JavaScript is disabled in your browser. Please enable JavaScript to view this website.
AB227981

Anti-LYRIC/AEG1 antibody [EPR20797]

Be the first to review this product! Submit a review

|

(16 Publications)

Rabbit Recombinant Monoclonal LYRIC/AEG1 antibody. Suitable for IP, WB, ICC/IF, Flow Cyt (Intra), IHC-P and reacts with Human, Rat, Mouse samples. Cited in 16 publications.

View Alternative Names

AEG1, LYRIC, MTDH, Protein LYRIC, 3D3/LYRIC, Astrocyte elevated gene-1 protein, Lysine-rich CEACAM1 co-isolated protein, Metadherin, Metastasis adhesion protein, AEG-1

9 Images
Immunohistochemistry (Formalin/PFA-fixed paraffin-embedded sections) - Anti-LYRIC/AEG1 antibody [EPR20797] (AB227981)
  • IHC-P

Supplier Data

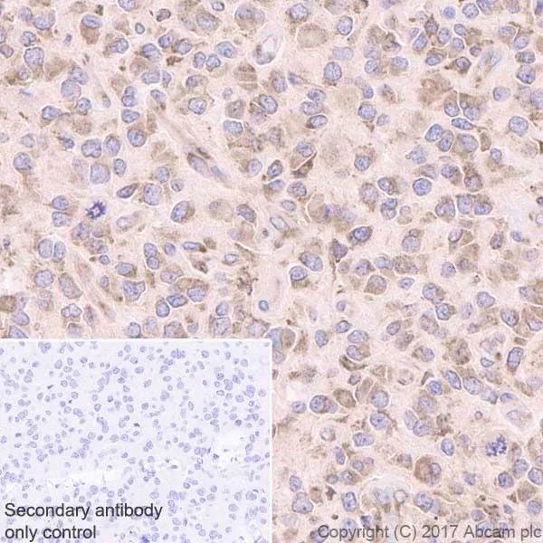
Immunohistochemistry (Formalin/PFA-fixed paraffin-embedded sections) - Anti-LYRIC/AEG1 antibody [EPR20797] (AB227981)

Immunohistochemical analysis of paraffin-embedded human ovarian cancer tissue labeling LYRIC/AEG1 with ab227981 at 1/2000 dilution, followed by Goat Anti-Rabbit IgG H&L (HRP) Ready to use. Cytoplasmic staining in human ovarian cancer tissue (PMID : 27143933) is observed. Counter stained with hematoxylin.

Secondary antibody only control : Used PBS instead of primary antibody, secondary antibody is Goat Anti-Rabbit IgG H&L (HRP) Ready to use.

Perform heat mediated antigen retrieval with Tris/EDTA buffer pH 9.0 before commencing with IHC staining protocol.

Immunohistochemistry (Formalin/PFA-fixed paraffin-embedded sections) - Anti-LYRIC/AEG1 antibody [EPR20797] (AB227981)
  • IHC-P

Unknown

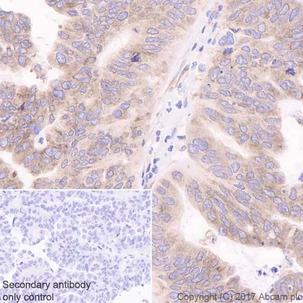
Immunohistochemistry (Formalin/PFA-fixed paraffin-embedded sections) - Anti-LYRIC/AEG1 antibody [EPR20797] (AB227981)

Immunohistochemical analysis of paraffin-embedded human astrocytoma tissue labeling LYRIC/AEG1 with ab227981 at 1/2000 dilution, followed by Goat Anti-Rabbit IgG H&L (HRP) Ready to use. Cytoplasmic staining in human astrocytoma tissue (PMID : 25197376) is observed. Counter stained with hematoxylin.

Secondary antibody only control : Used PBS instead of primary antibody, secondary antibody is Goat Anti-Rabbit IgG H&L (HRP) Ready to use.

Perform heat mediated antigen retrieval with Tris/EDTA buffer pH 9.0 before commencing with IHC staining protocol.

