JavaScript is disabled in your browser. Please enable JavaScript to view this website.
AB8093

Anti-M6PR (cation independent) antibody [MEM-238] - Lysosome Membrane Marker

5

(3 Reviews)

|

(15 Publications)

Mouse Monoclonal M6PR (cation independent) antibody. Suitable for Flow Cyt (Intra), WB and reacts with Human samples. Cited in 15 publications. Immunogen corresponding to Recombinant Virus within Human IGF2R.

View Alternative Names

CD222, MPRI, IGF2R, Cation-independent mannose-6-phosphate receptor, CI Man-6-P receptor, CI-MPR, M6PR, 300 kDa mannose 6-phosphate receptor, Insulin-like growth factor 2 receptor, Insulin-like growth factor II receptor, M6P/IGF2 receptor, MPR 300, IGF-II receptor, M6P/IGF2R

4 Images
Flow Cytometry - Anti-M6PR (cation independent) antibody [MEM-238] - Lysosome Membrane Marker (AB8093)
  • Flow Cyt

Supplier Data

Flow Cytometry - Anti-M6PR (cation independent) antibody [MEM-238] - Lysosome Membrane Marker (AB8093)

Flow cytometry surface staining analysis of human peripheral whole blood showing separation of human neutrophil granulocytes (red) from lymphocytes black using ab8093 at 2 μg/ml GAM APC.

Flow Cytometry - Anti-M6PR (cation independent) antibody [MEM-238] - Lysosome Membrane Marker (AB8093)
  • Flow Cyt

Supplier Data

Flow Cytometry - Anti-M6PR (cation independent) antibody [MEM-238] - Lysosome Membrane Marker (AB8093)

Flow cytometry analysis of human peripheral whole blood stained using ab8093 in 2 μg/ml and GAM APC.

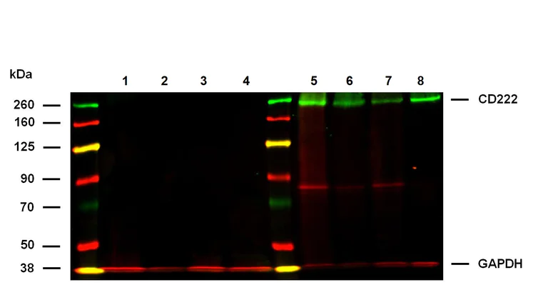
Western blot - Anti-M6PR (cation independent) antibody [MEM-238] - Lysosome Membrane Marker (AB8093)
  • WB

Supplier Data

Western blot - Anti-M6PR (cation independent) antibody [MEM-238] - Lysosome Membrane Marker (AB8093)

Western blotting analysis was performed on whole cell extracts (RIPA lysis buffer) of Jurkat, K562, Raji, and HeLa cell lines, mixed and heated (100°C, 5 min) with reducing and non-reducing SDS-loading buffer. Samples were resolved using 7% Tris-glycine SDS gel electrophoresis. Nitrocellulose membrane blot was probed with ab8093 followed by IRDye 800CW Goat-anti-Mouse IgG (green). Mouse anti-GAPDH monoclonal antibody FF26A conjugated with DyLight 680 (0.1 µg/ml), was used as the loading control (red). Multiplex fluorescent Western blot detection was performed. CD222 molecules were detected at ~250 kDa in all analysed cell lines.

All lanes:

Western blot - Anti-M6PR (cation independent) antibody [MEM-238] - Lysosome Membrane Marker (ab8093)

Lane 1:

Jurkat whole cell extract, with reducing SDS loading buffer

Lane 2:

K562 whole cell extract, with reducing SDS loading buffer

Lane 3:

Raji whole cell extract, with reducing SDS loading buffer

Lane 4:

HeLa whole cell extract, with reducing SDS loading buffer

Lane 5:

Jurkat whole cell extract, with non-reducing SDS loading buffer

Lane 6:

K562 whole cell extract, with non-reducing SDS loading buffer

Lane 7:

