JavaScript is disabled in your browser. Please enable JavaScript to view this website.
AB187918

Anti-LZTFL1 antibody

Be the first to review this product! Submit a review

|

(1 Publication)

Rabbit Polyclonal LZTFL1 antibody. Suitable for IHC-P, WB, ICC/IF and reacts with Human samples. Cited in 1 publication. Immunogen corresponding to Recombinant Fragment Protein within Human LZTFL1 aa 50-200.

View Alternative Names

Leucine zipper transcription factor-like protein 1, LZTFL1

6 Images
Immunocytochemistry/ Immunofluorescence - Anti-LZTFL1 antibody (AB187918)
  • ICC/IF

Supplier Data

Immunocytochemistry/ Immunofluorescence - Anti-LZTFL1 antibody (AB187918)

Immunocytochemical analysis of U-2 OS (Human bone osteosarcoma epithelial cell line) whole cells labeling LZTFL1 in the cytosol with ab187918 at 1/2500 dilution.

Immunohistochemistry (Formalin/PFA-fixed paraffin-embedded sections) - Anti-LZTFL1 antibody (AB187918)
  • IHC-P

Supplier Data

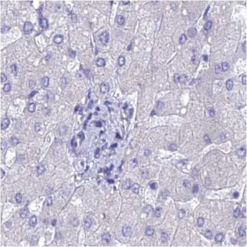
Immunohistochemistry (Formalin/PFA-fixed paraffin-embedded sections) - Anti-LZTFL1 antibody (AB187918)

Immunohistochemical analysis of paraffin-embedded human liver tissue labeling LZTFL1 with ab187918 at 1/2500 dilution.

Performed heat mediated antigen retrieval with citrate buffer pH 6 before commencing with IHC staining protocol.

Immunohistochemistry (Formalin/PFA-fixed paraffin-embedded sections) - Anti-LZTFL1 antibody (AB187918)
  • IHC-P

Supplier Data

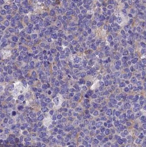
Immunohistochemistry (Formalin/PFA-fixed paraffin-embedded sections) - Anti-LZTFL1 antibody (AB187918)

Immunohistochemical analysis of paraffin-embedded human lymph node tissue labeling LZTFL1 with ab187918 at 1/2500 dilution.

Performed heat mediated antigen retrieval with citrate buffer pH 6 before commencing with IHC staining protocol.

Immunohistochemistry (Formalin/PFA-fixed paraffin-embedded sections) - Anti-LZTFL1 antibody (AB187918)
  • IHC-P

Supplier Data

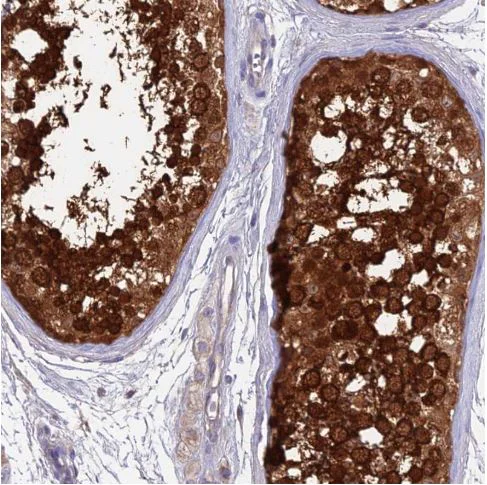
Immunohistochemistry (Formalin/PFA-fixed paraffin-embedded sections) - Anti-LZTFL1 antibody (AB187918)

Immunohistochemical analysis of paraffin-embedded human testis tissue labeling LZTFL1 (high expression) with ab187918 at 1/2500 dilution.

Performed heat mediated antigen retrieval with citrate buffer pH 6 before commencing with IHC staining protocol.

