JavaScript is disabled in your browser. Please enable JavaScript to view this website.
AB324869

Anti-MafA antibody [EPR30417-538]

  • RabMAb
  • Recombinant
  • 20ul selling size
  • Advanced Validation
  • What is this?

Be the first to review this product! Submit a review

|

(0 Publication)

Rabbit Recombinant Monoclonal MAFA antibody. Suitable for ICC/IF, mIHC, IHC-P, WB and reacts with Mouse, Rat samples.

View Alternative Names

Transcription factor MafA, Pancreatic beta-cell-specific transcriptional activator, RIPE3b1 factor, V-maf musculoaponeurotic fibrosarcoma oncogene homolog A, MAFA

9 Images
Immunohistochemistry (Formalin/PFA-fixed paraffin-embedded sections) - Anti-MafA antibody [EPR30417-538] (AB324869)
  • IHC-P

Supplier Data

Immunohistochemistry (Formalin/PFA-fixed paraffin-embedded sections) - Anti-MafA antibody [EPR30417-538] (AB324869)

Multiplex immunohistochemistry analysis of formalin/PFA-fixed paraffin-embedded mouse pancreas tissue staining MafA with ab324869 at a 1 : 100 (5.13 ug/ml) dilution, ab181547 anti-Insulin used at 1 : 20000 (0.053 ug/ml) dilution and ab209792 anti-GIP used at a 1 : 2000 (0.26 ug/ml) dilution.

Panel A : merged staining of anti-MafA (green; Opal™520), anti-Insulin (magenta; Opal™690) and anti-GIP (gray; Opal™570) on mouse pancreas.
Panel B : anti-MafA staining nucleus of beta cells in mouse pancreas islet.
Panel C : anti-Insulin staining cytoplasm of beta cells in mouse pancreas islet.
Panel D : anti-GIP staining the alpha cells in mouse pancreas islet.
Nuclear DNA was labeled with DAPI (shown in blue).

The section was incubated in three rounds of staining : in the order of ab324869, ab181547 and ab209792 for 30 mins at room temperature. Each round was followed by a separate fluorescent tyramide signal amplification system.

The immunostaining was performed on a Leica Biosystems BOND® RX instrument with an Opal™ 4-color kit. Image acquisition was performed with Leica SP8 confocal microscope.

Heat mediated antigen retrieval with Tris-EDTA buffer (pH 9.0, epitope retrieval solution2) for 20 mins.

Immunocytochemistry/ Immunofluorescence - Anti-MafA antibody [EPR30417-538] (AB324869)
  • ICC/IF

Supplier Data

Immunocytochemistry/ Immunofluorescence - Anti-MafA antibody [EPR30417-538] (AB324869)

Immunofluorescent analysis of 4% Paraformaldehyde-fixed, 0.1% TritonX-100 permeabilized Beta-TC-6 (mouse pancreas insulinoma beta cell) cells labelling MafA with ab324869 at 1/50 (10.26 ug/ml) dilution, followed by ab150081 Goat Anti-Rabbit IgG H&L (Alexa Fluor® 488) preadsorbed antibody at 1/1000 (2 ug/ml) dilution (Green).

Confocal image showing nuclear staining in Beta-TC-6 cells (shown in green). The counterstain was observed in magenta.
Low expression : C2C12.
Nuclear DNA was labelled with DAPI (shown in blue). Image was taken with a confocal microscope (Leica-Microsystems, TCS SP8).

ab7291 Anti-alpha Tubulin mouse monoclonal antibody was used to counterstain tubulin at 1/1000 (1 ug/ml) dilution, followed by ab150120 Goat Anti-Mouse IgG H&L (Alexa Fluor® 594) at 1/1000 (2 ug/ml) dilution (Magenta).

-ve control 1 : ab324869 at a 1/50 dilution followed by ab150120 at a 1/1000 dilution.

-ve control 2 : ab7291 at a 1/1000 dilution followed by ab150081 at a 1/1000 dilution.

