JavaScript is disabled in your browser. Please enable JavaScript to view this website.
AB261916

Anti-Ly6g antibody [EPR22909-135] - BSA and Azide free

2

(3 Reviews)

|

(5 Publications)

Rabbit Recombinant Monoclonal Ly6g antibody. Carrier free. Suitable for Flow Cyt, IHC-P and reacts with Mouse, Transfected cell line samples. Cited in 5 publications.

View Alternative Names

Lymphocyte antigen 6G, Ly-6G, Ly-6G.1, Ly6g

6 Images
Flow Cytometry - Anti-Ly6g antibody [EPR22909-135] - BSA and Azide free (AB261916)
  • Flow Cyt

Unknown

Flow Cytometry - Anti-Ly6g antibody [EPR22909-135] - BSA and Azide free (AB261916)

Flow cytometric analysis of HEK-293T (Human embryonic kidney epithelial cell) transfected with HA-tagged Ly6c overexpression construct (Left) / HEK-293T transfected with HA-tagged Ly6g overexpression construct (Right) cells, labeling Ly6g with ab238132 at 1/600 dilution. A Goat anti rabbit IgG (Alexa Fluor® 488, ab150077) at 1/2000 dilution was used as the secondary antibody.

Ly6c (Left) and Ly6g (Right) overexpression cells were surface stained with ab238132 and anti-HA tag conjugated to Alexa Fluor®647.

ab238132 does not cross-react with Ly6c.

Gated on viable cells.

This data was developed using the same antibody clone in a different buffer formulation containing PBS, BSA, glycerol, and sodium azide (ab238132).

Flow Cytometry - Anti-Ly6g antibody [EPR22909-135] - BSA and Azide free (AB261916)
  • Flow Cyt

Unknown

Flow Cytometry - Anti-Ly6g antibody [EPR22909-135] - BSA and Azide free (AB261916)

Flow cytometric analysis of mouse peripheral blood mononuclear cell (PBMC) cells labeling Ly6g with ab238132 at 1/600 dilution. A Goat anti rabbit IgG (Alexa Fluor® 488, ab150077) at 1/2000 dilution was used as the secondary antibody.

Cells were stained with isotype control rabbit monoclonal IgG ab172730 (Left) or ab238132 (Right), then stained with anti-CD11b conjugated to BV421.
Gated on viable cells.

This data was developed using the same antibody clone in a different buffer formulation containing PBS, BSA, glycerol, and sodium azide (ab238132).

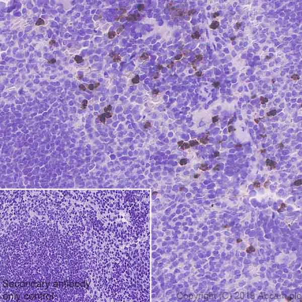
Immunohistochemistry (Formalin/PFA-fixed paraffin-embedded sections) - Anti-Ly6g antibody [EPR22909-135] - BSA and Azide free (AB261916)
  • IHC-P

Unknown

Immunohistochemistry (Formalin/PFA-fixed paraffin-embedded sections) - Anti-Ly6g antibody [EPR22909-135] - BSA and Azide free (AB261916)

Immunohistochemical analysis of paraffin-embedded mouse spleen tissue labeling Ly6g with ab238132 at 1/2000 dilution (0.32 ug/ml) followed by a ready to use Rabbit specific IHC polymer detection kit HRP/DAB (ab209101). Positive staining on neutrophils in mouse spleen (PMID : 21976773) is observed. The section was incubated with ab238132 for 30 mins at RT. The immunostaining staining was performed on a Leica Biosystems BOND® RX instrument. Counterstained with hematoxylin.

Secondary antibody only control : Secondary antibody is a ready to use Rabbit specific IHC polymer detection kit HRP/DAB (ab209101).

Heat mediated antigen retrieval with Tris-EDTA buffer (pH 9.0, epitope retrieval solution 2) for 20 mins.

This data was developed using the same antibody clone in a different buffer formulation containing PBS, BSA, glycerol, and sodium azide (ab238132).

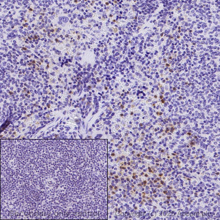
Immunohistochemistry (Formalin/PFA-fixed paraffin-embedded sections) - Anti-Ly6g antibody [EPR22909-135] - BSA and Azide free (AB261916)
  • IHC-P

Lab

Immunohistochemistry (Formalin/PFA-fixed paraffin-embedded sections) - Anti-Ly6g antibody [EPR22909-135] - BSA and Azide free (AB261916)

This data was developed using ab238132 the same antibody clone in a different buffer formulation.

