JavaScript is disabled in your browser. Please enable JavaScript to view this website.
AB33682

Anti-LYVE1 antibody

4

(14 Reviews)

|

(62 Publications)

Anti-LYVE1 antibody (ab33682) is a rabbit polyclonal antibody detecting LYVE1 in IHC-P, ICC/IF. Suitable for Mouse.

- Over 40 publications
- Trusted since 2007

View Alternative Names

CRSBP1, HAR, XLKD1, UNQ230/PRO263, LYVE1, Lymphatic vessel endothelial hyaluronic acid receptor 1, LYVE-1, Cell surface retention sequence-binding protein 1, Extracellular link domain-containing protein 1, Hyaluronic acid receptor, CRSBP-1

1 Images
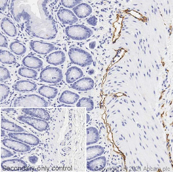
Immunohistochemistry (Formalin/PFA-fixed paraffin-embedded sections) - Anti-LYVE1 antibody (AB33682)
  • IHC-P

Lab

Immunohistochemistry (Formalin/PFA-fixed paraffin-embedded sections) - Anti-LYVE1 antibody (AB33682)

IHC image of LYVE1 staining in a section of formalin-fixed paraffin-embedded normal mouse large intestine performed on a Leica BONDTM system using the standard protocol F. The section was pre-treated using heat mediated antigen retrieval with sodium citrate buffer (pH6, epitope retrieval solution 1) for 20 minutes. The section was then incubated with ab33682, 1 μg/mL, for 15 minutes at room temperature and detected using an HRP conjugated compact polymer system. DAB was used as the chromogen. The section was then counterstained with haematoxylin and mounted with DPX. The inset secondary-only control image is taken from an identical assay without primary antibody.
For other IHC staining systems (automated and non-automated) customers should optimize variable parameters such as antigen retrieval conditions, primary antibody concentration and antibody incubation times.

Key facts

Host species

Rabbit

Clonality

Polyclonal

Isotype

IgG

Carrier free

No

Reacts with

Mouse

Applications

ICC/IF, IHC-P

applications

Immunogen

The exact immunogen used to generate this antibody is proprietary information.

Specificity

From July 2024, QC testing of replenishment batches of this polyclonal changed. All tested and expected application and reactive species combinations are still covered by our Abcam product promise. However, we no longer test all applications. For more information on a specific batch, please contact our Scientific Support who will be happy to help.

Reactivity data

{ "title": "Reactivity Data", "filters": { "stats": ["", "Species", "Dilution Info", "Notes"], "tabs": { "all-applications": {"fullname" : "All Applications", "shortname": "All Applications"}, "ICCIF" : {"fullname" : "Immunocytochemistry/ Immunofluorescence", "shortname":"ICC/IF"}, "WB" : {"fullname" : "Western blot", "shortname":"WB"}, "IHCP" : {"fullname" : "Immunohistochemistry (Formalin/PFA-fixed paraffin-embedded sections)", "shortname":"IHC-P"} }, "product-promise": { "all": "all", "testedAndGuaranteed": "tested", "guaranteed": "expected", "predicted": "predicted", "notRecommended": "not-recommended" } }, "values": { "Human": { "ICCIF-species-checked": "notRecommended", "ICCIF-species-dilution-info": "", "ICCIF-species-notes": "<p></p>", "WB-species-checked": "notRecommended", "WB-species-dilution-info": "", "WB-species-notes": "<p></p>", "IHCP-species-checked": "notRecommended", "IHCP-species-dilution-info": "", "IHCP-species-notes": "<p></p>" }, "Mouse": { "ICCIF-species-checked": "guaranteed", "ICCIF-species-dilution-info": "5 µg/mL", "ICCIF-species-notes": "<p></p>", "WB-species-checked": "notRecommended", "WB-species-dilution-info": "1 µg/mL", "WB-species-notes": "<p></p>", "IHCP-species-checked": "testedAndGuaranteed", "IHCP-species-dilution-info": "5 µg/mL", "IHCP-species-notes": "<p></p>" }, "Cow": { "ICCIF-species-checked": "notRecommended", "ICCIF-species-dilution-info": "", "ICCIF-species-notes": "", "WB-species-checked": "notRecommended", "WB-species-dilution-info": "", "WB-species-notes": "", "IHCP-species-checked": "notRecommended", "IHCP-species-dilution-info": "", "IHCP-species-notes": "" }, "Pig": { "ICCIF-species-checked": "notRecommended", "ICCIF-species-dilution-info": "", "ICCIF-species-notes": "", "WB-species-checked": "notRecommended", "WB-species-dilution-info": "", "WB-species-notes": "", "IHCP-species-checked": "notRecommended", "IHCP-species-dilution-info": "", "IHCP-species-notes": "" } } }

Product details

Anti-LYVE1 antibody (ab33682) is a rabbit polyclonal antibody and is validated for use in ICC, IHC-P in mouse samples.

Anti-LYVE1 antibody (ab33682) has been cited over 47 times in peer reviewed journals and is trusted by the scientific community.

