JavaScript is disabled in your browser. Please enable JavaScript to view this website.
AB281587

Anti-LYVE1 antibody [RM1008]

  • BOND RX™ Validated
  • 20ul selling size
  • RabMAb
  • Recombinant
  • What is this?

2

(1 Review)

|

(10 Publications)

Anti-LYVE1 antibody [RM1008] (ab281587) is a rabbit recombinant multiclonal antibody detecting LYVE1 in Western Blot, Flow Cytometry, IP, IHC-P, IHC-Fr. Suitable for Human, Mouse.

- Biophysical QC for unrivalled batch-batch consistency

View Alternative Names

CRSBP1, HAR, XLKD1, UNQ230/PRO263, LYVE1, Lymphatic vessel endothelial hyaluronic acid receptor 1, LYVE-1, Cell surface retention sequence-binding protein 1, Extracellular link domain-containing protein 1, Hyaluronic acid receptor, CRSBP-1

7 Images
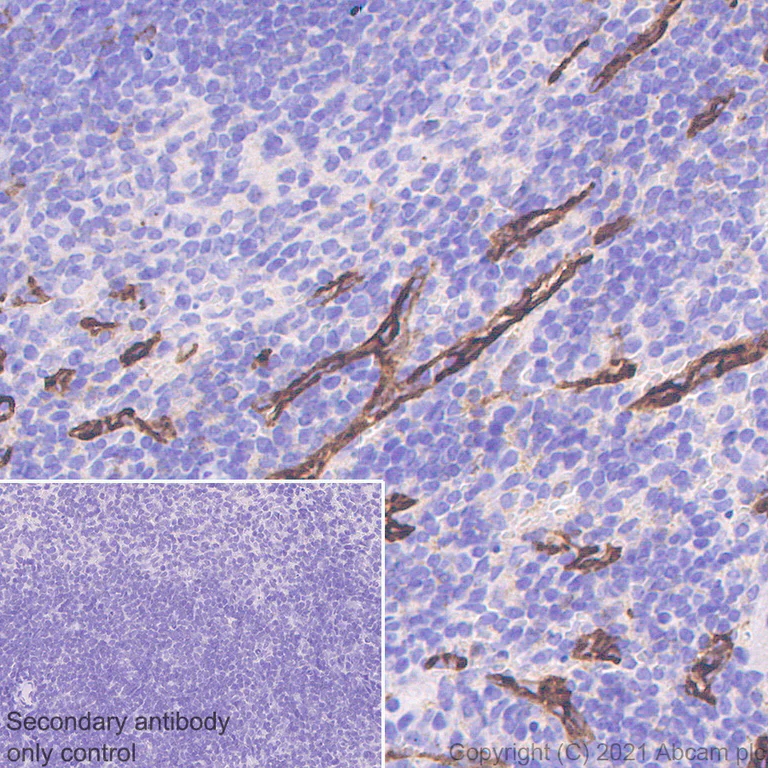
Immunohistochemistry (Formalin/PFA-fixed paraffin-embedded sections) - Anti-LYVE1 antibody [RM1008] (AB281587)
  • IHC-P

Supplier Data

Immunohistochemistry (Formalin/PFA-fixed paraffin-embedded sections) - Anti-LYVE1 antibody [RM1008] (AB281587)

Immunohistochemical analysis of paraffin-embedded Mouse spleen tissue labelling LYVE1 with ab281587 at 1/2000 dilution (0.293 ug/ml) followed by a ready to use Rabbit specific IHC polymer detection kit HRP/DAB (ab209101). Positive staining on endothelial vessels of mouse spleen. The section was incubated with ab281587 for 30 mins at room temperature. The immunostaining was performed on a Leica Biosystems BOND® RX instrument. Counterstained with Hematoxylin.

Secondary antibody only control : Secondary antibody is a ready to use Rabbit specific IHC polymer detection kit HRP/DAB (ab209101).

Heat mediated antigen retrieval with Tris-EDTA buffer (pH 9.0, epitope retrieval solution2) for 20 mins.