Raji whole cell extract, with non-reducing SDS loading buffer

Lane 8:

HeLa whole cell extract, with non-reducing SDS loading buffer

false

Flow Cytometry (Intracellular) - Anti-M6PR (cation independent) antibody [MEM-238] - Lysosome Membrane Marker (AB8093)
  • Flow Cyt (Intra)

Unknown

Flow Cytometry (Intracellular) - Anti-M6PR (cation independent) antibody [MEM-238] - Lysosome Membrane Marker (AB8093)

Overlay histogram showing HeLa cells stained with ab8093 (red line). The cells were fixed with 80% methanol (5 min) and then permeabilized with 0.1% PBS-Tween for 20 min. The cells were then incubated in 1x PBS / 10% normal goat serum / 0.3M glycine to block non-specific protein-protein interactions followed by the antibody (ab8093, 1μg/1x106 cells) for 30 min at 22°C. The secondary antibody used was DyLight® 488 goat anti-mouse IgG (H+L) (ab96879) at 1/500 dilution for 30 min at 22°C. Isotype control antibody (black line) was mouse IgG1 [ICIGG1] (ab91353, 2μg/1x106 cells) used under the same conditions. Acquisition of >5,000 events was performed.

Key facts

Host species

Mouse

Clonality

Monoclonal

Clone number

MEM-238

Isotype

IgG1

Carrier free

No

Reacts with

Human

Applications

WB, Flow Cyt (Intra)

applications

Immunogen

Recombinant Virus within Human IGF2R. The exact immunogen used to generate this antibody is proprietary information.

P11717

Epitope

Recognizes an epitope between domains 2 and 5.

Specificity

CD222 antigen (human)

Reactivity data

{ "title": "Reactivity Data", "filters": { "stats": ["", "Species", "Dilution Info", "Notes"], "tabs": { "all-applications": {"fullname" : "All Applications", "shortname": "All Applications"}, "FlowCytIntra" : {"fullname" : "Flow Cytometry (Intracellular)", "shortname":"Flow Cyt (Intra)"}, "WB" : {"fullname" : "Western blot", "shortname":"WB"} }, "product-promise": { "all": "all", "testedAndGuaranteed": "tested", "guaranteed": "expected", "predicted": "predicted", "notRecommended": "not-recommended" } }, "values": { "Human": { "FlowCytIntra-species-checked": "testedAndGuaranteed", "FlowCytIntra-species-dilution-info": "2-6 µg/mL", "FlowCytIntra-species-notes": "<p><a href='/en-us/products/primary-antibodies/mouse-igg1-kappa-monoclonal-15-6e10a7-isotype-control-ab170190'>ab170190</a> - Mouse monoclonal IgG1, is suitable for use as an isotype control with this antibody.</p>", "WB-species-checked": "testedAndGuaranteed", "WB-species-dilution-info": "1-2 µg/mL", "WB-species-notes": "<p></p>" }, "Primates": { "FlowCytIntra-species-checked": "predicted", "FlowCytIntra-species-dilution-info": "", "FlowCytIntra-species-notes": "", "WB-species-checked": "predicted", "WB-species-dilution-info": "", "WB-species-notes": "" } } }

Product details

CD222 is a 250kDa transmembrane protein with a short cytoplasmic tail containing an internalization signal. CD222 was originally identified as a receptor for IGFII and M6P-containing proteins (e.g. lysosomal hydrolases). Lysosomal enzymes are sorted to lysosomes via CD222 either from the Golgi, where the enzymes acquire M6P, or from the extracellular space. The majority of CD222 molecules (approximately 90-95%) are located intracellularly, only 5-10% is present on the cell membrane. The internalization rate seems to be enhanced by ligand induced dimerization of CD222 as well as by phosphorylation of its cytoplasmic serine. CD222 is also a receptor for TGFbeta latency associated peptide (LAP), proliferin and may bind several molecules independently of M6P, including plasminogen, CD87 or retinoic acid. It is involved in activation of latent TGFbeta [PROW].