Immunohistochemistry (Formalin/PFA-fixed paraffin-embedded sections) - Anti-LZTFL1 antibody (AB187918)
  • IHC-P

Supplier Data

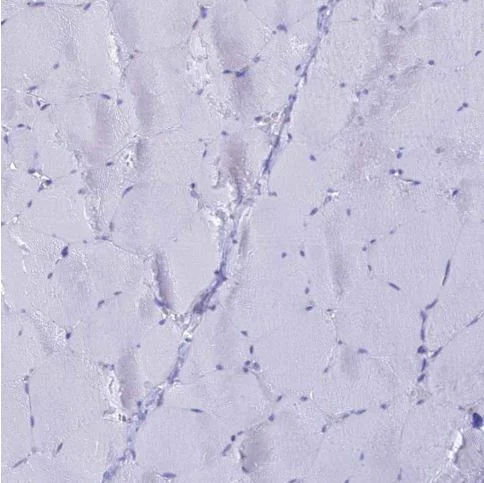
Immunohistochemistry (Formalin/PFA-fixed paraffin-embedded sections) - Anti-LZTFL1 antibody (AB187918)

Immunohistochemical analysis of paraffin-embedded human skeletal muscle tissue labeling LZTFL1 (low expression) with ab187918 at 1/2500 dilution.

Performed heat mediated antigen retrieval with citrate buffer pH 6 before commencing with IHC staining protocol.

Western blot - Anti-LZTFL1 antibody (AB187918)
  • WB

Supplier Data

Western blot - Anti-LZTFL1 antibody (AB187918)

All lanes:

Western blot - Anti-LZTFL1 antibody (ab187918) at 0.4 µg/mL

Lane 1:

RT4 (Human urinary bladder cancer cell line) whole cell lysate

Lane 2:

U-251 MG (formally U-373 MG) (Human brain glioma cell line) whole cell lysate

Predicted band size: 35 kDa

false

Key facts

Host species

Rabbit

Clonality

Polyclonal

Isotype

IgG

Carrier free

No

Reacts with

Human

Applications

ICC/IF, WB, IHC-P

applications

Immunogen

Recombinant Fragment Protein within Human LZTFL1 aa 50-200. The exact immunogen used to generate this antibody is proprietary information.

Q9NQ48

Reactivity data

{ "title": "Reactivity Data", "filters": { "stats": ["", "Species", "Dilution Info", "Notes"], "tabs": { "all-applications": {"fullname" : "All Applications", "shortname": "All Applications"}, "IHCP" : {"fullname" : "Immunohistochemistry (Formalin/PFA-fixed paraffin-embedded sections)", "shortname":"IHC-P"}, "WB" : {"fullname" : "Western blot", "shortname":"WB"}, "ICCIF" : {"fullname" : "Immunocytochemistry/ Immunofluorescence", "shortname":"ICC/IF"} }, "product-promise": { "all": "all", "testedAndGuaranteed": "tested", "guaranteed": "expected", "predicted": "predicted", "notRecommended": "not-recommended" } }, "values": { "Human": { "IHCP-species-checked": "testedAndGuaranteed", "IHCP-species-dilution-info": "1/2500 - 1/5000", "IHCP-species-notes": "<p></p> Perform heat-mediated antigen retrieval with citrate buffer pH 6 before commencing with IHC staining protocol.", "WB-species-checked": "testedAndGuaranteed", "WB-species-dilution-info": "0.04-0.4 µg/mL", "WB-species-notes": "<p></p>", "ICCIF-species-checked": "testedAndGuaranteed", "ICCIF-species-dilution-info": "0.25-2 µg/mL", "ICCIF-species-notes": "<p>Fixation/Permeabilization: PFA/Triton X-100</p>" }, "Cow": { "IHCP-species-checked": "predicted", "IHCP-species-dilution-info": "", "IHCP-species-notes": "", "WB-species-checked": "predicted", "WB-species-dilution-info": "", "WB-species-notes": "", "ICCIF-species-checked": "predicted", "ICCIF-species-dilution-info": "", "ICCIF-species-notes": "" }, "Cynomolgus monkey": { "IHCP-species-checked": "predicted", "IHCP-species-dilution-info": "", "IHCP-species-notes": "", "WB-species-checked": "predicted", "WB-species-dilution-info": "", "WB-species-notes": "", "ICCIF-species-checked": "predicted", "ICCIF-species-dilution-info": "", "ICCIF-species-notes": "" }, "Orangutan": { "IHCP-species-checked": "predicted", "IHCP-species-dilution-info": "", "IHCP-species-notes": "", "WB-species-checked": "predicted", "WB-species-dilution-info": "", "WB-species-notes": "", "ICCIF-species-checked": "predicted", "ICCIF-species-dilution-info": "", "ICCIF-species-notes": "" } } }

