JavaScript is disabled in your browser. Please enable JavaScript to view this website.
AB307827

Anti-MAdCAM1 antibody [EPR27223-77]

  • BOND RX™ Validated
  • 20ul selling size
  • RabMAb
  • Recombinant
  • What is this?

Be the first to review this product! Submit a review

|

(0 Publication)

Rabbit Recombinant Monoclonal MAdCAM1 antibody. Suitable for WB, IHC-P, IP and reacts with Mouse samples.

View Alternative Names

Mucosal addressin cell adhesion molecule 1, MAdCAM-1, mMAdCAM-1, Madcam1

5 Images
Immunohistochemistry (Formalin/PFA-fixed paraffin-embedded sections) - Anti-MAdCAM1 antibody [EPR27223-77] (AB307827)
  • IHC-P

Supplier Data

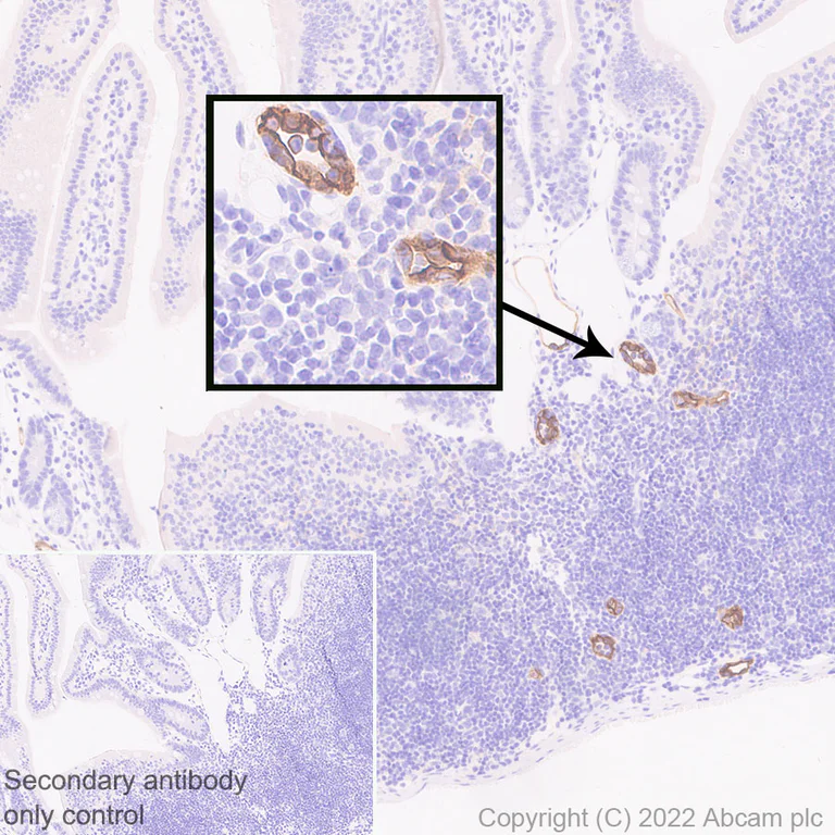
Immunohistochemistry (Formalin/PFA-fixed paraffin-embedded sections) - Anti-MAdCAM1 antibody [EPR27223-77] (AB307827)

Immunohistochemical analysis of paraffin-embedded mouse jejunum tissue labeling MAdCAM1 with ab307827 at 1/500 dilution (1.084 ug/ml) followed by ready to use LeicaDS9800 (Bond® Polymer Refine Detection). Positive staining on the high endothelial venules of peripheral lymph nodes in mouse jejunum. The section was incubated with ab307827 for 30 mins at room temperature. The immunostaining was performed on a Leica Biosystems BOND® RX instrument. Counterstained with Hematoxylin. Secondary antibody only control : Secondary antibody is ready to use LeicaDS9800 (Bond® Polymer Refine Detection). Heat mediated antigen retrieval was performed with Tris-EDTA buffer (pH 9.0, Epitope Retrieval Solution2) for 20 mins.

