JavaScript is disabled in your browser. Please enable JavaScript to view this website.
AB242420

Anti-Lysozyme antibody [SP329] - BSA and Azide free

  • BOND RX™ Validated
  • RabMAb
  • Recombinant
  • KO Validated
  • What is this?

Be the first to review this product! Submit a review

|

(1 Publication)

Rabbit Recombinant Monoclonal Lysozyme antibody. Carrier free. Suitable for WB, Flow Cyt (Intra), IHC-P and reacts with Human samples. Cited in 1 publication.

View Alternative Names

LZM, LYZ, Lysozyme C

11 Images
Flow Cytometry (Intracellular) - Anti-Lysozyme antibody [SP329] - BSA and Azide free (AB242420)
  • Flow Cyt (Intra)

Supplier Data

Flow Cytometry (Intracellular) - Anti-Lysozyme antibody [SP329] - BSA and Azide free (AB242420)

Intracellular flow cytometric analysis ofHL-60 (human promyelocytic leukemia cell line) cell line labeling Lysozyme with ab223503 at 1/100 dilution (green) compared with a negative control of rabbit IgG (blue).

This data was developed using the same antibody clone in a different buffer formulation containing PBS, BSA, and sodium azide (ab223503).

Immunohistochemistry (Formalin/PFA-fixed paraffin-embedded sections) - Anti-Lysozyme antibody [SP329] - BSA and Azide free (AB242420)
  • IHC-P

Supplier Data

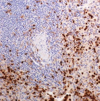
Immunohistochemistry (Formalin/PFA-fixed paraffin-embedded sections) - Anti-Lysozyme antibody [SP329] - BSA and Azide free (AB242420)

Formalin-fixed, paraffin-embedded human tonsil tissue stained for Lysozyme using ab223503 at 1/100 dilution in immunohistochemical analysis.

This data was developed using the same antibody clone in a different buffer formulation containing PBS, BSA, and sodium azide (ab223503).

Immunohistochemistry (Formalin/PFA-fixed paraffin-embedded sections) - Anti-Lysozyme antibody [SP329] - BSA and Azide free (AB242420)
  • IHC-P

Supplier Data

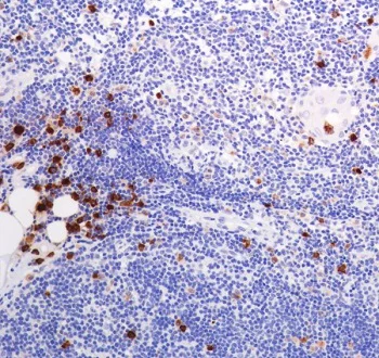
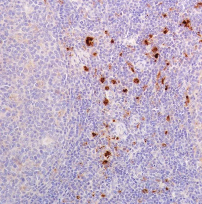
Immunohistochemistry (Formalin/PFA-fixed paraffin-embedded sections) - Anti-Lysozyme antibody [SP329] - BSA and Azide free (AB242420)

Formalin-fixed, paraffin-embedded human spleen tissue stained for Lysozyme using ab223503 at 1/100 dilution in immunohistochemical analysis.

This data was developed using the same antibody clone in a different buffer formulation containing PBS, BSA, and sodium azide (ab223503).

Immunohistochemistry (Formalin/PFA-fixed paraffin-embedded sections) - Anti-Lysozyme antibody [SP329] - BSA and Azide free (AB242420)
  • IHC-P

Supplier Data

Immunohistochemistry (Formalin/PFA-fixed paraffin-embedded sections) - Anti-Lysozyme antibody [SP329] - BSA and Azide free (AB242420)

Formalin-fixed, paraffin-embedded human lung tissue stained for Lysozyme using ab223503 at 1/100 dilution in immunohistochemical analysis.

This data was developed using the same antibody clone in a different buffer formulation containing PBS, BSA, and sodium azide (ab223503).

