JavaScript is disabled in your browser. Please enable JavaScript to view this website.
AB183357

Anti-LYPD3 antibody [SP208]

Be the first to review this product! Submit a review

|

(1 Publication)

Rabbit Recombinant Monoclonal LYPD3 antibody. Suitable for IHC-P and reacts with Human samples. Cited in 1 publication.

View Alternative Names

C4.4A, UNQ491/PRO1007, LYPD3, Ly6/PLAUR domain-containing protein 3, GPI-anchored metastasis-associated protein C4.4A homolog, Matrigel-induced gene C4 protein, MIG-C4

10 Images
Immunohistochemistry (Formalin/PFA-fixed paraffin-embedded sections) - Anti-LYPD3 antibody [SP208] (AB183357)
  • IHC-P

Supplier Data

Immunohistochemistry (Formalin/PFA-fixed paraffin-embedded sections) - Anti-LYPD3 antibody [SP208] (AB183357)

Immunohistochemical analysis of formalin-fixed, paraffin-embedded Human esophagus tissue labeling LYPD3 with ab183357 at 1/100 dilution.

Immunohistochemistry (Formalin/PFA-fixed paraffin-embedded sections) - Anti-LYPD3 antibody [SP208] (AB183357)
  • IHC-P

Supplier Data

Immunohistochemistry (Formalin/PFA-fixed paraffin-embedded sections) - Anti-LYPD3 antibody [SP208] (AB183357)

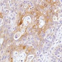
Immunohistochemical analysis of formalin-fixed, paraffin-embedded Human cervical squamous cell carcinoma tissue labeling LYPD3 with ab183357 at 1/100 dilution.

Immunohistochemistry (Formalin/PFA-fixed paraffin-embedded sections) - Anti-LYPD3 antibody [SP208] (AB183357)
  • IHC-P

Supplier Data

Immunohistochemistry (Formalin/PFA-fixed paraffin-embedded sections) - Anti-LYPD3 antibody [SP208] (AB183357)

Immunohistochemical analysis of formalin-fixed, paraffin-embedded Human breast ductal cell carcinoma tissue labeling LYPD3 with ab183357 at 1/100 dilution.

Immunohistochemistry (Formalin/PFA-fixed paraffin-embedded sections) - Anti-LYPD3 antibody [SP208] (AB183357)
  • IHC-P

Unknown

Immunohistochemistry (Formalin/PFA-fixed paraffin-embedded sections) - Anti-LYPD3 antibody [SP208] (AB183357)

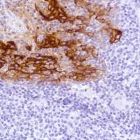
Immunohistochemical analysis of formalin-fixed, paraffin-embedded Human tonsil tissue labeling LYPD3 with ab183357 at 1/100 dilution.

Immunohistochemistry (Formalin/PFA-fixed paraffin-embedded sections) - Anti-LYPD3 antibody [SP208] (AB183357)
  • IHC-P

Unknown

Immunohistochemistry (Formalin/PFA-fixed paraffin-embedded sections) - Anti-LYPD3 antibody [SP208] (AB183357)

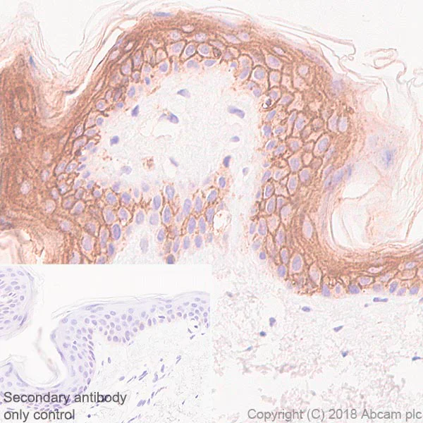
Immunohistochemistry (Formalin/PFA-fixed paraffin-embedded sections) analysis of Human skin tissue sections labeling LYPD3 with ab183357 at 1/100 dilution (4.65 µg/ml). Heat mediated antigen retrieval was performed Heat mediated antigen retrieval with sodium citrate buffer (pH 6.0, epitope retrieval solution 1) for 20 mins. Rabbit specific IHC polymer detection kit HRP/DAB (ab209101) was used as the secondary antibody. Negative control : PBS instead of the primary antibody. Hematoxylin was used as a counterstain.

