JavaScript is disabled in your browser. Please enable JavaScript to view this website.
AB250761

Anti-MAD1L1/MAD1 antibody [EPR14676-23] - BSA and Azide free

Be the first to review this product! Submit a review

|

(1 Publication)

Rabbit Recombinant Monoclonal MAD1L1/MAD1 antibody. Carrier free. Suitable for IHC-P, WB and reacts with Human samples. Cited in 1 publication.

View Alternative Names

MAD1, TXBP181, MAD1L1, Mitotic spindle assembly checkpoint protein MAD1, Mitotic arrest deficient 1-like protein 1, Mitotic checkpoint MAD1 protein homolog, Tax-binding protein 181, MAD1-like protein 1, HsMAD1, hMAD1

2 Images
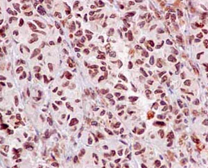
Immunohistochemistry (Formalin/PFA-fixed paraffin-embedded sections) - Anti-MAD1L1/MAD1 antibody [EPR14676-23] - BSA and Azide free (AB250761)
  • IHC-P

Supplier Data

Immunohistochemistry (Formalin/PFA-fixed paraffin-embedded sections) - Anti-MAD1L1/MAD1 antibody [EPR14676-23] - BSA and Azide free (AB250761)

This data was developed using ab184560, the same antibody clone in a different buffer formulation.

Immunohistochemical analysis of formalin fixed and paraffin embedded Human melanoma tissue labeling MAD1 with ab184560 at 1/50 dilution, counterstained with Hematoxylin.

Perform heat mediated antigen retrieval with citrate buffer pH 6 before commencing with IHC staining protocol.

Western blot - Anti-MAD1L1/MAD1 antibody [EPR14676-23] - BSA and Azide free (AB250761)
  • WB

Supplier Data

Western blot - Anti-MAD1L1/MAD1 antibody [EPR14676-23] - BSA and Azide free (AB250761)

This data was developed using ab184560, the same antibody clone in a different buffer formulation.

All lanes:

Western blot - Anti-MAD1L1/MAD1 antibody [EPR14676-23] (<a href='/en-us/products/primary-antibodies/mad1l1-mad1-antibody-epr14676-23-ab184560'>ab184560</a>) at 1/20000 dilution

Lane 1:

HepG2 lysate at 20 µg

Lane 2:

A431 lysate at 20 µg

Lane 3:

HeLa lysate at 20 µg

Lane 4:

MCF7 lysate at 20 µg

Secondary

All lanes:

Goat Anti-Rabbit IgG, (H+L), Peroxidase conjugated at 1/1000 dilution

Predicted band size: 83 kDa

true

Key facts

Host species

Rabbit

Clonality

Monoclonal

Clone number

EPR14676-23

Isotype

IgG

Carrier free

Yes

Reacts with

Human

Applications

WB, IHC-P

applications

Immunogen

The exact immunogen used to generate this antibody is proprietary information.

Reactivity data

{ "title": "Reactivity Data", "filters": { "stats": ["", "Species", "Dilution Info", "Notes"], "tabs": { "all-applications": {"fullname" : "All Applications", "shortname": "All Applications"}, "IHCP" : {"fullname" : "Immunohistochemistry (Formalin/PFA-fixed paraffin-embedded sections)", "shortname":"IHC-P"}, "WB" : {"fullname" : "Western blot", "shortname":"WB"} }, "product-promise": { "all": "all", "testedAndGuaranteed": "tested", "guaranteed": "expected", "predicted": "predicted", "notRecommended": "not-recommended" } }, "values": { "Human": { "IHCP-species-checked": "testedAndGuaranteed", "IHCP-species-dilution-info": "", "IHCP-species-notes": "<p></p>", "WB-species-checked": "testedAndGuaranteed", "WB-species-dilution-info": "", "WB-species-notes": "<p></p>" } } }

Product details

ab250761 is the carrier-free version of ab184560.

Patented technology
Our RabMAb® technology is a patented hybridoma-based technology for making rabbit monoclonal antibodies. For details on our patents, please refer to RabMAb® patents.

What are the advantages of a recombinant monoclonal antibody?
This product is a recombinant monoclonal antibody, which offers several advantages including:

  • - High batch-to-batch consistency and reproducibility
  • - Improved sensitivity and specificity
  • - Long-term security of supply
  • - Animal-free batch production

For more information, read more on recombinant antibodies.

