JavaScript is disabled in your browser. Please enable JavaScript to view this website.
AB180579

Anti-Mad2L2/REV7 antibody [EPR13657]

4

(3 Reviews)

|

(33 Publications)

Rabbit Recombinant Monoclonal Mad2L2/REV7 antibody. Suitable for IP, WB, ICC/IF, Flow Cyt (Intra), IHC-P and reacts with Human samples. Cited in 33 publications.

View Alternative Names

MAD2B, REV7, MAD2L2, Mitotic spindle assembly checkpoint protein MAD2B, Mitotic arrest deficient 2-like protein 2, REV7 homolog, MAD2-like protein 2, hREV7

5 Images
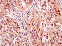
Immunohistochemistry (Formalin/PFA-fixed paraffin-embedded sections) - Anti-Mad2L2/REV7 antibody [EPR13657] (AB180579)
  • IHC-P

Supplier Data

Immunohistochemistry (Formalin/PFA-fixed paraffin-embedded sections) - Anti-Mad2L2/REV7 antibody [EPR13657] (AB180579)

Immunohistochemical staining of paraffin-embedded human ovarian carcinoma tissue labeling Mad2L2/REV7 using ab180579 at a 1/50 dilution and ImmunoHistoprobe HRP Polymer for Rabbit IgG. Counterstained with hematoxylin. Heat mediated antigen retrieval was performed with EDTA buffer pH 9 before commencing with IHC staining protocol.

Flow Cytometry (Intracellular) - Anti-Mad2L2/REV7 antibody [EPR13657] (AB180579)
  • Flow Cyt (Intra)

Supplier Data

Flow Cytometry (Intracellular) - Anti-Mad2L2/REV7 antibody [EPR13657] (AB180579)

Intracellular flow cytometric analysis of paraformadehyde fixed K562 cells labeling Mad2L2/REV7 with ab180579 at 1/70 dilution andGoat anti rabbit IgG (FITC) at 1/50.

Immunocytochemistry/ Immunofluorescence - Anti-Mad2L2/REV7 antibody [EPR13657] (AB180579)
  • ICC/IF

Lab

Immunocytochemistry/ Immunofluorescence - Anti-Mad2L2/REV7 antibody [EPR13657] (AB180579)

Immunocytochemistry/Immunofluorescence analysis of HeLa cells labelling Mad2L2/REV7 with ab129199 at 1/500. Cells were fixed with 4% Paraformaldehyde. ab150077, an Alexa Fluor® 488-conjugated goat anti-rabbit IgG (1/1000) was used as the secondary antibody.

Control : PBS only.
Nuclear counter stain : DAPI.

Immunoprecipitation - Anti-Mad2L2/REV7 antibody [EPR13657] (AB180579)
  • IP

Supplier Data

Immunoprecipitation - Anti-Mad2L2/REV7 antibody [EPR13657] (AB180579)

Immunoprecipitation of HeLa cell lysate labeling Mad2L2/REV7 using ab180579 at 1/40 dilution (lane 1) or negative control (lane 2) followed by anti-Rabbit IgG (HRP), specific to the non-reduced form of IgG at 1/1500.

All lanes:

Immunoprecipitation - Anti-Mad2L2/REV7 antibody [EPR13657] (ab180579)

Predicted band size: 24 kDa

false

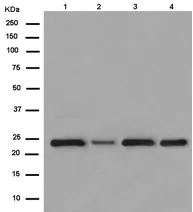
Western blot - Anti-Mad2L2/REV7 antibody [EPR13657] (AB180579)
  • WB

Supplier Data

Western blot - Anti-Mad2L2/REV7 antibody [EPR13657] (AB180579)

All lanes:

Western blot - Anti-Mad2L2/REV7 antibody [EPR13657] (ab180579) at 1/1000 dilution

Lane 1:

K562 cell lysate at 10 µg

Lane 2:

SW480 cell lysate at 10 µg

Lane 3:

Hela cell lysate at 10 µg

Lane 4:

Molt-4 cell lysate at 10 µg

Secondary

All lanes:

Goat Anti-Rabbit IgG, (H+L), Peroxidase conjugated at 1/1000 dilution

Predicted band size: 24 kDa

false

  • 665 Alexa Fluor® 647

    Alexa Fluor® 647 Anti-Mad2L2/REV7 antibody [EPR13657]

  • 565 Alexa Fluor® 555

    Alexa Fluor® 555 Anti-Mad2L2/REV7 antibody [EPR13657]

  • Carrier free

    Anti-Mad2L2/REV7 antibody [EPR13657] - BSA and Azide free

  • 578 PE

    PE Anti-Mad2L2 antibody [EPR13657]