Immunohistochemistry (Formalin/PFA-fixed paraffin-embedded sections) - Anti-MAdCAM1 antibody [EPR27223-77] (AB307827)
  • IHC-P

Supplier Data

Immunohistochemistry (Formalin/PFA-fixed paraffin-embedded sections) - Anti-MAdCAM1 antibody [EPR27223-77] (AB307827)

Immunohistochemical analysis of paraffin-embedded mouse cardiac muscle tissue labeling MAdCAM1 with ab307827 at 1/500 dilution (1.084 ug/ml) followed by ready to use LeicaDS9800 (Bond® Polymer Refine Detection). Negative control : No staining on mouse cardiac muscle. The section was incubated with ab307827 for 30 mins at room temperature. The immunostaining was performed on a Leica Biosystems BOND® RX instrument. Counterstained with Hematoxylin. Secondary antibody only control : Secondary antibody is ready to use LeicaDS9800 (Bond® Polymer Refine Detection). Heat mediated antigen retrieval was performed with Tris-EDTA buffer (pH 9.0, Epitope Retrieval Solution2) for 20 mins.

Immunoprecipitation - Anti-MAdCAM1 antibody [EPR27223-77] (AB307827)
  • IP

Supplier Data

Immunoprecipitation - Anti-MAdCAM1 antibody [EPR27223-77] (AB307827)

MAdCAM1 was immunoprecipitated from 0.35 mg mouse colon tissue lysate 10 ug with ab307827 at 1/30 dilution (2ug in 0.35mg lysates). Western blot was performed on the immunoprecipitate using ab307827 at 1/1000 dilution. VeriBlot for IP secondary antibody(HRP)(ab131366) was used at 1/5000 dilution. Lane 1 : mouse colon tissue lysate 10 ug Lane 2 : ab307827 IP in mouse colon tissue lysate Lane 3 : Rabbit monoclonal IgG (ab172730) instead of ab307827 in mouse colon tissue lysate Blocking and dilution buffer and concentration : 5% NFDM/TBST. Exposure time : 180 seconds.

All lanes:

Immunoprecipitation - Anti-MAdCAM1 antibody [EPR27223-77] (ab307827) at 1/30 dilution

All lanes:

ab307827 IP in mouse colon tissue lysate at 10 µg

Secondary

All lanes:

Immunoprecipitation - VeriBlot for IP Detection Reagent (HRP) (<a href='/en-us/products/reagents/veriblot-for-ip-detection-reagent-hrp-ab131366'>ab131366</a>) at 1/5000 dilution

false

Exposure time: 180s

Western blot - Anti-MAdCAM1 antibody [EPR27223-77] (AB307827)
  • WB

Supplier Data

Western blot - Anti-MAdCAM1 antibody [EPR27223-77] (AB307827)

This antibody does not cross-react with human MAdCAM1. In Western blot, anti-His antibody (ab213204) staining at 1/5000 dilution, anti-GAPDH antibody (ab181602) loading control staining at 1/200, 000 dilution. Blocking/Dilution buffer : 5% NFDM/TBST.

All lanes:

Western blot - Anti-MAdCAM1 antibody [EPR27223-77] (ab307827) at 1/1000 dilution

Lane 1:

HEK-293 transfected with an empty vector (vector control), containing a myc-His-tag® whole cell lysate at 20 µg

Lane 2:

HEK-293 transfected with a human MAdCAM1 (WT) expression vector containing a myc-His-tag® whole cell lysate at 20 µg

Lane 3:

HEK-293 transfected with a mouse MAdCAM1 (WT) expression vector containing a myc-His-tag® whole cell lysate at 20 µg

Predicted band size: 40 kDa

Observed band size: 60 kDa

false

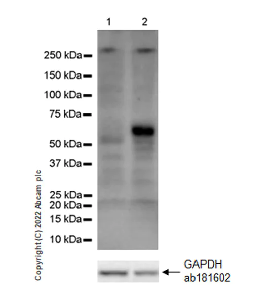
Western blot - Anti-MAdCAM1 antibody [EPR27223-77] (AB307827)
  • WB

Supplier Data

Western blot - Anti-MAdCAM1 antibody [EPR27223-77] (AB307827)

Blocking and diluting buffer and concentration : 5% NFDM/TBST.

This blot was developed using a high sensitivity ECL substrate. The high-sensitivity ECL substrate used allows for the detection of proteins in the mid-femtogram range.

In Western blot, anti-GAPDH antibody (ab181602) loading control staining at 1/200000 dilution.