Immunohistochemistry (Formalin/PFA-fixed paraffin-embedded sections) - Anti-Lysozyme antibody [SP329] - BSA and Azide free (AB242420)
  • IHC-P

Unknown

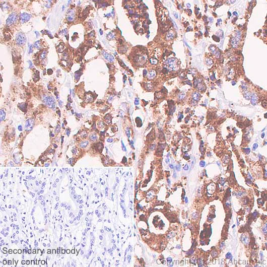
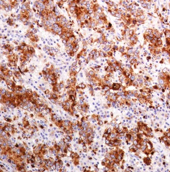
Immunohistochemistry (Formalin/PFA-fixed paraffin-embedded sections) - Anti-Lysozyme antibody [SP329] - BSA and Azide free (AB242420)

Immunohistochemistry (Formalin/PFA-fixed paraffin-embedded sections) analysis of Human spleen tissue sections labeling Lysozyme with ab223503 at 1/100 dilution (2.62 μg/ml). Cytoplasmic staining on the human spleen, performed on a Leica Biosystems BOND® RX instrument. The section was incubated with ab223503 for 10 mins at room temperature. Heat mediated antigen retrieval was performed with Tris-EDTA buffer (pH 9.0, epitope retrieval solution 2) for 10mins. Rabbit specific IHC polymer detection kit HRP/DAB (ab209101) was used as the secondary antibody. Negative control : PBS instead of the primary antibody. Hematoxylin was used as a counterstain.
This data was developed using the same antibody clone in a different buffer formulation containing PBS, BSA, glycerol, and sodium azide (ab223503).

Immunohistochemistry (Formalin/PFA-fixed paraffin-embedded sections) - Anti-Lysozyme antibody [SP329] - BSA and Azide free (AB242420)
  • IHC-P

Supplier Data

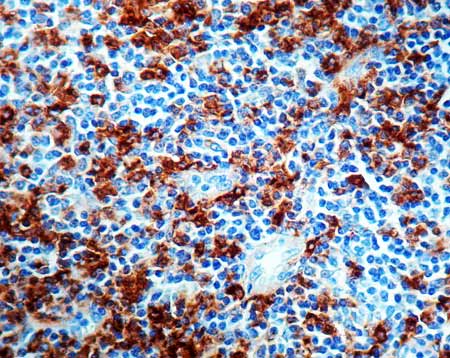
Immunohistochemistry (Formalin/PFA-fixed paraffin-embedded sections) - Anti-Lysozyme antibody [SP329] - BSA and Azide free (AB242420)

Formalin-fixed, paraffin-embedded human thymus tissue stained for Lysozyme using ab223503 at 1/100 dilution in immunohistochemical analysis.

This data was developed using the same antibody clone in a different buffer formulation containing PBS, BSA, and sodium azide (ab223503).

Immunohistochemistry (Formalin/PFA-fixed paraffin-embedded sections) - Anti-Lysozyme antibody [SP329] - BSA and Azide free (AB242420)
  • IHC-P

Supplier Data

Immunohistochemistry (Formalin/PFA-fixed paraffin-embedded sections) - Anti-Lysozyme antibody [SP329] - BSA and Azide free (AB242420)

Formalin-fixed, paraffin-embedded human pancreatic adenocarcinoma tissue stained for Lysozyme using ab223503 at 1/100 dilution in immunohistochemical analysis.

This data was developed using the same antibody clone in a different buffer formulation containing PBS, BSA, and sodium azide (ab223503).

