JavaScript is disabled in your browser. Please enable JavaScript to view this website.
AB249029

Anti-LYPD3 antibody [EPR9107] - BSA and Azide free

Be the first to review this product! Submit a review

|

(1 Publication)

Rabbit Recombinant Monoclonal LYPD3 antibody. Carrier free. Suitable for IHC-P, IP, WB and reacts with Human samples. Cited in 1 publication.

View Alternative Names

C4.4A, UNQ491/PRO1007, LYPD3, Ly6/PLAUR domain-containing protein 3, GPI-anchored metastasis-associated protein C4.4A homolog, Matrigel-induced gene C4 protein, MIG-C4

5 Images
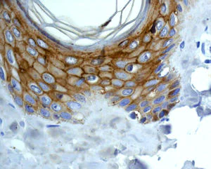
Immunohistochemistry (Formalin/PFA-fixed paraffin-embedded sections) - Anti-LYPD3 antibody [EPR9107] - BSA and Azide free (AB249029)
  • IHC-P

Unknown

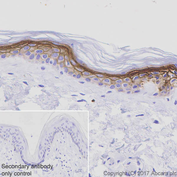
Immunohistochemistry (Formalin/PFA-fixed paraffin-embedded sections) - Anti-LYPD3 antibody [EPR9107] - BSA and Azide free (AB249029)

This data was developed using ab151709, the same antibody clone in a different buffer formulation.

Immunohistochemical analysis of paraffin-embedded Human skin tissue labeling LYPD3 with unpurified ab151709 at 1/100 dilution.

Perform heat mediated antigen retrieval before commencing with IHC staining protocol.

Immunohistochemistry (Formalin/PFA-fixed paraffin-embedded sections) - Anti-LYPD3 antibody [EPR9107] - BSA and Azide free (AB249029)
  • IHC-P

Unknown

Immunohistochemistry (Formalin/PFA-fixed paraffin-embedded sections) - Anti-LYPD3 antibody [EPR9107] - BSA and Azide free (AB249029)

This data was developed using ab151709, the same antibody clone in a different buffer formulation.

Immunohistochemistry (Formalin/PFA-fixed paraffin-embedded sections) analysis of human skin tissue sections labeling LYPD3 with Purified ab151709 at 1 : 1000 dilution (1.01 μg/ml). Heat mediated antigen retrieval was performed using ab93684 (Tris/EDTA buffer, pH 9.0). Tissue was counterstained with Hematoxylin. ImmunoHistoProbe one step HRP Polymer (ready to use) secondary antibody was used at 1 : 0 dilution. PBS instead of the primary antibody was used as the negative control.

Western blot - Anti-LYPD3 antibody [EPR9107] - BSA and Azide free (AB249029)
  • WB

Unknown

Western blot - Anti-LYPD3 antibody [EPR9107] - BSA and Azide free (AB249029)

This data was developed using ab151709, the same antibody clone in a different buffer formulation.

All lanes:

Western blot - Anti-LYPD3 antibody [EPR9107] (<a href='/en-us/products/primary-antibodies/lypd3-antibody-epr9107-ab151709'>ab151709</a>) at 1/1000 dilution

Lane 1:

BxPC3 cell lysate at 10 µg

Lane 2:

HACAT cell lysate at 10 µg

Secondary

All lanes:

Goat anti-rabbit HRP at 1/2000 dilution

Predicted band size: 36 kDa

false

Immunoprecipitation - Anti-LYPD3 antibody [EPR9107] - BSA and Azide free (AB249029)
  • IP

Lab

Immunoprecipitation - Anti-LYPD3 antibody [EPR9107] - BSA and Azide free (AB249029)

This data was developed using ab151709, the same antibody clone in a different buffer formulation.

ab151709 (purified) at 1 : 50 dilution (2ug) immunoprecipitating LYPD3 in HaCaT (Human skin keratinocyte) whole cell lysate.
Lane 1 (input) : HaCaT (Human skin keratinocyte) whole cell lysate 10ug
Lane 2 (+) : ab151709 & HaCaT (Human skin keratinocyte) whole cell lysate
Lane 3 (-) : Rabbit monoclonal IgG (ab172730) instead of ab151709 in HaCaT (Human skin keratinocyte) whole cell lysate
For western blotting, VeriBlot for IP Detection Reagent (HRP) (ab131366) was used for detection at 1 : 1000 dilution.
Blocking and diluting buffer : 5% NFDM/TBST.