Immunocytochemistry/ Immunofluorescence - Anti-LYRIC/AEG1 antibody [EPR20797] (AB227981)
  • ICC/IF

Supplier Data

Immunocytochemistry/ Immunofluorescence - Anti-LYRIC/AEG1 antibody [EPR20797] (AB227981)

Immunofluorescent analysis of 4% paraformaldehyde-fixed, 0.1% Triton X-100 permeabilized HeLa (human epithelial cell line from cervix adenocarcinoma) cells labeling LYRIC/AEG1 with ab227981 at 1/100 dilution followed by Goat Anti-Rabbit IgG H&L (Alexa Fluor® 488) (ab150077) secondary antibody at 1/1000 dilution (green). Confocal image showing cytoplasmic and weakly nuclear staining in HeLa cell line (PMID : 21750868).

The nuclear counter stain is DAPI (blue). Tubulin is detected with Anti-alpha Tubulin antibody [DM1A] - Microtubule Marker (Alexa Fluor® 594) (ab195889) (red) at 1/200 dilution.

Secondary antibody only control : Used PBS instead of primary antibody, secondary antibody is Goat Anti-Rabbit IgG H&L (Alexa Fluor® 488) (ab150077) secondary antibody at 1/1000 dilution.

Immunocytochemistry/ Immunofluorescence - Anti-LYRIC/AEG1 antibody [EPR20797] (AB227981)
  • ICC/IF

Supplier Data

Immunocytochemistry/ Immunofluorescence - Anti-LYRIC/AEG1 antibody [EPR20797] (AB227981)

Immunofluorescent analysis of 4% paraformaldehyde-fixed, 0.1% Triton X-100 permeabilized PC-3 (human prostate adenocarcinoma cell line) cells labeling LYRIC/AEG1 with ab227981 at 1/100 dilution followed by Goat Anti-Rabbit IgG H&L (Alexa Fluor® 488) (ab150077) secondary antibody at 1/1000 dilution (green). Confocal image showing cytoplasmic staining in PC-3 cell line.

The nuclear counter stain is DAPI (blue). Tubulin is detected with Anti-alpha Tubulin antibody [DM1A] - Microtubule Marker (Alexa Fluor® 594) (ab195889) (red) at 1/200 dilution.

Secondary antibody only control : Used PBS instead of primary antibody, secondary antibody is Goat Anti-Rabbit IgG H&L (Alexa Fluor® 488) (ab150077) secondary antibody at 1/1000 dilution.

Flow Cytometry (Intracellular) - Anti-LYRIC/AEG1 antibody [EPR20797] (AB227981)
  • Flow Cyt (Intra)

Supplier Data

Flow Cytometry (Intracellular) - Anti-LYRIC/AEG1 antibody [EPR20797] (AB227981)

Intracellular flow cytometric analysis of 4% paraformaldehyde-fixed, 90% methanol-permeabilized HeLa (human epithelial cell line from cervix adenocarcinoma) cell line labeling LYRIC/AEG1 with ab227981 at 1/500 dilution (red) compared with a Rabbit IgG, monoclonal [EPR25A] - Isotype Control (ab172730) (black) and an unlabeled control (cells without incubation with primary antibody and secondary antibody) (blue). Goat Anti-Rabbit IgG H&L (Alexa Fluor® 488) (ab150077) at 1/2000 dilution was used as the secondary antibody.

Immunoprecipitation - Anti-LYRIC/AEG1 antibody [EPR20797] (AB227981)
  • IP

Supplier Data

Immunoprecipitation - Anti-LYRIC/AEG1 antibody [EPR20797] (AB227981)

LYRIC/AEG1 was immunoprecipitated from 0.35 mg of HeLa (human epithelial cell line from cervix adenocarcinoma) whole cell lysate with ab227981 at 1/30 dilution. Western blot was performed from the immunoprecipitate using ab227981 at 1/1000 dilution. VeriBlot for IP Detection Reagent (HRP) (ab131366), was used for detection at 1/10000 dilution.

Lane 1 : HeLa whole cell lysate 10 μg (Input).

Lane 2 : ab227981 IP in HeLa whole cell lysate.

Lane 3 : Rabbit monoclonal IgG (ab172730) instead of ab227981 in HeLa whole cell lysate.

Blocking and dilution buffer and concentration : 5% NFDM/TBST.

Exposure time : 1 second.

The protein migrates as a 75/80kDa doublet, as has been observed in the literature (PMID : 23835593).

