JavaScript is disabled in your browser. Please enable JavaScript to view this website.
AB254539

Anti-MAdCAM1 antibody [MECA-367]

Be the first to review this product! Submit a review

|

(3 Publications)

Rat Recombinant Monoclonal MAdCAM1 antibody. Suitable for IHC-P and reacts with Mouse samples. Cited in 3 publications.

View Alternative Names

Mucosal addressin cell adhesion molecule 1, MAdCAM-1, mMAdCAM-1, Madcam1

1 Images
Immunohistochemistry (Formalin/PFA-fixed paraffin-embedded sections) - Anti-MAdCAM1 antibody [MECA-367] (AB254539)
  • IHC-P

Unknown

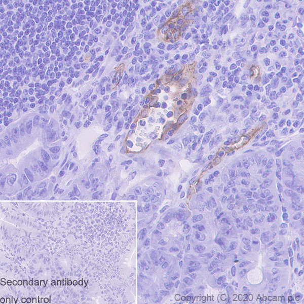
Immunohistochemistry (Formalin/PFA-fixed paraffin-embedded sections) - Anti-MAdCAM1 antibody [MECA-367] (AB254539)

Immunohistochemical analysis of paraffin-embedded mouse small intestine tissue labeling MAdCAM1 with ab254539 at 1/100 dilution followed by a ready to use Goat Anti-Rat IgG H&L (HRP polymer) (ab214882). Positive staining on the vessels in mouse small intestine. Counterstained with Hematoxylin.

Secondary antibody only control : Secondary antibody is a ready to use Goat Anti-Rat IgG H&L (HRP polymer) (ab214882).

Heat mediated antigen retrieval using ab93684 (Tris/EDTA buffer, pH 9.0).

Key facts

Host species

Rat

Clonality

Monoclonal

Clone number

MECA-367

Isotype

IgG2a

Carrier free

No

Reacts with

Mouse

Applications

IHC-P

applications

Immunogen

The exact immunogen used to generate this antibody is proprietary information.

Reactivity data

{ "title": "Reactivity Data", "filters": { "stats": ["", "Species", "Dilution Info", "Notes"], "tabs": { "all-applications": {"fullname" : "All Applications", "shortname": "All Applications"}, "FlowCyt" : {"fullname" : "Flow Cytometry", "shortname":"Flow Cyt"}, "IHCP" : {"fullname" : "Immunohistochemistry (Formalin/PFA-fixed paraffin-embedded sections)", "shortname":"IHC-P"} }, "product-promise": { "all": "all", "testedAndGuaranteed": "tested", "guaranteed": "expected", "predicted": "predicted", "notRecommended": "not-recommended" } }, "values": { "Human": { "FlowCyt-species-checked": "notRecommended", "FlowCyt-species-dilution-info": "", "FlowCyt-species-notes": "", "IHCP-species-checked": "notRecommended", "IHCP-species-dilution-info": "1/100", "IHCP-species-notes": "<p></p>" }, "Mouse": { "FlowCyt-species-checked": "notRecommended", "FlowCyt-species-dilution-info": "", "FlowCyt-species-notes": "<p></p>", "IHCP-species-checked": "testedAndGuaranteed", "IHCP-species-dilution-info": "1/100", "IHCP-species-notes": "<p></p>" }, "Rat": { "FlowCyt-species-checked": "notRecommended", "FlowCyt-species-dilution-info": "", "FlowCyt-species-notes": "", "IHCP-species-checked": "notRecommended", "IHCP-species-dilution-info": "1/100", "IHCP-species-notes": "<p></p>" } } }

Product details

What are the advantages of a recombinant monoclonal antibody?
This product is a recombinant monoclonal antibody, which offers several advantages including:

  • - High batch-to-batch consistency and reproducibility
  • - Improved sensitivity and specificity
  • - Long-term security of supply
  • - Animal-free batch production

For more information, read more on recombinant antibodies.

Want a custom formulation?
This antibody clone is manufactured by Abcam. If you require a custom buffer formulation or conjugation for your experiments, please contact orders@abcam.com

Properties and storage information

Form
Liquid
Purification technique
Affinity purification Protein A
Storage buffer
pH: 7.2 - 7.4 Preservative: 0.01% Sodium azide Constituents: PBS, 40% Glycerol (glycerin, glycerine), 0.05% BSA
Shipped at conditions
Blue Ice
Appropriate short-term storage duration
1-2 weeks
Appropriate short-term storage conditions
+4°C
Appropriate long-term storage conditions
-20°C
Aliquoting information
Upon delivery aliquot
Storage information
Avoid freeze / thaw cycle

Supplementary information

This supplementary information is collated from multiple sources and compiled automatically.