Conjugation ready
Our carrier-free antibodies are typically supplied in a PBS-only formulation, purified and free of BSA, sodium azide and glycerol. This conjugation-ready format is designed for use with fluorochromes, metal isotopes, oligonucleotides, and enzymes, which makes them ideal for antibody labelling, functional and cell-based assays, flow-based assays (e.g. mass cytometry) and Multiplex Imaging applications.

Use our conjugation kits for antibody conjugates that are ready-to-use in as little as 20 minutes with 1 minute hands-on-time and 100% antibody recovery: available for fluorescent dyes, HRP, biotin and gold.

Compatibility
This product is compatible with the Maxpar® Antibody Labeling Kit from Fluidigm, without the need for antibody preparation. Maxpar® is a trademark of Fluidigm Canada Inc.

Properties and storage information

Form
Liquid
Purification technique
Affinity purification
Storage buffer
pH: 7.2 - 7.4 Constituents: PBS
Shipped at conditions
Blue Ice
Appropriate short-term storage conditions
+4°C
Appropriate long-term storage conditions
+4°C
Storage information
Do Not Freeze

Supplementary information

This supplementary information is collated from multiple sources and compiled automatically.

MAD1L1 also known as MAD1 is a mitotic arrest deficient-like protein 1. It plays a critical role in cell cycle checkpoint control. MAD1L1 acts as an important component in the spindle assembly checkpoint (SAC) ensuring proper chromosome alignment and segregation during mitosis. This protein weighs roughly 85 kDa and locates primarily in the nucleus. It is expressed in various tissues with higher prevalence in rapidly dividing cells.
Biological function summary

MAD1L1 contributes to cellular homeostasis by preventing aneuploidy through its function in SAC. It participates in a larger protein complex with MAD2 another core component of SAC. Together MAD1L1 and MAD2 inhibit the anaphase-promoting complex/cyclosome (APC/C) delaying the onset of anaphase until all chromosomes align at the metaphase plate ensuring correct chromosome distribution to daughter cells.

Pathways

MAD1L1 influences the cell cycle and mitotic pathways. It interacts with other proteins like BUBR1 and CDC20 to maintain proper checkpoint function. These interactions place MAD1L1 at an important point in the pathway regulating cell division acting as both a sensor and a signal transducer to maintain genomic stability and prevent premature separation of sister chromatids.

MAD1L1 dysfunction can become associated with cancer and chromosomal instability disorders. Its aberrant expression or mutation can disrupt the accurate segregation of chromosomes leading to aneuploidy a hallmark in many types of cancer. MAD1L1 connects to key proteins like p53 and aurora kinases which also participate in maintaining genomic integrity and are often implicated in oncogenesis when mutated or dysregulated.

Product protocols

For this product, it's our understanding that no specific protocols are required. You can visit:

Target data

Component of the spindle-assembly checkpoint that prevents the onset of anaphase until all chromosomes are properly aligned at the metaphase plate (PubMed : 10049595, PubMed : 20133940, PubMed : 29162720). Forms a heterotetrameric complex with the closed conformation form of MAD2L1 (C-MAD2) at unattached kinetochores during prometaphase, recruits an open conformation of MAD2L1 (O-MAD2) and promotes the conversion of O-MAD2 to C-MAD2, which ensures mitotic checkpoint signaling (PubMed : 29162720).. Isoform 3. Sequesters MAD2L1 in the cytoplasm preventing its function as an activator of the mitotic spindle assembly checkpoint (SAC) resulting in SAC impairment and chromosomal instability in hepatocellular carcinomas.
See full target information MAD1L1

Publications (1)

Recent publications for all applications. Explore the full list and refine your search

World journal of gastrointestinal oncology 16:4716-4727 PubMed39678812

2024

Enhancing the radiosensitivity of colorectal cancer cells by reducing spermine synthase through promoting autophagy and DNA damage.

Applications

Unspecified application

Species

Unspecified reactive species

Yu-Bin Guo,Yue-Ming Wu,Zhi-Zhao Lin
View all publications

Product promise

We are committed to supporting your work with high-quality reagents, and we're here for you every step of the way. In the unlikely event that one of our products does not perform as expected, you're protected by our Product Promise.
For full details, please see our Terms & Conditions

Please note: All products are 'FOR RESEARCH USE ONLY. NOT FOR USE IN DIAGNOSTIC OR THERAPEUTIC PROCEDURES'.

For licensing inquiries, please contact partnerships@abcam.com