JavaScript is disabled in your browser. Please enable JavaScript to view this website.
AB239356

Anti-MafA antibody [EPR23582-9]

Be the first to review this product! Submit a review

|

(1 Publication)

Rabbit Recombinant Monoclonal MAFA antibody. Suitable for IHC-P and reacts with Human samples. Cited in 1 publication.

View Alternative Names

Transcription factor MafA, Pancreatic beta-cell-specific transcriptional activator, RIPE3b1 factor, V-maf musculoaponeurotic fibrosarcoma oncogene homolog A, MAFA

2 Images
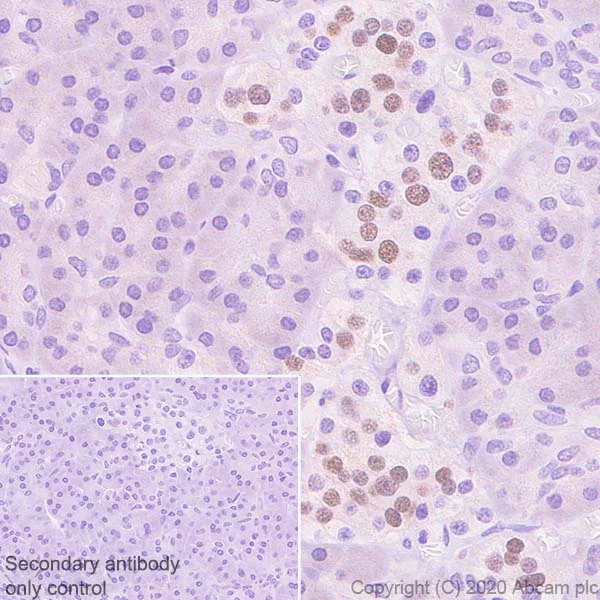
Immunohistochemistry (Formalin/PFA-fixed paraffin-embedded sections) - Anti-MafA antibody [EPR23582-9] (AB239356)
  • IHC-P

Unknown

Immunohistochemistry (Formalin/PFA-fixed paraffin-embedded sections) - Anti-MafA antibody [EPR23582-9] (AB239356)

Immunohistochemical analysis of paraffin-embedded Human pancreas tissue labeling MafA with ab239356 at 1/2000 dilution followed by a ready to use Rabbit specific IHC polymer detection kit HRP/DAB (ab209101). Positive staining on human pancreatic islet (PMID : 24013263).The section was incubated with ab239356 for 30 mins at room temperature.The immunostaining was performed on a Leica Biosystems BOND® RX instrument. Counterstained with Hematoxylin.

Secondary antibody only control : Secondary antibody is a ready to use Rabbit specific IHC polymer detection kit HRP/DAB (ab209101).

Heat mediated antigen retrieval with Citrate buffer (pH 6.0, epitope retrieval solution 1) for 20 mins

Immunohistochemistry (Formalin/PFA-fixed paraffin-embedded sections) - Anti-MafA antibody [EPR23582-9] (AB239356)
  • IHC-P

Unknown

Immunohistochemistry (Formalin/PFA-fixed paraffin-embedded sections) - Anti-MafA antibody [EPR23582-9] (AB239356)

Immunohistochemical analysis of paraffin-embedded Human cerebrum tissue labeling MafA with ab239356 at 1/2000 dilution followed by a ready to use Rabbit specific IHC polymer detection kit HRP/DAB (ab209101). Negative control : no staining on human cerebrum.The section was incubated with ab239356 for 30 mins at room temperature.The immunostaining was performed on a Leica Biosystems BOND® RX instrument Counterstained with Hematoxylin.

Secondary antibody only control : Secondary antibody is a ready to use Rabbit specific IHC polymer detection kit HRP/DAB (ab209101).

Heat mediated antigen retrieval with Citrate buffer (pH 6.0, epitope retrieval solution 1) for 20 mins

  • Carrier free

    Anti-MafA antibody [EPR23582-9] - BSA and Azide free

Key facts

Host species

Rabbit

Clonality

Monoclonal

Clone number

EPR23582-9

Isotype

IgG

Carrier free

No

Reacts with

Human

Applications

IHC-P

applications

Immunogen

The exact immunogen used to generate this antibody is proprietary information.

Reactivity data

{ "title": "Reactivity Data", "filters": { "stats": ["", "Species", "Dilution Info", "Notes"], "tabs": { "all-applications": {"fullname" : "All Applications", "shortname": "All Applications"}, "IHCP" : {"fullname" : "Immunohistochemistry (Formalin/PFA-fixed paraffin-embedded sections)", "shortname":"IHC-P"}, "IP" : {"fullname" : "Immunoprecipitation", "shortname":"IP"}, "WB" : {"fullname" : "Western blot", "shortname":"WB"}, "IHCFr" : {"fullname" : "Immunohistochemistry (Frozen sections)", "shortname":"IHC-Fr"} }, "product-promise": { "all": "all", "testedAndGuaranteed": "tested", "guaranteed": "expected", "predicted": "predicted", "notRecommended": "not-recommended" } }, "values": { "Human": { "IHCP-species-checked": "testedAndGuaranteed", "IHCP-species-dilution-info": "1/2000", "IHCP-species-notes": "<p></p>", "IP-species-checked": "notRecommended", "IP-species-dilution-info": "", "IP-species-notes": "<p></p>", "WB-species-checked": "notRecommended", "WB-species-dilution-info": "", "WB-species-notes": "<p></p>", "IHCFr-species-checked": "notRecommended", "IHCFr-species-dilution-info": "", "IHCFr-species-notes": "" }, "Mouse": { "IHCP-species-checked": "notRecommended", "IHCP-species-dilution-info": "1/2000", "IHCP-species-notes": "<p></p>", "IP-species-checked": "notRecommended", "IP-species-dilution-info": "", "IP-species-notes": "<p></p>", "WB-species-checked": "notRecommended", "WB-species-dilution-info": "", "WB-species-notes": "<p></p>", "IHCFr-species-checked": "notRecommended", "IHCFr-species-dilution-info": "", "IHCFr-species-notes": "<p></p>" }, "Rat": { "IHCP-species-checked": "notRecommended", "IHCP-species-dilution-info": "1/2000", "IHCP-species-notes": "<p></p>", "IP-species-checked": "notRecommended", "IP-species-dilution-info": "", "IP-species-notes": "", "WB-species-checked": "notRecommended", "WB-species-dilution-info": "", "WB-species-notes": "<p></p>", "IHCFr-species-checked": "notRecommended", "IHCFr-species-dilution-info": "", "IHCFr-species-notes": "<p></p>" } } }

