JavaScript is disabled in your browser. Please enable JavaScript to view this website.
AB314047

Anti-MACC1 antibody [BLR135H] - BSA free

Be the first to review this product! Submit a review

|

(0 Publication)

Rabbit Recombinant Monoclonal MACC1 antibody. Suitable for ICC, IHC-P, IP, WB and reacts with Human samples. Immunogen corresponding to Synthetic Peptide within Human MACC1 aa 100-150.

View Alternative Names

Metastasis-associated in colon cancer protein 1, SH3 domain-containing protein 7a5, MACC1

4 Images
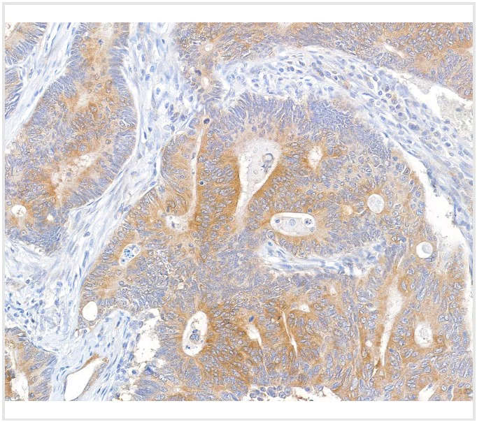
Immunohistochemistry (Formalin/PFA-fixed paraffin-embedded sections) - Anti-MACC1 antibody [BLR135H] - BSA free (AB314047)
  • IHC-P

Supplier Data

Immunohistochemistry (Formalin/PFA-fixed paraffin-embedded sections) - Anti-MACC1 antibody [BLR135H] - BSA free (AB314047)

Detection of human MACC1 in FFPE colon carcinoma by immunohistochemistry.Antibody : Rabbit anti-MACC1 recombinant monoclonal antibody [BLR135H] Secondary : HRP-conjugated goat anti-rabbit IgG, Substrate : DAB.

Immunocytochemistry - Anti-MACC1 antibody [BLR135H] - BSA free (AB314047)
  • ICC

Supplier Data

Immunocytochemistry - Anti-MACC1 antibody [BLR135H] - BSA free (AB314047)

Detection of human MACC1 in FFPE SW620 cells by immunocytochemistry.Antibody : Rabbit anti-MACC1 recombinant monoclonal antibody [BLR135H] Secondary : HRP-conjugated goat anti-rabbit IgG . Substrate : DAB.

Immunoprecipitation - Anti-MACC1 antibody [BLR135H] - BSA free (AB314047)
  • IP

Supplier Data

Immunoprecipitation - Anti-MACC1 antibody [BLR135H] - BSA free (AB314047)

Samples : Whole cell lysate (1.0 mg per IP reaction; 20% of IP loaded) from SW-620 cells prepared using NETN lysis buffer.Antibodies : Rabbit antiMACC1 recombinant monoclonal antibody [BLR135H] (A700-135 Lot 1) used for IP at 20 µl/mg lysate. MACC1 was also immunoprecipitated by rabbit anti-MACC1 antibody BL-1932B-1F8. For blotting immunoprecipitated MACC1, A700-135 was used at 1 : 1000. Chemiluminescence with an exposure time of 3 seconds.

false

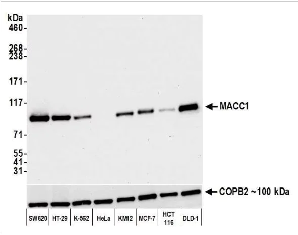
Western blot - Anti-MACC1 antibody [BLR135H] - BSA free (AB314047)
  • WB

Supplier Data

Western blot - Anti-MACC1 antibody [BLR135H] - BSA free (AB314047)

Samples cells prepared using NETN lysis buffer. Antibody : Rabbit anti-MACC1 recombinant monoclonal antibody [BLR135H] (A700-135 Lot 1) used at 1 : 1000. Secondary : HRP-conjugated goat anti-rabbit IgG . Chemiluminescence with an exposure time of 10 seconds. Lower Panel : Rabbit antiCOPB2 antibody

All lanes:

Western blot - Anti-MACC1 antibody [BLR135H] - BSA free (ab314047)

Lane 1:

SW620 Whole cell lysate at 10 µg

Lane 2:

HT-29 Whole cell lysate at 10 µg

Lane 3:

K-562 Whole cell lysate at 10 µg

Lane 4:

HeLa Whole cell lysate at 10 µg

Lane 5:

KM12 Whole cell lysate at 10 µg

Lane 6:

MCF-7 Whole cell lysate at 10 µg

Lane 7:

HCT 116 Whole cell lysate at 10 µg

Lane 8:

DLD-1 Whole cell lysate at 10 µg

Secondary

All lanes:

HRP-conjugated goat anti-rabbit IgG

false

Key facts

Host species

Rabbit

Clonality

Monoclonal

Clone number

BLR135H

Isotype

IgG

Carrier free

No

Reacts with

Human

Applications

IP, ICC, IHC-P, WB

applications

Immunogen

Synthetic Peptide within Human MACC1 aa 100-150. The exact immunogen used to generate this antibody is proprietary information.

