JavaScript is disabled in your browser. Please enable JavaScript to view this website.
AB309488

Anti-MAdCAM1 antibody [EPR27223-58] - BSA and Azide free

  • BOND RX™ Validated
  • RabMAb
  • Recombinant
  • Advanced Validation
  • What is this?

Be the first to review this product! Submit a review

|

(0 Publication)

Rabbit Recombinant Monoclonal MAdCAM1 antibody. Carrier free. Suitable for ICC/IF, IHC-P, mIHC and reacts with Transfected cell line - Mouse, Mouse, Rat samples.

View Alternative Names

Mucosal addressin cell adhesion molecule 1, MAdCAM-1, mMAdCAM-1, Madcam1

8 Images
Immunocytochemistry/ Immunofluorescence - Anti-MAdCAM1 antibody [EPR27223-58] - BSA and Azide free (AB309488)
  • ICC/IF

Supplier Data

Immunocytochemistry/ Immunofluorescence - Anti-MAdCAM1 antibody [EPR27223-58] - BSA and Azide free (AB309488)

This data was developed using ab309487, the same antibody clone in a different buffer formulation. Immunofluorescent analysis of 4% Paraformaldehyde-fixed, 0.1% TritonX-100 permeabilized 293T (human embryonic kidney epithelial cell) cells labelling MAdCAM1 with ab309487 at 1/50 (10.14 ug/ml) dilution, followed by ab150081 Goat Anti-Rabbit IgG H&L (Alexa Fluor® 488) preadsorbed antibody at 1/1000 2 ug/ml dilution (Green). Confocal image showing cytoplasmic staining in 293T cells transfected with a mouse MADCAM1 expression vector containing a myc tag, but no staining in 293T cells transfected with a human MAdCAM1 expression vector containing a myc tag.Image was taken with a confocal microscope(Leica-Microsystems, TCS SP8). is observed. Myc-Tag Mouse mAb (Alexa Fluor® 647) was used to counterstain tubulin at 1/100 0.38ug/ml dilution (Red). The Nuclear counterstain was DAPI (Blue). Secondary antibody only control : Secondary antibody is ab150081 Goat Anti-Rabbit IgG H&L (Alexa Fluor® 488) preadsorbed at 1/1000 2 ug/ml dilution.

Immunohistochemistry (Formalin/PFA-fixed paraffin-embedded sections) - Anti-MAdCAM1 antibody [EPR27223-58] - BSA and Azide free (AB309488)
  • IHC-P

Supplier Data

Immunohistochemistry (Formalin/PFA-fixed paraffin-embedded sections) - Anti-MAdCAM1 antibody [EPR27223-58] - BSA and Azide free (AB309488)

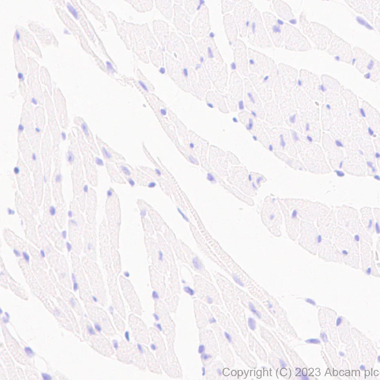
This data was developed using ab309487, the same antibody clone in a different buffer formulation. Immunohistochemical analysis of paraffin-embedded Rat cardiac muscle tissue labeling MAdCAM1 with ab309487 at 1/100 (5.07 ug/ml) followed by a ready to use LeicaDS9800 (Bond™ Polymer Refine Detection). Negative control : No staining on rat cardiac muscle. The section was incubated with ab309487 for 30 mins at room temperature.The immunostaining was performed on a Leica Biosystems BOND® RX instrument Counterstained with Hematoxylin. Secondary antibody only control : Secondary antibody is a ready to use LeicaDS9800 (Bond™ Polymer Refine Detection). Heat mediated antigen retrieval was performed with Tris-EDTA buffer (pH 9.0, Epitope Retrieval Solution2) for 20 mins

Immunohistochemistry (Formalin/PFA-fixed paraffin-embedded sections) - Anti-MAdCAM1 antibody [EPR27223-58] - BSA and Azide free (AB309488)
  • IHC-P

Supplier Data

Immunohistochemistry (Formalin/PFA-fixed paraffin-embedded sections) - Anti-MAdCAM1 antibody [EPR27223-58] - BSA and Azide free (AB309488)