Immunohistochemistry (Formalin/PFA-fixed paraffin-embedded sections) - Anti-Lysozyme antibody [SP329] - BSA and Azide free (AB242420)
  • IHC-P

Unknown

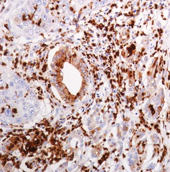
Immunohistochemistry (Formalin/PFA-fixed paraffin-embedded sections) - Anti-Lysozyme antibody [SP329] - BSA and Azide free (AB242420)

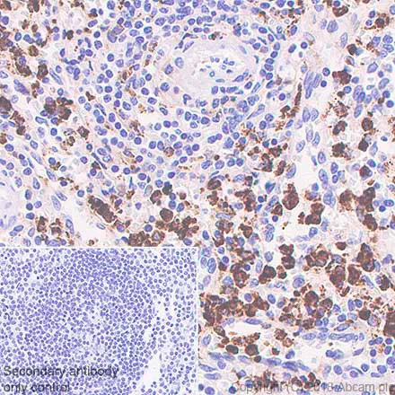
Immunohistochemistry (Formalin/PFA-fixed paraffin-embedded sections) analysis of Human stomach carcinoma tissue sections labeling Lysozyme with ab223503 at 1/100 dilution (2.62 μg/ml). Cytoplasmic staining on the human stomach carcinoma and the stromal cells, performed on a Leica Biosystems BOND® RX instrument. The section was incubated with ab223503 for 10 mins at room temperature. Heat mediated antigen retrieval was performed with Tris-EDTA buffer (pH 9.0, epitope retrieval solution 2) for 10mins. Rabbit specific IHC polymer detection kit HRP/DAB (ab209101) was used as the secondary antibody. Negative control : PBS instead of the primary antibody. Hematoxylin was used as a counterstain.
This data was developed using the same antibody clone in a different buffer formulation containing PBS, BSA, glycerol, and sodium azide (ab223503).

Immunohistochemistry (Formalin/PFA-fixed paraffin-embedded sections) - Anti-Lysozyme antibody [SP329] - BSA and Azide free (AB242420)
  • IHC-P

Supplier Data

Immunohistochemistry (Formalin/PFA-fixed paraffin-embedded sections) - Anti-Lysozyme antibody [SP329] - BSA and Azide free (AB242420)

Formalin-fixed, paraffin-embedded human stomach adenocarcinoma tissue stained for Lysozyme using ab223503 at 1/100 dilution in immunohistochemical analysis.

This data was developed using the same antibody clone in a different buffer formulation containing PBS, BSA, and sodium azide (ab223503).

Immunohistochemistry (Formalin/PFA-fixed paraffin-embedded sections) - Anti-Lysozyme antibody [SP329] - BSA and Azide free (AB242420)
  • IHC-P

Supplier Data

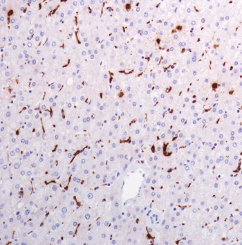
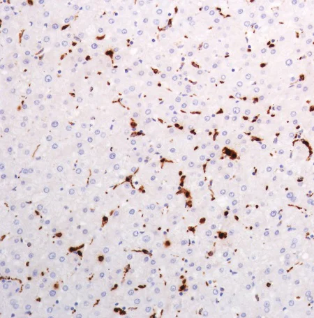
Immunohistochemistry (Formalin/PFA-fixed paraffin-embedded sections) - Anti-Lysozyme antibody [SP329] - BSA and Azide free (AB242420)

Formalin-fixed, paraffin-embedded human liver tissue stained for Lysozyme using ab223503 at 1/100 dilution in immunohistochemical analysis.

This data was developed using the same antibody clone in a different buffer formulation containing PBS, BSA, and sodium azide (ab223503).

Western blot - Anti-Lysozyme antibody [SP329] - BSA and Azide free (AB242420)
  • WB

Lab

Western blot - Anti-Lysozyme antibody [SP329] - BSA and Azide free (AB242420)

This data was developed using the same antibody clone in a different buffer formulation (ab223503).

