JavaScript is disabled in your browser. Please enable JavaScript to view this website.
AB323282

Anti-Lysosomal acid lipase/LAL antibody [EPR29160-155]

  • BOND RX™ Validated
  • RabMAb
  • Recombinant
  • 20ul selling size
  • What is this?

Be the first to review this product! Submit a review

|

(0 Publication)

Rabbit Recombinant Monoclonal Lysosomal acid lipase/LAL antibody. Suitable for WB, IHC-P and reacts with Human samples.

View Alternative Names

Lysosomal acid lipase/cholesteryl ester hydrolase, Acid cholesteryl ester hydrolase, LAL, Cholesteryl esterase, Diacylglycerol lipase, Lipase A, Sterol esterase, Triacylglycerol ester hydrolase, Triacylglycerol lipase, LIPA

7 Images
Immunohistochemistry (Formalin/PFA-fixed paraffin-embedded sections) - Anti-Lysosomal acid lipase/LAL antibody [EPR29160-155] (AB323282)
  • IHC-P

Supplier Data

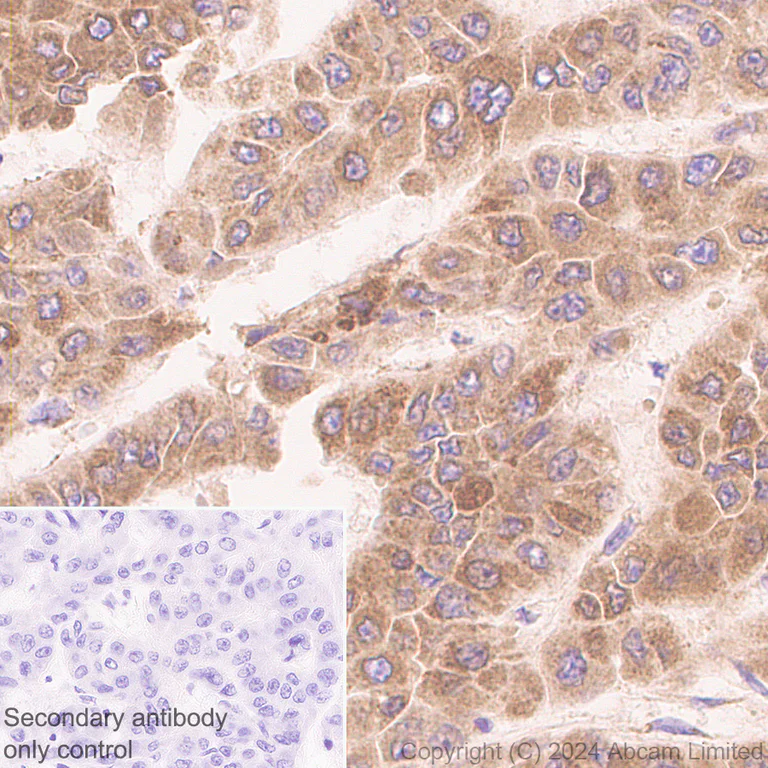
Immunohistochemistry (Formalin/PFA-fixed paraffin-embedded sections) - Anti-Lysosomal acid lipase/LAL antibody [EPR29160-155] (AB323282)

Immunohistochemical analysis of paraffin-embedded Human hepatocellular carcinoma tissue labeling Lysosomal acid lipase/LAL with ab323282 at 1/100 (5.06 ug/ml) dilution, followed by a ready to use LeicaDS9800 (Bond™ Polymer Refine Detection).

Positive staining in human hepatocellular carcinoma.
The section was incubated with ab323282 for 30 mins at room temperature.
The immunostaining was performed on a Leica Biosystems BOND® RX instrument

Counterstained with Hematoxylin.

Secondary antibody only control : Secondary antibody is a ready to use LeicaDS9800 (Bond™ Polymer Refine Detection).