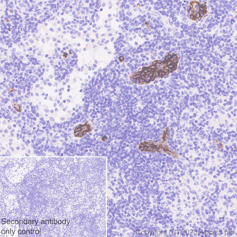
This data was developed using ab309487, the same antibody clone in a different buffer formulation. Immunohistochemical analysis of paraffin-embedded Rat peripheral lymph tissue labeling MAdCAM1 with ab309487 at 1/100 (5.07 ug/ml) followed by a ready to use LeicaDS9800 (Bond™ Polymer Refine Detection). Positive staining on the high endothelial venules of peripheral lymph nodes in rat jejunum. The section was incubated with ab309487 for 30 mins at room temperature.The immunostaining was performed on a Leica Biosystems BOND® RX instrument Counterstained with Hematoxylin. Secondary antibody only control : Secondary antibody is a ready to use LeicaDS9800 (Bond™ Polymer Refine Detection). Heat mediated antigen retrieval was performed with Tris-EDTA buffer (pH 9.0, Epitope Retrieval Solution2) for 20 mins

Immunohistochemistry (Formalin/PFA-fixed paraffin-embedded sections) - Anti-MAdCAM1 antibody [EPR27223-58] - BSA and Azide free (AB309488)
  • IHC-P

Supplier Data

Immunohistochemistry (Formalin/PFA-fixed paraffin-embedded sections) - Anti-MAdCAM1 antibody [EPR27223-58] - BSA and Azide free (AB309488)

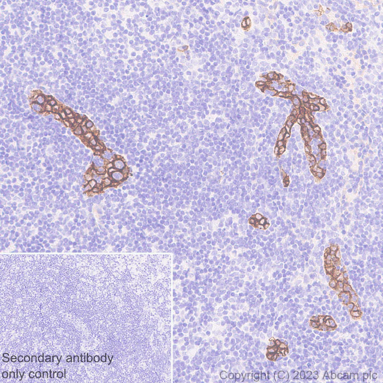
This data was developed using ab309487, the same antibody clone in a different buffer formulation. Immunohistochemical analysis of paraffin-embedded Mouse peripheral lym tissue labeling MAdCAM1 with ab309487 at 1/100 (5.07 ug/ml) followed by a ready to use LeicaDS9800 (Bond™ Polymer Refine Detection). Positive staining on the high endothelial venules of peripheral lymph nodes in mouse jejunum. The section was incubated with ab309487 for 30 mins at room temperature.The immunostaining was performed on a Leica Biosystems BOND® RX instrument Counterstained with Hematoxylin. Secondary antibody only control : Secondary antibody is a ready to use LeicaDS9800 (Bond™ Polymer Refine Detection). Heat mediated antigen retrieval was performed with Tris-EDTA buffer (pH 9.0, Epitope Retrieval Solution2) for 20 mins

Immunocytochemistry/ Immunofluorescence - Anti-MAdCAM1 antibody [EPR27223-58] - BSA and Azide free (AB309488)
  • ICC/IF

Supplier Data

Immunocytochemistry/ Immunofluorescence - Anti-MAdCAM1 antibody [EPR27223-58] - BSA and Azide free (AB309488)

This data was developed using ab309487, the same antibody clone in a different buffer formulation. Immunofluorescent analysis of 4% Paraformaldehyde-fixed, 0.1% TritonX-100 permeabilized bEnd.3 (mouse brain endothelioma endothelialpolyoma middle T antigen transformed) cells labelling MAdCAM1 with ab309487 at 1/50 (10.14 ug/ml) dilution, followed by ab150081 Goat Anti-Rabbit IgG H&L (Alexa Fluor® 488) preadsorbed antibody at 1/1000 2 ug/ml dilution (Green). Confocal image showing membranous staining after the treatment with 20 ng/ml TNF alpha for 24 hours in bEnd.3 cells.Image was taken with a confocal microscope(Leica-Microsystems, TCS SP8). is observed. ab195889 Anti-alpha Tubulin mouse monoclonal antibody - Microtubule Marker (Alexa Fluor® 594) was used to counterstain tubulin at 1/200 2.5ug/ml dilution (Red). The Nuclear counterstain was DAPI (Blue). Secondary antibody only control : Secondary antibody is ab150081 Goat Anti-Rabbit IgG H&L (Alexa Fluor® 488) preadsorbed at 1/1000 2 ug/ml dilution.