  • 660 APC

    APC Anti-Mad2L2 antibody [EPR13657]

  • HRP

    HRP Anti-Mad2L2 antibody [EPR13657]

  • 519 Alexa Fluor® 488

    Alexa Fluor® 488 Anti-Mad2L2 antibody [EPR13657]

  • 603 Alexa Fluor® 568

    Alexa Fluor® 568 Anti-Mad2L2/REV7 antibody [EPR13657]

  • 617 Alexa Fluor® 594

    Alexa Fluor® 594 Anti-Mad2L2/REV7 antibody [EPR13657]

  • 775 Alexa Fluor® 750

    Alexa Fluor® 750 Anti-Mad2L2/REV7 antibody [EPR13657]

Key facts

Host species

Rabbit

Clonality

Monoclonal

Clone number

EPR13657

Isotype

IgG

Carrier free

No

Reacts with

Human

Applications

IHC-P, IP, ICC/IF, WB, Flow Cyt (Intra)

applications

Immunogen

The exact immunogen used to generate this antibody is proprietary information.

Reactivity data

{ "title": "Reactivity Data", "filters": { "stats": ["", "Species", "Dilution Info", "Notes"], "tabs": { "all-applications": {"fullname" : "All Applications", "shortname": "All Applications"}, "IP" : {"fullname" : "Immunoprecipitation", "shortname":"IP"}, "WB" : {"fullname" : "Western blot", "shortname":"WB"}, "ICCIF" : {"fullname" : "Immunocytochemistry/ Immunofluorescence", "shortname":"ICC/IF"}, "FlowCytIntra" : {"fullname" : "Flow Cytometry (Intracellular)", "shortname":"Flow Cyt (Intra)"}, "IHCP" : {"fullname" : "Immunohistochemistry (Formalin/PFA-fixed paraffin-embedded sections)", "shortname":"IHC-P"} }, "product-promise": { "all": "all", "testedAndGuaranteed": "tested", "guaranteed": "expected", "predicted": "predicted", "notRecommended": "not-recommended" } }, "values": { "Human": { "IP-species-checked": "testedAndGuaranteed", "IP-species-dilution-info": "1/40", "IP-species-notes": "<p></p>", "WB-species-checked": "testedAndGuaranteed", "WB-species-dilution-info": "1/1000", "WB-species-notes": "<p></p>", "ICCIF-species-checked": "testedAndGuaranteed", "ICCIF-species-dilution-info": "1/100", "ICCIF-species-notes": "<p></p>", "FlowCytIntra-species-checked": "testedAndGuaranteed", "FlowCytIntra-species-dilution-info": "1/70", "FlowCytIntra-species-notes": "<p><a href='/en-us/products/primary-antibodies/rabbit-igg-monoclonal-epr25a-isotype-control-ab172730'>ab172730</a> - Rabbit monoclonal IgG, is suitable for use as an isotype control with this antibody.</p>", "IHCP-species-checked": "testedAndGuaranteed", "IHCP-species-dilution-info": "1/50", "IHCP-species-notes": "<p></p>" }, "Mouse": { "IP-species-checked": "predicted", "IP-species-dilution-info": "", "IP-species-notes": "", "WB-species-checked": "predicted", "WB-species-dilution-info": "", "WB-species-notes": "", "ICCIF-species-checked": "predicted", "ICCIF-species-dilution-info": "", "ICCIF-species-notes": "", "FlowCytIntra-species-checked": "predicted", "FlowCytIntra-species-dilution-info": "", "FlowCytIntra-species-notes": "", "IHCP-species-checked": "predicted", "IHCP-species-dilution-info": "", "IHCP-species-notes": "" }, "Rat": { "IP-species-checked": "predicted", "IP-species-dilution-info": "", "IP-species-notes": "", "WB-species-checked": "predicted", "WB-species-dilution-info": "", "WB-species-notes": "", "ICCIF-species-checked": "predicted", "ICCIF-species-dilution-info": "", "ICCIF-species-notes": "", "FlowCytIntra-species-checked": "predicted", "FlowCytIntra-species-dilution-info": "", "FlowCytIntra-species-notes": "", "IHCP-species-checked": "predicted", "IHCP-species-dilution-info": "", "IHCP-species-notes": "" } } }

Product details

Patented technology
Our RabMAb® technology is a patented hybridoma-based technology for making rabbit monoclonal antibodies. For details on our patents, please refer to RabMAb® patents.

What are the advantages of a recombinant monoclonal antibody?
This product is a recombinant monoclonal antibody, which offers several advantages including:

  • - High batch-to-batch consistency and reproducibility
  • - Improved sensitivity and specificity
  • - Long-term security of supply
  • - Animal-free batch production

For more information, read more on recombinant antibodies.