Heat mediated antigen retrieval was performed with Tris-EDTA buffer (pH 9.0, Epitope Retrieval Solution2) for 20 mins

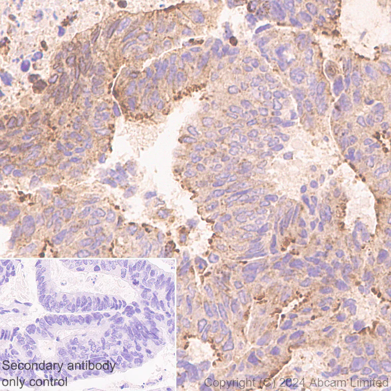
Immunohistochemistry (Formalin/PFA-fixed paraffin-embedded sections) - Anti-Lysosomal acid lipase/LAL antibody [EPR29160-155] (AB323282)
  • IHC-P

Supplier Data

Immunohistochemistry (Formalin/PFA-fixed paraffin-embedded sections) - Anti-Lysosomal acid lipase/LAL antibody [EPR29160-155] (AB323282)

Immunohistochemical analysis of paraffin-embedded Human colon carcinoma tissue labeling Lysosomal acid lipase/LAL with ab323282 at 1/100 (5.06 ug/ml) dilution, followed by a ready to use LeicaDS9800 (Bond™ Polymer Refine Detection).

Positive staining in human colon carcinoma.
The section was incubated with ab323282 for 30 mins at room temperature.
The immunostaining was performed on a Leica Biosystems BOND® RX instrument

Counterstained with Hematoxylin.

Secondary antibody only control : Secondary antibody is a ready to use LeicaDS9800 (Bond™ Polymer Refine Detection).

Heat mediated antigen retrieval was performed with Tris-EDTA buffer (pH 9.0, Epitope Retrieval Solution2) for 20 mins

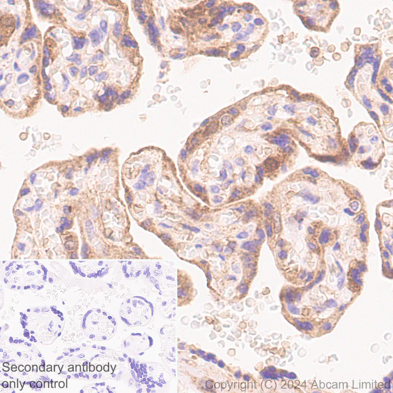
Immunohistochemistry (Formalin/PFA-fixed paraffin-embedded sections) - Anti-Lysosomal acid lipase/LAL antibody [EPR29160-155] (AB323282)
  • IHC-P

Supplier Data

Immunohistochemistry (Formalin/PFA-fixed paraffin-embedded sections) - Anti-Lysosomal acid lipase/LAL antibody [EPR29160-155] (AB323282)

Immunohistochemical analysis of paraffin-embedded Human placenta tissue labeling Lysosomal acid lipase/LAL with ab323282 at 1/100 (5.06 ug/ml) dilution, followed by a ready to use LeicaDS9800 (Bond™ Polymer Refine Detection).

Positive staining in human placenta.
The section was incubated with ab323282 for 30 mins at room temperature.
The immunostaining was performed on a Leica Biosystems BOND® RX instrument

Counterstained with Hematoxylin.

Secondary antibody only control : Secondary antibody is a ready to use LeicaDS9800 (Bond™ Polymer Refine Detection).

Heat mediated antigen retrieval was performed with Tris-EDTA buffer (pH 9.0, Epitope Retrieval Solution2) for 20 mins

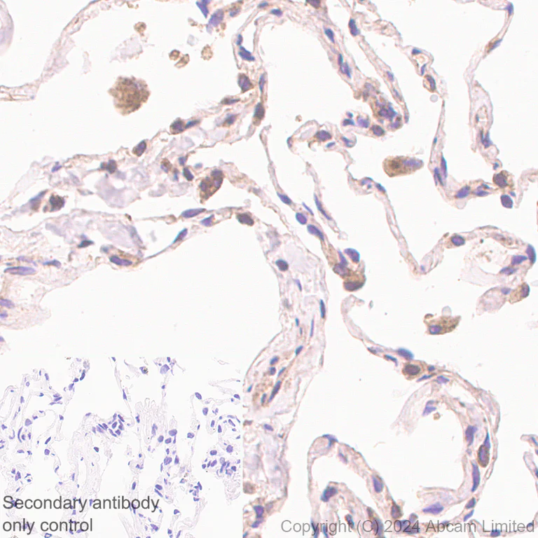
Immunohistochemistry (Formalin/PFA-fixed paraffin-embedded sections) - Anti-Lysosomal acid lipase/LAL antibody [EPR29160-155] (AB323282)
  • IHC-P

Supplier Data

Immunohistochemistry (Formalin/PFA-fixed paraffin-embedded sections) - Anti-Lysosomal acid lipase/LAL antibody [EPR29160-155] (AB323282)

Immunohistochemical analysis of paraffin-embedded Human lung tissue labeling Lysosomal acid lipase/LAL with ab323282 at 1/100 (5.06 ug/ml) dilution, followed by a ready to use LeicaDS9800 (Bond™ Polymer Refine Detection).