Lanes 1 - 4 : Merged signal (red and green). Green - ab223503 observed at 16 kDa. Red - loading control ab8245 (Mouse anti-GAPDH antibody [6C5]) observed at 37 kDa.

ab223503 was shown to react with Lysozyme in wild-type THP1 cells in Western blot with loss of signal observed in LYZ knockout sample.Wild-type THP1 and LYZ knockout cell lysates were subjected to SDS-PAGE. Membranes were blocked in 3 % milk in TBS-T (0.1 % Tween®) before incubation with ab223503 and ab8245 (Mouse anti-GAPDH antibody [6C5]) overnight at 4°C at a 1 in 400 dilution and a 1 in 20000 dilution respectively. Blots were incubated with Goat anti-Rabbit IgG H&L (IRDye® 800CW) preabsorbed (ab216773) and Goat anti-Mouse IgG H&L (IRDye® 680RD) preabsorbed (ab216776) secondary antibodies at 1 in 20000 dilution for 1 h at room temperature before imaging.

All lanes:

Western blot - Anti-Lysozyme antibody [SP329] (<a href='/en-us/products/primary-antibodies/lysozyme-antibody-sp329-ab223503'>ab223503</a>) at 1/400 dilution

Lane 1:

Wild-type THP1 cell lysate at 20 µg

Lane 2:

LYZ knockout THP1 cell lysate at 20 µg

Lane 3:

HepG2 cell lysate at 20 µg

Lane 4:

HeLa cell lysate at 20 µg

Predicted band size: 16 kDa

Observed band size: 16 kDa

false

Key facts

Host species

Rabbit

Clonality

Monoclonal

Clone number

SP329

Isotype

IgG

Carrier free

Yes

Reacts with

Human

Applications

WB, Flow Cyt (Intra), IHC-P

applications

Immunogen

The exact immunogen used to generate this antibody is proprietary information.

Reactivity data

{ "title": "Reactivity Data", "filters": { "stats": ["", "Species", "Dilution Info", "Notes"], "tabs": { "all-applications": {"fullname" : "All Applications", "shortname": "All Applications"}, "WB" : {"fullname" : "Western blot", "shortname":"WB"}, "FlowCytIntra" : {"fullname" : "Flow Cytometry (Intracellular)", "shortname":"Flow Cyt (Intra)"}, "IHCP" : {"fullname" : "Immunohistochemistry (Formalin/PFA-fixed paraffin-embedded sections)", "shortname":"IHC-P"} }, "product-promise": { "all": "all", "testedAndGuaranteed": "tested", "guaranteed": "expected", "predicted": "predicted", "notRecommended": "not-recommended" } }, "values": { "Human": { "WB-species-checked": "testedAndGuaranteed", "WB-species-dilution-info": "", "WB-species-notes": "<p>Primary antibody incubation for 1 hour at room temperature.</p>", "FlowCytIntra-species-checked": "testedAndGuaranteed", "FlowCytIntra-species-dilution-info": "", "FlowCytIntra-species-notes": "<p>Primary antibody incubation for 30 minutes at 4°C.</p>", "IHCP-species-checked": "testedAndGuaranteed", "IHCP-species-dilution-info": "", "IHCP-species-notes": "<p></p>" }, "Rabbit": { "WB-species-checked": "predicted", "WB-species-dilution-info": "", "WB-species-notes": "", "FlowCytIntra-species-checked": "predicted", "FlowCytIntra-species-dilution-info": "", "FlowCytIntra-species-notes": "", "IHCP-species-checked": "predicted", "IHCP-species-dilution-info": "", "IHCP-species-notes": "" } } }

Product details

ab242420 is the carrier-free version of ab223503.

What are the advantages of a recombinant monoclonal antibody?
This product is a recombinant monoclonal antibody, which offers several advantages including:

  • - High batch-to-batch consistency and reproducibility
  • - Improved sensitivity and specificity
  • - Long-term security of supply
  • - Animal-free batch production

For more information, read more on recombinant antibodies.