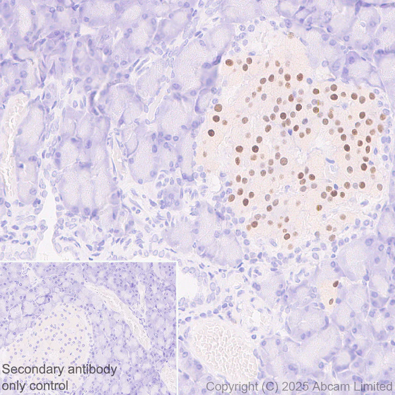
Immunohistochemistry (Formalin/PFA-fixed paraffin-embedded sections) - Anti-MafA antibody [EPR30417-538] (AB324869)
  • IHC-P

Supplier Data

Immunohistochemistry (Formalin/PFA-fixed paraffin-embedded sections) - Anti-MafA antibody [EPR30417-538] (AB324869)

Immunohistochemical analysis of paraffin-embedded Mouse pancreas tissue labeling MafA with ab324869 at 1/100 (5.13 ug/ml) dilution, followed by a ready to use LeicaDS9800 (Bond™ Polymer Refine Detection).

Positive staining on islets of mouse pancreas (PMID : 12917329).
The primary antibody was incubated for 30 mins at room temperature.
The immunostaining was performed on a Leica Biosystems BOND® RX instrument

Counterstained with Hematoxylin.

Secondary antibody only control : Secondary antibody is a ready to use LeicaDS9800 (Bond™ Polymer Refine Detection).

Heat mediated antigen retrieval was performed with Tris-EDTA buffer (pH 9.0, Epitope Retrieval Solution2) for 20 mins

Immunohistochemistry (Formalin/PFA-fixed paraffin-embedded sections) - Anti-MafA antibody [EPR30417-538] (AB324869)
  • IHC-P

Supplier Data

Immunohistochemistry (Formalin/PFA-fixed paraffin-embedded sections) - Anti-MafA antibody [EPR30417-538] (AB324869)

Multiplex immunohistochemistry analysis of formalin/PFA-fixed paraffin-embedded rat pancreas tissue staining MafA with ab324869 at a 1 : 100 (5.13 ug/ml) dilution, ab181547 anti-Insulin used at 1 : 20000 (0.053 ug/ml) dilution and ab209792 anti-GIP used at a 1 : 2000 (0.26 ug/ml) dilution.

Panel A : merged staining of anti-MafA (green; Opal™520), anti-Insulin (magenta; Opal™690) and anti-GIP (gray; Opal™570) on rat pancreas.
Panel B : anti-MafA staining nucleus of beta cells in rat pancreas islet.
Panel C : anti-Insulin staining cytoplasm of beta cells in rat pancreas islet.
Panel D : anti-GIP staining the alpha cells in rat pancreas islet.
Nuclear DNA was labeled with DAPI (shown in blue).

The section was incubated in three rounds of staining : in the order of ab324869, ab181547 and ab209792 for 30 mins at room temperature. Each round was followed by a separate fluorescent tyramide signal amplification system.

The immunostaining was performed on a Leica Biosystems BOND® RX instrument with an Opal™ 4-color kit. Image acquisition was performed with Leica SP8 confocal microscope.

Heat mediated antigen retrieval with Tris-EDTA buffer (pH 9.0, epitope retrieval solution2) for 20 mins.

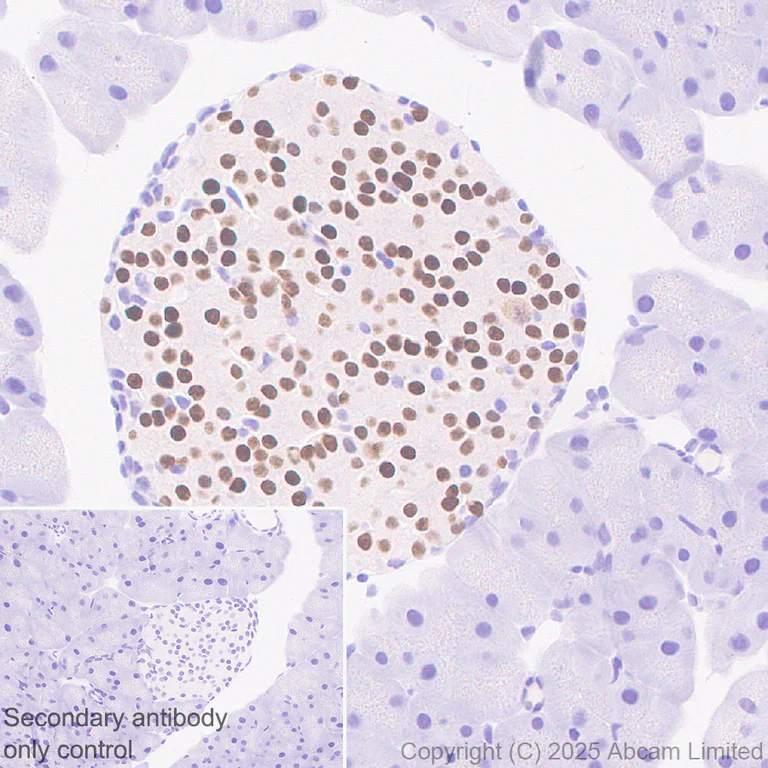
Immunohistochemistry (Formalin/PFA-fixed paraffin-embedded sections) - Anti-MafA antibody [EPR30417-538] (AB324869)
  • IHC-P

