JavaScript is disabled in your browser. Please enable JavaScript to view this website.
AB313634

Anti-LZTFL1 antibody [EPR27975-54]

Be the first to review this product! Submit a review

|

(0 Publication)

Rabbit Recombinant Monoclonal LZTFL1 antibody. Suitable for ICC/IF, IP, WB and reacts with Human, Mouse, Rat samples.

View Alternative Names

Leucine zipper transcription factor-like protein 1, LZTFL1

5 Images
Immunocytochemistry/ Immunofluorescence - Anti-LZTFL1 antibody [EPR27975-54] (AB313634)
  • ICC/IF

Supplier Data

Immunocytochemistry/ Immunofluorescence - Anti-LZTFL1 antibody [EPR27975-54] (AB313634)

Immunofluorescent analysis of 4% Paraformaldehyde-fixed, 0.1% TritonX-100 permeabilized MOLT-4 (human lymphoblastic leukemia T lymphoblast) cells labelling LZTFL1 with ab313634 at 1/50 (10.34 ug/ml) dilution, followed by ab150081 Goat Anti-Rabbit IgG H&L (Alexa Fluor® 488) preadsorbed antibody at 1/1000 2ug/ml dilution (Green). Confocal image showing cytoplasmic staining in MOLT-4 cells.Low expression : HepG2 (PMID : 31371991)Image was taken with a confocal microscope (Leica-Microsystems, TCS SP8). is observed. ab195889 Anti-alpha Tubulin mouse monoclonal antibody - Microtubule Marker (Alexa Fluor® 594) was used to counterstain tubulin at 1/200 2.5ug/ml dilution (Red). The Nuclear counterstain was DAPI (Blue). Secondary antibody only control : Secondary antibody is ab150081 Goat Anti-Rabbit IgG H&L (Alexa Fluor® 488) preadsorbed at 1/1000 2ug/ml dilution.

Immunoprecipitation - Anti-LZTFL1 antibody [EPR27975-54] (AB313634)
  • IP

Supplier Data

Immunoprecipitation - Anti-LZTFL1 antibody [EPR27975-54] (AB313634)

LZTFL1 was immunoprecipitated from 0.35 mg HeLa (human cervical adenocarcinoma epithelial cell) whole cell lysate with ab313634 at 1/30 dilution (2ug in 0.35mg lysates). Western blot was performed on the immunoprecipitate using ab313634 at 1/1000 dilution. VeriBlot for IP secondary antibody(HRP)(ab131366) was used at 1/5000 dilution. Lane 1 : HeLa (human cervical adenocarcinoma epithelial cell) whole cell lysate Lane 2 : ab313634 IP in HeLa (human cervical adenocarcinoma epithelial cell) whole cell lysate Lane 3 : Rabbit monoclonal IgG (ab172730) instead of ab313634 in HeLa whole cell lysate Blocking and dilution buffer and concentration : 5% NFDM/TBST. Exposure time : 180 seconds

All lanes:

Immunoprecipitation - Anti-LZTFL1 antibody [EPR27975-54] (ab313634) at 1/30 dilution

All lanes:

HeLa (human cervical adenocarcinoma epithelial cell) whole cell lysate

Secondary

All lanes:

Immunoprecipitation - VeriBlot for IP Detection Reagent (HRP) (<a href='/en-us/products/reagents/veriblot-for-ip-detection-reagent-hrp-ab131366'>ab131366</a>) at 1/1000 dilution

false

Exposure time: 180s

Western blot - Anti-LZTFL1 antibody [EPR27975-54] (AB313634)
  • WB

Supplier Data

Western blot - Anti-LZTFL1 antibody [EPR27975-54] (AB313634)

Blocking and diluting buffer and concentration : 5% NFDM/TBST Low expression : spleen (PMID : 34023333). In Western blot, anti-GAPDH antibody (ab181602) loading control staining at 1/200000 dilution. Exposure time : Lanes 1-2 : 15 seconds; Lanes 3-5 : 180 seconds.

All lanes:

Western blot - Anti-LZTFL1 antibody [EPR27975-54] (ab313634) at 1/1000 dilution

Lane 1:

Human testis tissue lysate at 20 µg

Lane 2:

Human spleen tissue lysate at 20 µg

Lane 3:

HEK-293 (human embryonic kidney epithelial cell) whole cell lysate at 20 µg

Lane 4:

HeLa (human cervical adenocarcinoma epithelial cell) whole cell lysate at 20 µg

Lane 5:

Jurkat (human t cell leukemia t lymphocyte from peripheral blood) whole cell lysate at 20 µg

Secondary

Lanes 1 - 2:

Goat Anti-Rabbit IgG (HRP) with minimal cross-reactivity with human IgG at 1/2000 dilution

Lanes 3 - 5:

Western blot - Goat Anti-Rabbit IgG H&L (HRP) (<a href='/en-us/products/secondary-antibodies/goat-rabbit-igg-h-l-hrp-ab97051'>ab97051</a>) at 1/20000 dilution

Observed band size: 34 kDa

false

Western blot - Anti-LZTFL1 antibody [EPR27975-54] (AB313634)
  • WB

Supplier Data

Western blot - Anti-LZTFL1 antibody [EPR27975-54] (AB313634)

Blocking and diluting buffer and concentration : 5% NFDM/TBST Low expression : HepG2 (PMID : 31371991). In Western blot, anti-GAPDH antibody (ab181602) loading control staining at 1/200000 dilution. Exposure time : Lanes 1-2 : 15 seconds; Lanes 3-5 : 180 seconds.

