JavaScript is disabled in your browser. Please enable JavaScript to view this website.
AB36597

Anti-Lysosomal acid lipase/LAL antibody [9G7F12]

3

(1 Review)

|

(5 Publications)

Mouse Monoclonal Lysosomal acid lipase/LAL antibody. Suitable for IHC-P, Flow Cyt, WB and reacts with Human, Recombinant fragment samples. Cited in 5 publications. Immunogen corresponding to Recombinant Fragment Protein within Human LIPA.

View Alternative Names

Lysosomal acid lipase/cholesteryl ester hydrolase, Acid cholesteryl ester hydrolase, LAL, Cholesteryl esterase, Diacylglycerol lipase, Lipase A, Sterol esterase, Triacylglycerol ester hydrolase, Triacylglycerol lipase, LIPA

3 Images
Flow Cytometry - Anti-Lysosomal acid lipase/LAL antibody [9G7F12] (AB36597)
  • Flow Cyt

Unknown

Flow Cytometry - Anti-Lysosomal acid lipase/LAL antibody [9G7F12] (AB36597)

Overlay histogram showing HepG2 cells stained with ab36597 (red line). The cells were fixed with 80% methanol (5 min) and then permeabilized with 0.1% PBS-Tween for 20 min. The cells were then incubated in 1x PBS / 10% normal goat serum / 0.3M glycine to block non-specific protein-protein interactions followed by the antibody (ab36597, 0.5μg/1x106 cells) for 30 min at 22°C. The secondary antibody used was DyLight® 488 goat anti-mouse IgG (H+L) (ab96879) at 1/500 dilution for 30 min at 22°C. Isotype control antibody (black line) was mouse IgG2a [ICIGG2A] (ab91361, 1μg/1x106 cells) used under the same conditions. Acquisition of >5,000 events was performed.

Immunohistochemistry (Formalin/PFA-fixed paraffin-embedded sections) - Anti-Lysosomal acid lipase/LAL antibody [9G7F12] (AB36597)
  • IHC-P

Unknown

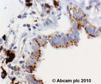
Immunohistochemistry (Formalin/PFA-fixed paraffin-embedded sections) - Anti-Lysosomal acid lipase/LAL antibody [9G7F12] (AB36597)

ab36597 (2 μg/ml) staining Lysosomal acid lipase/LAL in human lung using an automated system (DAKO Autostainer Plus). Using this protocol there is lysosomal staining in the bronchiolar epithelium and resident macrophages .
Sections were rehydrated and antigen retrieved with the Dako 3 in 1 AR buffer citrate pH 6.0 in a DAKO PT link. Slides were peroxidase blocked in 3% H2O2 in methanol for 10 mins. They were then blocked with Dako Protein block for 10 minutes (containing casein 0.25% in PBS) then incubated with primary antibody for 20 min and detected with Dako envision flex amplification kit for 30 minutes. Colorimetric detection was completed with Diaminobenzidine for 5 minutes. Slides were counterstained with Haematoxylin and coverslipped under DePeX. Please note that, for manual staining, optimization of primary antibody concentration and incubation time is recommended. Signal amplification may be required.

Western blot - Anti-Lysosomal acid lipase/LAL antibody [9G7F12] (AB36597)
  • WB

Unknown

Western blot - Anti-Lysosomal acid lipase/LAL antibody [9G7F12] (AB36597)

All lanes:

Western blot - Anti-Lysosomal acid lipase/LAL antibody [9G7F12] (ab36597)

All lanes:

Truncated LAL recombinant protein

Predicted band size: 45 kDa

Observed band size: 45 kDa

false

Key facts

Host species

Mouse

Clonality

Monoclonal

Clone number

9G7F12

Isotype

IgG2a

Carrier free

No

Reacts with

Human

Applications

Flow Cyt, WB, IHC-P

applications

Immunogen

Recombinant Fragment Protein within Human LIPA. The exact immunogen used to generate this antibody is proprietary information.

P38571

Reactivity data

{ "title": "Reactivity Data", "filters": { "stats": ["", "Species", "Dilution Info", "Notes"], "tabs": { "all-applications": {"fullname" : "All Applications", "shortname": "All Applications"}, "IHCP" : {"fullname" : "Immunohistochemistry (Formalin/PFA-fixed paraffin-embedded sections)", "shortname":"IHC-P"}, "FlowCyt" : {"fullname" : "Flow Cytometry", "shortname":"Flow Cyt"}, "WB" : {"fullname" : "Western blot", "shortname":"WB"} }, "product-promise": { "all": "all", "testedAndGuaranteed": "tested", "guaranteed": "expected", "predicted": "predicted", "notRecommended": "not-recommended" } }, "values": { "Human": { "IHCP-species-checked": "testedAndGuaranteed", "IHCP-species-dilution-info": "2 µg/mL", "IHCP-species-notes": "<p></p> Perform heat-mediated antigen retrieval before commencing with IHC staining protocol.", "FlowCyt-species-checked": "testedAndGuaranteed", "FlowCyt-species-dilution-info": "0.5 µg for 10^6 Cells", "FlowCyt-species-notes": "<p><a href='/en-us/products/primary-antibodies/mouse-igg2c-kappa-monoclonal-18c8bc7ad10-isotype-control-ab170191'>ab170191</a> - Mouse monoclonal IgG2a, is suitable for use as an isotype control with this antibody.</p>", "WB-species-checked": "guaranteed", "WB-species-dilution-info": "", "WB-species-notes": "" }, "Recombinant fragment": { "IHCP-species-checked": "notRecommended", "IHCP-species-dilution-info": "", "IHCP-species-notes": "", "FlowCyt-species-checked": "notRecommended", "FlowCyt-species-dilution-info": "", "FlowCyt-species-notes": "", "WB-species-checked": "testedAndGuaranteed", "WB-species-dilution-info": "1/500 - 1/2000", "WB-species-notes": "<p></p>" } } }

Properties and storage information

Form
Liquid
Purification technique
Affinity purification Protein G
Purification notes
Purified from tissue culture supernatant.
Storage buffer
Preservative: 0.05% Sodium azide Constituents: PBS
Shipped at conditions
Blue Ice
Appropriate short-term storage conditions
+4°C
Appropriate long-term storage conditions
-20°C
Aliquoting information
Upon delivery aliquot
Storage information
Avoid freeze / thaw cycle

Supplementary information

This supplementary information is collated from multiple sources and compiled automatically.