Positive staining in human lung.
The section was incubated with ab323282 for 30 mins at room temperature.
The immunostaining was performed on a Leica Biosystems BOND® RX instrument

Counterstained with Hematoxylin.

Secondary antibody only control : Secondary antibody is a ready to use LeicaDS9800 (Bond™ Polymer Refine Detection).

Heat mediated antigen retrieval was performed with Tris-EDTA buffer (pH 9.0, Epitope Retrieval Solution2) for 20 mins

Western blot - Anti-Lysosomal acid lipase/LAL antibody [EPR29160-155] (AB323282)
  • WB

Supplier Data

Western blot - Anti-Lysosomal acid lipase/LAL antibody [EPR29160-155] (AB323282)

Blocking and diluting buffer and concentration : 5% NFDM/TBST.

In Western blot, Anti-GAPDH antibody [EPR16891] - Loading Control (ab181602) staining at 1/200000 dilution.

Exposure time : Lane 1-4 : 26 seconds; Lane 5-6 : 5 seconds

All lanes:

Western blot - Anti-Lysosomal acid lipase/LAL antibody [EPR29160-155] (ab323282) at 1/1000 dilution

Lane 1:

HEK-293 (human embryonic kidney epithelial cell) whole cell lysate at 30 µg

Lane 2:

HeLa (human cervical adenocarcinoma epithelial cell) whole cell lysate at 30 µg

Lane 3:

Huh7 (human hepatocellular carcinoma epithelial cell) whole cell lysate at 30 µg

Lane 4:

HT-1080 (human fibrosarcoma epithelial cell) whole cell lysate at 30 µg

Lane 5:

Untreated THP-1 (human monocytic leukemia monocyte) whole cell lysate at 30 µg

Lane 6:

THP-1 treated with 100ng/ml PMA for 72 hours, whole cell lysate at 30 µg

Secondary

All lanes:

Western blot - Goat Anti-Rabbit IgG H&L (HRP) (<a href='/en-us/products/secondary-antibodies/goat-rabbit-igg-h-l-hrp-ab97051'>ab97051</a>) at 1/20000 dilution

Observed band size: 45 kDa,36 kDa

false

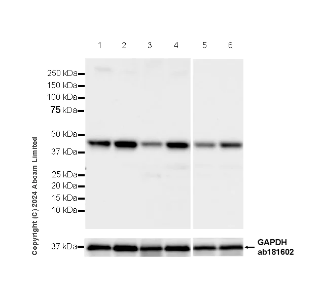
Western blot - Anti-Lysosomal acid lipase/LAL antibody [EPR29160-155] (AB323282)
  • WB

Supplier Data

Western blot - Anti-Lysosomal acid lipase/LAL antibody [EPR29160-155] (AB323282)

Blocking and diluting buffer and concentration : 5% NFDM/TBST.

Low expression : Human skeletal muscle, human liver (PMID : 8112342).

In Western blot, Anti-GAPDH antibody [EPR16891] - Loading Control (ab181602) staining at 1/200000 dilution.

All lanes:

Western blot - Anti-Lysosomal acid lipase/LAL antibody [EPR29160-155] (ab323282) at 1/1000 dilution

Lane 1:

Human spleen tissue lysate at 30 µg

Lane 2:

Human lung tissue lysate at 30 µg

Lane 3:

Human skeletal muscle tissue lysate at 30 µg

Lane 4:

Human liver tissue lysate at 30 µg

Secondary

All lanes:

Western blot - Goat Anti-Rabbit IgG H&L (HRP) (<a href='/en-us/products/secondary-antibodies/goat-rabbit-igg-h-l-hrp-ab97051'>ab97051</a>) at 1/20000 dilution

Observed band size: 45 kDa,36 kDa

false

Exposure time: 15s

Immunohistochemistry (Formalin/PFA-fixed paraffin-embedded sections) - Anti-Lysosomal acid lipase/LAL antibody [EPR29160-155] (AB323282)
  • IHC-P

Supplier Data

Immunohistochemistry (Formalin/PFA-fixed paraffin-embedded sections) - Anti-Lysosomal acid lipase/LAL antibody [EPR29160-155] (AB323282)

Immunohistochemical analysis of paraffin-embedded Human skeletal muscle tissue labeling Lysosomal acid lipase/LAL with ab323282 at 1/100 (5.06 ug/ml) dilution, followed by a ready to use LeicaDS9800 (Bond™ Polymer Refine Detection).