Flow Cytometry - Anti-LYVE1 antibody [RM1008] (AB281587)
  • Flow Cyt

Supplier Data

Flow Cytometry - Anti-LYVE1 antibody [RM1008] (AB281587)

Flow cytometric analysis of bEnd.3 (mouse brain endothelioma) cells labelling LYVE1 with 281587 at 1/500 dilution (0.1ug)/ Right compared with a Rabbit monoclonal IgG (ab172730)/Left isotype control. Goat anti rabbit IgG (Alexa Fluor® 647, ab150079) at 1/2000 dilution was used as the secondary antibody. Gated on viable cells. Partial LYVE1 expression on bEnd.3 cells is reported in literature (PMID : 25282873).

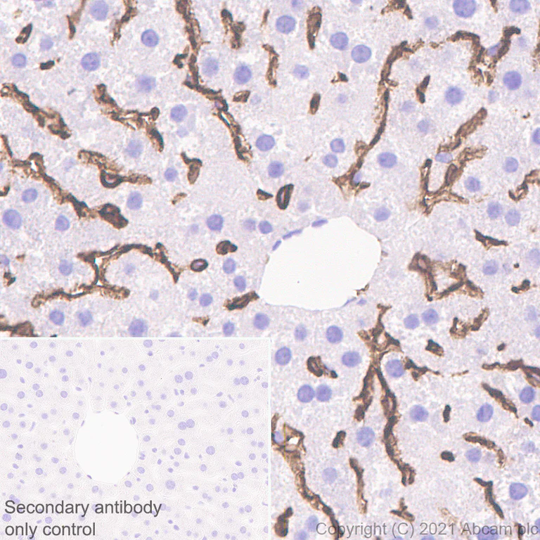
Immunohistochemistry (Formalin/PFA-fixed paraffin-embedded sections) - Anti-LYVE1 antibody [RM1008] (AB281587)
  • IHC-P

Supplier Data

Immunohistochemistry (Formalin/PFA-fixed paraffin-embedded sections) - Anti-LYVE1 antibody [RM1008] (AB281587)

Immunohistochemical analysis of paraffin-embedded Mouse liver tissue labelling LYVE1 with ab281587 at 1/2000 dilution (0.293 ug/ml) followed by a ready to use Rabbit specific IHC polymer detection kit HRP/DAB (ab209101). Positive staining on blood sinusoids of mouse liver. The section was incubated with ab281587 for 30 mins at room temperature. The immunostaining was performed on a Leica Biosystems BOND® RX instrument. Counterstained with Hematoxylin.

Secondary antibody only control : Secondary antibody is a ready to use Rabbit specific IHC polymer detection kit HRP/DAB (ab209101).

Heat mediated antigen retrieval with Tris-EDTA buffer (pH 9.0, epitope retrieval solution2) for 20 mins.

Immunohistochemistry (Frozen sections) - Anti-LYVE1 antibody [RM1008] (AB281587)
  • IHC-Fr

Supplier Data

Immunohistochemistry (Frozen sections) - Anti-LYVE1 antibody [RM1008] (AB281587)

Immunohistochemical analysis of 4% PFA-fixed, 0.2% Triton X-100 permeabilized frozen Mouse lung tissue labeling LYVE1 with ab281587 at 1/2000 dilution (0.228 ug/ml), followed by ab150077 Goat Anti-Rabbit IgG H&L (Alexa Fluor® 488) at 1/1000 dilution (Green). Positive staining on mouse lung is observed. The nuclear counterstain was DAPI (Blue).

Secondary antibody control : Secondary antibody is ab150077 Goat Anti-Rabbit IgG H&L (Alexa Fluor® 488) at 1/1000 dilution.

Heat mediated antigen retrieval using Tris-EDTA buffer (pH9.0) (ab94681).

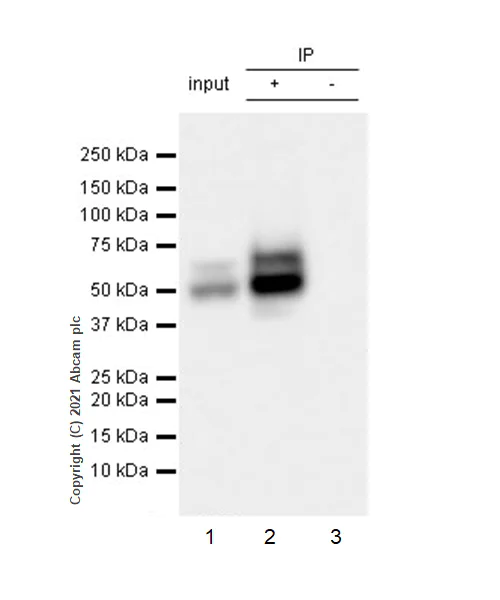
Immunoprecipitation - Anti-LYVE1 antibody [RM1008] (AB281587)
  • IP