All lanes:

Western blot - Anti-LZTFL1 antibody [EPR27975-54] (ab313634) at 1/1000 dilution

Lane 1:

MOLT-4 (human lymphoblastic leukemia t lymphoblast) whole cell lysate at 20 µg

Lane 2:

HepG2 (human hepatocellar carcinoma epithelial cell) whole cell lysate at 20 µg

Secondary

All lanes:

Western blot - Goat Anti-Rabbit IgG H&L (HRP) (<a href='/en-us/products/secondary-antibodies/goat-rabbit-igg-h-l-hrp-ab97051'>ab97051</a>) at 1/20000 dilution

Observed band size: 34 kDa

false

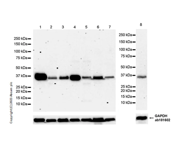
Western blot - Anti-LZTFL1 antibody [EPR27975-54] (AB313634)
  • WB

Supplier Data

Western blot - Anti-LZTFL1 antibody [EPR27975-54] (AB313634)

Blocking and diluting buffer and concentration : 5% NFDM/TBST Low expression : heart, skeletal muscle (PMID : 34023333). In Western blot, anti-GAPDH antibody (ab181602) loading control staining at 1/200000 dilution. Exposure time : 180 seconds.

All lanes:

Western blot - Anti-LZTFL1 antibody [EPR27975-54] (ab313634) at 1/1000 dilution

Lane 1:

Mouse testis tissue lysate at 20 µg

Lane 2:

Mouse heart tissue lysate at 20 µg

Lane 3:

Mouse skeletal muscle tissue lysate at 20 µg

Lane 4:

Rat testis tissue lysate at 20 µg

Lane 5:

Rat heart tissue lysate at 20 µg

Lane 6:

Rat skeletal muscle tissue lysate at 20 µg

Lane 7:

PC-12 (rat adrenal gland pheochromocytoma cell) whole cell lysate at 20 µg

Lane 8:

NIH/3T3 (mouse embryonic fibroblast) whole cell lysate at 20 µg

Secondary

All lanes:

Western blot - Goat Anti-Rabbit IgG H&L (HRP) (<a href='/en-us/products/secondary-antibodies/goat-rabbit-igg-h-l-hrp-ab97051'>ab97051</a>) at 1/20000 dilution

Observed band size: 34 kDa

false

Exposure time: 180s

  • Carrier free

    Anti-LZTFL1 antibody [EPR27975-54] - BSA and Azide free

Key facts

Host species

Rabbit

Clonality

Monoclonal

Clone number

EPR27975-54

Isotype

IgG

Carrier free

No

Reacts with

Human, Mouse, Rat

Applications

WB, IP, ICC/IF

applications

Immunogen

The exact immunogen used to generate this antibody is proprietary information.

Reactivity data

{ "title": "Reactivity Data", "filters": { "stats": ["", "Species", "Dilution Info", "Notes"], "tabs": { "all-applications": {"fullname" : "All Applications", "shortname": "All Applications"}, "ICCIF" : {"fullname" : "Immunocytochemistry/ Immunofluorescence", "shortname":"ICC/IF"}, "IP" : {"fullname" : "Immunoprecipitation", "shortname":"IP"}, "WB" : {"fullname" : "Western blot", "shortname":"WB"}, "IHCP" : {"fullname" : "Immunohistochemistry (Formalin/PFA-fixed paraffin-embedded sections)", "shortname":"IHC-P"}, "FlowCytIntra" : {"fullname" : "Flow Cytometry (Intracellular)", "shortname":"Flow Cyt (Intra)"} }, "product-promise": { "all": "all", "testedAndGuaranteed": "tested", "guaranteed": "expected", "predicted": "predicted", "notRecommended": "not-recommended" } }, "values": { "Human": { "ICCIF-species-checked": "testedAndGuaranteed", "ICCIF-species-dilution-info": "1/50", "ICCIF-species-notes": "<p></p>", "IP-species-checked": "testedAndGuaranteed", "IP-species-dilution-info": "1/30", "IP-species-notes": "<p></p>", "WB-species-checked": "testedAndGuaranteed", "WB-species-dilution-info": "1/1000", "WB-species-notes": "<p></p>", "IHCP-species-checked": "notRecommended", "IHCP-species-dilution-info": "", "IHCP-species-notes": "<p></p>", "FlowCytIntra-species-checked": "notRecommended", "FlowCytIntra-species-dilution-info": "", "FlowCytIntra-species-notes": "<p></p>" }, "Mouse": { "ICCIF-species-checked": "guaranteed", "ICCIF-species-dilution-info": "", "ICCIF-species-notes": "", "IP-species-checked": "guaranteed", "IP-species-dilution-info": "", "IP-species-notes": "", "WB-species-checked": "testedAndGuaranteed", "WB-species-dilution-info": "1/1000", "WB-species-notes": "<p></p>", "IHCP-species-checked": "notRecommended", "IHCP-species-dilution-info": "", "IHCP-species-notes": "<p></p>", "FlowCytIntra-species-checked": "notRecommended", "FlowCytIntra-species-dilution-info": "", "FlowCytIntra-species-notes": "<p></p>" }, "Rat": { "ICCIF-species-checked": "guaranteed", "ICCIF-species-dilution-info": "", "ICCIF-species-notes": "", "IP-species-checked": "guaranteed", "IP-species-dilution-info": "", "IP-species-notes": "", "WB-species-checked": "testedAndGuaranteed", "WB-species-dilution-info": "1/1000", "WB-species-notes": "<p></p>", "IHCP-species-checked": "notRecommended", "IHCP-species-dilution-info": "", "IHCP-species-notes": "<p></p>", "FlowCytIntra-species-checked": "notRecommended", "FlowCytIntra-species-dilution-info": "", "FlowCytIntra-species-notes": "" } } }