Immunohistochemistry (Formalin/PFA-fixed paraffin-embedded sections) - Anti-LYPD3 antibody [SP208] (AB183357)
  • IHC-P

Unknown

Immunohistochemistry (Formalin/PFA-fixed paraffin-embedded sections) - Anti-LYPD3 antibody [SP208] (AB183357)

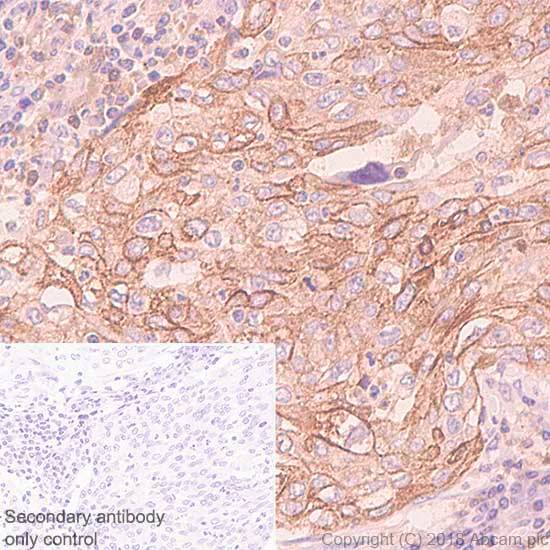
Immunohistochemistry (Formalin/PFA-fixed paraffin-embedded sections) analysis of Human cervix carcinoma tissue sections labeling LYPD3 with ab183357 at 1/100 dilution (4.65 µg/ml). Heat mediated antigen retrieval was performed Heat mediated antigen retrieval with sodium citrate buffer (pH 6.0, epitope retrieval solution 1) for 20 mins. Rabbit specific IHC polymer detection kit HRP/DAB (ab209101) was used as the secondary antibody. Negative control : PBS instead of the primary antibody. Hematoxylin was used as a counterstain.

Immunohistochemistry (Formalin/PFA-fixed paraffin-embedded sections) - Anti-LYPD3 antibody [SP208] (AB183357)
  • IHC-P

Unknown

Immunohistochemistry (Formalin/PFA-fixed paraffin-embedded sections) - Anti-LYPD3 antibody [SP208] (AB183357)

Immunohistochemical analysis of formalin-fixed, paraffin-embedded Human bladder tissue labeling LYPD3 with ab183357 at 1/100 dilution.

Immunohistochemistry (Formalin/PFA-fixed paraffin-embedded sections) - Anti-LYPD3 antibody [SP208] (AB183357)
  • IHC-P

Supplier Data

Immunohistochemistry (Formalin/PFA-fixed paraffin-embedded sections) - Anti-LYPD3 antibody [SP208] (AB183357)

Immunohistochemical analysis of formalin-fixed, paraffin-embedded Human skin tissue labeling LYPD3 with ab183357 at 1/100 dilution.

Immunohistochemistry (Formalin/PFA-fixed paraffin-embedded sections) - Anti-LYPD3 antibody [SP208] (AB183357)
  • IHC-P

Supplier Data

Immunohistochemistry (Formalin/PFA-fixed paraffin-embedded sections) - Anti-LYPD3 antibody [SP208] (AB183357)

Immunohistochemical analysis of formalin-fixed, paraffin-embedded Human cervix tissue labeling LYPD3 with ab183357 at 1/100 dilution.

Immunohistochemistry (Formalin/PFA-fixed paraffin-embedded sections) - Anti-LYPD3 antibody [SP208] (AB183357)
  • IHC-P

Unknown

Immunohistochemistry (Formalin/PFA-fixed paraffin-embedded sections) - Anti-LYPD3 antibody [SP208] (AB183357)

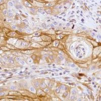
Immunohistochemical analysis of formalin-fixed, paraffin-embedded Human skin squamous cell carcinoma tissue labeling LYPD3 with ab183357 at 1/100 dilution.

  • Carrier free

    Anti-LYPD3 antibody [SP208] - BSA and Azide free

Key facts

Host species

Rabbit

Clonality

Monoclonal

Clone number

SP208

Isotype

IgG

Carrier free

No

Reacts with

Human

Applications

IHC-P

applications

Immunogen

The exact immunogen used to generate this antibody is proprietary information.