Q6ZN28

Reactivity data

{ "title": "Reactivity Data", "filters": { "stats": ["", "Species", "Dilution Info", "Notes"], "tabs": { "all-applications": {"fullname" : "All Applications", "shortname": "All Applications"}, "ICC" : {"fullname" : "Immunocytochemistry", "shortname":"ICC"}, "IHCP" : {"fullname" : "Immunohistochemistry (Formalin/PFA-fixed paraffin-embedded sections)", "shortname":"IHC-P"}, "IP" : {"fullname" : "Immunoprecipitation", "shortname":"IP"}, "WB" : {"fullname" : "Western blot", "shortname":"WB"} }, "product-promise": { "all": "all", "testedAndGuaranteed": "tested", "guaranteed": "expected", "predicted": "predicted", "notRecommended": "not-recommended" } }, "values": { "Human": { "ICC-species-checked": "testedAndGuaranteed", "ICC-species-dilution-info": "", "ICC-species-notes": "<p></p>", "IHCP-species-checked": "testedAndGuaranteed", "IHCP-species-dilution-info": "", "IHCP-species-notes": "<p></p>", "IP-species-checked": "testedAndGuaranteed", "IP-species-dilution-info": "", "IP-species-notes": "<p></p>", "WB-species-checked": "testedAndGuaranteed", "WB-species-dilution-info": "", "WB-species-notes": "<p></p>" } } }

Properties and storage information

Form
Liquid
Storage buffer
pH: 7.8 - 8.6 Preservative: 0.09% Sodium azide Constituents: 98% Borate buffered saline
Shipped at conditions
Blue Ice
Appropriate short-term storage duration
Up to 12 months
Appropriate short-term storage conditions
+4°C
Appropriate long-term storage conditions
+4°C

Supplementary information

This supplementary information is collated from multiple sources and compiled automatically.

MACC1 known as Metastasis-Associated in Colon Cancer 1 plays an important mechanical role in the regulation of cell proliferation and mobility. It has a molecular mass of approximately 82 kDa. This protein expresses prominently in the colon and other epithelial tissues where it assists processes linked to cancer progression. Researchers acknowledge its involvement in cellular signaling making it a focus of biomedical studies.
Biological function summary

MACC1 affects tumor growth and metastasis through its role as a regulator of the HGF/MET signaling pathway. It influences gene expression that promotes invasive behavior in cancer cells. MACC1 does not form a larger complex with other proteins in its function but coordinates with several signaling molecules to control gene transcription linked to metastasis. This ability highlights its significance in oncological contexts.

Pathways

MACC1 protein heavily interacts with the HGF/MET pathway which is central to cell growth movement and survival. MACC1 boosts MET expression and pathway activation thereby amplifying signals for cell invasion. It also ties to the Wnt signaling pathway and influences processes related to cell adhesion and metastasis. Through these pathways MACC1 contributes to signaling cascades that enhance cellular capabilities critical to tumor development.

MACC1 is closely tied to colorectal cancer where it predicts aggressive tumor behavior and patient prognosis. Gastric cancer also witnesses MACC1's influence where it serves similar roles in tumor progression. Through its interaction with the MET protein MACC1 exacerbates disease states by promoting invasion and resistance. This connection between MACC1 and specific tumors renders it a potential target for therapeutic interventions specific to these cancers.

Product protocols

For this product, it's our understanding that no specific protocols are required. You can visit:

Target data

Acts as a transcription activator for MET and as a key regulator of HGF-MET signaling. Promotes cell motility, proliferation and hepatocyte growth factor (HGF)-dependent scattering in vitro and tumor growth and metastasis in vivo.
See full target information MACC1

Product promise

We are committed to supporting your work with high-quality reagents, and we're here for you every step of the way. In the unlikely event that one of our products does not perform as expected, you're protected by our Product Promise.
For full details, please see our Terms & Conditions

Please note: All products are 'FOR RESEARCH USE ONLY. NOT FOR USE IN DIAGNOSTIC OR THERAPEUTIC PROCEDURES'.

For licensing inquiries, please contact partnerships@abcam.com