JavaScript is disabled in your browser. Please enable JavaScript to view this website.
AB129080

Anti-LysRS antibody [EPR7921]

Be the first to review this product! Submit a review

|

(5 Publications)

Rabbit Recombinant Monoclonal LysRS antibody. Suitable for IHC-P, WB, ICC/IF and reacts with Human, Mouse, Rat samples. Cited in 5 publications.

View Alternative Names

KARS, KIAA0070, KARS1, Lysine--tRNA ligase, Lysyl-tRNA synthetase, LysRS

4 Images
Immunocytochemistry/ Immunofluorescence - Anti-LysRS antibody [EPR7921] (AB129080)
  • ICC/IF

Unknown

Immunocytochemistry/ Immunofluorescence - Anti-LysRS antibody [EPR7921] (AB129080)

ICC/IF image of ab129080 stained CACO-2 cells. The cells were 100% methanol fixed (5 min) and then incubated in 1%BSA / 10% normal goat serum / 0.3M glycine in 0.1% PBS-Tween for 1h to permeabilise the cells and block non-specific protein-protein interactions. The cells were then incubated with the antibody ab129080 at 1/200 dilution overnight at +4°C. The secondary antibody (pseudo-colored green) was Alexa Fluor® 488 goat anti- rabbit (ab150081) IgG (H+L) preadsorbed used at a 1/1000 dilution for 1h. Alexa Fluor® 594 WGA was used to label plasma membranes (pseudo-colored red) at a 1/200 dilution for 1h at room temperature. DAPI was used to stain the cell nuclei (pseudo-colored blue) at a concentration of 1.43μM for 1hour at room temperature.

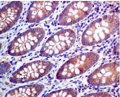
Immunohistochemistry (Formalin/PFA-fixed paraffin-embedded sections) - Anti-LysRS antibody [EPR7921] (AB129080)
  • IHC-P

Unknown

Immunohistochemistry (Formalin/PFA-fixed paraffin-embedded sections) - Anti-LysRS antibody [EPR7921] (AB129080)

ab129080 at a dilution of 1/50 staining LysRS in paraffin embedded Human colon tissue by immunohistochemistry.

Perform heat mediated antigen retrieval with citrate buffer pH 6 before commencing with IHC staining protocol.

Western blot - Anti-LysRS antibody [EPR7921] (AB129080)
  • WB

Unknown

Western blot - Anti-LysRS antibody [EPR7921] (AB129080)

All lanes:

Western blot - Anti-LysRS antibody [EPR7921] (ab129080) at 1/1000 dilution

Lane 1:

Jurkat cell lysate at 10 µg

Lane 2:

HeLa cell lysate at 10 µg

Lane 3:

293T cell lysate at 10 µg

Lane 4:

HepG2 cell lysate at 10 µg

Lane 5:

Caco-2 cell lysate at 10 µg

Secondary

All lanes:

HRP labelled goat anti-rabbit at 1/2000 dilution

Predicted band size: 68 kDa

false

OI-RD Scanning - Anti-LysRS antibody [EPR7921] (AB129080)
  • OI-RD Scanning

Unknown

OI-RD Scanning - Anti-LysRS antibody [EPR7921] (AB129080)

We have systematically measured KD (the equilibrium dissociation constant between the antibody and its antigen), of more than 840 recombinant antibodies to assess not only their individual KD values but also to see the average affinity of antibody. Based on the comparison with published literature values for mouse monoclonal antibodies, Recombinant antibodies appear to be on average 1-2 order of magnitude higher affinity.

  • Carrier free

    Anti-LysRS antibody [EPR7921] - BSA and Azide free

Key facts

Host species

Rabbit

Clonality

Monoclonal

Clone number

EPR7921

Isotype

IgG

Carrier free

No

Reacts with

Human

Applications

WB, IHC-P, ICC/IF

applications

Immunogen

The exact immunogen used to generate this antibody is proprietary information.

