JavaScript is disabled in your browser. Please enable JavaScript to view this website.
AB99178

Anti-M-CSF antibody

4

(3 Reviews)

|

(8 Publications)

Rabbit Polyclonal M-CSF antibody. Suitable for WB, IHC-P and reacts with Mouse, Human samples. Cited in 8 publications.

View Alternative Names

Macrophage colony-stimulating factor 1, CSF-1, M-CSF, MCSF, Lanimostim, Proteoglycan macrophage colony-stimulating factor, PG-M-CSF, CSF1

4 Images
Immunohistochemistry (Formalin/PFA-fixed paraffin-embedded sections) - Anti-M-CSF antibody (AB99178)
  • IHC-P

Unknown

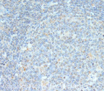
Immunohistochemistry (Formalin/PFA-fixed paraffin-embedded sections) - Anti-M-CSF antibody (AB99178)

IHC image of MCSF staining in human tonsil formalin fixed paraffin embedded tissue section, performed on a Leica BondTM system using the standard protocol F. The section was pre-treated using heat mediated antigen retrieval with sodium citrate buffer (pH6, epitope retrieval solution 1) for 20 mins. The section was then incubated with ab99178, 10µg/ml, for 15 mins at room temperature and detected using an HRP conjugated compact polymer system. DAB was used as the chromogen. The section was then counterstained with haematoxylin and mounted with DPX.

For other IHC staining systems (automated and non-automated) customers should optimize variable parameters such as antigen retrieval conditions, primary antibody concentration and antibody incubation times.

Immunohistochemistry (Formalin/PFA-fixed paraffin-embedded sections) - Anti-M-CSF antibody (AB99178)
  • IHC-P

AbReview43369****

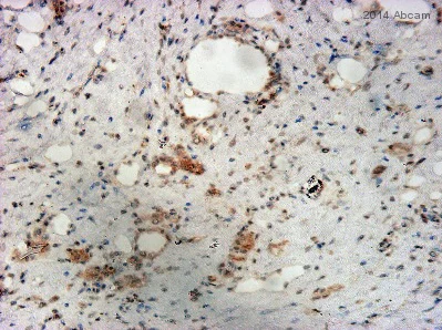
Immunohistochemistry (Formalin/PFA-fixed paraffin-embedded sections) - Anti-M-CSF antibody (AB99178)

ab99178 staining MCSF in mouse skin wound tissue sections by Immunohistochemistry (IHC-P - paraformaldehyde-fixed, paraffin-embedded sections). Tissue was fixed with paraformaldehyde, permeabilized with 0.1% Triton X-100 for 10 minutes and blocked with 1% BSA for 30 minutes at 25°C; antigen retrieval was by heat mediation in a citrate-EDTA buffer. Samples were incubated with primary antibody (1/100 in TBS pH 7.6) for 1 hour at 25°C. A Biotin-conjugated donkey anti-rabbit IgG (H+L) polyclonal (1/300) was used as the secondary antibody.

This image is courtesy of an anonymous Abreview

Western blot - Anti-M-CSF antibody (AB99178)
  • WB

Unknown

Western blot - Anti-M-CSF antibody (AB99178)

MCSF contains a number of potential glycosylation sites (SwissProt) which may explain its migration at a higher molecular weight than predicted.

All lanes:

Western blot - Anti-M-CSF antibody (ab99178) at 1 µg/mL

Lane 1:

Bone Marrow (Human) Tissue Lysate - adult normal tissue at 10 µg

Lane 2:

Human spleen tissue lysate - total protein (<a href='/en-us/products/unavailable/human-spleen-tissue-lysate-total-protein-ab29699'>ab29699</a>) at 10 µg

Lane 3:

Human thymus tissue lysate - total protein (<a href='/en-us/products/unavailable/human-thymus-tissue-lysate-total-protein-ab30146'>ab30146</a>) at 10 µg

Lane 4:

Tonsil (Human) Tissue Lysate at 10 µg

Secondary

All lanes:

Western blot - Goat Anti-Rabbit IgG H&L (HRP) preadsorbed (<a href='/en-us/products/secondary-antibodies/goat-rabbit-igg-h-l-hrp-preadsorbed-ab97080'>ab97080</a>) at 1/5000 dilution

Predicted band size: 60 kDa

Observed band size: 170 kDa,52 kDa,70 kDa,98 kDa

true

Exposure time: 8min

Western blot - Anti-M-CSF antibody (AB99178)
  • WB

Lab

Western blot - Anti-M-CSF antibody (AB99178)

Blocking buffer : 2% BSA
Gel type : MOPS

All lanes:

Western blot - Anti-M-CSF antibody (ab99178) at 1 µg/mL

All lanes:

Mouse Spleen lysate at 10 µg

Secondary

All lanes:

Goat Anti-Rabbit IgG H&L (HRP) at 1/50000 dilution

Predicted band size: 60 kDa

Observed band size: 70 kDa

false

Exposure time: 8min

Key facts

Host species

Rabbit

Clonality

Polyclonal

Isotype

IgG

Carrier free

No

Reacts with

Human, Mouse

Applications

IHC-P, WB

applications

Immunogen

The exact immunogen used to generate this antibody is proprietary information.

