JavaScript is disabled in your browser. Please enable JavaScript to view this website.
AB264418

Anti-MafA antibody [BLR067G] - BSA free

Be the first to review this product! Submit a review

|

(6 Publications)

Rabbit Recombinant Monoclonal MAFA antibody. Suitable for IHC-P, ICC, WB, ICC/IF and reacts with Mouse, Human samples. Cited in 6 publications. Immunogen corresponding to Synthetic Peptide within Human MAFA aa 100-200.

View Alternative Names

Transcription factor MafA, Pancreatic beta-cell-specific transcriptional activator, RIPE3b1 factor, V-maf musculoaponeurotic fibrosarcoma oncogene homolog A, MAFA

7 Images
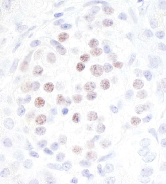
Immunohistochemistry (Formalin/PFA-fixed paraffin-embedded sections) - Anti-MafA antibody [BLR067G] - BSA free (AB264418)
  • IHC-P

Unknown

Immunohistochemistry (Formalin/PFA-fixed paraffin-embedded sections) - Anti-MafA antibody [BLR067G] - BSA free (AB264418)

Immunohistochemical analysis of formalin-fixed, paraffin-embedded human pancreatic tumor tissue labeling MafA with ab264418 at 1/200 dilution. Secondary : HRP-conjugated goat anti-rabbit IgG. Substrate : DAB.

Immunohistochemistry (Formalin/PFA-fixed paraffin-embedded sections) - Anti-MafA antibody [BLR067G] - BSA free (AB264418)
  • IHC-P

Unknown

Immunohistochemistry (Formalin/PFA-fixed paraffin-embedded sections) - Anti-MafA antibody [BLR067G] - BSA free (AB264418)

Immunohistochemical analysis of formalin-fixed, paraffin-embedded human pancreas tissue labeling MafA with ab264418 at 1/200 dilution. Secondary : HRP-conjugated goat anti-rabbit IgG. Substrate : DAB.

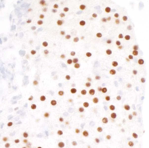
Immunohistochemistry (Formalin/PFA-fixed paraffin-embedded sections) - Anti-MafA antibody [BLR067G] - BSA free (AB264418)
  • IHC-P

Unknown

Immunohistochemistry (Formalin/PFA-fixed paraffin-embedded sections) - Anti-MafA antibody [BLR067G] - BSA free (AB264418)

Immunohistochemical analysis of formalin-fixed, paraffin-embedded human pancreatic carcinoma tissue labeling MafA with ab264418 at 1/250 dilution. Secondary : HRP-conjugated goat anti-rabbit IgG. Substrate : Opal™. Counterstain : DAPI (blue).

Immunocytochemistry/ Immunofluorescence - Anti-MafA antibody [BLR067G] - BSA free (AB264418)
  • ICC/IF

Unknown

Immunocytochemistry/ Immunofluorescence - Anti-MafA antibody [BLR067G] - BSA free (AB264418)

Immunocytochemical analysis of formalin-fixed, paraffin-embedded mouse beta-TC-6 cells labeling MafA with ab264418 at 1/200 dilution. Secondary : HRP-conjugated goat anti-rabbit IgG. Substrate : DAB.

Immunohistochemistry (Formalin/PFA-fixed paraffin-embedded sections) - Anti-MafA antibody [BLR067G] - BSA free (AB264418)
  • IHC-P

Unknown

Immunohistochemistry (Formalin/PFA-fixed paraffin-embedded sections) - Anti-MafA antibody [BLR067G] - BSA free (AB264418)

Immunohistochemical analysis of JB zinc-fixed, paraffin-embedded mouse pancreas tissue labeling MafA with ab264418 at 1/200 dilution. Detection : DAB.

Western blot - Anti-MafA antibody [BLR067G] - BSA free (AB264418)
  • WB

Supplier Data

Western blot - Anti-MafA antibody [BLR067G] - BSA free (AB264418)

Lysates prepared using NETN lysis buffer.

All lanes:

Western blot - Anti-MafA antibody [BLR067G] - BSA free (ab264418) at 1/1000 dilution

Lane 1:

Whole cell lysate from HEK-293T transfected with human MafA

Lane 2:

Whole cell lysate from HEK-293T transfected with human MafB

Lane 3:

Whole cell lysate from HEK-293T transfected with human MafC

Lane 4:

Whole cell lysate from HEK-293T transfected with mouse MafA

Lane 5:

Whole cell lysate from HEK-293T transfected with mouse MafB

Lane 6:

Whole cell lysate from HEK-293T transfected with mouse MafC

Secondary

All lanes:

HRP-conjugated goat anti-rabbit IgG

Predicted band size: 36 kDa

true

Exposure time: 30s

Western blot - Anti-MafA antibody [BLR067G] - BSA free (AB264418)
  • WB

Supplier Data

Western blot - Anti-MafA antibody [BLR067G] - BSA free (AB264418)