Multiplex immunohistochemistry - Anti-MAdCAM1 antibody [EPR27223-58] - BSA and Azide free (AB309488)
  • mIHC

Lab

Multiplex immunohistochemistry - Anti-MAdCAM1 antibody [EPR27223-58] - BSA and Azide free (AB309488)

This data was developed using ab309487, the same antibody clone in a different buffer formulation.

Immunohistochemistry analysis of (Formalin/PFA-fixed paraffin-embedded sections) Rat lymph node tissue labelling MAdCAM1 with ab309487 at 1 : 100 dilution (B), CD3 epsilon with ab237721at 1 : 2000 dilution (C) and CD20 with ab64088 at 1 : 100 dilution (D). Opal Polymer HRP Ms + Rb was used as a secondary antibody, and DAPI was used for a nuclear counter stain. Heat mediated antigen retrieval with Tris-EDTA buffer (pH 9.0, epitope retrieval solution2) for 20 mins.

Panel A : merged staining of anti-MAdCAM (green; Opal™520), anti-CD3 (gray; Opal™690) and anti-CD20 (magenta; Opal™570) on rat lymph node.

Panel B : anti-MAdCAM staining high endothelial venules in rat lymph node.

Panel C : ant-CD3 staining B lymphocytes in rat lymph node.

Panel D : ant-CD20 staining B lymphocytes in rat lymph node.

Nuclear DNA was labeled with DAPI (shown in blue).

The section was incubated in three rounds of staining : in the order of ab309487, ab237721 and ab64088 for 30 mins at room temperature. Each round was followed by a separate fluorescent tyramide signal amplification system.

The immunostaining was performed on a Leica Biosystems BOND® RX instrument with an Opal™ 4-color kit. Image acquisition was performed with Leica SP8 confocal microscope.

Immunohistochemistry (Formalin/PFA-fixed paraffin-embedded sections) - Anti-MAdCAM1 antibody [EPR27223-58] - BSA and Azide free (AB309488)
  • IHC-P

Supplier Data

Immunohistochemistry (Formalin/PFA-fixed paraffin-embedded sections) - Anti-MAdCAM1 antibody [EPR27223-58] - BSA and Azide free (AB309488)

This data was developed using ab309487, the same antibody clone in a different buffer formulation. Immunohistochemical analysis of paraffin-embedded Mouse cardiac muscle tissue labeling MAdCAM1 with ab309487 at 1/100 (5.07 ug/ml) followed by a ready to use LeicaDS9800 (Bond™ Polymer Refine Detection). Negative control : No staining on mouse cardiac muscle. The section was incubated with ab309487 for 30 mins at room temperature.The immunostaining was performed on a Leica Biosystems BOND® RX instrument Counterstained with Hematoxylin. Secondary antibody only control : Secondary antibody is a ready to use LeicaDS9800 (Bond™ Polymer Refine Detection). Heat mediated antigen retrieval was performed with Tris-EDTA buffer (pH 9.0, Epitope Retrieval Solution2) for 20 mins

Multiplex immunohistochemistry - Anti-MAdCAM1 antibody [EPR27223-58] - BSA and Azide free (AB309488)
  • mIHC

Lab

Multiplex immunohistochemistry - Anti-MAdCAM1 antibody [EPR27223-58] - BSA and Azide free (AB309488)

This data was developed using ab309487, the same antibody clone in a different buffer formulation.

Immunohistochemistry analysis of (Formalin/PFA-fixed paraffin-embedded sections) Mouse lymph node tissue labelling MAdCAM1 with ab309487 at 1 : 100 dilution (B), CD3 epsilon with ab237721at 1 : 2000 dilution (C) and CD20 with ab64088 at 1 : 100 dilution (D). Opal Polymer HRP Ms + Rb was used as a secondary antibody, and DAPI was used for a nuclear counter stain. Heat mediated antigen retrieval with Tris-EDTA buffer (pH 9.0, epitope retrieval solution2) for 20 mins.

Panel A : merged staining of anti-MAdCAM (green; Opal™520), anti-CD3 (gray; Opal™690) and anti-CD20 (magenta; Opal™570) on mouse lymph node.

Panel B : anti-MAdCAM staining high endothelial venules in mouse lymph node.

Panel C : ant-CD3 staining B lymphocytes in mouse lymph node.

Panel D : ant-CD20 staining B lymphocytes in mouse lymph node.

Nuclear DNA was labeled with DAPI (shown in blue).

The section was incubated in three rounds of staining : in the order of ab309487, ab237721 and ab64088 for 30 mins at room temperature. Each round was followed by a separate fluorescent tyramide signal amplification system.