All lanes:

Immunoprecipitation - Anti-LYRIC/AEG1 antibody [EPR20797] (ab227981)

Predicted band size: 64 kDa

false

Immunohistochemistry (Formalin/PFA-fixed paraffin-embedded sections) - Anti-LYRIC/AEG1 antibody [EPR20797] (AB227981)
  • IHC-P

Supplier Data

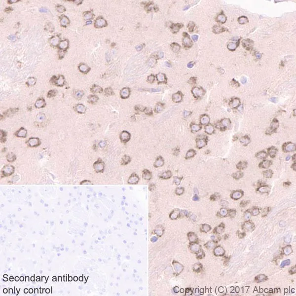
Immunohistochemistry (Formalin/PFA-fixed paraffin-embedded sections) - Anti-LYRIC/AEG1 antibody [EPR20797] (AB227981)

Immunohistochemical analysis of paraffin-embedded rat cerebrum tissue labeling LYRIC/AEG1 with ab227981 at 1/2000 dilution, followed by Goat Anti-Rabbit IgG H&L (HRP) Ready to use. Cytoplasmic staining in rat cerebrum tissue (PMID : 25197376) is observed. Counter stained with hematoxylin.

Secondary antibody only control : Used PBS instead of primary antibody, secondary antibody is Goat Anti-Rabbit IgG H&L (HRP) Ready to use.

Perform heat mediated antigen retrieval with Tris/EDTA buffer pH 9.0 before commencing with IHC staining protocol.

Immunohistochemistry (Formalin/PFA-fixed paraffin-embedded sections) - Anti-LYRIC/AEG1 antibody [EPR20797] (AB227981)
  • IHC-P

Supplier Data

Immunohistochemistry (Formalin/PFA-fixed paraffin-embedded sections) - Anti-LYRIC/AEG1 antibody [EPR20797] (AB227981)

Immunohistochemical analysis of paraffin-embedded mouse cerebrum tissue labeling LYRIC/AEG1 with ab227981 at 1/2000 dilution, followed by Goat Anti-Rabbit IgG H&L (HRP) Ready to use. Cytoplasmic staining in mouse cerebrum tissue (PMID : 25197376) is observed. Counter stained with hematoxylin.

Secondary antibody only control : Used PBS instead of primary antibody, secondary antibody is Goat Anti-Rabbit IgG H&L (HRP) Ready to use.

Perform heat mediated antigen retrieval with Tris/EDTA buffer pH 9.0 before commencing with IHC staining protocol.

Western blot - Anti-LYRIC/AEG1 antibody [EPR20797] (AB227981)
  • WB

Supplier Data

Western blot - Anti-LYRIC/AEG1 antibody [EPR20797] (AB227981)

Blocking/Dilution buffer : 5% NFDM/TBST.

Exposure times.

Lanes 1, 2 & 5 : 3 minutes.

Lanes 3 & 4 : 15 seconds.

Lane 6 : 58 seconds.

The blot was developed on a BIO-RAD® ChemiDoc™ MP instrument.

This antibody detected LYRIC/AEG1 in rat PC-12 cells only, not in other rat tissues or cell lines tested.

The protein migrates as a 75/80kDa doublet, as has been observed in the literature (PMID : 23835593).

All lanes:

Western blot - Anti-LYRIC/AEG1 antibody [EPR20797] (ab227981) at 1/1000 dilution

Lane 1:

MCF7 (human breast adenocarcinoma cell line) whole cell lysate at 20 µg

Lane 2:

T-47D (human ductal breast epithelial tumor cell line) whole cell lysate at 20 µg

Lane 3:

HeLa (human epithelial cell line from cervix adenocarcinoma) whole cell lysate at 20 µg

Lane 4:

PC-3 (human prostate adenocarcinoma cell line) whole cell lysate at 20 µg

Lane 5:

Human lung cancer lysate at 10 µg

Lane 6:

PC-12 (rat adrenal gland pheochromocytoma cell line) whole cell lysate at 10 µg

Secondary

Lanes 1, 2, 3, 4 and 6:

Western blot - Goat Anti-Rabbit IgG H&L (HRP) (<a href='/en-us/products/secondary-antibodies/goat-rabbit-igg-h-l-hrp-ab97051'>ab97051</a>) at 1/100000 dilution

