JavaScript is disabled in your browser. Please enable JavaScript to view this website.
AB261730

Anti-Macrophage Inflammatory Protein 3 alpha antibody [EPR22376-58] - BSA and Azide free

Be the first to review this product! Submit a review

|

(1 Publication)

Rabbit Recombinant Monoclonal Macrophage Inflammatory Protein 3 alpha antibody. Carrier free. Suitable for IHC-P, ICC/IF, Flow Cyt (Intra) and reacts with Human samples. Cited in 1 publication.

View Alternative Names

LARC, MIP3A, SCYA20, CCL20, C-C motif chemokine 20, Beta-chemokine exodus-1, CC chemokine LARC, Liver and activation-regulated chemokine, Macrophage inflammatory protein 3 alpha, Small-inducible cytokine A20, MIP-3-alpha

4 Images
Immunocytochemistry/ Immunofluorescence - Anti-Macrophage Inflammatory Protein 3 alpha antibody [EPR22376-58] - BSA and Azide free (AB261730)
  • ICC/IF

Unknown

Immunocytochemistry/ Immunofluorescence - Anti-Macrophage Inflammatory Protein 3 alpha antibody [EPR22376-58] - BSA and Azide free (AB261730)

Immunofluorescent analysis of 4% Paraformaldehyde-fixed, 0.1% TritonX-100 permeabilized THP-1 (human monocytic leukemia monocyte) cells labelling Macrophage Inflammatory Protein 3 alpha with ab224188 at 1/100 dilution, followed by ab224188 anti-Macrophage Inflammatory Protein 3 alpha ab150077 AlexaFluor®488 Goat anti-Rabbit secondary antibody at 1/1000 dilution (Green). Confocal image showing increased cytoplasmic staining in THP-1 cells treated with Phorbol-12-myristate-13-acetate (PMA, 100ng/ml) for 56 h, then together with lipopolysaccharide (1ug/ml) and Brefeldin A (300ng/ml) for another 16 h is observed. ab195889 Anti-alpha Tubulin antibody [DM1A] - Microtubule Marker (Alexa Fluor® 594) was used to counterstain tubulin at 1/200 dilution (Red). The Nuclear counterstain was DAPI (Blue). Secondary antibody only control : Secondary antibody is ab224188 anti-Macrophage Inflammatory Protein 3 alpha ab150077 AlexaFluor®488 Goat anti-Rabbit secondary at 1/1000 dilution.

This data was developed using the same antibody clone in a different buffer formulation containing PBS, BSA, glycerol, and sodium azide (ab224188).

Immunohistochemistry (Formalin/PFA-fixed paraffin-embedded sections) - Anti-Macrophage Inflammatory Protein 3 alpha antibody [EPR22376-58] - BSA and Azide free (AB261730)
  • IHC-P

Unknown

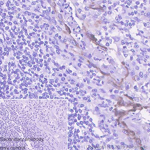
Immunohistochemistry (Formalin/PFA-fixed paraffin-embedded sections) - Anti-Macrophage Inflammatory Protein 3 alpha antibody [EPR22376-58] - BSA and Azide free (AB261730)

Immunohistochemical analysis of paraffin-embedded Human colon tissue labeling Macrophage Inflammatory Protein 3 alpha with ab224188 at 1/2000 dilution followed by a ready to use Goat Anti-Rabbit IgG H&L (HRP). Positive staining on the follicle-associated epithelium in the human colon (PMID : 14997037). Counterstained with Hematoxylin.

Secondary antibody only control : Secondary antibody is a ready to use Goat Anti-Rabbit IgG H&L (HRP).

Heat mediated antigen retrieval using ab93684 (Tris/EDTA buffer, pH 9.0).

This data was developed using the same antibody clone in a different buffer formulation containing PBS, BSA, glycerol, and sodium azide (ab224188).

Immunohistochemistry (Formalin/PFA-fixed paraffin-embedded sections) - Anti-Macrophage Inflammatory Protein 3 alpha antibody [EPR22376-58] - BSA and Azide free (AB261730)
  • IHC-P

Unknown

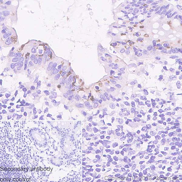
Immunohistochemistry (Formalin/PFA-fixed paraffin-embedded sections) - Anti-Macrophage Inflammatory Protein 3 alpha antibody [EPR22376-58] - BSA and Azide free (AB261730)

Immunohistochemical analysis of paraffin-embedded Human tonsil tissue labeling Macrophage Inflammatory Protein 3 alpha with ab224188 at 1/2000 dilution followed by a ready to use Goat Anti-Rabbit IgG H&L (HRP). Positive staining on the epithelial like cells on the human tonsil (PMID : 15307135). Counterstained with Hematoxylin.

Secondary antibody only control : Secondary antibody is a ready to use Goat Anti-Rabbit IgG H&L (HRP).

Heat mediated antigen retrieval using ab93684 (Tris/EDTA buffer, pH 9.0).