Product details

Patented technology
Our RabMAb® technology is a patented hybridoma-based technology for making rabbit monoclonal antibodies. For details on our patents, please refer to RabMAb® patents.

What are the advantages of a recombinant monoclonal antibody?
This product is a recombinant monoclonal antibody, which offers several advantages including:

  • - High batch-to-batch consistency and reproducibility
  • - Improved sensitivity and specificity
  • - Long-term security of supply
  • - Animal-free batch production

For more information, read more on recombinant antibodies.

Properties and storage information

Form
Liquid
Purification technique
Affinity purification Protein A
Storage buffer
pH: 7.2 - 7.4 Preservative: 0.01% Sodium azide Constituents: PBS, 40% Glycerol (glycerin, glycerine), 0.05% BSA
Shipped at conditions
Blue Ice
Appropriate short-term storage duration
1-2 weeks
Appropriate short-term storage conditions
+4°C
Appropriate long-term storage conditions
-20°C
Aliquoting information
Upon delivery aliquot
Storage information
Avoid freeze / thaw cycle

Supplementary information

This supplementary information is collated from multiple sources and compiled automatically.

LZTFL1 also known as leucine zipper transcription factor-like 1 acts in cellular processes often relating to ciliary function. This protein possesses a mass of approximately 39 kDa and is expressed in tissues including lung kidney and reproductive tissues. The LZTFL1 protein has potential roles in modulating other proteins' activities by interacting with them given its leucine zipper domain which suggests it participates in protein-protein interactions.
Biological function summary

LZTFL1 plays a role in the regulation of the BBSome complex which is a critical component for ciliogenesis and the trafficking of proteins to cilia. LZTFL1 by modulating the function of the BBSome complex assists in maintaining ciliary membrane composition and cellular signaling processes. The protein facilitates the transport of proteins to the cilia therefore influencing important signaling pathways associated with cell development and maintenance.

Pathways

LZTFL1 involves itself notably in the Hedgehog signaling pathway and plays a part in the non-canonical Wnt signaling pathway. Its interaction with the BBSome complex links it to proteins such as BBS10 and BBS12 which are essential in these signaling pathways for their roles in cell differentiation and organ development. By engaging with these pathways LZTFL1 supports cell signaling cascades that are fundamental for proper cellular responses to external stimuli.

LZTFL1 correlates with conditions such as Bardet-Biedl syndrome and certain types of cancer. In Bardet-Biedl syndrome the dysfunction of LZTFL1 affects the BBSome complex leading to impaired ciliary function and symptoms associated with the syndrome. LZTFL1 also connects to proteins like GLI1 in cancer signaling pathways which indicates its involvement in oncogenesis through the modulation of cell proliferation and survival signaling.

Product protocols

For this product, it's our understanding that no specific protocols are required. You can visit:

Target data

Regulates ciliary localization of the BBSome complex. Together with the BBSome complex, controls SMO ciliary trafficking and contributes to the sonic hedgehog (SHH) pathway regulation. May play a role in neurite outgrowth. May have tumor suppressor function.
See full target information LZTFL1

Product promise

We are committed to supporting your work with high-quality reagents, and we're here for you every step of the way. In the unlikely event that one of our products does not perform as expected, you're protected by our Product Promise.
For full details, please see our Terms & Conditions

Please note: All products are 'FOR RESEARCH USE ONLY. NOT FOR USE IN DIAGNOSTIC OR THERAPEUTIC PROCEDURES'.

For licensing inquiries, please contact partnerships@abcam.com