All lanes:

Western blot - Anti-MafA antibody [BLR067G] - BSA free (ab264418) at 1/1000 dilution

Lane 1:

Beta-TC-6 whole cell lysate at 10 µg

Lane 2:

AlphaTC1 clone 9 whole cell lysate at 50 µg

Lane 3:

NIH/3T3 whole cell lysate at 50 µg

Secondary

All lanes:

HRP-conjugated goat anti-rabbit IgG

Predicted band size: 36 kDa

true

Exposure time: 3min

Key facts

Host species

Rabbit

Clonality

Monoclonal

Clone number

BLR067G

Isotype

IgG

Carrier free

No

Reacts with

Mouse, Human

Applications

IHC-P, ICC, ICC/IF, WB

applications

Immunogen

Synthetic Peptide within Human MAFA aa 100-200. The exact immunogen used to generate this antibody is proprietary information.

Q8NHW3

Reactivity data

{ "title": "Reactivity Data", "filters": { "stats": ["", "Species", "Dilution Info", "Notes"], "tabs": { "all-applications": {"fullname" : "All Applications", "shortname": "All Applications"}, "IHCP" : {"fullname" : "Immunohistochemistry (Formalin/PFA-fixed paraffin-embedded sections)", "shortname":"IHC-P"}, "ICC" : {"fullname" : "Immunocytochemistry", "shortname":"ICC"}, "WB" : {"fullname" : "Western blot", "shortname":"WB"}, "ICCIF" : {"fullname" : "Immunocytochemistry/ Immunofluorescence", "shortname":"ICC/IF"} }, "product-promise": { "all": "all", "testedAndGuaranteed": "tested", "guaranteed": "expected", "predicted": "predicted", "notRecommended": "not-recommended" } }, "values": { "Human": { "IHCP-species-checked": "testedAndGuaranteed", "IHCP-species-dilution-info": "1/100 - 1/500", "IHCP-species-notes": "<p>Zinc-fixative (JB fix) is recommended to enhance staining.</p>", "ICC-species-checked": "guaranteed", "ICC-species-dilution-info": "", "ICC-species-notes": "", "WB-species-checked": "testedAndGuaranteed", "WB-species-dilution-info": "1/1000", "WB-species-notes": "<p></p>", "ICCIF-species-checked": "guaranteed", "ICCIF-species-dilution-info": "", "ICCIF-species-notes": "" }, "Mouse": { "IHCP-species-checked": "testedAndGuaranteed", "IHCP-species-dilution-info": "1/100 - 1/500", "IHCP-species-notes": "<p>Zinc-fixative (JB fix) is recommended to enhance staining.</p>", "ICC-species-checked": "testedAndGuaranteed", "ICC-species-dilution-info": "1/100 - 1/500", "ICC-species-notes": "<p>Epitope retrieval with citrate buffer pH6.0 is recommended for FFPE cell sections.</p>", "WB-species-checked": "testedAndGuaranteed", "WB-species-dilution-info": "1/1000", "WB-species-notes": "<p></p>", "ICCIF-species-checked": "testedAndGuaranteed", "ICCIF-species-dilution-info": "1/100 - 1/500", "ICCIF-species-notes": "<p>Epitope retrieval with citrate buffer pH6.0 is recommended for FFPE cell sections.</p>" } } }

Product details

REACH authorisation
Abcam has not and does not intend to apply for the REACH Authorisation of customers' uses of products that contain European Authorisation list (Annex XIV) substances.
It is the responsibility of our customers to check the necessity of application of REACH Authorisation, and any other relevant authorisations, for their intended uses.

This product is sold under License from Bethyl Laboratories, Inc.

Properties and storage information

Form
Liquid
Purification notes
Purified from cell culture supernatant.
Storage buffer
pH: 7.8 - 8.6 Preservative: 0.09% Sodium azide Constituents: 99% Borate buffered saline
Shipped at conditions
Blue Ice
Appropriate short-term storage duration
1-2 weeks
Appropriate short-term storage conditions
+4°C
Appropriate long-term storage conditions
+4°C
Aliquoting information
Upon delivery aliquot
Storage information
Avoid freeze / thaw cycle|Do Not Freeze

Supplementary information

This supplementary information is collated from multiple sources and compiled automatically.

MafA also known as musculoaponeurotic fibrosarcoma oncogene homolog A is a transcription factor with a molecular weight of approximately 43 kDa. This protein is expressed mainly in the pancreas particularly in the beta cells of the islets of Langerhans. MafA plays an important role in regulating insulin expression and secretion. High expression of MafA occurs during late-stage beta cell development making it an important marker for mature beta cells. Researchers often study MafA using techniques such as frozen tissue examination and flow cytometry with antibodies against MafA being important tools in these applications.
Biological function summary

MafA controls insulin gene transcription and supports beta cell function and survival. MafA does not function alone; it often forms complexes with other transcription factors like Pdx1 and NeuroD1 facilitating a coordinated regulation of insulin production and secretion. Its activity importantly aligns with the regulation of glucose metabolism responding to changes in glucose levels to ensure proper insulin release from the pancreas. In addition to its standalone role MafA synergizes with other transcription factors to modulate the expression of genes important to the maintenance of beta cell identity and function.