All lanes:

Western blot - Anti-MAdCAM1 antibody [EPR27223-77] (ab307827) at 1/1000 dilution

Lane 1:

Untreated bEnd.3 whole cell lysate at 20 µg

Lane 2:

TNF alpha treated bEnd.3 whole cell lysate at 20 µg

Secondary

All lanes:

Western blot - Goat Anti-Rabbit IgG H&L (HRP) (<a href='/en-us/products/secondary-antibodies/goat-rabbit-igg-h-l-hrp-ab97051'>ab97051</a>) at 1/100000 dilution

Predicted band size: 40 kDa

Observed band size: 60 kDa

true

  • Carrier free

    Anti-MAdCAM1 antibody [EPR27223-77] - BSA and Azide free

Key facts

Host species

Rabbit

Clonality

Monoclonal

Clone number

EPR27223-77

Isotype

IgG

Carrier free

No

Reacts with

Mouse

Applications

IHC-P, IP, WB

applications

Immunogen

The exact immunogen used to generate this antibody is proprietary information.

Reactivity data

{ "title": "Reactivity Data", "filters": { "stats": ["", "Species", "Dilution Info", "Notes"], "tabs": { "all-applications": {"fullname" : "All Applications", "shortname": "All Applications"}, "WB" : {"fullname" : "Western blot", "shortname":"WB"}, "IHCP" : {"fullname" : "Immunohistochemistry (Formalin/PFA-fixed paraffin-embedded sections)", "shortname":"IHC-P"}, "IP" : {"fullname" : "Immunoprecipitation", "shortname":"IP"}, "ICCIF" : {"fullname" : "Immunocytochemistry/ Immunofluorescence", "shortname":"ICC/IF"}, "FlowCyt" : {"fullname" : "Flow Cytometry", "shortname":"Flow Cyt"} }, "product-promise": { "all": "all", "testedAndGuaranteed": "tested", "guaranteed": "expected", "predicted": "predicted", "notRecommended": "not-recommended" } }, "values": { "Human": { "WB-species-checked": "notRecommended", "WB-species-dilution-info": "1/1000", "WB-species-notes": "<p></p>", "IHCP-species-checked": "notRecommended", "IHCP-species-dilution-info": "1/500", "IHCP-species-notes": "<p></p> Perform heat-mediated antigen retrieval with Tris/EDTA buffer pH 9.0 before commencing with IHC staining protocol.", "IP-species-checked": "notRecommended", "IP-species-dilution-info": "", "IP-species-notes": "", "ICCIF-species-checked": "notRecommended", "ICCIF-species-dilution-info": "", "ICCIF-species-notes": "", "FlowCyt-species-checked": "notRecommended", "FlowCyt-species-dilution-info": "", "FlowCyt-species-notes": "" }, "Mouse": { "WB-species-checked": "testedAndGuaranteed", "WB-species-dilution-info": "1/1000", "WB-species-notes": "<p></p>", "IHCP-species-checked": "testedAndGuaranteed", "IHCP-species-dilution-info": "1/500", "IHCP-species-notes": "<p></p> Perform heat-mediated antigen retrieval with Tris/EDTA buffer pH 9.0 before commencing with IHC staining protocol.", "IP-species-checked": "testedAndGuaranteed", "IP-species-dilution-info": "1/30", "IP-species-notes": "<p></p>", "ICCIF-species-checked": "notRecommended", "ICCIF-species-dilution-info": "", "ICCIF-species-notes": "<p></p>", "FlowCyt-species-checked": "notRecommended", "FlowCyt-species-dilution-info": "", "FlowCyt-species-notes": "<p></p>" }, "Rat": { "WB-species-checked": "notRecommended", "WB-species-dilution-info": "1/1000", "WB-species-notes": "<p></p>", "IHCP-species-checked": "notRecommended", "IHCP-species-dilution-info": "1/500", "IHCP-species-notes": "<p></p> Perform heat-mediated antigen retrieval with Tris/EDTA buffer pH 9.0 before commencing with IHC staining protocol.", "IP-species-checked": "notRecommended", "IP-species-dilution-info": "", "IP-species-notes": "", "ICCIF-species-checked": "notRecommended", "ICCIF-species-dilution-info": "", "ICCIF-species-notes": "", "FlowCyt-species-checked": "notRecommended", "FlowCyt-species-dilution-info": "", "FlowCyt-species-notes": "" } } }

Product details

Patented technology
Our RabMAb® technology is a patented hybridoma-based technology for making rabbit monoclonal antibodies. For details on our patents, please refer to RabMAb® patents.