Immunohistochemical analysis of formalin fixed paraffin embedded mouse spleen labelling Ly6g with ab238132 at a concentration of 2µg/ml. The immunostaining was performed on a Ventana DISCOVERY ULTRA (Roche Tissue Diagnostics) instrument with a ChromoMap DAB kit and anti-rabbit HQ and anti-HQ HRP detection. Heat mediated antigen retrieval was performed with DISCOVERY cell conditioning solution (CC1) 100°C, pH8.5 for 32 mins. ab238132 Anti-Ly6g antibody [EPR22909-135] was incubated for 16 mins at 37°C. Sections were counterstained with Hematoxylin II. Image inset shows absence of staining in secondary antibody only control.

Customers are encouraged to optimise antigen retrieval conditions, antibody concentration, incubation times and temperature for best results in their own IHC assay workflow (automated and manual).

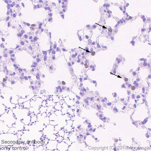
Immunohistochemistry (Formalin/PFA-fixed paraffin-embedded sections) - Anti-Ly6g antibody [EPR22909-135] - BSA and Azide free (AB261916)
  • IHC-P

Unknown

Immunohistochemistry (Formalin/PFA-fixed paraffin-embedded sections) - Anti-Ly6g antibody [EPR22909-135] - BSA and Azide free (AB261916)

Immunohistochemical analysis of paraffin-embedded mouse lung tissue labeling Ly6g with ab238132 at 1/2000 dilution (0.32 ug/ml) followed by a ready to use Rabbit specific IHC polymer detection kit HRP/DAB (ab209101). Positive staining on neutrophils in mouse lung (PMID : 22434870) is observed. The section was incubated with ab238132 for 30 mins at RT. The immunostaining staining was performed on a Leica Biosystems BOND® RX instrument. Counterstained with hematoxylin.

Secondary antibody only control : Secondary antibody is a ready to use Rabbit specific IHC polymer detection kit HRP/DAB (ab209101).

Heat mediated antigen retrieval with Tris-EDTA buffer (pH 9.0, epitope retrieval solution 2) for 20 mins.

This data was developed using the same antibody clone in a different buffer formulation containing PBS, BSA, glycerol, and sodium azide (ab238132).

Flow Cytometry - Anti-Ly6g antibody [EPR22909-135] - BSA and Azide free (AB261916)
  • Flow Cyt

Lab

Flow Cytometry - Anti-Ly6g antibody [EPR22909-135] - BSA and Azide free (AB261916)

This data was developed using the same antibody clone in a different buffer formulation containing PBS, BSA, glycerol, and sodium azide (ab238132).

Flow cytometry staining of C57 BL/6 mouse bone marrow cells with ab238132 (right) or Recombinant Rabbit IgG, monoclonal [EPR25A] - Isotype Control (left). Cells were incubated for 30 min on ice in 1x PBS containing 10μg/ml anti CD16/CD32 and 10% normal goat serum to block FC receptors and non-specific protein-protein interaction followed by the antibody ab238132 or Recombinant Rabbit IgG, monoclonal [EPR25A] - Isotype Control (1x 106 in 100 μl at 0.04 μg/ml (1/58750)) for 30min on ice. The cells were simultaneously stained with CD11b.

The secondary antibody Goat Anti-Rabbit IgG H&L (Alexa Fluor® 488) preadsorbed was incubated at 1/4000 for 30min on ice

Acquisition of >30000 events were collected using a 50 mW Blue laser (488nm) and 525/40 bandpass filter. Events were gated on viable cells.

  • Unconjugated

    Anti-Ly6g antibody [EPR22909-135]

  • 578 PE

    PE Anti-Ly6g antibody [EPR22909-135]

  • 519 FITC

    FITC Anti-Ly6g antibody [EPR22909-135]

  • 519 Alexa Fluor® 488

    Alexa Fluor® 488 Anti-Ly6g antibody [EPR22909-135]

  • 617 Alexa Fluor® 594

    Alexa Fluor® 594 Anti-Ly6g antibody [EPR22909-135]

  • 665 Alexa Fluor® 647

    Alexa Fluor® 647 Anti-Ly6g antibody [EPR22909-135]

  • 660 APC

    APC Anti-Ly6g antibody [EPR22909-135]

Key facts

Host species

Rabbit

Clonality

Monoclonal

Clone number

EPR22909-135

Isotype

IgG

Carrier free

Yes

Reacts with

Mouse

Applications

IHC-P, Flow Cyt

applications

Immunogen

The exact immunogen used to generate this antibody is proprietary information.