This product was changed from ascites to tissue culture supernatant on 24th January 2018. Please note that the dilutions may need to be adjusted accordingly. If you have any questions, please do not hesitate to contact our scientific support team.

Properties and storage information

Form
Liquid
Purification technique
Affinity purification Protein A
Purification notes
Purified from TCS. Purity >95% by SDS-PAGE.
Storage buffer
pH: 7.4 Preservative: 0.097% Sodium azide Constituents: PBS
Shipped at conditions
Blue Ice
Appropriate short-term storage duration
1-2 weeks
Appropriate short-term storage conditions
+4°C
Appropriate long-term storage conditions
-20°C
Aliquoting information
Upon delivery aliquot
Storage information
Avoid freeze / thaw cycle

Supplementary information

This supplementary information is collated from multiple sources and compiled automatically.

The cation-independent mannose 6-phosphate receptor (M6PR) is an important player in cellular transport mechanisms. Also known as the insulin-like growth factor 2 receptor (IGF2R) this protein weighs approximately 300 kDa. M6PR is present on the membrane of lysosomes and works as a lysosome membrane marker. It functions as a sorting receptor in the Golgi apparatus and endosomes facilitating the transport of lysosomal enzymes from the Golgi to lysosomes and back for function and degradation.
Biological function summary

The M6PR enables essential cellular processes by mediating the trafficking of enzymes important to lysosomal function. This receptor takes part in recognizing and binding proteins tagged with mannose 6-phosphate signals allowing their transport to lysosomes. IGF2R engages in forming transient complexes with these enzymes within the cellular trafficking circuitry therefore ensuring the proper delivery of enzyme cargo to its target destination.

Pathways

M6PR fits importantly within lysosomal enzyme transport and the insulin-like growth factor (IGF) pathway. It partially regulates the homeostasis of IGF2 by facilitating its degradation modulating cell proliferation growth and development. Steric interactions with IGF2 and other proteins like mannose receptor homologs and IGF-binding proteins outline its influence within these pathways highlighting its multifunctionality.

M6PR connects to certain cancers and lysosomal storage disorders. Dysfunctional pathway interactions or mutations within IGF2R often relate with types of cancer such as breast and liver cancers due to its influence on IGF2 regulation and cell proliferation. Additionally it associates with lysosomal storage diseases as lysosome-related pathologies emerge from impaired enzyme transport reflecting the M6PR's intricate role in cellular homeostasis.

Product protocols

For this product, it's our understanding that no specific protocols are required. You can visit:

Target data

Mediates the transport of phosphorylated lysosomal enzymes from the Golgi complex and the cell surface to lysosomes (PubMed : 18817523, PubMed : 2963003). Lysosomal enzymes bearing phosphomannosyl residues bind specifically to mannose-6-phosphate receptors in the Golgi apparatus and the resulting receptor-ligand complex is transported to an acidic prelysosomal compartment where the low pH mediates the dissociation of the complex (PubMed : 18817523, PubMed : 2963003). The receptor is then recycled back to the Golgi for another round of trafficking through its binding to the retromer (PubMed : 18817523). This receptor also binds IGF2 (PubMed : 18046459). Acts as a positive regulator of T-cell coactivation by binding DPP4 (PubMed : 10900005).
See full target information IGF2R

Publications (15)

Recent publications for all applications. Explore the full list and refine your search

Journal of cellular physiology 240:e70074 PubMed40717240

2025

The Parkinson Disease-Associated Mutant DNAJC13(N855S) Leads to Its Accelerated Degradation and Negatively Affects Macroautophagy and Retromer Complex-Mediated Dynamics.

Applications

Unspecified application

Species

Unspecified reactive species

Anna Stein,Stella Vo,Christian Freese,Joram Kluge,Joanna Maus,Ingrid Koziollek-Drechsler,Beate Silva,Christian Behl,Albrecht M Clement

Cellular and molecular life sciences : CMLS 78:645-660 PubMed32322926

2020

Receptor-mediated endocytosis 8 (RME-8)/DNAJC13 is a novel positive modulator of autophagy and stabilizes cellular protein homeostasis.