What are the advantages of a recombinant monoclonal antibody?
This product is a recombinant monoclonal antibody, which offers several advantages including:

  • - High batch-to-batch consistency and reproducibility
  • - Improved sensitivity and specificity
  • - Long-term security of supply
  • - Animal-free batch production

For more information, read more on recombinant antibodies.

Properties and storage information

Form
Liquid
Purification technique
Affinity purification Protein A
Storage buffer
pH: 7.2 - 7.4 Preservative: 0.01% Sodium azide Constituents: PBS, 40% Glycerol (glycerin, glycerine), 0.05% BSA
Shipped at conditions
Blue Ice
Appropriate short-term storage duration
1-2 weeks
Appropriate short-term storage conditions
+4°C
Appropriate long-term storage conditions
-20°C
Aliquoting information
Upon delivery aliquot
Storage information
Avoid freeze / thaw cycle

Supplementary information

This supplementary information is collated from multiple sources and compiled automatically.

MAdCAM-1 also known as mucosal addressin cell adhesion molecule 1 or mucosal tag is a protein with a molecular mass of approximately 60 kDa. The MAdCAM-1 protein is expressed prominently on high endothelial venules within mucosal tissues such as the gut and the colon. Additionally it also appears in the endothelial cells of lymphoid tissues. Another name for it is MECA-79 highlighting its recognition by the MECA-79 antibody. Mucosal tags label regions where MAdCAM-1 assists in cell adhesion processes.
Biological function summary

MAdCAM-1 facilitates lymphocyte homing to mucosal tissues. It plays a part in the adhesive interactions between endothelial cells and lymphocytes as a component of the immune surveillance system enabling T cells and B cells to move into areas where they are needed. MAdCAM-1 forms complexes with integrins notably alpha4beta7 which are integral to its adhesion functions. Through its role in guiding lymphocytes it influences immune response and inflammation in mucosal environments.

Pathways

MAdCAM-1 contributes importantly to the trafficking of immune cells. It is involved in the regulation of cell adhesion and migration pathways. The protein interacts extensively with the integrin family especially integrin alpha4beta7 which facilitates lymphocyte entry into the intestinal wall. Additionally it works with chemokine receptors and cytokines that further influence cell movement and homing to specific tissues. This integrative role reinforces its importance in immune response and mucosal immunity.

MAdCAM-1 links closely to inflammatory diseases such as Crohn's disease and ulcerative colitis. Its expression is upregulated in these inflammatory conditions which leads to increased lymphocyte accumulation in the gut. This condition exacerbates the inflammation and tissue damage characteristic of these disorders. MECA-79 a monoclonal antibody targets MAdCAM-1 to aid therapeutic approaches in mitigating inflammation driven by lymphocyte infiltration. Understanding MAdCAM-1 and its function offers potential pathways to target and treat these chronic inflammatory diseases.

Product protocols

For this product, it's our understanding that no specific protocols are required. You can visit:

Target data

Cell adhesion leukocyte receptor expressed by mucosal venules, helps to direct lymphocyte traffic into mucosal tissues including the Peyer patches and the intestinal lamina propria. It can bind both the integrin alpha-4/beta-7 and L-selectin, regulating both the passage and retention of leukocytes. Both isoform 1 and isoform 2 can adhere to integrin alpha-4/beta-7. Isoform 2, lacking the mucin-like domain, may be specialized in supporting integrin alpha-4/beta-7-dependent adhesion strengthening, independent of L-selectin binding.
See full target information Madcam1

Product promise

We are committed to supporting your work with high-quality reagents, and we're here for you every step of the way. In the unlikely event that one of our products does not perform as expected, you're protected by our Product Promise.
For full details, please see our Terms & Conditions

Please note: All products are 'FOR RESEARCH USE ONLY. NOT FOR USE IN DIAGNOSTIC OR THERAPEUTIC PROCEDURES'.

For licensing inquiries, please contact partnerships@abcam.com