Abcam's high quality validation processes ensure Anti-LYVE1 antibody (ab33682) has high sensitivity and specificity.

Anti-LYVE1 antibody (ab33682) has 12 independent reviews from customers.

Anti-LYVE1 antibody (ab33682) specifically detects LYVE1 (UniProt ID: Q9Y5Y7; Molecular weight: 33kDa) and is sold in 100 µg selling sizes.

LYVE-1 (Lymphatic Vessel Endothelial Receptor 1) is primarily expressed on lymphatic endothelial cells and plays a crucial role in hyaluronan (HA) transport and turnover. It is also involved in lymphangiogenesis and immune responses, with altered LYVE-1 expression linked to various diseases, including cancer and inflammatory conditions. For instance, LYVE-1 expression is downregulated in human liver cancer and cirrhosis. Additionally, it is linked to intramuscular hemangioma and complete androgen insensitivity syndrome. Changes in LYVE-1 expression can impact lymphangiogenesis and immune responses, contributing to disease progression.

Properties and storage information

Form
Liquid
Purification technique
Affinity purification Immunogen
Storage buffer
pH: 7.4 Preservative: 0.02% Sodium azide Constituents: PBS, 1% BSA
Shipped at conditions
Blue Ice
Appropriate short-term storage duration
1-2 weeks
Appropriate short-term storage conditions
+4°C
Appropriate long-term storage conditions
-20°C
Aliquoting information
Upon delivery aliquot
Storage information
Avoid freeze / thaw cycle

Supplementary information

This supplementary information is collated from multiple sources and compiled automatically.

The protein "LYVE1" also known as Lymphatic Vessel Endothelial Hyaluronan Receptor 1 has a molecular mass of about 60 kDa. This protein is located on the surface of lymphatic endothelial cells. Its expression occurs mainly within the lymphatic vessels serving as an important marker for identifying lymphatic endothelium. LYVE1 facilitates the transportation of hyaluronan an important glycosaminoglycan through lymphatic vessels playing a critical role in the maintenance of extracellular matrix and tissue fluid homeostasis.
Biological function summary

LYVE1 plays a role in lymphatic system regulation and immune cell trafficking. It forms part of a network that binds hyaluronan contributing to the regulation of cell migration and adhesion. This protein interacts with molecules like CD44 and other receptors which also participate in hyaluronan binding. LYVE1's function in maintaining the balance of hyaluronan within tissues is central affecting not only the lymphatic system but also immune responses.

Pathways

LYVE1 engages in both the hyaluronan metabolism and lymphangiogenesis pathways. Its interaction with CD44 plays a significant role in the transport and uptake of hyaluronan influencing cellular processes such as proliferation and motility. These interactions link LYVE1 to pathways controlling fluid balance and immune surveillance marking it as essential for maintaining healthy lymphatic and immune function.

LYVE1 shows a connection to lymphatic-related conditions such as lymphedema and cancer metastasis. Alterations or dysregulation of LYVE1 expression can affect lymphatic function potentially leading to the accumulation of interstitial fluid as seen in lymphedema. In cancer increased LYVE1 expression can relate to tumor metastasis where it functions alongside proteins like VEGFR-3 in promoting lymphatic vessel growth and facilitating cancer cell spread.

Product protocols

For this product, it's our understanding that no specific protocols are required. You can visit:

Target data

Ligand-specific transporter trafficking between intracellular organelles (TGN) and the plasma membrane. Plays a role in autocrine regulation of cell growth mediated by growth regulators containing cell surface retention sequence binding (CRS). May act as a hyaluronan (HA) transporter, either mediating its uptake for catabolism within lymphatic endothelial cells themselves, or its transport into the lumen of afferent lymphatic vessels for subsequent re-uptake and degradation in lymph nodes (PubMed : 10037799). Binds to pericelluar hyaluronan matrices deposited on the surface of leukocytes and facilitates cell adhesion and migration through lymphatic endothelium (PubMed : 26823460).
See full target information LYVE1

Publications (62)

Recent publications for all applications. Explore the full list and refine your search

The Journal of experimental medicine 222: PubMed40970910

2025

Identification of lymphatic vessels in skull periosteum but not bone marrow reveals skull channel heterogeneity.

Applications

Unspecified application

Species

Unspecified reactive species

Qing Chang,Li Ma,Ziying Lin,Yang Shu,Pao-Fen Ko,Matthew Blumberg,Jian-Fu Chen

Nature cardiovascular research 4:1221-1240 PubMed40954306

2025

Single-cell compendium of muscle microenvironment in peripheral artery disease reveals altered endothelial diversity and LYVE1 macrophage activation.

Applications

Unspecified application

Species

Unspecified reactive species

Guillermo Turiel,Thibaut Desgeorges,Evi Masschelein,Zheng Fan,David Lussi,Christophe M Capelle,Giulia Bernardini,Raphaela Ardicoglu,Katharina Schönberger,Manuela Birrer,Sandro F Fucentese,Jing Zhang,Daniela Latorre,Stephan Engelberger,Katrien De Bock

Nature communications 16:4021 PubMed40301362

2025

Synthesis of ionizable lipopolymers using split-Ugi reaction for pulmonary delivery of various size RNAs and gene editing.