Applications

Unspecified application

Species

Unspecified reactive species

Anna S Besemer,Joanna Maus,Mirjam D A Ax,Anna Stein,Stella Vo,Christian Freese,Karsten Nalbach,Christian von Hilchen,Ines F Pfalzgraf,Ingrid Koziollek-Drechsler,Beate Silva,Heike Huesmann,Fatima Boukhallouk,Luise Florin,Andreas Kern,Christian Behl,Albrecht M Clement

PloS one 15:e0226298 PubMed31895934

2020

Leucine zipper transcription factor-like 1 binds adaptor protein complex-1 and 2 and participates in trafficking of transferrin receptor 1.

Applications

Unspecified application

Species

Unspecified reactive species

Kanyarat Promchan,Ven Natarajan

PLoS biology 16:e2004411 PubMed29381698

2018

Role of the AP-5 adaptor protein complex in late endosome-to-Golgi retrieval.

Applications

WB

Species

Human

Jennifer Hirst,Daniel N Itzhak,Robin Antrobus,Georg H H Borner,Margaret S Robinson

The Journal of cell biology 216:4141-4151 PubMed28978644

2017

Segregation in the Golgi complex precedes export of endolysosomal proteins in distinct transport carriers.

Applications

Unspecified application

Species

Unspecified reactive species

Yu Chen,David C Gershlick,Sang Yoon Park,Juan S Bonifacino

Nature 549:538-542 PubMed28959962

2017

Comparative glycoproteomics of stem cells identifies new players in ricin toxicity.

Applications

Unspecified application

Species

Unspecified reactive species

Johannes Stadlmann,Jasmin Taubenschmid,Daniel Wenzel,Anna Gattinger,Gerhard Dürnberger,Frederico Dusberger,Ulrich Elling,Lukas Mach,Karl Mechtler,Josef M Penninger

Oncotarget 7:62386-62410 PubMed27694692

2016

Inhibition of insulin-like growth factor II (IGF-II)-dependent cell growth by multidentate pentamannosyl 6-phosphate-based ligands targeting the mannose 6-phosphate/IGF-II receptor.

Applications

Unspecified application

Species

Unspecified reactive species

Megan E Zavorka,Christopher M Connelly,Rosslyn Grosely,Richard G MacDonald

PloS one 8:e59462 PubMed23527201

2013

Alix serves as an adaptor that allows human parainfluenza virus type 1 to interact with the host cell ESCRT system.

Applications

ICC/IF

Species

Human

Jim Boonyaratanakornkit,Henrick Schomacker,Peter Collins,Alexander Schmidt

PloS one 7:e28382 PubMed22355301

2012

The C proteins of human parainfluenza virus type 1 block IFN signaling by binding and retaining Stat1 in perinuclear aggregates at the late endosome.

Applications

ICC/IF

Species

Unspecified reactive species

Henrick Schomacker,Rebecca M Hebner,Jim Boonyaratanakornkit,Sonja Surman,Emerito Amaro-Carambot,Peter L Collins,Alexander C Schmidt

The international journal of biochemistry & cell biology 42:1507-16 PubMed20561914

2010

Histidine-rich glycoprotein binds heparanase and regulates its enzymatic activity and cell surface interactions.

Applications

Flow Cyt

Species

Human

Ivan K H Poon,Dean Y Yee,Allison L Jones,Robert J Wood,David S Davis,Craig Freeman,Christopher R Parish,Mark D Hulett
View all publications

Product promise

We are committed to supporting your work with high-quality reagents, and we're here for you every step of the way. In the unlikely event that one of our products does not perform as expected, you're protected by our Product Promise.
For full details, please see our Terms & Conditions

Please note: All products are 'FOR RESEARCH USE ONLY. NOT FOR USE IN DIAGNOSTIC OR THERAPEUTIC PROCEDURES'.

For licensing inquiries, please contact partnerships@abcam.com