Supplier Data

Immunoprecipitation - Anti-LYVE1 antibody [RM1008] (AB281587)

LYVE1 was immunoprecipitated from 0.35 mg Mouse lung lysate with ab281587 at 1/30 dilution (2ug in 0.35mg lysates). Western blot was performed on the immunoprecipitate using ab281587 at 1/1000 dilution. VeriBlot for IP Detection Reagent (HRP)(ab131366) was used at 1/5000 dilution.

Lane 1 : Mouse lung lysate 10ug

Lane 2 : ab281587 IP in Mouse lung lysate

Lane 3 : Rabbit monoclonal IgG (ab172730) instead of ab281587 in Mouse lung lysate

Blocking and dilution buffer and concentration : 5% NFDM/TBST.

Exposure time : 3 seconds.

All lanes:

Immunoprecipitation - Anti-LYVE1 antibody [RM1008] (ab281587)

Predicted band size: 35 kDa

Observed band size: 50-70 kDa

false

Western blot - Anti-LYVE1 antibody [RM1008] (AB281587)
  • WB

Lab

Western blot - Anti-LYVE1 antibody [RM1008] (AB281587)

Blocking and diluting buffer and concentration : 5% NFDM/TBST

Exposure time : 3 min.

All lanes:

Western blot - Anti-LYVE1 antibody [RM1008] (ab281587) at 1/1000 dilution

All lanes:

A549 (Human lung carcinoma epithelial cell) whole cell lysate at 20 µg

Secondary

All lanes:

Goat Anti-Rabbit IgG (HRP) with minimal cross-reactivity with human IgG at 1/5000 dilution

Predicted band size: 35 kDa

Observed band size: 50-70 kDa

false

Western blot - Anti-LYVE1 antibody [RM1008] (AB281587)
  • WB

Lab

Western blot - Anti-LYVE1 antibody [RM1008] (AB281587)

Blocking and diluting buffer and concentration : 5% NFDM/TBST Several bands are observed including soluble, glycosylated and non-glycosylated forms which are consistent with the literature (PMID : 26966180). Exposure time : 37 seconds

All lanes:

Western blot - Anti-LYVE1 antibody [RM1008] (ab281587) at 1/1000 dilution

Lane 1:

Mouse lung lysate at 20 µg

Lane 2:

Mouse brain lysate at 20 µg

Lane 3:

Rat lung lysate at 20 µg

Secondary

All lanes:

Western blot - Goat Anti-Rabbit IgG H&L (HRP) (<a href='/en-us/products/secondary-antibodies/goat-rabbit-igg-h-l-hrp-ab97051'>ab97051</a>) at 1/100000 dilution

Predicted band size: 35 kDa

Observed band size: 50-70 kDa

false

  • Carrier free

    Anti-LYVE1 antibody [RM1008] - BSA and Azide free

Key facts

Host species

Rabbit

Clonality

Multiclonal

Clone number

RM1008

Isotype

IgG

Carrier free

No

Reacts with

Mouse, Human

Applications

Flow Cyt, IP, IHC-P, WB, IHC-Fr

applications

Immunogen

The exact immunogen used to generate this antibody is proprietary information.

Specificity

We do not recommend this antibody for IHC-P with human samples. We recommend instead ab219556.