Reactivity data

{ "title": "Reactivity Data", "filters": { "stats": ["", "Species", "Dilution Info", "Notes"], "tabs": { "all-applications": {"fullname" : "All Applications", "shortname": "All Applications"}, "IHCP" : {"fullname" : "Immunohistochemistry (Formalin/PFA-fixed paraffin-embedded sections)", "shortname":"IHC-P"}, "FlowCyt" : {"fullname" : "Flow Cytometry", "shortname":"Flow Cyt"}, "WB" : {"fullname" : "Western blot", "shortname":"WB"}, "ICCIF" : {"fullname" : "Immunocytochemistry/ Immunofluorescence", "shortname":"ICC/IF"} }, "product-promise": { "all": "all", "testedAndGuaranteed": "tested", "guaranteed": "expected", "predicted": "predicted", "notRecommended": "not-recommended" } }, "values": { "Human": { "IHCP-species-checked": "testedAndGuaranteed", "IHCP-species-dilution-info": "1/50 - 1/100", "IHCP-species-notes": "<p></p>", "FlowCyt-species-checked": "notRecommended", "FlowCyt-species-dilution-info": "", "FlowCyt-species-notes": "<p></p>", "WB-species-checked": "testedAndGuaranteed", "WB-species-dilution-info": "1/1000 - 1/10000", "WB-species-notes": "<p></p>", "ICCIF-species-checked": "testedAndGuaranteed", "ICCIF-species-dilution-info": "1/100 - 1/250", "ICCIF-species-notes": "<p></p>" }, "Mouse": { "IHCP-species-checked": "predicted", "IHCP-species-dilution-info": "", "IHCP-species-notes": "", "FlowCyt-species-checked": "notRecommended", "FlowCyt-species-dilution-info": "", "FlowCyt-species-notes": "", "WB-species-checked": "guaranteed", "WB-species-dilution-info": "", "WB-species-notes": "<p></p>", "ICCIF-species-checked": "predicted", "ICCIF-species-dilution-info": "", "ICCIF-species-notes": "" }, "Rat": { "IHCP-species-checked": "predicted", "IHCP-species-dilution-info": "", "IHCP-species-notes": "", "FlowCyt-species-checked": "notRecommended", "FlowCyt-species-dilution-info": "", "FlowCyt-species-notes": "", "WB-species-checked": "guaranteed", "WB-species-dilution-info": "", "WB-species-notes": "<p></p>", "ICCIF-species-checked": "predicted", "ICCIF-species-dilution-info": "", "ICCIF-species-notes": "" } } }

Product details

Patented technology
Our RabMAb® technology is a patented hybridoma-based technology for making rabbit monoclonal antibodies. For details on our patents, please refer to RabMAb® patents.

What are the advantages of a recombinant monoclonal antibody?
This product is a recombinant monoclonal antibody, which offers several advantages including:

  • - High batch-to-batch consistency and reproducibility
  • - Improved sensitivity and specificity
  • - Long-term security of supply
  • - Animal-free batch production

For more information, read more on recombinant antibodies.

Properties and storage information

Form
Liquid
Purification technique
Affinity purification Protein A
Storage buffer
pH: 7.2 - 7.4 Preservative: 0.01% Sodium azide Constituents: PBS, 50% Tissue culture supernatant, 40% Glycerol (glycerin, glycerine), 0.05% BSA
Shipped at conditions
Blue Ice
Appropriate short-term storage conditions
+4°C
Appropriate long-term storage conditions
-20°C
Storage information
Stable for 12 months at -20°C

Supplementary information

This supplementary information is collated from multiple sources and compiled automatically.

Lysine-tRNA ligase also known as LysRS plays a mechanical role in the translation process by facilitating the attachment of lysine to its corresponding tRNA a critical step for protein synthesis. LysRS is a class II aminoacyl-tRNA synthetase that contributes to the accuracy of genetic code translation. It is expressed in almost all cells as it is essential for protein production. The molecular weight of LysRS is approximately 68 kDa which reflects the complexity of its function and structure.
Biological function summary

Lysyl-tRNA synthetase participates in more than just translation. It is also involved in signal transduction pathways due to its ability to interact with other proteins. LysRS forms a multi-synthetase complex which includes several other aminoacyl-tRNA synthetases and auxiliary proteins. Through this complex it influences functions like gene expression and immune responses. The activity of LysRS outside of its synthetase function shows its versatility within cellular processes.

Pathways

Lysyl-tRNA synthetase is involved in critical pathways like mTOR signaling and aminoacyl-tRNA biosynthesis. These pathways are central to controlling cell growth and survival. LysRS works closely with mTOR a central protein that senses nutrient availability and cellular energy influencing the synthesis of proteins in response to cellular conditions. The proper functioning of these pathways is essential for cellular adaptation and responsiveness.