This data was developed using the same antibody clone in a different buffer formulation containing PBS, BSA, glycerol, and sodium azide (ab224188).

Flow Cytometry (Intracellular) - Anti-Macrophage Inflammatory Protein 3 alpha antibody [EPR22376-58] - BSA and Azide free (AB261730)
  • Flow Cyt (Intra)

Unknown

Flow Cytometry (Intracellular) - Anti-Macrophage Inflammatory Protein 3 alpha antibody [EPR22376-58] - BSA and Azide free (AB261730)

Intracellular flow cytometric analysis of 4% paraformaldehyde fixed 0.1% Tween-20 permeabilized THP-1 (Human monocytic leukemia monocyte) treated with 100ng/ml PMA for 56h, then together with 1ug/ml lipopolysaccharide and 300ng/ml Brefeldin A for another 16h (Red) / Untreated control (Green) cells labelling Macrophage Inflammatory Protein 3 alpha with ab224188 at 1/600 dilution (Red) compared with a Rabbit monoclonal IgG (ab172730) / Black isotype control and an unlabelled control (cells without incubation with primary antibody and secondary antibody) (Blue). A Goat anti rabbit IgG (Alexa Fluor® 488, ab150077) at 1/2000 was used as the secondary antibody.

This data was developed using the same antibody clone in a different buffer formulation containing PBS, BSA, glycerol, and sodium azide (ab224188).

  • Unconjugated

    Anti-Macrophage Inflammatory Protein 3 alpha antibody [EPR22376-58]

Key facts

Host species

Rabbit

Clonality

Monoclonal

Clone number

EPR22376-58

Isotype

IgG

Carrier free

Yes

Reacts with

Human

Applications

ICC/IF, IHC-P, Flow Cyt (Intra)

applications

Immunogen

The exact immunogen used to generate this antibody is proprietary information.

Reactivity data

{ "title": "Reactivity Data", "filters": { "stats": ["", "Species", "Dilution Info", "Notes"], "tabs": { "all-applications": {"fullname" : "All Applications", "shortname": "All Applications"}, "IP" : {"fullname" : "Immunoprecipitation", "shortname":"IP"}, "WB" : {"fullname" : "Western blot", "shortname":"WB"}, "IHCP" : {"fullname" : "Immunohistochemistry (Formalin/PFA-fixed paraffin-embedded sections)", "shortname":"IHC-P"}, "ICCIF" : {"fullname" : "Immunocytochemistry/ Immunofluorescence", "shortname":"ICC/IF"}, "FlowCytIntra" : {"fullname" : "Flow Cytometry (Intracellular)", "shortname":"Flow Cyt (Intra)"} }, "product-promise": { "all": "all", "testedAndGuaranteed": "tested", "guaranteed": "expected", "predicted": "predicted", "notRecommended": "not-recommended" } }, "values": { "Human": { "IP-species-checked": "notRecommended", "IP-species-dilution-info": "", "IP-species-notes": "<p></p>", "WB-species-checked": "notRecommended", "WB-species-dilution-info": "", "WB-species-notes": "<p></p>", "IHCP-species-checked": "testedAndGuaranteed", "IHCP-species-dilution-info": "", "IHCP-species-notes": "<p></p>", "ICCIF-species-checked": "testedAndGuaranteed", "ICCIF-species-dilution-info": "", "ICCIF-species-notes": "<p></p>", "FlowCytIntra-species-checked": "testedAndGuaranteed", "FlowCytIntra-species-dilution-info": "", "FlowCytIntra-species-notes": "<p></p>" } } }

Product details

ab261730 is the carrier-free version of ab224188.

Patented technology
Our RabMAb® technology is a patented hybridoma-based technology for making rabbit monoclonal antibodies. For details on our patents, please refer to RabMAb® patents.

What are the advantages of a recombinant monoclonal antibody?
This product is a recombinant monoclonal antibody, which offers several advantages including:

  • - High batch-to-batch consistency and reproducibility
  • - Improved sensitivity and specificity
  • - Long-term security of supply
  • - Animal-free batch production

For more information, read more on recombinant antibodies.

Conjugation ready
Our carrier-free antibodies are typically supplied in a PBS-only formulation, purified and free of BSA, sodium azide and glycerol. This conjugation-ready format is designed for use with fluorochromes, metal isotopes, oligonucleotides, and enzymes, which makes them ideal for antibody labelling, functional and cell-based assays, flow-based assays (e.g. mass cytometry) and Multiplex Imaging applications.

Use our conjugation kits for antibody conjugates that are ready-to-use in as little as 20 minutes with 1 minute hands-on-time and 100% antibody recovery: available for fluorescent dyes, HRP, biotin and gold.

Compatibility
This product is compatible with the Maxpar® Antibody Labeling Kit from Fluidigm, without the need for antibody preparation. Maxpar® is a trademark of Fluidigm Canada Inc.