Reactivity data

{ "title": "Reactivity Data", "filters": { "stats": ["", "Species", "Dilution Info", "Notes"], "tabs": { "all-applications": {"fullname" : "All Applications", "shortname": "All Applications"}, "FlowCyt" : {"fullname" : "Flow Cytometry", "shortname":"Flow Cyt"}, "ICCIF" : {"fullname" : "Immunocytochemistry/ Immunofluorescence", "shortname":"ICC/IF"}, "WB" : {"fullname" : "Western blot", "shortname":"WB"}, "IP" : {"fullname" : "Immunoprecipitation", "shortname":"IP"}, "IHCP" : {"fullname" : "Immunohistochemistry (Formalin/PFA-fixed paraffin-embedded sections)", "shortname":"IHC-P"} }, "product-promise": { "all": "all", "testedAndGuaranteed": "tested", "guaranteed": "expected", "predicted": "predicted", "notRecommended": "not-recommended" } }, "values": { "Mouse": { "FlowCyt-species-checked": "testedAndGuaranteed", "FlowCyt-species-dilution-info": "", "FlowCyt-species-notes": "<p></p>", "ICCIF-species-checked": "notRecommended", "ICCIF-species-dilution-info": "", "ICCIF-species-notes": "<p></p>", "WB-species-checked": "notRecommended", "WB-species-dilution-info": "", "WB-species-notes": "<p></p>", "IP-species-checked": "notRecommended", "IP-species-dilution-info": "", "IP-species-notes": "<p></p>", "IHCP-species-checked": "testedAndGuaranteed", "IHCP-species-dilution-info": "", "IHCP-species-notes": "<p></p> Perform heat-mediated antigen retrieval with Tris/EDTA buffer pH 9.0 before commencing with IHC staining protocol." }, "Transfected cell line": { "FlowCyt-species-checked": "testedAndGuaranteed", "FlowCyt-species-dilution-info": "", "FlowCyt-species-notes": "<p></p>", "ICCIF-species-checked": "notRecommended", "ICCIF-species-dilution-info": "", "ICCIF-species-notes": "", "WB-species-checked": "notRecommended", "WB-species-dilution-info": "", "WB-species-notes": "", "IP-species-checked": "notRecommended", "IP-species-dilution-info": "", "IP-species-notes": "", "IHCP-species-checked": "notRecommended", "IHCP-species-dilution-info": "", "IHCP-species-notes": "" } } }

Product details

ab261916 is the carrier-free version of ab238132.

Patented technology
Our RabMAb® technology is a patented hybridoma-based technology for making rabbit monoclonal antibodies. For details on our patents, please refer to RabMAb® patents.

What are the advantages of a recombinant monoclonal antibody?
This product is a recombinant monoclonal antibody, which offers several advantages including:

  • - High batch-to-batch consistency and reproducibility
  • - Improved sensitivity and specificity
  • - Long-term security of supply
  • - Animal-free batch production

For more information, read more on recombinant antibodies.

Conjugation ready
Our carrier-free antibodies are typically supplied in a PBS-only formulation, purified and free of BSA, sodium azide and glycerol. This conjugation-ready format is designed for use with fluorochromes, metal isotopes, oligonucleotides, and enzymes, which makes them ideal for antibody labelling, functional and cell-based assays, flow-based assays (e.g. mass cytometry) and Multiplex Imaging applications.

Use our conjugation kits for antibody conjugates that are ready-to-use in as little as 20 minutes with 1 minute hands-on-time and 100% antibody recovery: available for fluorescent dyes, HRP, biotin and gold.

Compatibility
This product is compatible with the Maxpar® Antibody Labeling Kit from Fluidigm, without the need for antibody preparation. Maxpar® is a trademark of Fluidigm Canada Inc.

Properties and storage information

Form
Liquid
Purification technique
Affinity purification Protein A
Storage buffer
pH: 7.2 - 7.4 Constituents: PBS
Shipped at conditions
Blue Ice
Appropriate short-term storage conditions
+4°C
Appropriate long-term storage conditions
+4°C
Storage information
Do Not Freeze

Supplementary information

This supplementary information is collated from multiple sources and compiled automatically.