Conjugation ready
Our carrier-free antibodies are typically supplied in a PBS-only formulation, purified and free of BSA, sodium azide and glycerol. This conjugation-ready format is designed for use with fluorochromes, metal isotopes, oligonucleotides, and enzymes, which makes them ideal for antibody labelling, functional and cell-based assays, flow-based assays (e.g. mass cytometry) and Multiplex Imaging applications.

Use our conjugation kits for antibody conjugates that are ready-to-use in as little as 20 minutes with 1 minute hands-on-time and 100% antibody recovery: available for fluorescent dyes, HRP, biotin and gold.

Compatibility
This product is compatible with the Maxpar® Antibody Labeling Kit from Fluidigm, without the need for antibody preparation. Maxpar® is a trademark of Fluidigm Canada Inc.

Properties and storage information

Form
Liquid
Purification technique
Affinity purification Protein A
Storage buffer
pH: 7.2 - 7.4 Constituents: PBS
Shipped at conditions
Blue Ice
Appropriate short-term storage conditions
+4°C
Appropriate long-term storage conditions
+4°C
Storage information
Do Not Freeze

Supplementary information

This supplementary information is collated from multiple sources and compiled automatically.

Lysozyme also known as muramidase is a protein with enzymatic activity that breaks down bacterial cell walls by hydrolyzing the glycosidic bonds of peptidoglycan. The molecular weight of lysozyme is approximately 14 kDa. This protein is expressed in various tissues and body fluids including egg whites human saliva tears and milk. Lysozyme acts as an antimicrobial agent and plays a significant role in the innate immune system.
Biological function summary

Lysozyme contributes to host defense by targeting bacteria. It is not part of a complex but functions as a single enzyme. By compromising the integrity of bacterial cell walls it clears pathogens swiftly from the body. Lysozyme activity assays measure its ability to hydrolyze bacterial peptidoglycan reflecting its role in immune defense. Many cells such as neutrophils and macrophages express lysozyme during the immune response aiding in pathogen clearance.

Pathways

Lysozyme is chiefly involved in the antibacterial humoral response pathway. Its action aligns with other antimicrobial proteins such as lactoferrin. Both lysozyme and lactoferrin are integral to the body’s first line of defense against bacterial invasion. In addition lysozyme is relevant in the pathway managing mucosal immunity working in conjunction with proteins that enhance pathogen clearance like defensins.

Lysozyme has links to conditions such as sarcoidosis and hereditary renal amyloidosis. In sarcoidosis altered expression patterns of lysozyme may serve as a marker for disease activity. In hereditary renal amyloidosis mutations in the lysozyme gene result in amyloid fibril formation leading to renal dysfunction. Understanding these connections helps in the diagnosis and treatment of related conditions.

Product protocols

For this product, it's our understanding that no specific protocols are required. You can visit:

Target data

Lysozymes have primarily a bacteriolytic function; those in tissues and body fluids are associated with the monocyte-macrophage system and enhance the activity of immunoagents.
See full target information LYZ

Publications (1)

Recent publications for all applications. Explore the full list and refine your search

BMC pharmacology & toxicology 22:62 PubMed34686215

2021

Famotidine promotes inflammation by triggering cell pyroptosis in gastric cancer cells.

Applications

Unspecified application

Species

Unspecified reactive species

Jin Huang,Pingsheng Fan,Miao Liu,Chengtao Weng,Gaofei Fan,Tengyue Zhang,Xiaohong Duan,Yang Wu,Lili Tang,Guohong Yang,Yabei Liu
View all publications

Product promise

We are committed to supporting your work with high-quality reagents, and we're here for you every step of the way. In the unlikely event that one of our products does not perform as expected, you're protected by our Product Promise.
For full details, please see our Terms & Conditions

Please note: All products are 'FOR RESEARCH USE ONLY. NOT FOR USE IN DIAGNOSTIC OR THERAPEUTIC PROCEDURES'.

For licensing inquiries, please contact partnerships@abcam.com