Reactivity data

{ "title": "Reactivity Data", "filters": { "stats": ["", "Species", "Dilution Info", "Notes"], "tabs": { "all-applications": {"fullname" : "All Applications", "shortname": "All Applications"}, "ICCIF" : {"fullname" : "Immunocytochemistry/ Immunofluorescence", "shortname":"ICC/IF"}, "IP" : {"fullname" : "Immunoprecipitation", "shortname":"IP"}, "FlowCyt" : {"fullname" : "Flow Cytometry", "shortname":"Flow Cyt"}, "WB" : {"fullname" : "Western blot", "shortname":"WB"}, "IHCFr" : {"fullname" : "Immunohistochemistry (Frozen sections)", "shortname":"IHC-Fr"}, "IHCP" : {"fullname" : "Immunohistochemistry (Formalin/PFA-fixed paraffin-embedded sections)", "shortname":"IHC-P"} }, "product-promise": { "all": "all", "testedAndGuaranteed": "tested", "guaranteed": "expected", "predicted": "predicted", "notRecommended": "not-recommended" } }, "values": { "Human": { "ICCIF-species-checked": "notRecommended", "ICCIF-species-dilution-info": "", "ICCIF-species-notes": "<p></p>", "IP-species-checked": "guaranteed", "IP-species-dilution-info": "", "IP-species-notes": "", "FlowCyt-species-checked": "notRecommended", "FlowCyt-species-dilution-info": "1/500", "FlowCyt-species-notes": "<p></p>", "WB-species-checked": "testedAndGuaranteed", "WB-species-dilution-info": "1/1000", "WB-species-notes": "<p></p>", "IHCFr-species-checked": "guaranteed", "IHCFr-species-dilution-info": "", "IHCFr-species-notes": "", "IHCP-species-checked": "notRecommended", "IHCP-species-dilution-info": "1/2000", "IHCP-species-notes": "<p></p>" }, "Mouse": { "ICCIF-species-checked": "notRecommended", "ICCIF-species-dilution-info": "", "ICCIF-species-notes": "<p></p>", "IP-species-checked": "testedAndGuaranteed", "IP-species-dilution-info": "1/30", "IP-species-notes": "<p></p>", "FlowCyt-species-checked": "testedAndGuaranteed", "FlowCyt-species-dilution-info": "1/500", "FlowCyt-species-notes": "<p></p>", "WB-species-checked": "testedAndGuaranteed", "WB-species-dilution-info": "1/1000", "WB-species-notes": "<p></p>", "IHCFr-species-checked": "testedAndGuaranteed", "IHCFr-species-dilution-info": "1/2000", "IHCFr-species-notes": "<p>Heat mediated antigen retrieval using Tris-EDTA buffer (pH9.0)</p>", "IHCP-species-checked": "testedAndGuaranteed", "IHCP-species-dilution-info": "1/2000", "IHCP-species-notes": "<p></p>" }, "Rat": { "ICCIF-species-checked": "notRecommended", "ICCIF-species-dilution-info": "", "ICCIF-species-notes": "", "IP-species-checked": "notRecommended", "IP-species-dilution-info": "", "IP-species-notes": "", "FlowCyt-species-checked": "notRecommended", "FlowCyt-species-dilution-info": "", "FlowCyt-species-notes": "", "WB-species-checked": "notRecommended", "WB-species-dilution-info": "", "WB-species-notes": "<p></p>", "IHCFr-species-checked": "notRecommended", "IHCFr-species-dilution-info": "", "IHCFr-species-notes": "", "IHCP-species-checked": "notRecommended", "IHCP-species-dilution-info": "", "IHCP-species-notes": "<p></p>" } } }

Product details

What is this antibody validated in?
Anti-LYVE1 antibody [RM1008] (ab281587) is a rabbit recombinant recombinant multiclonal antibody and is validated for use in Western Blot (WB), Flow Cytometry (Flow Cyt), Immunoprecipitation (IP), Immunohistochemistry (IHC-P), Immunohistochemistry (IHC-Fr) in Human, Mouse samples.

What is the molecular weight of LYVE1?
Anti-LYVE1 [RM1008] (ab281587) specifically detects a band for LYVE1 (UniProt: Q9Y5Y7) at a molecular weight of 35kDa.

Trial sizes available!
Test your antibody or perform pre-screening before committing to a larger quantity. Sold in 10µl. Discover our selection of trial-size antibodies.

Other related products
We have a range of other formats of antibody clone [RM1008] also available for your convenience: ab281587, Carrier free - ab282748

Patented technology
Our RabMAb® technology is a patented hybridoma-based technology for making rabbit monoclonal antibodies. For details on our patents, please refer to RabMAb® patents.