Reactivity data

{ "title": "Reactivity Data", "filters": { "stats": ["", "Species", "Dilution Info", "Notes"], "tabs": { "all-applications": {"fullname" : "All Applications", "shortname": "All Applications"}, "WB" : {"fullname" : "Western blot", "shortname":"WB"}, "IHCP" : {"fullname" : "Immunohistochemistry (Formalin/PFA-fixed paraffin-embedded sections)", "shortname":"IHC-P"} }, "product-promise": { "all": "all", "testedAndGuaranteed": "tested", "guaranteed": "expected", "predicted": "predicted", "notRecommended": "not-recommended" } }, "values": { "Human": { "WB-species-checked": "testedAndGuaranteed", "WB-species-dilution-info": "1 µg/mL", "WB-species-notes": "<p></p>", "IHCP-species-checked": "testedAndGuaranteed", "IHCP-species-dilution-info": "10 µg/mL", "IHCP-species-notes": "<p></p>" }, "Mouse": { "WB-species-checked": "testedAndGuaranteed", "WB-species-dilution-info": "1 µg/mL", "WB-species-notes": "<p></p>", "IHCP-species-checked": "testedAndGuaranteed", "IHCP-species-dilution-info": "10 µg/mL", "IHCP-species-notes": "<p></p>" }, "Dog": { "WB-species-checked": "predicted", "WB-species-dilution-info": "", "WB-species-notes": "", "IHCP-species-checked": "predicted", "IHCP-species-dilution-info": "", "IHCP-species-notes": "" }, "Gorilla": { "WB-species-checked": "predicted", "WB-species-dilution-info": "", "WB-species-notes": "", "IHCP-species-checked": "predicted", "IHCP-species-dilution-info": "", "IHCP-species-notes": "" }, "Macaque monkey": { "WB-species-checked": "predicted", "WB-species-dilution-info": "", "WB-species-notes": "", "IHCP-species-checked": "predicted", "IHCP-species-dilution-info": "", "IHCP-species-notes": "" }, "Pig": { "WB-species-checked": "predicted", "WB-species-dilution-info": "", "WB-species-notes": "", "IHCP-species-checked": "predicted", "IHCP-species-dilution-info": "", "IHCP-species-notes": "" } } }

Properties and storage information

Form
Liquid
Purification technique
Affinity purification Immunogen
Storage buffer
pH: 7.4 Preservative: 0.02% Sodium azide Constituents: PBS, 1% BSA
Shipped at conditions
Blue Ice
Appropriate short-term storage duration
1-2 weeks
Appropriate short-term storage conditions
+4°C
Appropriate long-term storage conditions
-20°C
Aliquoting information
Upon delivery aliquot
Storage information
Avoid freeze / thaw cycle

Supplementary information

This supplementary information is collated from multiple sources and compiled automatically.

M-CSF or macrophage colony-stimulating factor is a cytokine involved in the regulation of macrophage production. Alternative names for M-CSF include CSF-1 and colony-stimulating factor 1. The M-CSF protein has a molecular mass of approximately 18 to 22 kDa. M-CSF is mainly expressed in various tissues including the placenta kidney and bone marrow. It functions as a homodimer important for the survival proliferation and differentiation of mononuclear phagocyte lineage cells.
Biological function summary

M-CSF influences the production differentiation and function of macrophages and osteoclasts. It is not part of a large complex but interacts with its receptor the CSF1R (colony-stimulating factor 1 receptor) on the surface of target cells. This interaction promotes the survival and proliferation of the target cells playing significant roles in immune response and bone homeostasis by regulating osteoclast development.

Pathways

The interaction of M-CSF with its receptor is central to several biological pathways notably the immune system pathway and bone resorption pathway. Within these pathways the binding of M-CSF to CSF1R activates downstream signaling cascades such as the PI3K/AKT and MAPK pathways importantly affecting cell survival and differentiation. The M-CSF pathway intersects with other cytokines and factors like GM-CSF (granulocyte-macrophage colony-stimulating factor) which also regulate immune cell dynamics.

Dysregulation of M-CSF levels is implicated in conditions such as osteoporosis and certain cancers. In osteoporosis M-CSF’s role in osteoclast development links to increased bone resorption leading to bone loss. In cancers M-CSF overexpression may facilitate tumor-associated macrophage infiltration therefore supporting tumor progression. The interaction with CSF1R is significant as it serves as a potential target for therapeutic strategies aimed at modulating macrophage activity in these diseases.

