JavaScript is disabled in your browser. Please enable JavaScript to view this website.
AB151709

Anti-LYPD3 antibody [EPR9107]

Be the first to review this product! Submit a review

|

(4 Publications)

Rabbit Recombinant Monoclonal LYPD3 antibody. Suitable for IHC-P, IP, WB and reacts with Human samples. Cited in 4 publications.

View Alternative Names

C4.4A, UNQ491/PRO1007, LYPD3, Ly6/PLAUR domain-containing protein 3, GPI-anchored metastasis-associated protein C4.4A homolog, Matrigel-induced gene C4 protein, MIG-C4

5 Images
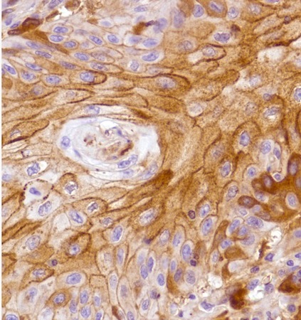
Immunohistochemistry (Formalin/PFA-fixed paraffin-embedded sections) - Anti-LYPD3 antibody [EPR9107] (AB151709)
  • IHC-P

Unknown

Immunohistochemistry (Formalin/PFA-fixed paraffin-embedded sections) - Anti-LYPD3 antibody [EPR9107] (AB151709)

Immunohistochemical analysis of paraffin-embedded Human skin tissue labeling LYPD3 with unpurified ab151709 at 1/100 dilution.

Perform heat mediated antigen retrieval before commencing with IHC staining protocol.

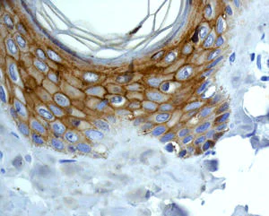
Immunohistochemistry (Formalin/PFA-fixed paraffin-embedded sections) - Anti-LYPD3 antibody [EPR9107] (AB151709)
  • IHC-P

Unknown

Immunohistochemistry (Formalin/PFA-fixed paraffin-embedded sections) - Anti-LYPD3 antibody [EPR9107] (AB151709)

Immunohistochemistry (Formalin/PFA-fixed paraffin-embedded sections) analysis of human skin tissue sections labeling LYPD3 with Purified ab151709 at 1 : 1000 dilution (1.01 μg/ml). Heat mediated antigen retrieval was performed using ab93684 (Tris/EDTA buffer pH 9.0). Tissue was counterstained with Hematoxylin. ImmunoHistoProbe one step HRP Polymer (ready to use) secondary antibody was used at 1 : 0 dilution. PBS instead of the primary antibody was used as the negative control.

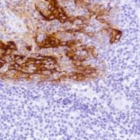
Immunoprecipitation - Anti-LYPD3 antibody [EPR9107] (AB151709)
  • IP

Lab

Immunoprecipitation - Anti-LYPD3 antibody [EPR9107] (AB151709)

ab151709 (purified) at 1 : 50 dilution (2ug) immunoprecipitating LYPD3 in HaCaT (Human skin keratinocyte) whole cell lysate.
Lane 1 (input) : HaCaT (Human skin keratinocyte) whole cell lysate 10ug
Lane 2 (+) : ab151709 & HaCaT (Human skin keratinocyte) whole cell lysate
Lane 3 (-) : Rabbit monoclonal IgG (ab172730) instead of ab151709 in HaCaT (Human skin keratinocyte) whole cell lysate
For western blotting, VeriBlot for IP Detection Reagent (HRP) (ab131366) was used for detection at 1 : 1000 dilution.
Blocking and diluting buffer : 5% NFDM/TBST.

