JavaScript is disabled in your browser. Please enable JavaScript to view this website.
AB214198

Anti-MAdCAM1 antibody

1

(1 Review)

|

(2 Publications)

Rabbit Polyclonal MAdCAM1 antibody. Suitable for IHC-P and reacts with Mouse samples. Cited in 2 publications. Immunogen corresponding to Synthetic Peptide within Human MADCAM1 aa 50-150 conjugated to Keyhole Limpet Haemocyanin.

View Alternative Names

Mucosal addressin cell adhesion molecule 1, MAdCAM-1, hMAdCAM-1, MADCAM1

1 Images
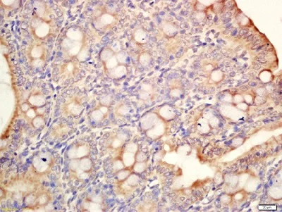
Immunohistochemistry (Formalin/PFA-fixed paraffin-embedded sections) - Anti-MAdCAM1 antibody (AB214198)
  • IHC-P

Supplier Data

Immunohistochemistry (Formalin/PFA-fixed paraffin-embedded sections) - Anti-MAdCAM1 antibody (AB214198)

Immunohistochemical analysis of formalin-fixed and paraffin-embedded mouse intestine tissue labeling MAdCAM1 with ab214198 at 1/200 dilution, followed by conjugation to the secondary antibody and DAB staining.

Key facts

Host species

Rabbit

Clonality

Polyclonal

Isotype

IgG

Carrier free

No

Reacts with

Mouse

Applications

IHC-P

applications

Immunogen

Synthetic Peptide within Human MADCAM1 aa 50-150 conjugated to Keyhole Limpet Haemocyanin. The exact immunogen used to generate this antibody is proprietary information.

Q13477

Reactivity data

{ "title": "Reactivity Data", "filters": { "stats": ["", "Species", "Dilution Info", "Notes"], "tabs": { "all-applications": {"fullname" : "All Applications", "shortname": "All Applications"}, "IHCP" : {"fullname" : "Immunohistochemistry (Formalin/PFA-fixed paraffin-embedded sections)", "shortname":"IHC-P"} }, "product-promise": { "all": "all", "testedAndGuaranteed": "tested", "guaranteed": "expected", "predicted": "predicted", "notRecommended": "not-recommended" } }, "values": { "Human": { "IHCP-species-checked": "predicted", "IHCP-species-dilution-info": "", "IHCP-species-notes": "" }, "Mouse": { "IHCP-species-checked": "testedAndGuaranteed", "IHCP-species-dilution-info": "1/100 - 1/500", "IHCP-species-notes": "<p></p>" }, "Rat": { "IHCP-species-checked": "predicted", "IHCP-species-dilution-info": "", "IHCP-species-notes": "" } } }

Properties and storage information

Form
Liquid
Purification technique
Affinity purification Protein A
Storage buffer
pH: 7.4 Preservative: 0.02% Proclin 300 Constituents: 50% Glycerol (glycerin, glycerine), 48.98% TBS, 1X, 1% BSA
Shipped at conditions
Blue Ice
Appropriate short-term storage duration
1-2 weeks
Appropriate short-term storage conditions
+4°C
Appropriate long-term storage conditions
-20°C
Aliquoting information
Upon delivery aliquot
Storage information
Avoid freeze / thaw cycle

Supplementary information

This supplementary information is collated from multiple sources and compiled automatically.

MAdCAM-1 also known as mucosal addressin cell adhesion molecule 1 or mucosal tag is a protein with a molecular mass of approximately 60 kDa. The MAdCAM-1 protein is expressed prominently on high endothelial venules within mucosal tissues such as the gut and the colon. Additionally it also appears in the endothelial cells of lymphoid tissues. Another name for it is MECA-79 highlighting its recognition by the MECA-79 antibody. Mucosal tags label regions where MAdCAM-1 assists in cell adhesion processes.
Biological function summary

MAdCAM-1 facilitates lymphocyte homing to mucosal tissues. It plays a part in the adhesive interactions between endothelial cells and lymphocytes as a component of the immune surveillance system enabling T cells and B cells to move into areas where they are needed. MAdCAM-1 forms complexes with integrins notably alpha4beta7 which are integral to its adhesion functions. Through its role in guiding lymphocytes it influences immune response and inflammation in mucosal environments.

Pathways

MAdCAM-1 contributes importantly to the trafficking of immune cells. It is involved in the regulation of cell adhesion and migration pathways. The protein interacts extensively with the integrin family especially integrin alpha4beta7 which facilitates lymphocyte entry into the intestinal wall. Additionally it works with chemokine receptors and cytokines that further influence cell movement and homing to specific tissues. This integrative role reinforces its importance in immune response and mucosal immunity.

MAdCAM-1 links closely to inflammatory diseases such as Crohn's disease and ulcerative colitis. Its expression is upregulated in these inflammatory conditions which leads to increased lymphocyte accumulation in the gut. This condition exacerbates the inflammation and tissue damage characteristic of these disorders. MECA-79 a monoclonal antibody targets MAdCAM-1 to aid therapeutic approaches in mitigating inflammation driven by lymphocyte infiltration. Understanding MAdCAM-1 and its function offers potential pathways to target and treat these chronic inflammatory diseases.

Product protocols

For this product, it's our understanding that no specific protocols are required. You can visit:

Target data

Cell adhesion leukocyte receptor expressed by mucosal venules, helps to direct lymphocyte traffic into mucosal tissues including the Peyer patches and the intestinal lamina propria. It can bind both integrin alpha-4/beta-7 and L-selectin, regulating both the passage and retention of leukocytes. Isoform 2, lacking the mucin-like domain, may be specialized in supporting integrin alpha-4/beta-7-dependent adhesion strengthening, independent of L-selectin binding.
See full target information MADCAM1

Publications (2)

Recent publications for all applications. Explore the full list and refine your search

Medicina (Kaunas, Lithuania) 59: PubMed36676712

2022

Effects of the Antioxidant Quercetin in an Experimental Model of Ulcerative Colitis in Mice.

Applications

Unspecified application

Species

Unspecified reactive species

George Kottakis,Katerina Kambouri,Alexandra Giatromanolaki,Georgia Valsami,Nikolaos Kostomitsopoulos,Alexandra Tsaroucha,Michael Pitiakoudis

Frontiers in pharmacology 12:666790 PubMed34220506

2021

Synergic Neuroprotection Between Hort and Borneol Against Ischemic Stroke by Neurogenesis Modulating Reactive Astrogliosis and Maintaining the Blood-Brain Barrier.

Applications

Unspecified application

Species

Unspecified reactive species

Bin Yu,Yao Yao,Xiaofeng Zhang,Ming Ruan,Zhennian Zhang,Li Xu,Tao Liang,Jinfu Lu
View all publications

Product promise

We are committed to supporting your work with high-quality reagents, and we're here for you every step of the way. In the unlikely event that one of our products does not perform as expected, you're protected by our Product Promise.
For full details, please see our Terms & Conditions

Please note: All products are 'FOR RESEARCH USE ONLY. NOT FOR USE IN DIAGNOSTIC OR THERAPEUTIC PROCEDURES'.

For licensing inquiries, please contact partnerships@abcam.com