All lanes:

Immunoprecipitation - Anti-LYPD3 antibody [EPR9107] (<a href='/en-us/products/primary-antibodies/lypd3-antibody-epr9107-ab151709'>ab151709</a>)

Predicted band size: 36 kDa

false

Western blot - Anti-LYPD3 antibody [EPR9107] - BSA and Azide free (AB249029)
  • WB

Lab

Western blot - Anti-LYPD3 antibody [EPR9107] - BSA and Azide free (AB249029)

This data was developed using ab151709, the same antibody clone in a different buffer formulation.

Blocking and dilution buffer : 5% NFDM/TBST.

All lanes:

Western blot - Anti-LYPD3 antibody [EPR9107] (<a href='/en-us/products/primary-antibodies/lypd3-antibody-epr9107-ab151709'>ab151709</a>) at 1/1000 dilution

Lane 1:

HaCaT (Human skin keratinocyte) whole cell lysate at 20 µg

Lane 2:

BxPC-3 (Human pancreas adenocarcinoma epithelial cell) whole cell lysate at 20 µg

Lane 3:

Human esophagus tissue lysate at 20 µg

Secondary

All lanes:

Anti-Rabbit IgG (HRP), specific to the non-reduced form of IgG at 1/5000 dilution

Predicted band size: 36 kDa

false

Key facts

Host species

Rabbit

Clonality

Monoclonal

Clone number

EPR9107

Isotype

IgG

Carrier free

Yes

Reacts with

Human

Applications

WB, IHC-P, IP

applications

Immunogen

The exact immunogen used to generate this antibody is proprietary information.

Reactivity data

{ "title": "Reactivity Data", "filters": { "stats": ["", "Species", "Dilution Info", "Notes"], "tabs": { "all-applications": {"fullname" : "All Applications", "shortname": "All Applications"}, "IHCP" : {"fullname" : "Immunohistochemistry (Formalin/PFA-fixed paraffin-embedded sections)", "shortname":"IHC-P"}, "IP" : {"fullname" : "Immunoprecipitation", "shortname":"IP"}, "WB" : {"fullname" : "Western blot", "shortname":"WB"} }, "product-promise": { "all": "all", "testedAndGuaranteed": "tested", "guaranteed": "expected", "predicted": "predicted", "notRecommended": "not-recommended" } }, "values": { "Human": { "IHCP-species-checked": "testedAndGuaranteed", "IHCP-species-dilution-info": "", "IHCP-species-notes": "<p></p>", "IP-species-checked": "testedAndGuaranteed", "IP-species-dilution-info": "", "IP-species-notes": "<p></p>", "WB-species-checked": "testedAndGuaranteed", "WB-species-dilution-info": "", "WB-species-notes": "<p></p>" } } }

Product details

ab249029 is the carrier-free version of ab151709.

Species reactivity
Mouse, Rat: We have preliminary internal testing data to indicate this antibody may not react with these species.
Please contact us for more information.

Patented technology
Our RabMAb® technology is a patented hybridoma-based technology for making rabbit monoclonal antibodies. For details on our patents, please refer to RabMAb® patents.

What are the advantages of a recombinant monoclonal antibody?
This product is a recombinant monoclonal antibody, which offers several advantages including:

  • - High batch-to-batch consistency and reproducibility
  • - Improved sensitivity and specificity
  • - Long-term security of supply
  • - Animal-free batch production

For more information, read more on recombinant antibodies.