Product protocols

For this product, it's our understanding that no specific protocols are required. You can visit:

Target data

Cytokine that plays an essential role in the regulation of survival, proliferation and differentiation of hematopoietic precursor cells, especially mononuclear phagocytes, such as macrophages and monocytes. Promotes the release of pro-inflammatory chemokines, and thereby plays an important role in innate immunity and in inflammatory processes. Plays an important role in the regulation of osteoclast proliferation and differentiation, the regulation of bone resorption, and is required for normal bone development. Required for normal male and female fertility. Promotes reorganization of the actin cytoskeleton, regulates formation of membrane ruffles, cell adhesion and cell migration. Plays a role in lipoprotein clearance.
See full target information CSF1

Publications (8)

Recent publications for all applications. Explore the full list and refine your search

BMC cancer 21:1090 PubMed34627193

2021

CircCDC45 promotes the malignant progression of glioblastoma by modulating the miR-485-5p/CSF-1 axis.

Applications

Unspecified application

Species

Unspecified reactive species

Rongcai Liu,Weimin Dai,An Wu,Yunping Li

International journal of molecular sciences 22: PubMed33652607

2021

The Presence of Colony-Stimulating Factor-1 and Its Receptor in Different Cells of the Testis; It Involved in the Development of Spermatogenesis In Vitro.

Applications

Unspecified application

Species

Unspecified reactive species

Alaa Sawaied,Eden Arazi,Ahmad AbuElhija,Eitan Lunenfeld,Mahmoud Huleihel

Cellular and molecular gastroenterology and hepato : PubMed33482394

2021

Pharmacological normalization of pancreatic cancer-associated fibroblast secretome impairs pro-metastatic cross-talk with macrophages: Stromal CSF-1 facilitates metastasis.

Applications

Unspecified application

Species

Unspecified reactive species

R Samain,A Brunel,T Douché,M Fanjul,S Cassant-Sourdy,J Rochotte,J Cros,C Neuzillet,J Raffenne,C Duluc,A Perraud,J Nigri,V Gigoux,I Bieche,M Ponzo,G Carpentier,I Cascone,R Tomasini,H A Schmid,M Mathonnet,R Nicolle,M P Bousquet,Y Martineau,S Pyronnet,C Jean,C Bousquet

PloS one 16:e0245340 PubMed33428678

2021

Reno-protective effect of IL-34 inhibition on cisplatin-induced nephrotoxicity in mice.

Applications

Unspecified application

Species

Unspecified reactive species

Yukihiro Wada,Masayuki Iyoda,Kei Matsumoto,Taihei Suzuki,Shohei Tachibana,Nobuhiro Kanazawa,Hirokazu Honda

Cancer immunology research 8:131-145 PubMed31771984

2019

Myeloid Cells Orchestrate Systemic Immunosuppression, Impairing the Efficacy of Immunotherapy against HPV Cancers.

Applications

Unspecified application

Species

Unspecified reactive species

Gabriele Galliverti,Stephan Wullschleger,Mélanie Tichet,Dhaarini Murugan,Nadine Zangger,Wesley Horton,Alan J Korman,Lisa M Coussens,Melody A Swartz,Douglas Hanahan

IUBMB life 71:1916-1928 PubMed31317664

2019

MicroRNA-155 inhibition up-regulates LEPR to inhibit osteoclast activation and bone resorption via activation of AMPK in alendronate-treated osteoporotic mice.

Applications

Unspecified application

Species

Unspecified reactive species

Zhongxuan Mao,Yihai Zhu,Weimin Hao,Chao Chu,Hongmin Su

Immunity 49:275-287.e5 PubMed30054206

2018

Airway Epithelial Cell-Derived Colony Stimulating Factor-1 Promotes Allergen Sensitization.

Applications

Unspecified application

Species

Unspecified reactive species

Hyung-Geun Moon,Seung-Jae Kim,Jong Jin Jeong,Seon-Sook Han,Nizar N Jarjour,Hyun Lee,Sherry L Abboud-Werner,Sangwoon Chung,Hak Soo Choi,Viswanathan Natarajan,Steven J Ackerman,John W Christman,Gye Young Park

Arteriosclerosis, thrombosis, and vascular biology 37:312-315 PubMed28062503

2017

Protective Aptitude of Annexin A1 in Arterial Neointima Formation in Atherosclerosis-Prone Mice-Brief Report.

Applications

Unspecified application

Species

Unspecified reactive species

Renske J de Jong,Nicole Paulin,Patricia Lemnitzer,Joana R Viola,Carla Winter,Bartolo Ferraro,Jochen Grommes,Christian Weber,Chris Reutelingsperger,Maik Drechsler,Oliver Soehnlein
View all publications

Product promise

We are committed to supporting your work with high-quality reagents, and we're here for you every step of the way. In the unlikely event that one of our products does not perform as expected, you're protected by our Product Promise.
For full details, please see our Terms & Conditions

Please note: All products are 'FOR RESEARCH USE ONLY. NOT FOR USE IN DIAGNOSTIC OR THERAPEUTIC PROCEDURES'.

For licensing inquiries, please contact partnerships@abcam.com