MAdCAM-1 also known as mucosal addressin cell adhesion molecule 1 or mucosal tag is a protein with a molecular mass of approximately 60 kDa. The MAdCAM-1 protein is expressed prominently on high endothelial venules within mucosal tissues such as the gut and the colon. Additionally it also appears in the endothelial cells of lymphoid tissues. Another name for it is MECA-79 highlighting its recognition by the MECA-79 antibody. Mucosal tags label regions where MAdCAM-1 assists in cell adhesion processes.
Biological function summary

MAdCAM-1 facilitates lymphocyte homing to mucosal tissues. It plays a part in the adhesive interactions between endothelial cells and lymphocytes as a component of the immune surveillance system enabling T cells and B cells to move into areas where they are needed. MAdCAM-1 forms complexes with integrins notably alpha4beta7 which are integral to its adhesion functions. Through its role in guiding lymphocytes it influences immune response and inflammation in mucosal environments.

Pathways

MAdCAM-1 contributes importantly to the trafficking of immune cells. It is involved in the regulation of cell adhesion and migration pathways. The protein interacts extensively with the integrin family especially integrin alpha4beta7 which facilitates lymphocyte entry into the intestinal wall. Additionally it works with chemokine receptors and cytokines that further influence cell movement and homing to specific tissues. This integrative role reinforces its importance in immune response and mucosal immunity.

MAdCAM-1 links closely to inflammatory diseases such as Crohn's disease and ulcerative colitis. Its expression is upregulated in these inflammatory conditions which leads to increased lymphocyte accumulation in the gut. This condition exacerbates the inflammation and tissue damage characteristic of these disorders. MECA-79 a monoclonal antibody targets MAdCAM-1 to aid therapeutic approaches in mitigating inflammation driven by lymphocyte infiltration. Understanding MAdCAM-1 and its function offers potential pathways to target and treat these chronic inflammatory diseases.

Product protocols

For this product, it's our understanding that no specific protocols are required. You can visit:

Target data

Cell adhesion leukocyte receptor expressed by mucosal venules, helps to direct lymphocyte traffic into mucosal tissues including the Peyer patches and the intestinal lamina propria. It can bind both the integrin alpha-4/beta-7 and L-selectin, regulating both the passage and retention of leukocytes. Both isoform 1 and isoform 2 can adhere to integrin alpha-4/beta-7. Isoform 2, lacking the mucin-like domain, may be specialized in supporting integrin alpha-4/beta-7-dependent adhesion strengthening, independent of L-selectin binding.
See full target information Madcam1

Publications (3)

Recent publications for all applications. Explore the full list and refine your search

Journal of immunology (Baltimore, Md. : 1950) 158:2099-106 PubMed9036954

1997

Monoclonal antibodies specific for beta 7 integrin and mucosal addressin cell adhesion molecule-1 (MAdCAM-1) reduce inflammation in the colon of scid mice reconstituted with CD45RBhigh CD4+ T cells.

Applications

Unspecified application

Species

Unspecified reactive species

D Picarella,P Hurlbut,J Rottman,X Shi,E Butcher,D J Ringler

Nature 366:695-8 PubMed7505053

1993

L-selectin-mediated lymphocyte rolling on MAdCAM-1.

Applications

Unspecified application

Species

Unspecified reactive species

E L Berg,L M McEvoy,C Berlin,R F Bargatze,E C Butcher

Cell 74:185-95 PubMed7687523

1993

Alpha 4 beta 7 integrin mediates lymphocyte binding to the mucosal vascular addressin MAdCAM-1.

Applications

Unspecified application

Species

Unspecified reactive species

C Berlin,E L Berg,M J Briskin,D P Andrew,P J Kilshaw,B Holzmann,I L Weissman,A Hamann,E C Butcher
View all publications

Product promise

We are committed to supporting your work with high-quality reagents, and we're here for you every step of the way. In the unlikely event that one of our products does not perform as expected, you're protected by our Product Promise.
For full details, please see our Terms & Conditions

Please note: All products are 'FOR RESEARCH USE ONLY. NOT FOR USE IN DIAGNOSTIC OR THERAPEUTIC PROCEDURES'.

For licensing inquiries, please contact partnerships@abcam.com