Properties and storage information

Form
Liquid
Purification technique
Affinity purification Protein A
Storage buffer
Preservative: 0.01% Sodium azide Constituents: PBS, 40% Glycerol (glycerin, glycerine), 0.05% BSA
Shipped at conditions
Blue Ice
Appropriate short-term storage duration
1-2 weeks
Appropriate short-term storage conditions
+4°C
Appropriate long-term storage conditions
-20°C
Aliquoting information
Upon delivery aliquot
Storage information
Avoid freeze / thaw cycle

Supplementary information

This supplementary information is collated from multiple sources and compiled automatically.

The protein Mad2L2 also known as REV7 plays important roles in cellular processes. It has a molecular weight of about 26 kDa and is expressed in various tissues including the testis and placenta. Mad2L2 is an important component of the DNA damage response functioning mainly in the regulation of mitosis and repair of DNA double-strand breaks. It acts as a regulatory subunit and inhibitor of the translesion DNA synthesis (TLS) polymerase complex influencing processes linked to DNA fidelity.
Biological function summary

The protein is important for maintaining genome integrity by participating in the Fanconi anemia (FA) pathway ensuring proper DNA repair. Mad2L2 forms an important part of the homologous recombination repair system and plays a role in the recruitment of additional repair factors. It is often seen as a part of the shieldin complex which works to protect DNA ends during repair. This complex safeguarding allows it to prevent inappropriate activity during the DNA repair process.

Pathways

The involvement of Mad2L2 highlights its critical role in DNA repair mechanisms specifically homologous recombination and non-homologous end joining (NHEJ). It interacts with proteins such as 53BP1 and RIF1 within these pathways to mediate DNA repair. Such interaction is essential for choosing the correct repair pathway based on cellular needs. Mad2L2's function within the pathway guarantees the accurate resolution and repair of DNA lesions.

The protein's relevance underlines its connection to cancer and genetic disorders like Fanconi anemia. Mutations or irregularities in Mad2L2 can contribute to genomic instability leading to cancer development. In particular its interaction with the BRCA1 and BRCA2 proteins is significant; disruptions in these interactions link to increased cancer risk. This connection with tumor suppression pathways makes Mad2L2 an interesting target for therapeutic strategies in oncology.

Product protocols

For this product, it's our understanding that no specific protocols are required. You can visit:

Target data

Adapter protein able to interact with different proteins and involved in different biological processes (PubMed : 11459825, PubMed : 11459826, PubMed : 17296730, PubMed : 17719540, PubMed : 19443654, PubMed : 29656893). Mediates the interaction between the error-prone DNA polymerase zeta catalytic subunit REV3L and the inserter polymerase REV1, thereby mediating the second polymerase switching in translesion DNA synthesis (PubMed : 20164194). Translesion DNA synthesis releases the replication blockade of replicative polymerases, stalled in presence of DNA lesions (PubMed : 20164194). Component of the shieldin complex, which plays an important role in repair of DNA double-stranded breaks (DSBs) (PubMed : 29656893). During G1 and S phase of the cell cycle, the complex functions downstream of TP53BP1 to promote non-homologous end joining (NHEJ) and suppress DNA end resection (PubMed : 29656893). Mediates various NHEJ-dependent processes including immunoglobulin class-switch recombination, and fusion of unprotected telomeres (PubMed : 29656893). May also regulate another aspect of cellular response to DNA damage through regulation of the JNK-mediated phosphorylation and activation of the transcriptional activator ELK1 (PubMed : 17296730). Inhibits the FZR1- and probably CDC20-mediated activation of the anaphase promoting complex APC thereby regulating progression through the cell cycle (PubMed : 11459825, PubMed : 17719540). Regulates TCF7L2-mediated gene transcription and may play a role in epithelial-mesenchymal transdifferentiation (PubMed : 19443654).
See full target information MAD2L2

Publications (33)

Recent publications for all applications. Explore the full list and refine your search

Nucleic acids research 53: PubMed40613708

2025

The inflammasome sensor NLRP3 interacts with REV7 to maintain genome integrity through homologous recombination.

Applications

Unspecified application

Species

Unspecified reactive species

Delphine Burlet,Md Muntaz Khan,Sabine Hacot,Hannes Buthmann,Léa Bardoulet,Anne-Laure Huber,Julie Gorry,Bastian Föhr,Bernard S Lopez,Yohann Couté,Alex C Faesen,Matthias Geyer,Agnès Tissier,Virginie Petrilli

Advanced science (Weinheim, Baden-Wurttemberg, Germany) 11:e2403485 PubMed38803048

2024

USP25 Elevates SHLD2-Mediated DNA Double-Strand Break Repair and Regulates Chemoresponse in Cancer.