Low expression tissue : Nearly no staining in human skeletal muscle.
The section was incubated with ab323282 for 30 mins at room temperature.
The immunostaining was performed on a Leica Biosystems BOND® RX instrument

Counterstained with Hematoxylin.

Secondary antibody only control : Secondary antibody is a ready to use LeicaDS9800 (Bond™ Polymer Refine Detection).

Heat mediated antigen retrieval was performed with Tris-EDTA buffer (pH 9.0, Epitope Retrieval Solution2) for 20 mins

Key facts

Host species

Rabbit

Clonality

Monoclonal

Clone number

EPR29160-155

Isotype

IgG

Carrier free

No

Reacts with

Human

Applications

WB, IHC-P

applications

Immunogen

The exact immunogen used to generate this antibody is proprietary information.

Reactivity data

{ "title": "Reactivity Data", "filters": { "stats": ["", "Species", "Dilution Info", "Notes"], "tabs": { "all-applications": {"fullname" : "All Applications", "shortname": "All Applications"}, "WB" : {"fullname" : "Western blot", "shortname":"WB"}, "ICCIF" : {"fullname" : "Immunocytochemistry/ Immunofluorescence", "shortname":"ICC/IF"}, "IHCP" : {"fullname" : "Immunohistochemistry (Formalin/PFA-fixed paraffin-embedded sections)", "shortname":"IHC-P"} }, "product-promise": { "all": "all", "testedAndGuaranteed": "tested", "guaranteed": "expected", "predicted": "predicted", "notRecommended": "not-recommended" } }, "values": { "Human": { "WB-species-checked": "testedAndGuaranteed", "WB-species-dilution-info": "1/1000", "WB-species-notes": "<p></p>", "ICCIF-species-checked": "notRecommended", "ICCIF-species-dilution-info": "", "ICCIF-species-notes": "<p></p>", "IHCP-species-checked": "testedAndGuaranteed", "IHCP-species-dilution-info": "1/100", "IHCP-species-notes": "<p></p> Perform heat-mediated antigen retrieval with Tris/EDTA buffer pH 9.0 before commencing with IHC staining protocol." }, "Mouse": { "WB-species-checked": "notRecommended", "WB-species-dilution-info": "", "WB-species-notes": "<p></p>", "ICCIF-species-checked": "notRecommended", "ICCIF-species-dilution-info": "", "ICCIF-species-notes": "<p></p>", "IHCP-species-checked": "notRecommended", "IHCP-species-dilution-info": "", "IHCP-species-notes": "<p></p>" } } }

You may be interested in:

AB253380

LysoLive™ Lysosomal Acid Lipase Assay Kit

0

0 Reviews

View product

We recommend this product because it’s often used in the same experiment or related research.

We advise that you always check the datasheet to ensure it fits your experiments, or contact ourtechnical teamfor help.

Product details

Properties and storage information

Form
Liquid
Purification technique
Affinity purification Protein A
Storage buffer
pH: 7.2 - 7.4 Preservative: 0.01% Sodium azide Constituents: PBS, 40% Glycerol (glycerin, glycerine), 0.05% BSA
Shipped at conditions
Blue Ice
Appropriate short-term storage duration
1-2 weeks
Appropriate short-term storage conditions
+4°C
Appropriate long-term storage conditions
-20°C
Aliquoting information
Upon delivery aliquot
Storage information
Avoid freeze / thaw cycle

Product protocols

For this product, it's our understanding that no specific protocols are required. You can visit:

Target data

Catalyzes the deacylation of cholesteryl ester core lipids of endocytosed low density lipoproteins to generate free fatty acids and cholesterol (PubMed : 15269241, PubMed : 1718995, PubMed : 7204383, PubMed : 8112342, PubMed : 9633819). Hydrolyzes triglycerides (1,2,3-triacylglycerol) and diglycerides (such as 1,2-diacylglycerol and 1,3-diacylglycerol) with preference for the acyl moieties at the sn-1 or sn-3 positions (PubMed : 7204383, PubMed : 8112342).
See full target information LIPA

Product promise

We are committed to supporting your work with high-quality reagents, and we're here for you every step of the way. In the unlikely event that one of our products does not perform as expected, you're protected by our Product Promise.
For full details, please see our Terms & Conditions

Please note: All products are 'FOR RESEARCH USE ONLY. NOT FOR USE IN DIAGNOSTIC OR THERAPEUTIC PROCEDURES'.

For licensing inquiries, please contact partnerships@abcam.com