Conjugation ready
Our carrier-free antibodies are typically supplied in a PBS-only formulation, purified and free of BSA, sodium azide and glycerol. This conjugation-ready format is designed for use with fluorochromes, metal isotopes, oligonucleotides, and enzymes, which makes them ideal for antibody labelling, functional and cell-based assays, flow-based assays (e.g. mass cytometry) and Multiplex Imaging applications.

Use our conjugation kits for antibody conjugates that are ready-to-use in as little as 20 minutes with 1 minute hands-on-time and 100% antibody recovery: available for fluorescent dyes, HRP, biotin and gold.

Compatibility
This product is compatible with the Maxpar® Antibody Labeling Kit from Fluidigm, without the need for antibody preparation. Maxpar® is a trademark of Fluidigm Canada Inc.

Properties and storage information

Form
Liquid
Purification technique
Affinity purification Protein A
Storage buffer
pH: 7.2 - 7.4 Constituents: PBS
Shipped at conditions
Blue Ice
Appropriate short-term storage conditions
+4°C
Appropriate long-term storage conditions
+4°C
Storage information
Do Not Freeze

Supplementary information

This supplementary information is collated from multiple sources and compiled automatically.

LYPD3 also known as C4.4A is a glycosylphosphatidylinositol (GPI)-anchored protein with a molecular weight of approximately 40 kDa. It belongs to the Ly6/PLAUR domain family. This protein is mainly expressed in stratified epithelia and also found in some other tissues. LYPD3 shows higher expression levels in certain cancer cell types indicating its role in tumorigenesis.
Biological function summary

LYPD3 functions in cellular adhesion and migration processes. It interacts with extracellular matrix components facilitating the movement and positioning of cells. It acts as a part of a protein complex that is important for cell communication and tissue organization. Its high expression in some cancer types suggests its involvement in processes that drive cancer progression including metastasis.

Pathways

LYPD3 participates in key signaling cascades including integrin-mediated pathways. These pathways are important for mediating cell-matrix interactions and influence cell movement and survival. LYPD3 has known interactions with integrin proteins suggesting a collaborative role that modulates cell adhesion dynamics. These interactions make it an important player in cell migration and invasion processes that are pivotal for normal physiological events and pathological conditions.

LYPD3 shows significant involvement in cancers such as squamous cell carcinoma and prostate cancer. The protein aids the metastatic spread of these cancers by promoting cell migration and invasion. It has been associated with other proteins like laminin which supports cancer cell detachment and dissemination. Understanding LYPD3's role in cancer biology helps in identifying therapeutic targets for impeding cancer progression.

Product protocols

For this product, it's our understanding that no specific protocols are required. You can visit:

Target data

Supports cell migration. May be involved in urothelial cell-matrix interactions. May be involved in tumor progression.
See full target information LYPD3

Publications (1)

Recent publications for all applications. Explore the full list and refine your search

Developmental cell 60:2744-2760.e9 PubMed40460835

2025

ATG9A and ARFIP2 cooperate to control PI4P levels for lysosomal repair.

Applications

Unspecified application

Species

Unspecified reactive species

Stefano De Tito,Eugenia Almacellas,Daniel Dai Yu,Emily Millard,Wenxin Zhang,Cecilia de Heus,Christophe Queval,Javier H Hervás,Enrica Pellegrino,Ioanna Panagi,Ditte Fogde,Teresa L M Thurston,Judith Klumperman,Maximiliano Gutierrez,Sharon A Tooze
View all publications

Product promise

We are committed to supporting your work with high-quality reagents, and we're here for you every step of the way. In the unlikely event that one of our products does not perform as expected, you're protected by our Product Promise.
For full details, please see our Terms & Conditions

Please note: All products are 'FOR RESEARCH USE ONLY. NOT FOR USE IN DIAGNOSTIC OR THERAPEUTIC PROCEDURES'.

For licensing inquiries, please contact partnerships@abcam.com