Properties and storage information

Form
Liquid
Purification technique
Affinity purification Protein A
Storage buffer
pH: 7.2 - 7.4 Constituents: PBS
Shipped at conditions
Blue Ice
Appropriate short-term storage conditions
+4°C
Appropriate long-term storage conditions
+4°C
Storage information
Do Not Freeze

Supplementary information

This supplementary information is collated from multiple sources and compiled automatically.

Macrophage Inflammatory Protein 3 alpha (MIP-3 alpha) also known as CCL20 is a chemokine with a molecular mass of approximately 9 kDa. It plays a role in immune response by mediating chemotaxis of lymphocytes and dendritic cells. MIP-3 alpha is mainly expressed in liver lung and lymphoid organs including the lymph nodes and appendix. Its expression can be induced during inflammation in response to signaling molecules like tumor necrosis factor-alpha (TNF-alpha) and interleukin-1 beta (IL-1β).
Biological function summary

MIP-3 alpha contributes to the immune system by recruiting immune cells to sites of inflammation or injury. It is not part of a larger protein complex. Its main function is binding to the CCR6 receptor on target cells. This interaction mediates the migration and activation of the immune cells critical for initiating the immune response by increasing cell surface adhesion and motility. By drawing immune cells MIP-3 alpha significantly influences the body's capacity to fight infections and regulate inflammatory processes.

Pathways

MIP-3 alpha is integral to the inflammatory response and chemokine signaling pathways. It is involved in the immune system's adaptive response through its interaction with CCR6. This pathway overlaps with other chemokines such as MIP-1 and MIP-2 which also aid in immune cell recruitment. Furthermore MIP-3 alpha’s engagement in these pathways facilitates intercellular communication during immune responses pivotal for maintaining homeostasis and immune surveillance.

MIP-3 alpha has associations with inflammatory diseases like rheumatoid arthritis and inflammatory bowel disease. During these conditions elevated levels of MIP-3 alpha contribute to the recruitment of inflammatory cells which exacerbate symptoms. MIP-3 alpha also connects with other proteins such as TNF-alpha in these disease contexts enhancing inflammation and progression of these disorders. Targeting MIP-3 alpha and its associated pathways may provide therapeutic opportunities for alleviating these chronic inflammatory conditions.

Product protocols

For this product, it's our understanding that no specific protocols are required. You can visit:

Target data

Acts as a ligand for C-C chemokine receptor CCR6. Signals through binding and activation of CCR6 and induces a strong chemotactic response and mobilization of intracellular calcium ions (PubMed : 11035086, PubMed : 11352563, PubMed : 20068036). The ligand-receptor pair CCL20-CCR6 is responsible for the chemotaxis of dendritic cells (DC), effector/memory T-cells and B-cells and plays an important role at skin and mucosal surfaces under homeostatic and inflammatory conditions, as well as in pathology, including cancer and various autoimmune diseases (PubMed : 21376174). CCL20 acts as a chemotactic factor that attracts lymphocytes and, slightly, neutrophils, but not monocytes (PubMed : 11352563, PubMed : 9038201). Involved in the recruitment of both the pro-inflammatory IL17 producing helper T-cells (Th17) and the regulatory T-cells (Treg) to sites of inflammation. Required for optimal migration of thymic natural regulatory T cells (nTregs) and DN1 early thymocyte progenitor cells (By similarity). C-terminal processed forms have been shown to be equally chemotactically active for leukocytes (PubMed : 11035086). Positively regulates sperm motility and chemotaxis via its binding to CCR6 which triggers Ca2+ mobilization in the sperm which is important for its motility (PubMed : 23765988, PubMed : 25122636). Inhibits proliferation of myeloid progenitors in colony formation assays (PubMed : 9129037). May be involved in formation and function of the mucosal lymphoid tissues by attracting lymphocytes and dendritic cells towards epithelial cells (By similarity). Possesses antibacterial activity towards E.coli ATCC 25922 and S.aureus ATCC 29213 (PubMed : 12149255).
See full target information CCL20

Publications (1)

Recent publications for all applications. Explore the full list and refine your search

JCI insight 10: PubMed40857403

2025

The spleen tyrosine kinase inhibitor entospletinib resolves inflammation to promote repair following acute kidney injury.

Applications

Unspecified application

Species

Unspecified reactive species

Esteban E Elias,Arthur Lau,Sisay Getie Belay,Afshin Derakhshani,Graciela Andonegui,Craig N Jenne,Antoine Dufour,Nathan A Bracey,Justin Chun,Daniel A Muruve
View all publications

Product promise

We are committed to supporting your work with high-quality reagents, and we're here for you every step of the way. In the unlikely event that one of our products does not perform as expected, you're protected by our Product Promise.
For full details, please see our Terms & Conditions

Please note: All products are 'FOR RESEARCH USE ONLY. NOT FOR USE IN DIAGNOSTIC OR THERAPEUTIC PROCEDURES'.

For licensing inquiries, please contact partnerships@abcam.com