Ly6G also known as lymphocyte antigen 6 complex locus G6D 1A8 or 8C5 is a glycosylphosphatidylinositol (GPI)-anchored cell surface protein. The molecule has a molecular weight of about 25-30 kDa. Its expression is mainly on neutrophils and a subpopulation of eosinophils in mice. It plays a role in the innate immune system marking these immune cells for differentiation and response to infection. Researchers consider it a specific marker for detecting and isolating mouse neutrophils often using methods such as Ly6G staining or anti-Ly6G antibodies for identification.
Biological function summary

Ly6G functions in the immune response by facilitating the migration and adhesion of neutrophils to the site of infection or injury. It is part of a protein complex on the cell surface that includes other Ly6 proteins. This group of proteins helps to modulate signal transduction for immune cell functions. Ly6G serves as an anchor through its GPI linkage aiding cell-to-cell communication and signal amplification in inflammation processes.

Pathways

Ly6G is significantly integrated into the immune signaling pathways notably the toll-like receptor (TLR) signaling pathway. Through these pathways Ly6G influences neutrophil migration and activation. Closely associated proteins include CD11b and CD18 which interact with Ly6G in neutrophil functions including adhesion and transmigration. These pathways are essential for orchestrating the body's defense mechanisms against pathogens.

Ly6G plays an essential role in inflammatory conditions and autoimmune diseases such as rheumatoid arthritis and systemic lupus erythematosus. Aberrant expression or function of Ly6G can alter neutrophil behavior which contributes to disease pathology. Researchers are investigating the relationship between Ly6G and other immune-related proteins like myeloperoxidase (MPO) and elastase as these protein interactions may impact the development and progression of inflammatory diseases.

Product protocols

For this product, it's our understanding that no specific protocols are required. You can visit:

Publications (5)

Recent publications for all applications. Explore the full list and refine your search

Journal of Cancer 16:2737-2749 PubMed40535801

2025

Stanniocalcin-2 significantly promotes colorectal cancer progression by regulating cancer cell proliferation and invasion.

Applications

Unspecified application

Species

Unspecified reactive species

Fang Li,Zihao Liu,Kaibin Huang,Shunkai Ding,Chang Zhu,Yuxiang Fu,Xiao Sun,Shipai Zhang,Rui Zhang,Zhipeng Jiang,Keli Zhong,Qijun Zheng

Infection and drug resistance 17:2591-2605 PubMed38953095

2024

Exploration of Antimicrobial Peptides in the Treatment of Gentamicin-Resistant Infection.

Applications

Unspecified application

Species

Unspecified reactive species

Xiaochun Chen,Benhong Zhang,Jin He,Xiaohong Rui,Tian He,Lizhu Zhang,Junfeng Bao,Yanfei Jing,Futao Cao

Cell communication and signaling : CCS 21:282 PubMed37828624

2023

Caspase 6 promotes innate immune activation by functional crosstalk between RIPK1-IκBα axis in liver inflammation.

Applications

Unspecified application

Species

Unspecified reactive species

Yuanbang Lin,Mingwei Sheng,Hua Qin,Peng Zhang,Chunli Wang,Wei Fu,Xiangjun Meng,Duowei Wang,Yachao Hou

Cell death discovery 9:106 PubMed36977670

2023

Caspase 6/NR4A1/SOX9 signaling axis regulates hepatic inflammation and pyroptosis in ischemia-stressed fatty liver.

Applications

Unspecified application

Species

Unspecified reactive species

Mingwei Sheng,Yiqi Weng,Yingli Cao,Chen Zhang,Yuanbang Lin,Wenli Yu

ACS infectious diseases 8:360-372 PubMed35045258

2022

Fingerprints of Element Concentrations in Infective Endocarditis Obtained by Mass Spectrometric Imaging and t-Distributed Stochastic Neighbor Embedding.

Applications

Unspecified application

Species

Unspecified reactive species

Christian Schwarz,Rebecca Buchholz,Muhammad Jawad,Vanessa Hoesker,Claudia Terwesten-Solé,Uwe Karst,Lars Linsen,Thomas Vogl,Verena Hoerr,Moritz Wildgruber,Cornelius Faber
View all publications

Product promise

We are committed to supporting your work with high-quality reagents, and we're here for you every step of the way. In the unlikely event that one of our products does not perform as expected, you're protected by our Product Promise.
For full details, please see our Terms & Conditions

Please note: All products are 'FOR RESEARCH USE ONLY. NOT FOR USE IN DIAGNOSTIC OR THERAPEUTIC PROCEDURES'.

For licensing inquiries, please contact partnerships@abcam.com