Reactivity data

{ "title": "Reactivity Data", "filters": { "stats": ["", "Species", "Dilution Info", "Notes"], "tabs": { "all-applications": {"fullname" : "All Applications", "shortname": "All Applications"}, "IHCP" : {"fullname" : "Immunohistochemistry (Formalin/PFA-fixed paraffin-embedded sections)", "shortname":"IHC-P"} }, "product-promise": { "all": "all", "testedAndGuaranteed": "tested", "guaranteed": "expected", "predicted": "predicted", "notRecommended": "not-recommended" } }, "values": { "Human": { "IHCP-species-checked": "testedAndGuaranteed", "IHCP-species-dilution-info": "1/100", "IHCP-species-notes": "<p></p>" }, "Mouse": { "IHCP-species-checked": "predicted", "IHCP-species-dilution-info": "", "IHCP-species-notes": "" }, "Rat": { "IHCP-species-checked": "predicted", "IHCP-species-dilution-info": "", "IHCP-species-notes": "" } } }

Product details

What are the advantages of a recombinant monoclonal antibody?
This product is a recombinant monoclonal antibody, which offers several advantages including:

  • - High batch-to-batch consistency and reproducibility
  • - Improved sensitivity and specificity
  • - Long-term security of supply
  • - Animal-free batch production

For more information, read more on recombinant antibodies.

Properties and storage information

Form
Liquid
Purification technique
Affinity purification Protein A/G
Purification notes
Purified from TCS by protein A/G.
Storage buffer
pH: 7.6 Preservative: 0.1% Sodium azide Constituents: PBS, 1% BSA
Shipped at conditions
Blue Ice
Appropriate short-term storage duration
1-2 weeks
Appropriate short-term storage conditions
+4°C
Appropriate long-term storage conditions
-20°C
Aliquoting information
Upon delivery aliquot
Storage information
Avoid freeze / thaw cycle

Supplementary information

This supplementary information is collated from multiple sources and compiled automatically.

LYPD3 also known as C4.4A is a glycosylphosphatidylinositol (GPI)-anchored protein with a molecular weight of approximately 40 kDa. It belongs to the Ly6/PLAUR domain family. This protein is mainly expressed in stratified epithelia and also found in some other tissues. LYPD3 shows higher expression levels in certain cancer cell types indicating its role in tumorigenesis.
Biological function summary

LYPD3 functions in cellular adhesion and migration processes. It interacts with extracellular matrix components facilitating the movement and positioning of cells. It acts as a part of a protein complex that is important for cell communication and tissue organization. Its high expression in some cancer types suggests its involvement in processes that drive cancer progression including metastasis.

Pathways

LYPD3 participates in key signaling cascades including integrin-mediated pathways. These pathways are important for mediating cell-matrix interactions and influence cell movement and survival. LYPD3 has known interactions with integrin proteins suggesting a collaborative role that modulates cell adhesion dynamics. These interactions make it an important player in cell migration and invasion processes that are pivotal for normal physiological events and pathological conditions.

LYPD3 shows significant involvement in cancers such as squamous cell carcinoma and prostate cancer. The protein aids the metastatic spread of these cancers by promoting cell migration and invasion. It has been associated with other proteins like laminin which supports cancer cell detachment and dissemination. Understanding LYPD3's role in cancer biology helps in identifying therapeutic targets for impeding cancer progression.

Product protocols

For this product, it's our understanding that no specific protocols are required. You can visit:

Target data

Supports cell migration. May be involved in urothelial cell-matrix interactions. May be involved in tumor progression.
See full target information LYPD3

Publications (1)

Recent publications for all applications. Explore the full list and refine your search

Anatomy & cell biology : PubMed40765167

2025

Site-dependent differences and common features of lymph node architecture, with special reference to the distribution of nodal dendritic cells and macrophages: a cadaveric study.

Applications

Unspecified application

Species

Unspecified reactive species

Eri Miyamoto,Masaya Aoki,Kei Kitamura,Ryo Sekiya,Kazuma Morita,Gen Murakami,Shinichi Abe
View all publications

Product promise

We are committed to supporting your work with high-quality reagents, and we're here for you every step of the way. In the unlikely event that one of our products does not perform as expected, you're protected by our Product Promise.
For full details, please see our Terms & Conditions

Please note: All products are 'FOR RESEARCH USE ONLY. NOT FOR USE IN DIAGNOSTIC OR THERAPEUTIC PROCEDURES'.

For licensing inquiries, please contact partnerships@abcam.com