Pathways

The expression and function of MafA are integral to the insulin secretion pathway and the glucose homeostasis pathway. MafA operates alongside proteins like Pdx1 which also regulates insulin gene expression. The interplay between MafA and Pdx1 ensures appropriate response and adaptation of pancreatic beta cells to metabolic demands. Additionally the Wnt signaling pathway may intersect with MafA activity influencing beta cell proliferation and survival. Understanding these pathways is key to grappling with their impact on metabolic health and disease.

MafA closely relates to diabetes mellitus particularly type 2 diabetes. Dysfunction or altered expression of MafA impairs insulin production contributing significantly to the pathogenesis of this disorder. Another protein Nkx6.1 often shows disrupted expression alongside MafA in diabetic conditions exacerbating issues in insulin regulation. Furthermore MafA mutations or misregulation may also contribute to gestational diabetes where its interaction with other transcription factors becomes impaired affecting insulin secretion during pregnancy. Researchers continue to study these relationships to develop therapeutic strategies targeting MafA for diabetes management.

Product protocols

For this product, it's our understanding that no specific protocols are required. You can visit:

Target data

Transcription factor that activates insulin gene expression (PubMed : 12011435, PubMed : 15993959). Acts synergistically with NEUROD1/BETA2 and PDX1 (PubMed : 15993959). Binds the insulin enhancer C1/RIPE3b element (PubMed : 12011435). Binds to consensus TRE-type MARE 5'-TGCTGACTCAGCA-3' DNA sequence (PubMed : 23148532, PubMed : 29339498).
See full target information MAFA

Publications (6)

Recent publications for all applications. Explore the full list and refine your search

Diabetologia 68:1983-1996 PubMed40471239

2025

BMP5 signalling in beta cells and the impact on insulin secretion in the context of type 2 diabetes.

Applications

Unspecified application

Species

Unspecified reactive species

Esmée Dekker,Twan J J de Winter,Amadeo Muñoz Garcia,Natascha de Graaf,Maaike J Roodzant,Eelco J P de Koning,Françoise Carlotti

International journal of molecular sciences 25: PubMed38928307

2024

The Immune Checkpoint BTLA in Oral Cancer: Expression Analysis and Its Correlation to Other Immune Modulators.

Applications

Unspecified application

Species

Unspecified reactive species

Jutta Ries,Leah Trumet,Alina Hahn,Lina Kunater,Rainer Lutz,Carol Geppert,Marco Kesting,Manuel Weber

Metabolites 13: PubMed36837926

2023

Expression Silencing of Mitogen-Activated Protein Kinase 8 Interacting Protein-1 Conferred Its Role in Pancreatic β-Cell Physiology and Insulin Secretion.

Applications

Unspecified application

Species

Unspecified reactive species

Rania Saeed,Abdul Khader Mohammed,Sarra E Saleh,Khaled M Aboshanab,Mohammad M Aboulwafa,Jalal Taneera

Experimental biology and medicine (Maywood, N.J.) 248:339-349 PubMed36740767

2023

plays a critical role in insulin secretion in INS-1 cells and human pancreatic islets.

Applications

Unspecified application

Species

Unspecified reactive species

Mohammad G Mohammad,Rania Saeed,Abdul Khader Mohammed,Anila Khalique,Mohamad Hamad,Waseem El-Huneidi,Mawieh Hamad,Jalal Taneera

Nucleic acids research 50:12723-12738 PubMed36484096

2022

TEAD1 regulates cell proliferation through a pocket-independent transcription repression mechanism.

Applications

Unspecified application

Species

Unspecified reactive species

Feng Li,Vinny Negi,Ping Yang,Jeongkyung Lee,Ke Ma,Mousumi Moulik,Vijay K Yechoor

Frontiers in oncology 12:871568 PubMed35847888

2022

Integrative Proteo-Genomic Analysis for Recurrent Survival Prognosis in Colon Adenocarcinoma.

Applications

Unspecified application

Species

Unspecified reactive species

FeiYan Ai,Wenhao Wang,Shaojun Liu,Decai Zhang,Zhenyu Yang,Fen Liu
View all publications

Product promise

We are committed to supporting your work with high-quality reagents, and we're here for you every step of the way. In the unlikely event that one of our products does not perform as expected, you're protected by our Product Promise.
For full details, please see our Terms & Conditions

Please note: All products are 'FOR RESEARCH USE ONLY. NOT FOR USE IN DIAGNOSTIC OR THERAPEUTIC PROCEDURES'.

For licensing inquiries, please contact partnerships@abcam.com