Properties and storage information

Form
Liquid
Purification technique
Affinity purification Protein A
Storage buffer
Preservative: 0.01% Sodium azide Constituents: PBS, 40% Glycerol (glycerin, glycerine), 0.05% BSA
Shipped at conditions
Blue Ice
Appropriate short-term storage duration
1-2 weeks
Appropriate short-term storage conditions
+4°C
Appropriate long-term storage conditions
-20°C
Aliquoting information
Upon delivery aliquot
Storage information
Avoid freeze / thaw cycle

Supplementary information

This supplementary information is collated from multiple sources and compiled automatically.

The protein "LYVE1" also known as Lymphatic Vessel Endothelial Hyaluronan Receptor 1 has a molecular mass of about 60 kDa. This protein is located on the surface of lymphatic endothelial cells. Its expression occurs mainly within the lymphatic vessels serving as an important marker for identifying lymphatic endothelium. LYVE1 facilitates the transportation of hyaluronan an important glycosaminoglycan through lymphatic vessels playing a critical role in the maintenance of extracellular matrix and tissue fluid homeostasis.
Biological function summary

LYVE1 plays a role in lymphatic system regulation and immune cell trafficking. It forms part of a network that binds hyaluronan contributing to the regulation of cell migration and adhesion. This protein interacts with molecules like CD44 and other receptors which also participate in hyaluronan binding. LYVE1's function in maintaining the balance of hyaluronan within tissues is central affecting not only the lymphatic system but also immune responses.

Pathways

LYVE1 engages in both the hyaluronan metabolism and lymphangiogenesis pathways. Its interaction with CD44 plays a significant role in the transport and uptake of hyaluronan influencing cellular processes such as proliferation and motility. These interactions link LYVE1 to pathways controlling fluid balance and immune surveillance marking it as essential for maintaining healthy lymphatic and immune function.

LYVE1 shows a connection to lymphatic-related conditions such as lymphedema and cancer metastasis. Alterations or dysregulation of LYVE1 expression can affect lymphatic function potentially leading to the accumulation of interstitial fluid as seen in lymphedema. In cancer increased LYVE1 expression can relate to tumor metastasis where it functions alongside proteins like VEGFR-3 in promoting lymphatic vessel growth and facilitating cancer cell spread.

Product protocols

For this product, it's our understanding that no specific protocols are required. You can visit:

Target data

Ligand-specific transporter trafficking between intracellular organelles (TGN) and the plasma membrane. Plays a role in autocrine regulation of cell growth mediated by growth regulators containing cell surface retention sequence binding (CRS). May act as a hyaluronan (HA) transporter, either mediating its uptake for catabolism within lymphatic endothelial cells themselves, or its transport into the lumen of afferent lymphatic vessels for subsequent re-uptake and degradation in lymph nodes (PubMed : 10037799). Binds to pericelluar hyaluronan matrices deposited on the surface of leukocytes and facilitates cell adhesion and migration through lymphatic endothelium (PubMed : 26823460).
See full target information LYVE1

Publications (10)

Recent publications for all applications. Explore the full list and refine your search

International dental journal 75:100958 PubMed40902508

2025

Initial Insights into the NET-Associated ceRNA Network in Pulpitis: Transcriptomic and Functional Exploration.

Applications

Unspecified application

Species

Unspecified reactive species

Xiaolan Guo,Kailun Wu,Longrui Dang,Sitong Liu,Jing Xu,Runting Wang,Junyang Xu,Yiming Zhong,Zhao Chen,Buling Wu

Science advances 11:eadw2937 PubMed40700478

2025

Targeting tumor-associated CCR2 macrophages to inhibit pancreatic cancer recurrence following irreversible electroporation.

Applications

Unspecified application

Species

Unspecified reactive species

Weichen Xu,Shaoyue Li,Xuexia Shan,Qiao Wang,Xinhua Chen,Shengbo Wu,Yincheng Gao,Dandan Shan,Shisi Ding,Weiwei Ren,Xiaodong Hou,Shuo Liu,Taixia Wang,Yuting Shen,Zhiyuan Niu,Huixiong Xu,Liping Sun,Wenwen Yue

Molecular medicine (Cambridge, Mass.) 31:37 PubMed39901071

2025

Conventional type 1 dendritic cells in the lymph nodes aggravate neuroinflammation after spinal cord injury by promoting CD8 T cell expansion.