The immunostaining was performed on a Leica Biosystems BOND® RX instrument with an Opal™ 4-color kit. Image acquisition was performed with Leica SP8 confocal microscope.

Key facts

Host species

Rabbit

Clonality

Monoclonal

Clone number

EPR27223-58

Isotype

IgG

Carrier free

Yes

Reacts with

Rat, Mouse

Applications

mIHC, IHC-P, ICC/IF

applications

Immunogen

The exact immunogen used to generate this antibody is proprietary information.

Reactivity data

{ "title": "Reactivity Data", "filters": { "stats": ["", "Species", "Dilution Info", "Notes"], "tabs": { "all-applications": {"fullname" : "All Applications", "shortname": "All Applications"}, "ICCIF" : {"fullname" : "Immunocytochemistry/ Immunofluorescence", "shortname":"ICC/IF"}, "IHCP" : {"fullname" : "Immunohistochemistry (Formalin/PFA-fixed paraffin-embedded sections)", "shortname":"IHC-P"}, "FlowCyt" : {"fullname" : "Flow Cytometry", "shortname":"Flow Cyt"}, "IP" : {"fullname" : "Immunoprecipitation", "shortname":"IP"}, "mIHC" : {"fullname" : "Multiplex immunohistochemistry", "shortname":"mIHC"} }, "product-promise": { "all": "all", "testedAndGuaranteed": "tested", "guaranteed": "expected", "predicted": "predicted", "notRecommended": "not-recommended" } }, "values": { "Human": { "ICCIF-species-checked": "notRecommended", "ICCIF-species-dilution-info": "", "ICCIF-species-notes": "", "IHCP-species-checked": "notRecommended", "IHCP-species-dilution-info": "", "IHCP-species-notes": "<p></p>", "FlowCyt-species-checked": "notRecommended", "FlowCyt-species-dilution-info": "", "FlowCyt-species-notes": "", "IP-species-checked": "notRecommended", "IP-species-dilution-info": "", "IP-species-notes": "", "mIHC-species-checked": "notRecommended", "mIHC-species-dilution-info": "", "mIHC-species-notes": "" }, "Mouse": { "ICCIF-species-checked": "testedAndGuaranteed", "ICCIF-species-dilution-info": "", "ICCIF-species-notes": "<p></p>", "IHCP-species-checked": "testedAndGuaranteed", "IHCP-species-dilution-info": "", "IHCP-species-notes": "<p></p>", "FlowCyt-species-checked": "notRecommended", "FlowCyt-species-dilution-info": "", "FlowCyt-species-notes": "<p></p>", "IP-species-checked": "notRecommended", "IP-species-dilution-info": "", "IP-species-notes": "<p></p>", "mIHC-species-checked": "testedAndGuaranteed", "mIHC-species-dilution-info": "", "mIHC-species-notes": "<p></p>" }, "Rat": { "ICCIF-species-checked": "guaranteed", "ICCIF-species-dilution-info": "", "ICCIF-species-notes": "", "IHCP-species-checked": "testedAndGuaranteed", "IHCP-species-dilution-info": "", "IHCP-species-notes": "<p></p>", "FlowCyt-species-checked": "notRecommended", "FlowCyt-species-dilution-info": "", "FlowCyt-species-notes": "", "IP-species-checked": "notRecommended", "IP-species-dilution-info": "", "IP-species-notes": "", "mIHC-species-checked": "testedAndGuaranteed", "mIHC-species-dilution-info": "", "mIHC-species-notes": "<p></p>" }, "Transfected cell line - Mouse": { "ICCIF-species-checked": "testedAndGuaranteed", "ICCIF-species-dilution-info": "", "ICCIF-species-notes": "<p></p>", "IHCP-species-checked": "notRecommended", "IHCP-species-dilution-info": "", "IHCP-species-notes": "", "FlowCyt-species-checked": "notRecommended", "FlowCyt-species-dilution-info": "", "FlowCyt-species-notes": "", "IP-species-checked": "notRecommended", "IP-species-dilution-info": "", "IP-species-notes": "", "mIHC-species-checked": "notRecommended", "mIHC-species-dilution-info": "", "mIHC-species-notes": "" } } }

Product details

Patented technology
Our RabMAb® technology is a patented hybridoma-based technology for making rabbit monoclonal antibodies. For details on our patents, please refer to RabMAb® patents.