All lanes:

Immunoprecipitation - Anti-LYPD3 antibody [EPR9107] (ab151709)

Predicted band size: 36 kDa

false

Western blot - Anti-LYPD3 antibody [EPR9107] (AB151709)
  • WB

Lab

Western blot - Anti-LYPD3 antibody [EPR9107] (AB151709)

Blocking and diluting buffer : 5% NFDM/TBST

All lanes:

Western blot - Anti-LYPD3 antibody [EPR9107] (ab151709) at 1/1000 dilution

Lane 1:

HaCaT (Human skin keratinocyte) whole cell lysate at 20 µg

Lane 2:

BxPC-3 (Human pancreas adenocarcinoma epithelial cell) whole cell lysate at 20 µg

Lane 3:

Human esophagus tissue lysate at 20 µg

Secondary

All lanes:

Anti-Rabbit IgG (HRP), specific to the non-reduced form of IgG at 1/5000 dilution

Predicted band size: 36 kDa

false

Western blot - Anti-LYPD3 antibody [EPR9107] (AB151709)
  • WB

Unknown

Western blot - Anti-LYPD3 antibody [EPR9107] (AB151709)

All lanes:

Western blot - Anti-LYPD3 antibody [EPR9107] (ab151709) at 1/1000 dilution

Lane 1:

BxPC3 cell lysate at 10 µg

Lane 2:

HACAT cell lysate at 10 µg

Secondary

All lanes:

Goat anti-rabbit HRP at 1/2000 dilution

Predicted band size: 36 kDa

false

  • Carrier free

    Anti-LYPD3 antibody [EPR9107] - BSA and Azide free

Key facts

Host species

Rabbit

Clonality

Monoclonal

Clone number

EPR9107

Isotype

IgG

Carrier free

No

Reacts with

Human

Applications

WB, IP, IHC-P

applications

Immunogen

The exact immunogen used to generate this antibody is proprietary information.

Reactivity data

{ "title": "Reactivity Data", "filters": { "stats": ["", "Species", "Dilution Info", "Notes"], "tabs": { "all-applications": {"fullname" : "All Applications", "shortname": "All Applications"}, "IHCP" : {"fullname" : "Immunohistochemistry (Formalin/PFA-fixed paraffin-embedded sections)", "shortname":"IHC-P"}, "IP" : {"fullname" : "Immunoprecipitation", "shortname":"IP"}, "WB" : {"fullname" : "Western blot", "shortname":"WB"} }, "product-promise": { "all": "all", "testedAndGuaranteed": "tested", "guaranteed": "expected", "predicted": "predicted", "notRecommended": "not-recommended" } }, "values": { "Human": { "IHCP-species-checked": "testedAndGuaranteed", "IHCP-species-dilution-info": "1/1000", "IHCP-species-notes": "<p><strong>For unpurified use at 1/100 - 1/250.</strong></p> Perform heat-mediated antigen retrieval before commencing with IHC staining protocol.", "IP-species-checked": "testedAndGuaranteed", "IP-species-dilution-info": "1/10 - 1/100", "IP-species-notes": "<p></p>", "WB-species-checked": "testedAndGuaranteed", "WB-species-dilution-info": "1/1000", "WB-species-notes": "<p></p>" } } }

Product details

Species reactivity
Mouse, Rat: We have preliminary internal testing data to indicate this antibody may not react with these species.
Please contact us for more information.

Patented technology
Our RabMAb® technology is a patented hybridoma-based technology for making rabbit monoclonal antibodies. For details on our patents, please refer to RabMAb® patents.

What are the advantages of a recombinant monoclonal antibody?
This product is a recombinant monoclonal antibody, which offers several advantages including:

  • - High batch-to-batch consistency and reproducibility
  • - Improved sensitivity and specificity
  • - Long-term security of supply
  • - Animal-free batch production

For more information, read more on recombinant antibodies.

Properties and storage information

Form
Liquid
Purification technique
Affinity purification Protein A
Storage buffer
Preservative: 0.01% Sodium azide Constituents: PBS, 40% Glycerol (glycerin, glycerine), 0.05% BSA
Shipped at conditions
Blue Ice
Appropriate short-term storage duration
1-2 weeks
Appropriate short-term storage conditions
+4°C
Appropriate long-term storage conditions
-20°C
Aliquoting information
Upon delivery aliquot
Storage information
Avoid freeze / thaw cycle

Supplementary information

This supplementary information is collated from multiple sources and compiled automatically.