Product details

Patented technology
Our RabMAb® technology is a patented hybridoma-based technology for making rabbit monoclonal antibodies. For details on our patents, please refer to RabMAb® patents.

What are the advantages of a recombinant monoclonal antibody?
This product is a recombinant monoclonal antibody, which offers several advantages including:

  • - High batch-to-batch consistency and reproducibility
  • - Improved sensitivity and specificity
  • - Long-term security of supply
  • - Animal-free batch production

For more information, read more on recombinant antibodies.

Properties and storage information

Form
Liquid
Purification technique
Affinity purification Protein A
Storage buffer
pH: 7.2 - 7.4 Preservative: 0.01% Sodium azide Constituents: PBS, 40% Glycerol (glycerin, glycerine), 0.05% BSA
Shipped at conditions
Blue Ice
Appropriate short-term storage duration
1-2 weeks
Appropriate short-term storage conditions
+4°C
Appropriate long-term storage conditions
-20°C
Aliquoting information
Upon delivery aliquot
Storage information
Avoid freeze / thaw cycle

Supplementary information

This supplementary information is collated from multiple sources and compiled automatically.

MafA also known as musculoaponeurotic fibrosarcoma oncogene homolog A is a transcription factor with a molecular weight of approximately 43 kDa. This protein is expressed mainly in the pancreas particularly in the beta cells of the islets of Langerhans. MafA plays an important role in regulating insulin expression and secretion. High expression of MafA occurs during late-stage beta cell development making it an important marker for mature beta cells. Researchers often study MafA using techniques such as frozen tissue examination and flow cytometry with antibodies against MafA being important tools in these applications.
Biological function summary

MafA controls insulin gene transcription and supports beta cell function and survival. MafA does not function alone; it often forms complexes with other transcription factors like Pdx1 and NeuroD1 facilitating a coordinated regulation of insulin production and secretion. Its activity importantly aligns with the regulation of glucose metabolism responding to changes in glucose levels to ensure proper insulin release from the pancreas. In addition to its standalone role MafA synergizes with other transcription factors to modulate the expression of genes important to the maintenance of beta cell identity and function.

Pathways

The expression and function of MafA are integral to the insulin secretion pathway and the glucose homeostasis pathway. MafA operates alongside proteins like Pdx1 which also regulates insulin gene expression. The interplay between MafA and Pdx1 ensures appropriate response and adaptation of pancreatic beta cells to metabolic demands. Additionally the Wnt signaling pathway may intersect with MafA activity influencing beta cell proliferation and survival. Understanding these pathways is key to grappling with their impact on metabolic health and disease.

MafA closely relates to diabetes mellitus particularly type 2 diabetes. Dysfunction or altered expression of MafA impairs insulin production contributing significantly to the pathogenesis of this disorder. Another protein Nkx6.1 often shows disrupted expression alongside MafA in diabetic conditions exacerbating issues in insulin regulation. Furthermore MafA mutations or misregulation may also contribute to gestational diabetes where its interaction with other transcription factors becomes impaired affecting insulin secretion during pregnancy. Researchers continue to study these relationships to develop therapeutic strategies targeting MafA for diabetes management.

Product protocols

For this product, it's our understanding that no specific protocols are required. You can visit:

Target data

Transcription factor that activates insulin gene expression (PubMed : 12011435, PubMed : 15993959). Acts synergistically with NEUROD1/BETA2 and PDX1 (PubMed : 15993959). Binds the insulin enhancer C1/RIPE3b element (PubMed : 12011435). Binds to consensus TRE-type MARE 5'-TGCTGACTCAGCA-3' DNA sequence (PubMed : 23148532, PubMed : 29339498).
See full target information MAFA

Publications (1)

Recent publications for all applications. Explore the full list and refine your search

Stem cell research & therapy 15:458 PubMed39623490

2024

Knockout of B2M in combination with PD-L1 overexpression protects MSC-derived new islet β cells from graft rejection in the treatment of canine diabetes mellitus.

Applications

Unspecified application

Species

Unspecified reactive species

Pengxiu Dai,Yi Wu,Qingjie Du,Juanjuan Du,Keyi Wang,Ruiqi Chen,Xiancheng Feng,Chen Chen,Xinke Zhang
View all publications

Product promise

We are committed to supporting your work with high-quality reagents, and we're here for you every step of the way. In the unlikely event that one of our products does not perform as expected, you're protected by our Product Promise.
For full details, please see our Terms & Conditions

Please note: All products are 'FOR RESEARCH USE ONLY. NOT FOR USE IN DIAGNOSTIC OR THERAPEUTIC PROCEDURES'.

For licensing inquiries, please contact partnerships@abcam.com