Applications

Unspecified application

Species

Unspecified reactive species

K Yu Vlasova,A Kerr,N D Pennock,A Jozic,D K Sahel,M Gautam,N T V Murthy,A Roberts,M W Ali,K D MacDonald,J M Walker,R Luxenhofer,G Sahay

Gels (Basel, Switzerland) 10: PubMed39590104

2024

Hypoxia Preconditioned Serum Hydrogel (HPS-H) Accelerates Dermal Regeneration in a Porcine Wound Model.

Applications

Unspecified application

Species

Unspecified reactive species

Jun Jiang,Tanita Man,Manuela Kirsch,Samuel Knoedler,Kirstin Andersen,Judith Reiser,Julia Werner,Benjamin Trautz,Xiaobin Cong,Selma Forster,Sarah Alageel,Ulf Dornseifer,Arndt F Schilling,Hans-Günther Machens,Haydar Kükrek,Philipp Moog

Nature immunology 25:2270-2283 PubMed39587345

2024

Macrophages and nociceptor neurons form a sentinel unit around fenestrated capillaries to defend the synovium from circulating immune challenge.

Applications

Unspecified application

Species

Unspecified reactive species

Tetsuo Hasegawa,Colin Y C Lee,Andrew J Hotchen,Aaron Fleming,Rahul Singh,Kunimichi Suzuki,Michisuke Yuzaki,Masahiko Watanabe,Mark A Birch,Andrew W McCaskie,Nikolett Lénárt,Krisztina Tóth,Ádám Dénes,Zhaoyuan Liu,Florent Ginhoux,Nathan Richoz,Menna R Clatworthy

Cancer medicine 13:e70273 PubMed39382373

2024

Regulatory Effects of SLC7A2-CPB2 on Lymphangiogenesis: A New Approach to Suppress Lymphatic Metastasis in HNSCC.

Applications

Unspecified application

Species

Unspecified reactive species

Kai Song,Yanshi Li,Kai Yang,Tao Lu,Min Wang,Zhihai Wang,Chuan Liu,Ming Yu,Mengna Wang,Zhaobo Cheng,Min Pan,Guohua Hu

Cell metabolism 36:2383-2401.e9 PubMed39270655

2024

Endothelial metabolic control of insulin sensitivity through resident macrophages.

Applications

Unspecified application

Species

Unspecified reactive species

Jing Zhang,Kim Anker Sjøberg,Songlin Gong,Tongtong Wang,Fengqi Li,Andrew Kuo,Stephan Durot,Adam Majcher,Raphaela Ardicoglu,Thibaut Desgeorges,Charlotte Greta Mann,Ines Soro Arnáiz,Gillian Fitzgerald,Paola Gilardoni,E Dale Abel,Shigeyuki Kon,Danyvid Olivares-Villagómez,Nicola Zamboni,Christian Wolfrum,Thorsten Hornemann,Raphael Morscher,Nathalie Tisch,Bart Ghesquière,Manfred Kopf,Erik A Richter,Katrien De Bock

PloS one 19:e0308273 PubMed39088551

2024

Effects of moderate doses of ionizing radiation on experimental abdominal aortic aneurysm.

Applications

Unspecified application

Species

Unspecified reactive species

Goran Riazi,Chloe Brizais,Imene Garali,Rida Al-Rifai,Helene Quelquejay,Virginie Monceau,Guillaume Vares,Lea Ould-Boukhitine,Damien Aubeleau,Florian Gilain,Celine Gloaguen,Morgane Dos Santos,Hafid Ait-Oufella,Teni Ebrahimian

The journal of pathology. Clinical research 10:e12388 PubMed38923836

2024

Volumetric imaging of the tumor microvasculature reflects outcomes and genomic states of clear cell renal cell carcinoma.

Applications

Unspecified application

Species

Unspecified reactive species

Yuta Kaneko,Tsukasa Masuda,Kimiharu Takamatsu,Shuji Mikami,Kohei Nakamura,Hiroshi Nishihara,Ryuichi Mizuno,Nobuyuki Tanaka,Mototsugu Oya

Reproductive medicine and biology 23:e12570 PubMed38566911

2024

Novel erectile analyses revealed augmentable penile Lyve-1, the lymphatic marker, expression.

Applications

Unspecified application

Species

Unspecified reactive species

Kota Fujimoto,Daiki Hashimoto,Sang Woon Kim,Yong Seung Lee,Takuya Suzuki,Masanori Nakata,Shinji Kumegawa,Shinichi Asamura,Gen Yamada
View all publications

Product promise

We are committed to supporting your work with high-quality reagents, and we're here for you every step of the way. In the unlikely event that one of our products does not perform as expected, you're protected by our Product Promise.
For full details, please see our Terms & Conditions

Please note: All products are 'FOR RESEARCH USE ONLY. NOT FOR USE IN DIAGNOSTIC OR THERAPEUTIC PROCEDURES'.

For licensing inquiries, please contact partnerships@abcam.com