LYPD3 also known as C4.4A is a glycosylphosphatidylinositol (GPI)-anchored protein with a molecular weight of approximately 40 kDa. It belongs to the Ly6/PLAUR domain family. This protein is mainly expressed in stratified epithelia and also found in some other tissues. LYPD3 shows higher expression levels in certain cancer cell types indicating its role in tumorigenesis.
Biological function summary

LYPD3 functions in cellular adhesion and migration processes. It interacts with extracellular matrix components facilitating the movement and positioning of cells. It acts as a part of a protein complex that is important for cell communication and tissue organization. Its high expression in some cancer types suggests its involvement in processes that drive cancer progression including metastasis.

Pathways

LYPD3 participates in key signaling cascades including integrin-mediated pathways. These pathways are important for mediating cell-matrix interactions and influence cell movement and survival. LYPD3 has known interactions with integrin proteins suggesting a collaborative role that modulates cell adhesion dynamics. These interactions make it an important player in cell migration and invasion processes that are pivotal for normal physiological events and pathological conditions.

LYPD3 shows significant involvement in cancers such as squamous cell carcinoma and prostate cancer. The protein aids the metastatic spread of these cancers by promoting cell migration and invasion. It has been associated with other proteins like laminin which supports cancer cell detachment and dissemination. Understanding LYPD3's role in cancer biology helps in identifying therapeutic targets for impeding cancer progression.

Product protocols

For this product, it's our understanding that no specific protocols are required. You can visit:

Target data

Supports cell migration. May be involved in urothelial cell-matrix interactions. May be involved in tumor progression.
See full target information LYPD3

Publications (4)

Recent publications for all applications. Explore the full list and refine your search

Cancer cell international 21:652 PubMed34872577

2021

Identification and validation of cellular senescence patterns to predict clinical outcomes and immunotherapeutic responses in lung adenocarcinoma.

Applications

Unspecified application

Species

Unspecified reactive species

Weihao Lin,Xin Wang,Zhenyi Xu,Zhen Wang,Tiejun Liu,Zheng Cao,Xiaoli Feng,Yibo Gao,Jie He

Biology 9: PubMed32098331

2020

β2-Adrenergic Signalling Promotes Cell Migration by Upregulating Expression of the Metastasis-Associated Molecule LYPD3.

Applications

Unspecified application

Species

Unspecified reactive species

Michael Gruet,Daniel Cotton,Clare Coveney,David J Boocock,Sarah Wagner,Lucie Komorowski,Robert C Rees,A Graham Pockley,A Christopher Garner,John D Wallis,Amanda K Miles,Desmond G Powe

Cell reports 29:889-903.e10 PubMed31644911

2019

The Lineage Determining Factor GRHL2 Collaborates with FOXA1 to Establish a Targetable Pathway in Endocrine Therapy-Resistant Breast Cancer.

Applications

Unspecified application

Species

Unspecified reactive species

Kimberly J Cocce,Jeff S Jasper,Taylor K Desautels,Logan Everett,Suzanne Wardell,Thomas Westerling,Robert Baldi,Tricia M Wright,Kendall Tavares,Alex Yllanes,Yeeun Bae,Jeremy T Blitzer,Craig Logsdon,Daniel P Rakiec,David A Ruddy,Tiancong Jiang,Gloria Broadwater,Terry Hyslop,Allison Hall,Muriel Laine,Linda Phung,Geoffrey L Greene,Lesley-Ann Martin,Sunil Pancholi,Mitch Dowsett,Simone Detre,Jeffrey R Marks,Gregory E Crawford,Myles Brown,John D Norris,Ching-Yi Chang,Donald P McDonnell

Journal of cellular and molecular medicine 22:1337-1349 PubMed29193723

2017

TRAF6 regulates tumour metastasis through EMT and CSC phenotypes in head and neck squamous cell carcinoma.

Applications

Unspecified application

Species

Unspecified reactive species

Lei Chen,Yi-Cun Li,Lei Wu,Guang-Tao Yu,Wen-Feng Zhang,Cong-Fa Huang,Zhi-Jun Sun
View all publications

Product promise

We are committed to supporting your work with high-quality reagents, and we're here for you every step of the way. In the unlikely event that one of our products does not perform as expected, you're protected by our Product Promise.
For full details, please see our Terms & Conditions

Please note: All products are 'FOR RESEARCH USE ONLY. NOT FOR USE IN DIAGNOSTIC OR THERAPEUTIC PROCEDURES'.

For licensing inquiries, please contact partnerships@abcam.com