Lysosomal acid lipase (LAL) also called lipase A is an essential enzyme with a mass of approximately 43 kDa. It is expressed within the lysosomes of many cell types and catalyzes the hydrolysis of cholesteryl esters and triglycerides into free cholesterol and free fatty acids. This process is important for the cellular lipid metabolism which provides essential signaling molecules and membrane components. The enzyme's activity varies across different tissue types with high expression levels observed in organs like the liver and the adrenal glands.
Biological function summary

Lysosomal acid lipase contributes to the breakdown and regulation of lipid storage within the cell. It is not known to be part of a larger protein complex but its function is critical for maintaining lipid homeostasis in the cell. Through its actions LAL supplies cholesterol and fatty acids essential for various cellular processes including membrane formation and energy production. Additionally it assists in cellular storage management by preventing the excessive accumulation of lipids.

Pathways

The enzymatic actions of lysosomal acid lipase are central to the cholesterol ester and triglyceride metabolic pathways. It plays an important role in the lysosome as part of the lipid degradation process impacting cholesterol transport pathways and maintaining lipid equilibrium. Its activities are closely related to those of other enzymes like hormone-sensitive lipase which also participate in lipid metabolism though within distinct compartments and contexts.

Lysosomal acid lipase is linked to lipid storage disorders such as Wolman disease and Cholesteryl Ester Storage Disease (CESD). These conditions result from LAL deficiency leading to harmful accumulation of cholesteryl esters and triglycerides in tissues. Through disease pathways LAL becomes interconnected with proteins affected by lipid dysregulation such as low-density lipoprotein receptors which play a part in maintaining lipid balance and can contribute to more severe cardiovascular conditions when impaired by LAL deficiency.

Product protocols

For this product, it's our understanding that no specific protocols are required. You can visit:

Target data

Catalyzes the deacylation of cholesteryl ester core lipids of endocytosed low density lipoproteins to generate free fatty acids and cholesterol (PubMed : 15269241, PubMed : 1718995, PubMed : 7204383, PubMed : 8112342, PubMed : 9633819). Hydrolyzes triglycerides (1,2,3-triacylglycerol) and diglycerides (such as 1,2-diacylglycerol and 1,3-diacylglycerol) with preference for the acyl moieties at the sn-1 or sn-3 positions (PubMed : 7204383, PubMed : 8112342).
See full target information LIPA

Publications (5)

Recent publications for all applications. Explore the full list and refine your search

International journal of molecular sciences 25: PubMed39201365

2024

Melatonin Alleviates Liver Mitochondrial Dysfunction in Leptin-Deficient Mice.

Applications

Unspecified application

Species

Unspecified reactive species

Beatriz de Luxán-Delgado,Yaiza Potes,Adrian Rubio-González,Juan José Solano,José Antonio Boga,Eduardo Antuña,Cristina Cachán-Vega,Juan Carlos Bermejo-Millo,Nerea Menéndez-Coto,Claudia García-González,Gonçalo C Pereira,Beatriz Caballero,Ana Coto-Montes,Ignacio Vega-Naredo

Cell reports 43:114445 PubMed38968073

2024

Pro-survival signaling regulates lipophagy essential for multiple myeloma resistance to stress-induced death.

Applications

Unspecified application

Species

Unspecified reactive species

Peng Peng,Colin Chavel,Wensheng Liu,Louise M Carlson,Sha Cao,Adam Utley,Scott H Olejniczak,Kelvin P Lee

Autophagy 17:690-705 PubMed32070194

2020

Lipophagy-derived fatty acids undergo extracellular efflux via lysosomal exocytosis.

Applications

Unspecified application

Species

Unspecified reactive species

Wenqi Cui,Aishwarya Sathyanarayan,Michael Lopresti,Mariam Aghajan,Chi Chen,Douglas G Mashek

Biochemistry research international 2012:135723 PubMed21904679

2011

The increased activity of liver lysosomal lipase in nonalcoholic Fatty liver disease contributes to the development of hepatic insulin resistance.

Applications

Unspecified application

Species

Unspecified reactive species

Monika Cahova,Helena Dankova,Eliska Palenickova,Zuzana Papackova,Radko Komers,Jana Zdychova,Eva Sticova,Ludmila Kazdova

American journal of physiology. Endocrinology and 295:E1455-61 PubMed18796546

2008

Role of lysosomal acid lipase in the intracellular metabolism of LDL-transported dehydroepiandrosterone-fatty acyl esters.

Applications

WB

Species

Human

Feng Wang,Wei Wang,Kristiina Wähälä,Herman Adlercreutz,Elina Ikonen,Matti J Tikkanen
View all publications

Product promise

We are committed to supporting your work with high-quality reagents, and we're here for you every step of the way. In the unlikely event that one of our products does not perform as expected, you're protected by our Product Promise.
For full details, please see our Terms & Conditions

Please note: All products are 'FOR RESEARCH USE ONLY. NOT FOR USE IN DIAGNOSTIC OR THERAPEUTIC PROCEDURES'.

For licensing inquiries, please contact partnerships@abcam.com