JavaScript is disabled in your browser. Please enable JavaScript to view this website.
AB85008

Anti-MAFA antibody

4

(1 Review)

|

(1 Publication)

Rabbit Polyclonal MAFA antibody. Suitable for IHC-P and reacts with Mouse samples. Cited in 1 publication. Immunogen corresponding to Synthetic Peptide within Mouse Mafa aa 300 to C-terminus.

View Alternative Names

Transcription factor MafA, Pancreatic beta-cell-specific transcriptional activator, V-maf musculoaponeurotic fibrosarcoma oncogene homolog A, Mafa

1 Images
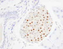
Immunohistochemistry (Formalin/PFA-fixed paraffin-embedded sections) - Anti-MAFA antibody (AB85008)
  • IHC-P

Unknown

Immunohistochemistry (Formalin/PFA-fixed paraffin-embedded sections) - Anti-MAFA antibody (AB85008)

ab85008 at 1/250 dilution staining MafA in mouse pancreatic islet by Immunohistochemistry, Formalin-fixed, Paraffin-embedded tissue. Detection : DAB staining.

Key facts

Host species

Rabbit

Clonality

Polyclonal

Isotype

IgG

Carrier free

No

Reacts with

Mouse

Applications

IHC-P

applications

Immunogen

Synthetic Peptide within Mouse Mafa aa 300 to C-terminus. The exact immunogen used to generate this antibody is proprietary information.

Q8CF90

Reactivity data

{ "title": "Reactivity Data", "filters": { "stats": ["", "Species", "Dilution Info", "Notes"], "tabs": { "all-applications": {"fullname" : "All Applications", "shortname": "All Applications"}, "IHCP" : {"fullname" : "Immunohistochemistry (Formalin/PFA-fixed paraffin-embedded sections)", "shortname":"IHC-P"} }, "product-promise": { "all": "all", "testedAndGuaranteed": "tested", "guaranteed": "expected", "predicted": "predicted", "notRecommended": "not-recommended" } }, "values": { "Mouse": { "IHCP-species-checked": "testedAndGuaranteed", "IHCP-species-dilution-info": "1/100 - 1/500", "IHCP-species-notes": "<p></p>" } } }

Product details

Concentration is optimized for IHC and not determined

Properties and storage information

Form
Liquid
Purification technique
Affinity purification Immunogen
Purification notes
ab85008 was affinity purified using the peptide immobilized on solid support.
Storage buffer
pH: 6.8 - 7.4 Preservative: 0.09% Sodium azide Constituents: Tris buffered saline, 0.1% BSA
Shipped at conditions
Blue Ice
Appropriate short-term storage conditions
+4°C
Appropriate long-term storage conditions
-20°C
Aliquoting information
Upon delivery aliquot
Storage information
Avoid freeze / thaw cycle

Supplementary information

This supplementary information is collated from multiple sources and compiled automatically.

MafA also known as musculoaponeurotic fibrosarcoma oncogene homolog A is a transcription factor with a molecular weight of approximately 43 kDa. This protein is expressed mainly in the pancreas particularly in the beta cells of the islets of Langerhans. MafA plays an important role in regulating insulin expression and secretion. High expression of MafA occurs during late-stage beta cell development making it an important marker for mature beta cells. Researchers often study MafA using techniques such as frozen tissue examination and flow cytometry with antibodies against MafA being important tools in these applications.
Biological function summary

MafA controls insulin gene transcription and supports beta cell function and survival. MafA does not function alone; it often forms complexes with other transcription factors like Pdx1 and NeuroD1 facilitating a coordinated regulation of insulin production and secretion. Its activity importantly aligns with the regulation of glucose metabolism responding to changes in glucose levels to ensure proper insulin release from the pancreas. In addition to its standalone role MafA synergizes with other transcription factors to modulate the expression of genes important to the maintenance of beta cell identity and function.

Pathways

The expression and function of MafA are integral to the insulin secretion pathway and the glucose homeostasis pathway. MafA operates alongside proteins like Pdx1 which also regulates insulin gene expression. The interplay between MafA and Pdx1 ensures appropriate response and adaptation of pancreatic beta cells to metabolic demands. Additionally the Wnt signaling pathway may intersect with MafA activity influencing beta cell proliferation and survival. Understanding these pathways is key to grappling with their impact on metabolic health and disease.

MafA closely relates to diabetes mellitus particularly type 2 diabetes. Dysfunction or altered expression of MafA impairs insulin production contributing significantly to the pathogenesis of this disorder. Another protein Nkx6.1 often shows disrupted expression alongside MafA in diabetic conditions exacerbating issues in insulin regulation. Furthermore MafA mutations or misregulation may also contribute to gestational diabetes where its interaction with other transcription factors becomes impaired affecting insulin secretion during pregnancy. Researchers continue to study these relationships to develop therapeutic strategies targeting MafA for diabetes management.

Product protocols

For this product, it's our understanding that no specific protocols are required. You can visit:

Target data

Transcriptional factor that activates insulin gene expression (PubMed : 12368292, PubMed : 15665000). Acts synergistically with NEUROD1/BETA2 and PDX1 (PubMed : 15665000). Binds the insulin enhancer C1/RIPE3b element (PubMed : 12917329, PubMed : 14680841, PubMed : 14973194, PubMed : 15665000). Binds to consensus TRE-type MARE 5'-TGCTGACTCAGCA-3' DNA sequence (By similarity).
See full target information Mafa

Publications (1)

Recent publications for all applications. Explore the full list and refine your search

Acta otorhinolaryngologica Italica : organo ufficiale della Societa italiana di otorinolaringologia e chirurgia cervico-facciale 37:207-213 PubMed27897275

2016

An "ex vivo model" contributing to the diagnosis and evaluation of new drugs in cystic fibrosis.

Applications

Unspecified application

Species

Unspecified reactive species

A M Di Lullo,M Scorza,F Amato,M Comegna,V Raia,L Maiuri,G Ilardi,E Cantone,G Castaldo,M Iengo
View all publications

Product promise

We are committed to supporting your work with high-quality reagents, and we're here for you every step of the way. In the unlikely event that one of our products does not perform as expected, you're protected by our Product Promise.
For full details, please see our Terms & Conditions

Please note: All products are 'FOR RESEARCH USE ONLY. NOT FOR USE IN DIAGNOSTIC OR THERAPEUTIC PROCEDURES'.

For licensing inquiries, please contact partnerships@abcam.com