What are the advantages of a recombinant monoclonal antibody?
This product is a recombinant monoclonal antibody, which offers several advantages including:

  • - High batch-to-batch consistency and reproducibility
  • - Improved sensitivity and specificity
  • - Long-term security of supply
  • - Animal-free batch production

For more information, read more on recombinant antibodies.

Conjugation ready
Our carrier-free antibodies are typically supplied in a PBS-only formulation, purified and free of BSA, sodium azide and glycerol. This conjugation-ready format is designed for use with fluorochromes, metal isotopes, oligonucleotides, and enzymes, which makes them ideal for antibody labelling, functional and cell-based assays, flow-based assays (e.g. mass cytometry) and Multiplex Imaging applications.

Use our conjugation kits for antibody conjugates that are ready-to-use in as little as 20 minutes with 1 minute hands-on-time and 100% antibody recovery: available for fluorescent dyes, HRP, biotin and gold.

Compatibility
This product is compatible with the Maxpar® Antibody Labeling Kit from Fluidigm, without the need for antibody preparation. Maxpar® is a trademark of Fluidigm Canada Inc.

Properties and storage information

Form
Liquid
Purification technique
Affinity purification Protein A
Storage buffer
pH: 7.2 - 7.4 Constituents: PBS
Shipped at conditions
Blue Ice
Appropriate short-term storage conditions
+4°C
Appropriate long-term storage conditions
+4°C

Supplementary information

This supplementary information is collated from multiple sources and compiled automatically.

MAdCAM-1 also known as mucosal addressin cell adhesion molecule 1 or mucosal tag is a protein with a molecular mass of approximately 60 kDa. The MAdCAM-1 protein is expressed prominently on high endothelial venules within mucosal tissues such as the gut and the colon. Additionally it also appears in the endothelial cells of lymphoid tissues. Another name for it is MECA-79 highlighting its recognition by the MECA-79 antibody. Mucosal tags label regions where MAdCAM-1 assists in cell adhesion processes.
Biological function summary

MAdCAM-1 facilitates lymphocyte homing to mucosal tissues. It plays a part in the adhesive interactions between endothelial cells and lymphocytes as a component of the immune surveillance system enabling T cells and B cells to move into areas where they are needed. MAdCAM-1 forms complexes with integrins notably alpha4beta7 which are integral to its adhesion functions. Through its role in guiding lymphocytes it influences immune response and inflammation in mucosal environments.

Pathways

MAdCAM-1 contributes importantly to the trafficking of immune cells. It is involved in the regulation of cell adhesion and migration pathways. The protein interacts extensively with the integrin family especially integrin alpha4beta7 which facilitates lymphocyte entry into the intestinal wall. Additionally it works with chemokine receptors and cytokines that further influence cell movement and homing to specific tissues. This integrative role reinforces its importance in immune response and mucosal immunity.

MAdCAM-1 links closely to inflammatory diseases such as Crohn's disease and ulcerative colitis. Its expression is upregulated in these inflammatory conditions which leads to increased lymphocyte accumulation in the gut. This condition exacerbates the inflammation and tissue damage characteristic of these disorders. MECA-79 a monoclonal antibody targets MAdCAM-1 to aid therapeutic approaches in mitigating inflammation driven by lymphocyte infiltration. Understanding MAdCAM-1 and its function offers potential pathways to target and treat these chronic inflammatory diseases.

Product protocols

For this product, it's our understanding that no specific protocols are required. You can visit:

Target data

Cell adhesion leukocyte receptor expressed by mucosal venules, helps to direct lymphocyte traffic into mucosal tissues including the Peyer patches and the intestinal lamina propria. It can bind both the integrin alpha-4/beta-7 and L-selectin, regulating both the passage and retention of leukocytes. Both isoform 1 and isoform 2 can adhere to integrin alpha-4/beta-7. Isoform 2, lacking the mucin-like domain, may be specialized in supporting integrin alpha-4/beta-7-dependent adhesion strengthening, independent of L-selectin binding.
See full target information Madcam1

Product promise

We are committed to supporting your work with high-quality reagents, and we're here for you every step of the way. In the unlikely event that one of our products does not perform as expected, you're protected by our Product Promise.
For full details, please see our Terms & Conditions

Please note: All products are 'FOR RESEARCH USE ONLY. NOT FOR USE IN DIAGNOSTIC OR THERAPEUTIC PROCEDURES'.

For licensing inquiries, please contact partnerships@abcam.com