Applications

Unspecified application

Species

Unspecified reactive species

Li-Qing Wang,Xiao-Yi Wang,Yue-Hui Ma,Heng-Jun Zhou

Current issues in molecular biology 46:7997-8014 PubMed39194690

2024

Transcriptome Analyses of Liver Sinusoidal Endothelial Cells Reveal a Consistent List of Candidate Genes Associated with Endothelial Dysfunction and the Fibrosis Progression.

Applications

Unspecified application

Species

Unspecified reactive species

Penghui Li,Wenjie Xie,Hongjin Wei,Fan Yang,Yan Chen,Yinxiong Li

Theranostics 14:1886-1908 PubMed38505621

2024

Fibroblasts facilitate lymphatic vessel formation in transplanted heart.

Applications

Unspecified application

Species

Unspecified reactive species

Hui Gong,Ting Wang,Xiaotong Sun,Yuesheng Zhang,Yichao Qiu,Wenlong Sun,Yue Zhang,Peng Teng,Yanhua Hu,Xiaosheng Hu,Liang Ma,Qingbo Xu,Haige Zhao

Aging and disease 15:369-389 PubMed37307823

2024

Cancer-Associated Fibroblasts Promote Lymphatic Metastasis in Cholangiocarcinoma via the PDGF-BB/PDGFR-β Mediated Paracrine Signaling Network.

Applications

Unspecified application

Species

Unspecified reactive species

Jian Yan,Gang Xiao,Caini Yang,Qinqin Liu,Cui Lv,Xianhuan Yu,Ziyu Zhou,Shusheng Lin,Zhenhua Bai,Haoming Lin,Rui Zhang,Chao Liu

Military Medical Research 10:7 PubMed36814339

2023

Single-cell transcriptomic dissection of the cellular and molecular events underlying the triclosan-induced liver fibrosis in mice.

Applications

Unspecified application

Species

Unspecified reactive species

Yun-Meng Bai,Fan Yang,Piao Luo,Lu-Lin Xie,Jun-Hui Chen,Yu-Dong Guan,Hong-Chao Zhou,Teng-Fei Xu,Hui-Wen Hao,Bing Chen,Jia-Hui Zhao,Cai-Ling Liang,Ling-Yun Dai,Qing-Shan Geng,Ji-Gang Wang

Cancer medicine 11:3820-3836 PubMed35434898

2022

Implementing subtype-specific pre-clinical models of breast cancer to study pre-treatment aspirin effects.

Applications

Unspecified application

Species

Unspecified reactive species

Ian S Miller,Sonja Khan,Liam P Shiels,Sudipto Das,Alice C O' Farrell,Kate Connor,Adam Lafferty,Bruce Moran,Claudio Isella,Paul Loadman,Emer Conroy,Susan Cohrs,Roger Schibli,Robert S Kerbel,William M Gallagher,Elisabetta Marangoni,Kathleen Bennett,Darran P O' Connor,Róisín M Dwyer,Annette T Byrne

FASEB journal : official publication of the Federation of American Societies for Experimental Biology 36:e22248 PubMed35239213

2022

Tumor microenvironment remodeling modulates macrophage phenotype in breast cancer lymphangiogenesis.

Applications

Unspecified application

Species

Unspecified reactive species

Yan Du,Manlin Cao,Yiwen Liu,Yiqing He,Cuixia Yang,Guoliang Zhang,Youben Fan,Feng Gao

Hepatology (Baltimore, Md.) 76:660-675 PubMed34940991

2022

A strategy of vascular-targeted therapy for liver fibrosis.

Applications

Unspecified application

Species

Unspecified reactive species

Yuan Lin,Meng-Qi Dong,Zhi-Min Liu,Meng Xu,Zhi-Hao Huang,Hong-Juan Liu,Yi Gao,Wei-Jie Zhou
View all publications

Product promise

We are committed to supporting your work with high-quality reagents, and we're here for you every step of the way. In the unlikely event that one of our products does not perform as expected, you're protected by our Product Promise.
For full details, please see our Terms & Conditions

Please note: All products are 'FOR RESEARCH USE ONLY. NOT FOR USE IN DIAGNOSTIC OR THERAPEUTIC PROCEDURES'.

For licensing inquiries, please contact partnerships@abcam.com