Lane 5:

Western blot - VeriBlot for IP Detection Reagent (HRP) (<a href='/en-us/products/reagents/veriblot-for-ip-detection-reagent-hrp-ab131366'>ab131366</a>) at 1/4000 dilution

Predicted band size: 64 kDa

Observed band size: 75 kDa,80 kDa

false

  • Carrier free

    Anti-LYRIC/AEG1 antibody [EPR20797] - BSA and Azide free

Key facts

Host species

Rabbit

Clonality

Monoclonal

Clone number

EPR20797

Isotype

IgG

Carrier free

No

Reacts with

Mouse, Rat, Human

Applications

IP, Flow Cyt (Intra), IHC-P, WB, ICC/IF

applications

Immunogen

The exact immunogen used to generate this antibody is proprietary information.

Reactivity data

{ "title": "Reactivity Data", "filters": { "stats": ["", "Species", "Dilution Info", "Notes"], "tabs": { "all-applications": {"fullname" : "All Applications", "shortname": "All Applications"}, "IP" : {"fullname" : "Immunoprecipitation", "shortname":"IP"}, "WB" : {"fullname" : "Western blot", "shortname":"WB"}, "ICCIF" : {"fullname" : "Immunocytochemistry/ Immunofluorescence", "shortname":"ICC/IF"}, "FlowCytIntra" : {"fullname" : "Flow Cytometry (Intracellular)", "shortname":"Flow Cyt (Intra)"}, "IHCP" : {"fullname" : "Immunohistochemistry (Formalin/PFA-fixed paraffin-embedded sections)", "shortname":"IHC-P"} }, "product-promise": { "all": "all", "testedAndGuaranteed": "tested", "guaranteed": "expected", "predicted": "predicted", "notRecommended": "not-recommended" } }, "values": { "Human": { "IP-species-checked": "testedAndGuaranteed", "IP-species-dilution-info": "1/30", "IP-species-notes": "<p></p>", "WB-species-checked": "guaranteed", "WB-species-dilution-info": "", "WB-species-notes": "", "ICCIF-species-checked": "testedAndGuaranteed", "ICCIF-species-dilution-info": "1/100", "ICCIF-species-notes": "<p></p>", "FlowCytIntra-species-checked": "testedAndGuaranteed", "FlowCytIntra-species-dilution-info": "1/500", "FlowCytIntra-species-notes": "<p></p>", "IHCP-species-checked": "testedAndGuaranteed", "IHCP-species-dilution-info": "1/2000", "IHCP-species-notes": "<p></p> Perform heat-mediated antigen retrieval with Tris/EDTA buffer pH 9.0 before commencing with IHC staining protocol." }, "Mouse": { "IP-species-checked": "guaranteed", "IP-species-dilution-info": "", "IP-species-notes": "", "WB-species-checked": "guaranteed", "WB-species-dilution-info": "", "WB-species-notes": "", "ICCIF-species-checked": "guaranteed", "ICCIF-species-dilution-info": "", "ICCIF-species-notes": "", "FlowCytIntra-species-checked": "guaranteed", "FlowCytIntra-species-dilution-info": "", "FlowCytIntra-species-notes": "", "IHCP-species-checked": "testedAndGuaranteed", "IHCP-species-dilution-info": "1/2000", "IHCP-species-notes": "<p></p> Perform heat-mediated antigen retrieval with Tris/EDTA buffer pH 9.0 before commencing with IHC staining protocol." }, "Rat": { "IP-species-checked": "guaranteed", "IP-species-dilution-info": "", "IP-species-notes": "", "WB-species-checked": "testedAndGuaranteed", "WB-species-dilution-info": "1/1000", "WB-species-notes": "<p></p>", "ICCIF-species-checked": "guaranteed", "ICCIF-species-dilution-info": "", "ICCIF-species-notes": "", "FlowCytIntra-species-checked": "guaranteed", "FlowCytIntra-species-dilution-info": "", "FlowCytIntra-species-notes": "", "IHCP-species-checked": "testedAndGuaranteed", "IHCP-species-dilution-info": "1/2000", "IHCP-species-notes": "<p></p> Perform heat-mediated antigen retrieval with Tris/EDTA buffer pH 9.0 before commencing with IHC staining protocol." } } }

Product details

Patented technology
Our RabMAb® technology is a patented hybridoma-based technology for making rabbit monoclonal antibodies. For details on our patents, please refer to RabMAb® patents.

