technology for making rabbit monoclonal antibodies. For details on our patents, please refer to RabMAb® patents.

Conjugation ready
Our carrier-free antibodies are typically supplied in a PBS-only formulation, purified and free of BSA, sodium azide and glycerol. This conjugation-ready format is designed for use with fluorochromes, metal isotopes, oligonucleotides, and enzymes, which makes them ideal for antibody labelling, functional and cell-based assays, flow-based assays (e.g. mass cytometry) and Multiplex Imaging applications.

Use our conjugation kits for antibody conjugates that are ready-to-use in as little as 20 minutes with 1 minute hands-on-time and 100% antibody recovery: available for fluorescent dyes, HRP, biotin and gold.

Compatibility
This product is compatible with the Maxpar® Antibody Labeling Kit from Fluidigm, without the need for antibody preparation. Maxpar® is a trademark of Fluidigm Canada Inc.

Properties and storage information

Form
Liquid
Purification technique
Affinity purification Protein A
Storage buffer
pH: 7.2 - 7.4 Constituents: 100% PBS
Shipped at conditions
Blue Ice
Appropriate short-term storage conditions
+4°C
Appropriate long-term storage conditions
+4°C

Supplementary information

This supplementary information is collated from multiple sources and compiled automatically.

Ly6c also known as Ly-6C is a protein marker with a molecular weight of approximately 18 kDa. It is part of the Ly6 family of glycosylphosphatidylinositol (GPI)-anchored cell surface proteins. Ly6c is predominantly expressed in mice on the surface of certain immune cells including monocytes macrophages dendritic cells and subsets of T cells. The expression levels can vary depending on the cell type and the activation or developmental stage of the cell. Ly6c serves as a useful marker in immunological studies to distinguish between different subsets of monocytes commonly identified as Ly6c^high and Ly6c^low populations.
Biological function summary

Ly6c is involved in the differentiation and trafficking of immune cells. It is not known to be part of a larger protein complex. In the immune system the Ly6c marker is critical for distinguishing between classical and non-classical monocytes in mice. Classical monocytes expressing high levels of Ly6c are involved in rapid response to inflammatory stimuli while non-classical monocytes with lower Ly6c expression help in patrolling blood vessels. This distinction is important in understanding how the immune system responds to various infections and how the body maintains immune homeostasis.

Pathways

Ly6c plays a role in the monocyte recruitment and differentiation pathways. It is closely related to the chemokine signaling pathway influencing how immune cells migrate towards sites of inflammation or injury. The presence of the Ly6c2 protein an isoform of Ly6c helps modulate these responses by interacting with cytokines and chemokines that guide the trafficking of immune cells. The presence of Ly6c influences the activity of proteins like CCR2 which plays a significant role in chemotaxis in response to inflammation.

Ly6c is associated with inflammatory and autoimmune conditions. For example high Ly6c expression has been linked to inflammatory bowel disease (IBD) and atherosclerosis. In IBD the ability of Ly6c^high monocytes to migrate to the gut and promote inflammation is well-documented. Similarly in atherosclerosis the recruitment of Ly6c^high monocytes to blood vessels contributes to plaque formation. In these contexts proteins like MCP-1 (also known as CCL2) interact with Ly6c-expressing cells facilitating their movement and function in disease processes. Understanding the role of Ly6c in these conditions might help develop targeted therapies to mitigate chronic inflammation and related diseases.

Product protocols

For this product, it's our understanding that no specific protocols are required. You can visit:

Product promise

We are committed to supporting your work with high-quality reagents, and we're here for you every step of the way. In the unlikely event that one of our products does not perform as expected, you're protected by our Product Promise.
For full details, please see our Terms & Conditions

Please note: All products are 'FOR RESEARCH USE ONLY. NOT FOR USE IN DIAGNOSTIC OR THERAPEUTIC PROCEDURES'.

For licensing inquiries, please contact partnerships@abcam.com