JavaScript is disabled in your browser. Please enable JavaScript to view this website.
AB121272

Anti-LY6G6F antibody

Be the first to review this product! Submit a review

|

(1 Publication)

Rabbit Polyclonal LY6G6F antibody. Suitable for IHC-P, WB and reacts with Human samples. Cited in 1 publication. Immunogen corresponding to Recombinant Fragment Protein within Human LY6G6F aa 50-250.

View Alternative Names

C6orf21, G6F, LY6G6D, NG32, LY6G6F, Lymphocyte antigen 6 complex locus protein G6f

2 Images
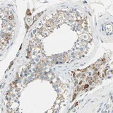
Immunohistochemistry (Formalin/PFA-fixed paraffin-embedded sections) - Anti-LY6G6F antibody (AB121272)
  • IHC-P

Unknown

Immunohistochemistry (Formalin/PFA-fixed paraffin-embedded sections) - Anti-LY6G6F antibody (AB121272)

ab121272 at 1/10 dilution staining LY6G6F in paraffin-embedded Human testis tisue by Immunohistochemistry.

Western blot - Anti-LY6G6F antibody (AB121272)
  • WB

Unknown

Western blot - Anti-LY6G6F antibody (AB121272)

All lanes:

Western blot - Anti-LY6G6F antibody (ab121272) at 1/250 dilution

Lane 1:

Marker [kDa] 230, 130, 95, 72, 56, 36, 28, 17, 11

Lane 2:

RT-4 cell lysate.

Lane 3:

U-251 MG cell lysate.

Lane 4:

Human Plasma

Lane 5:

Human Liver lysate.

Lane 6:

Human Tonsil lysate.

Predicted band size: 32 kDa

true

Key facts

Host species

Rabbit

Clonality

Polyclonal

Isotype

IgG

Carrier free

No

Reacts with

Human

Applications

IHC-P, WB

applications

Immunogen

Recombinant Fragment Protein within Human LY6G6F aa 50-250. The exact immunogen used to generate this antibody is proprietary information.

Q5SQ64

Reactivity data

{ "title": "Reactivity Data", "filters": { "stats": ["", "Species", "Dilution Info", "Notes"], "tabs": { "all-applications": {"fullname" : "All Applications", "shortname": "All Applications"}, "IHCP" : {"fullname" : "Immunohistochemistry (Formalin/PFA-fixed paraffin-embedded sections)", "shortname":"IHC-P"}, "WB" : {"fullname" : "Western blot", "shortname":"WB"} }, "product-promise": { "all": "all", "testedAndGuaranteed": "tested", "guaranteed": "expected", "predicted": "predicted", "notRecommended": "not-recommended" } }, "values": { "Human": { "IHCP-species-checked": "testedAndGuaranteed", "IHCP-species-dilution-info": "1/10 - 1/20", "IHCP-species-notes": "<p></p> Perform heat-mediated antigen retrieval with citrate buffer pH 6 before commencing with IHC staining protocol.", "WB-species-checked": "testedAndGuaranteed", "WB-species-dilution-info": "1/250 - 1/500", "WB-species-notes": "<p></p>" } } }

Properties and storage information

Form
Liquid
Purification technique
Affinity purification Immunogen
Storage buffer
pH: 7.2 Preservative: 0.02% Sodium azide Constituents: 59% PBS, 40% Glycerol (glycerin, glycerine)
Shipped at conditions
Blue Ice
Appropriate short-term storage conditions
+4°C
Appropriate long-term storage conditions
-20°C
Aliquoting information
Upon delivery aliquot
Storage information
Avoid freeze / thaw cycle

Supplementary information

This supplementary information is collated from multiple sources and compiled automatically.

The LY6G6F protein also identified as lymphocyte antigen 6 complex locus G6F is a glycoprotein with a molecular weight of approximately 21 kDa. This protein is predominantly expressed in tissues such as the prostate and placenta. It has been detected on the surface of certain cell types like lymphocytes. LY6G6F belongs to the Ly6/PLAUR domain-containing protein family which is known for having roles in cell signaling and regulation.
Biological function summary

LY6G6F plays a role in immune response modulation by engaging in cell signaling. It is a component of the immune complex interacting with various signaling receptors on immune cells. This interaction can influence cellular communication and thereby affect immune responses potentially altering the behavior of lymphocytes. These activities suggest that LY6G6F may be significant in regulating immune system responses.

Pathways

LY6G6F participates in important signaling pathways like those involved in immune regulation. It interacts with related proteins such as LY6G6D and LY6G5C which are also part of the Ly6/PLAUR family. These interactions contribute to pathways that regulate cell adhesion and migration fundamental processes in immune response and lymphocyte movement.

LY6G6F has connections with cancer and autoimmune disorders. Evidence points to its role in cancer pathways where its expression may change impacting tumor growth and immune evasion. In autoimmune disorders abnormal regulation or expression of LY6G6F might lead to improper immune responses. The protein’s association with other immune-regulatory proteins such as LY6D and SGD highlights its importance in both ensuring normal immune functions and its potential malfunction in disease states.

Product protocols

For this product, it's our understanding that no specific protocols are required. You can visit:

Target data

May play a role in the downstream signal transduction pathways involving GRB2 and GRB7.
See full target information LY6G6F

Publications (1)

Recent publications for all applications. Explore the full list and refine your search

BMC cancer 21:890 PubMed34348693

2021

Integrating HECW1 expression into the clinical indicators exhibits high accuracy in assessing the prognosis of patients with clear cell renal cell carcinoma.

Applications

Unspecified application

Species

Unspecified reactive species

Chao Wang,Keqin Dong,Yuning Wang,Guang Peng,Xu Song,Yongwei Yu,Pei Shen,Xingang Cui
View all publications

Product promise

We are committed to supporting your work with high-quality reagents, and we're here for you every step of the way. In the unlikely event that one of our products does not perform as expected, you're protected by our Product Promise.
For full details, please see our Terms & Conditions

Please note: All products are 'FOR RESEARCH USE ONLY. NOT FOR USE IN DIAGNOSTIC OR THERAPEUTIC PROCEDURES'.

For licensing inquiries, please contact partnerships@abcam.com