Applications

Unspecified application

Species

Unspecified reactive species

Yunhui Li,Lei Li,Xinshu Wang,Fei Zhao,Yuntong Yang,Yujuan Zhou,Jiyuan Zhang,Li Wang,Zeshan Jiang,Yuanyuan Zhang,Yuping Chen,Chenming Wu,Ke Li,Tingting Zhang,Ping Wang,Zhiyong Mao,Weiguo Zhu,Xingzhi Xu,Shikang Liang,Zhenkun Lou,Jian Yuan

Cureus 16:e52542 PubMed38371007

2024

The Immunohistochemical Expression of REV-7 in Various Human Cancer Pathology Specimens: A Systematic Review.

Applications

Unspecified application

Species

Unspecified reactive species

Theodoros Spinos,Dimitrios Goutas,Tatiana S Driva,Eleni Zografos,Charikleia Gakiopoulou,George Agrogiannis,Vasiliki Zolota,Vasiliki Tzelepi,Ioannis Manolis,Efthymios Koniaris,Maria Ioannou,Andreas C Lazaris

Cancer science 115:660-671 PubMed38130032

2023

REV7 is involved in outcomes of platinum-based chemotherapy in pancreatic cancer by controlling the DNA damage response.

Applications

Unspecified application

Species

Unspecified reactive species

Akihiro Tamaki,Takuya Kato,Yasutaka Sakurai,Keita Sato,Kai Adachi,Masayoshi Tadehara,Taro Kogami,Masahiro Matsushita,Akiyoshi Hoshino,Itaru Sanoyama,Yoshiko Numata,Atsuko Umezawa,Masaaki Ichinoe,Masatoshi Ichihara,Chika Kusano,Yoshiki Murakumo

Journal of translational medicine 21:863 PubMed38017538

2023

The promoting effect and mechanism of MAD2L2 on stemness maintenance and malignant progression in glioma.

Applications

Unspecified application

Species

Unspecified reactive species

Zhiyuan Liu,Songtao Wang,Kuo Yu,Kaile Chen,Liang Zhao,Jiayue Zhang,Kexiang Dai,Peng Zhao

International journal of molecular sciences 24: PubMed37958783

2023

REV7 Monomer Is Unable to Participate in Double Strand Break Repair and Translesion Synthesis but Suppresses Mitotic Errors.

Applications

Unspecified application

Species

Unspecified reactive species

Faye M Vassel,Daniel J Laverty,Ke Bian,Cortt G Piett,Michael T Hemann,Graham C Walker,Zachary D Nagel

eLife 12: PubMed37341699

2023

Systematic analysis of the molecular and biophysical properties of key DNA damage response factors.

Applications

Unspecified application

Species

Unspecified reactive species

Joshua R Heyza,Mariia Mikhova,Aastha Bahl,David G Broadbent,Jens C Schmidt

Frontiers in cellular neuroscience 16:956029 PubMed36212696

2022

Conditional deletion of MAD2B in forebrain neurons enhances hippocampus-dependent learning and memory in mice.

Applications

Unspecified application

Species

Unspecified reactive species

Li Cheng,Yanfang Su,Kaining Zhi,Yaru Xie,Chun Zhang,Xianfang Meng

Nature communications 13:5167 PubMed36075897

2022

MAD2L2 promotes replication fork protection and recovery in a shieldin-independent and REV3L-dependent manner.

Applications

Unspecified application

Species

Unspecified reactive species

Inés Paniagua,Zainab Tayeh,Mattia Falcone,Santiago Hernández Pérez,Aurora Cerutti,Jacqueline J L Jacobs

Cell reports 40:111297 PubMed36044844

2022

CHAMP1 binds to REV7/FANCV and promotes homologous recombination repair.

Applications

Unspecified application

Species

Unspecified reactive species

Feng Li,Prabha Sarangi,Divya Ramalingam Iyer,Hanrong Feng,Lisa Moreau,Huy Nguyen,Connor Clairmont,Alan D D'Andrea
View all publications

Product promise

We are committed to supporting your work with high-quality reagents, and we're here for you every step of the way. In the unlikely event that one of our products does not perform as expected, you're protected by our Product Promise.
For full details, please see our Terms & Conditions

Please note: All products are 'FOR RESEARCH USE ONLY. NOT FOR USE IN DIAGNOSTIC OR THERAPEUTIC PROCEDURES'.

For licensing inquiries, please contact partnerships@abcam.com