Lysyl-tRNA synthetase plays a significant role. Diseases like Charcot-Marie-Tooth disease and cancer are associated with LysRS mutations and dysregulation. In particular Charcot-Marie-Tooth disease showcases the involvement of LysRS through dysfunctional protein synthesis affecting peripheral nerves. LysRS's connection to cancer involves its interaction with proteins like mTOR which can influence cancer progression through altered cell growth pathways. Understanding LysRS's role provides insights into the mechanisms behind these diseases.

Product protocols

For this product, it's our understanding that no specific protocols are required. You can visit:

Target data

Catalyzes the specific attachment of an amino acid to its cognate tRNA in a 2 step reaction : the amino acid (AA) is first activated by ATP to form AA-AMP and then transferred to the acceptor end of the tRNA (PubMed : 18029264, PubMed : 18272479, PubMed : 9278442). When secreted, acts as a signaling molecule that induces immune response through the activation of monocyte/macrophages (PubMed : 15851690). Catalyzes the synthesis of the signaling molecule diadenosine tetraphosphate (Ap4A), and thereby mediates disruption of the complex between HINT1 and MITF and the concomitant activation of MITF transcriptional activity (PubMed : 14975237, PubMed : 19524539, PubMed : 23159739, PubMed : 5338216).. (Microbial infection) Interacts with HIV-1 virus GAG protein, facilitating the selective packaging of tRNA(3)(Lys), the primer for reverse transcription initiation.
See full target information KARS1

Publications (5)

Recent publications for all applications. Explore the full list and refine your search

Viruses 15: PubMed36851687

2023

HIV-1 Gag Binds the Multi-Aminoacyl-tRNA Synthetase Complex via the EPRS Subunit.

Applications

Unspecified application

Species

Unspecified reactive species

Danni Jin,Yiping Zhu,Heidi L Schubert,Stephen P Goff,Karin Musier-Forsyth

Frontiers in cellular neuroscience 14:232 PubMed32848623

2020

Altered Sensory Neuron Development in CMT2D Mice Is Site-Specific and Linked to Increased GlyRS Levels.

Applications

Unspecified application

Species

Unspecified reactive species

James N Sleigh,Aleksandra M Mech,Tahmina Aktar,Yuxin Zhang,Giampietro Schiavo

Human mutation 40:1826-1840 PubMed31116475

2019

Mutations in KARS cause a severe neurological and neurosensory disease with optic neuropathy.

Applications

Unspecified application

Species

Unspecified reactive species

Sophie Scheidecker,Séverine Bär,Corinne Stoetzel,Véronique Geoffroy,Béatrice Lannes,Bruno Rinaldi,Frédéric Fischer,Hubert D Becker,Valérie Pelletier,Cécile Pagan,Cécile Acquaviva-Bourdain,Stéphane Kremer,Marc Mirande,Christine Tranchant,Jean Muller,Sylvie Friant,Hélène Dollfus

PloS one 10:e0142253 PubMed26544075

2015

Evaluation of Multi-tRNA Synthetase Complex by Multiple Reaction Monitoring Mass Spectrometry Coupled with Size Exclusion Chromatography.

Applications

WB

Species

Human

Seong-Jun Park,Hee-Sung Ahn,Jun Seok Kim,Cheolju Lee

PloS one 8:e81734 PubMed24312579

2013

Reinvestigation of aminoacyl-tRNA synthetase core complex by affinity purification-mass spectrometry reveals TARSL2 as a potential member of the complex.

Applications

IP, WB

Species

Human, Human

Kyutae Kim,Seong-Jun Park,Seungjin Na,Jun Seok Kim,Hyungwon Choi,Yoon Ki Kim,Eunok Paek,Cheolju Lee
View all publications

Product promise

We are committed to supporting your work with high-quality reagents, and we're here for you every step of the way. In the unlikely event that one of our products does not perform as expected, you're protected by our Product Promise.
For full details, please see our Terms & Conditions

Please note: All products are 'FOR RESEARCH USE ONLY. NOT FOR USE IN DIAGNOSTIC OR THERAPEUTIC PROCEDURES'.

For licensing inquiries, please contact partnerships@abcam.com