What are the advantages of a recombinant monoclonal antibody?
This product is a recombinant monoclonal antibody, which offers several advantages including:

  • - High batch-to-batch consistency and reproducibility
  • - Improved sensitivity and specificity
  • - Long-term security of supply
  • - Animal-free batch production

For more information, read more on recombinant antibodies.

Properties and storage information

Form
Liquid
Purification technique
Affinity purification Protein A
Storage buffer
pH: 7.2 - 7.4 Preservative: 0.01% Sodium azide Constituents: PBS, 40% Glycerol (glycerin, glycerine), 0.05% BSA
Shipped at conditions
Blue Ice
Appropriate short-term storage duration
1-2 weeks
Appropriate short-term storage conditions
+4°C
Appropriate long-term storage conditions
-20°C
Aliquoting information
Upon delivery aliquot
Storage information
Avoid freeze / thaw cycle

Supplementary information

This supplementary information is collated from multiple sources and compiled automatically.

LYRIC/AEG1 also known as Astrocyte Elevated Gene-1 (AEG-1) is a protein with a molecular weight of approximately 60 kDa. This protein is expressed in several tissues with notable expression in the brain liver and other organs. LYRIC/AEG1 is encoded by the MTDH gene and plays a mechanical role in regulating processes such as gene expression and cell survival. It localizes to the endoplasmic reticulum the perinuclear region and also the cell nucleus indicating a multifaceted role in cellular dynamics.
Biological function summary

LYRIC/AEG1 functions significantly in oncogenesis and tumor progression. It participates actively in gene regulation and interacts with various proteins as part of complex protein networks influencing cell survival migration and adherence. This protein is known to enhance metastasis and promote angiogenesis in malignant contexts. Researchers often study the modulation of LYRIC/AEG1 to assess its impact on cell proliferation and differentiation in cancer cells.

Pathways

LYRIC/AEG1 is associated with important signaling pathways such as the NF-κB and PI3K/Akt pathways. These pathways are critical for cell survival and proliferation and LYRIC/AEG1 modulates their activity. Through these pathways it interacts with other proteins like IκB kinase complexes and Akt coordinating cellular responses to external stimuli. LYRIC/AEG1’s influence on these pathways highlights its role in cellular adaptation to stress and potential therapeutic interventions.

LYRIC/AEG1’s role becomes apparent in its association with cancers specifically hepatocellular carcinoma and breast cancer. In these cancers LYRIC/AEG1 overexpression correlates with poor prognosis and enhanced tumor progression. Its interaction with proteins such as c-Myc and E-cadherin highlights its involvement in cancer cell metabolism and epithelial-mesenchymal transition (EMT). Understanding LYRIC/AEG1’s function in disease contexts aids in developing targeted treatment strategies for these malignancies.

Product protocols

For this product, it's our understanding that no specific protocols are required. You can visit:

Target data

Down-regulates SLC1A2/EAAT2 promoter activity when expressed ectopically. Activates the nuclear factor kappa-B (NF-kappa-B) transcription factor. Promotes anchorage-independent growth of immortalized melanocytes and astrocytes which is a key component in tumor cell expansion. Promotes lung metastasis and also has an effect on bone and brain metastasis, possibly by enhancing the seeding of tumor cells to the target organ endothelium. Induces chemoresistance.
See full target information MTDH

Publications (16)

Recent publications for all applications. Explore the full list and refine your search

Cell biology and toxicology 41:118 PubMed40670757

2025

The SDF-1α/MTDH axis inhibits ferroptosis and promotes the formation of anti-VEGF-resistant choroidal neovascularization by facilitating the nuclear translocation of SREBP1.

Applications

Unspecified application

Species

Unspecified reactive species

Rong Zou,Xi Zhang,Xiaochan Dai,Yuanzhi Yuan,Jinhui Dai,Fei Yuan

PloS one 18:e0291092 PubMed37656734

2023

Using the metabolite alterations monitoring the AEG-1 expression level and cell biological behaviour of U251 cell in vitro.