Properties and storage information

Form
Liquid
Purification technique
Affinity purification Immunogen
Storage buffer
pH: 7.2 Preservative: 0.02% Sodium azide Constituents: PBS, 40% Glycerol (glycerin, glycerine)
Shipped at conditions
Blue Ice
Appropriate short-term storage duration
1-2 weeks
Appropriate short-term storage conditions
+4°C
Appropriate long-term storage conditions
-20°C
Aliquoting information
Upon delivery aliquot
Storage information
Avoid freeze / thaw cycle

Supplementary information

This supplementary information is collated from multiple sources and compiled automatically.

LZTFL1 also known as leucine zipper transcription factor-like 1 acts in cellular processes often relating to ciliary function. This protein possesses a mass of approximately 39 kDa and is expressed in tissues including lung kidney and reproductive tissues. The LZTFL1 protein has potential roles in modulating other proteins' activities by interacting with them given its leucine zipper domain which suggests it participates in protein-protein interactions.
Biological function summary

LZTFL1 plays a role in the regulation of the BBSome complex which is a critical component for ciliogenesis and the trafficking of proteins to cilia. LZTFL1 by modulating the function of the BBSome complex assists in maintaining ciliary membrane composition and cellular signaling processes. The protein facilitates the transport of proteins to the cilia therefore influencing important signaling pathways associated with cell development and maintenance.

Pathways

LZTFL1 involves itself notably in the Hedgehog signaling pathway and plays a part in the non-canonical Wnt signaling pathway. Its interaction with the BBSome complex links it to proteins such as BBS10 and BBS12 which are essential in these signaling pathways for their roles in cell differentiation and organ development. By engaging with these pathways LZTFL1 supports cell signaling cascades that are fundamental for proper cellular responses to external stimuli.

LZTFL1 correlates with conditions such as Bardet-Biedl syndrome and certain types of cancer. In Bardet-Biedl syndrome the dysfunction of LZTFL1 affects the BBSome complex leading to impaired ciliary function and symptoms associated with the syndrome. LZTFL1 also connects to proteins like GLI1 in cancer signaling pathways which indicates its involvement in oncogenesis through the modulation of cell proliferation and survival signaling.

Product protocols

For this product, it's our understanding that no specific protocols are required. You can visit:

Target data

Regulates ciliary localization of the BBSome complex. Together with the BBSome complex, controls SMO ciliary trafficking and contributes to the sonic hedgehog (SHH) pathway regulation. May play a role in neurite outgrowth. May have tumor suppressor function.
See full target information LZTFL1

Publications (1)

Recent publications for all applications. Explore the full list and refine your search

Nature communications 16:8750 PubMed41034216

2025

HY5 integrates light and electrical signaling to trigger a jasmonate burst for nematode defense in tomato.

Applications

Unspecified application

Species

Unspecified reactive species

Ting Sun,Chaoyi Hu,Changan Zhu,Jiaxing Cai,Guoting Wang,Xiaojian Xia,Kai Shi,Yanhong Zhou,Jingquan Yu,Christine H Foyer,Jie Zhou
View all publications

Product promise

We are committed to supporting your work with high-quality reagents, and we're here for you every step of the way. In the unlikely event that one of our products does not perform as expected, you're protected by our Product Promise.
For full details, please see our Terms & Conditions

Please note: All products are 'FOR RESEARCH USE ONLY. NOT FOR USE IN DIAGNOSTIC OR THERAPEUTIC PROCEDURES'.

For licensing inquiries, please contact partnerships@abcam.com