Applications

Unspecified application

Species

Unspecified reactive species

Yurui Sheng,Di Yin,Qingshi Zeng

Molecules (Basel, Switzerland) 28: PubMed37049702

2023

Ribosome Biogenesis Regulator 1 Homolog (RRS1) Promotes Cisplatin Resistance by Regulating AEG-1 Abundance in Breast Cancer Cells.

Applications

Unspecified application

Species

Unspecified reactive species

Junying Song,Cuixiu Peng,Runze Wang,Yanan Hua,Qinglan Wu,Lin Deng,Yi Cao,Li Zhang,Lin Hou

Frontiers in oncology 12:960481 PubMed36081570

2022

LncRNA-ENST00000543604 exerts a tumor-promoting effect miRNA 564/AEG-1 or ZNF326/EMT and predicts the prognosis of and chemotherapeutic effect in colorectal cancer.

Applications

Unspecified application

Species

Unspecified reactive species

Weimin Wang,Zhen Zhou,Xiaojun Dai,Haibo Wang,Jun Jin,Ke Min,Yunfan Wang,Mengying Lv,Yanqing Liu,Yan Zhou

Oncology letters 23:162 PubMed35399330

2022

miR-217-5p suppresses epithelial-mesenchymal transition and the NF-κB signaling pathway in breast cancer via targeting of metadherin.

Applications

Unspecified application

Species

Unspecified reactive species

Lixian Yang,Shuo Liu,Liu Yang,Bin Xu,Meiqi Wang,Xiangshun Kong,Zhenchuan Song

Frontiers in pharmacology 12:743682 PubMed35153736

2022

Ketamine Induced Bladder Fibrosis Through MTDH/P38 MAPK/EMT Pathway.

Applications

Unspecified application

Species

Unspecified reactive species

Quan Zhu,Kaixuan Li,Haozhen Li,Feng Han,Zhengyan Tang,Zhao Wang

Molecular cancer 20:162 PubMed34893064

2021

Long non-coding RNA NORAD/miR-224-3p/MTDH axis contributes to CDDP resistance of esophageal squamous cell carcinoma by promoting nuclear accumulation of β-catenin.

Applications

Unspecified application

Species

Unspecified reactive species

Yunlong Jia,Cong Tian,Hongyan Wang,Fan Yu,Wei Lv,Yuqing Duan,Zishuo Cheng,Xuexiao Wang,Yu Wang,Tianxu Liu,Jiali Wang,Lihua Liu

Cellular and molecular gastroenterology and hepatology 12:1121-1143 PubMed33962073

2021

TAK1 Is a Novel Target in Hepatocellular Carcinoma and Contributes to Sorafenib Resistance.

Applications

Unspecified application

Species

Unspecified reactive species

Shunjie Xia,Lin Ji,Liye Tao,Yu Pan,Zhongjie Lin,Zhe Wan,Haoqi Pan,Jie Zhao,Liuxin Cai,Junjie Xu,Xiujun Cai

Molecular medicine reports 22:3911-3921 PubMed33000186

2020

MicroRNA‑22 regulates autophagy and apoptosis in cisplatin resistance of osteosarcoma.

Applications

Unspecified application

Species

Unspecified reactive species

Chen-Yang Meng,Zhen-Qun Zhao,Rui Bai,Wei Zhao,Yu-Xing Wang,Liang Sun,Chao Sun,Wei Feng,Shi-Bing Guo

Cancer gene therapy 28:126-140 PubMed32616906

2020

MicroRNA-375 represses tumor angiogenesis and reverses resistance to sorafenib in hepatocarcinoma.

Applications

Unspecified application

Species

Unspecified reactive species

Dong Li,Tao Wang,Fei-Fan Sun,Jian-Qiong Feng,Jing-Jing Peng,Hua Li,Chao Wang,Dan Wang,Yu Liu,Yu-Di Bai,Mao-Lin Shi,Tao Zhang
View all publications

Product promise

We are committed to supporting your work with high-quality reagents, and we're here for you every step of the way. In the unlikely event that one of our products does not perform as expected, you're protected by our Product Promise.
For full details, please see our Terms & Conditions

Please note: All products are 'FOR RESEARCH USE ONLY. NOT FOR USE IN DIAGNOSTIC OR THERAPEUTIC PROCEDURES'.

For licensing inquiries, please contact partnerships@abcam.com