Supplier Data

Immunohistochemistry (Formalin/PFA-fixed paraffin-embedded sections) - Anti-MafA antibody [EPR30417-538] (AB324869)

Immunohistochemical analysis of paraffin-embedded Rat pancreas tissue labeling MafA with ab324869 at 1/100 (5.13 ug/ml) dilution, followed by a ready to use LeicaDS9800 (Bond™ Polymer Refine Detection).

Positive staining on islets of rat pancreas.
The primary antibody was incubated for 30 mins at room temperature.
The immunostaining was performed on a Leica Biosystems BOND® RX instrument

Counterstained with Hematoxylin.

Secondary antibody only control : Secondary antibody is a ready to use LeicaDS9800 (Bond™ Polymer Refine Detection).

Heat mediated antigen retrieval was performed with Tris-EDTA buffer (pH 9.0, Epitope Retrieval Solution2) for 20 mins

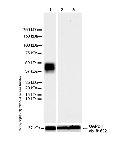
Western blot - Anti-MafA antibody [EPR30417-538] (AB324869)
  • WB

Supplier Data

Western blot - Anti-MafA antibody [EPR30417-538] (AB324869)

Blocking and diluting buffer and concentration : 5% NFDM/TBST.

Negative control : brain (PMID : 12011435)

In Western blot, Anti-GAPDH antibody [EPR16891] - Loading Control (ab181602) staining at 1/200000 dilution.

All lanes:

Western blot - Anti-MafA antibody [EPR30417-538] (ab324869) at 1/1000 dilution

Lane 1:

Mouse pancreas tissue lysate at 40 µg

Lane 2:

Mouse brain tissue lysate at 40 µg

Lane 3:

Rat pancreas tissue lysate at 40 µg

Lane 4:

Rat brain tissue lysate at 40 µg

Secondary

All lanes:

Western blot - Goat Anti-Rabbit IgG H&L (HRP) (<a href='/en-us/products/secondary-antibodies/goat-rabbit-igg-h-l-hrp-ab97051'>ab97051</a>) at 1/20000 dilution

Observed band size: 50 kDa,36 kDa

false

Exposure time: 92s

Western blot - Anti-MafA antibody [EPR30417-538] (AB324869)
  • WB

Supplier Data

Western blot - Anti-MafA antibody [EPR30417-538] (AB324869)

Blocking and diluting buffer and concentration : 5% NFDM/TBST.

Low expression : C2C12

Negative control : NIH/3T3

In Western blot, Anti-GAPDH antibody [EPR16891] - Loading Control (ab181602) staining at 1/200000 dilution.

All lanes:

Western blot - Anti-MafA antibody [EPR30417-538] (ab324869) at 1/1000 dilution

Lane 1:

Beta-TC-6 (mouse pancreas insulinoma beta cell) whole cell lysate at 40 µg

Lane 2:

NIH/3T3 (mouse embryonic fibroblast) whole cell lysate at 40 µg

Lane 3:

C2C12 (mouse myoblast) whole cell lysate at 40 µg

Secondary

All lanes:

Goat Anti-Rabbit IgG (HRP) with minimal cross-reactivity with human IgG at 1/2000 dilution

Observed band size: 50 kDa,36 kDa

false

Exposure time: 8s

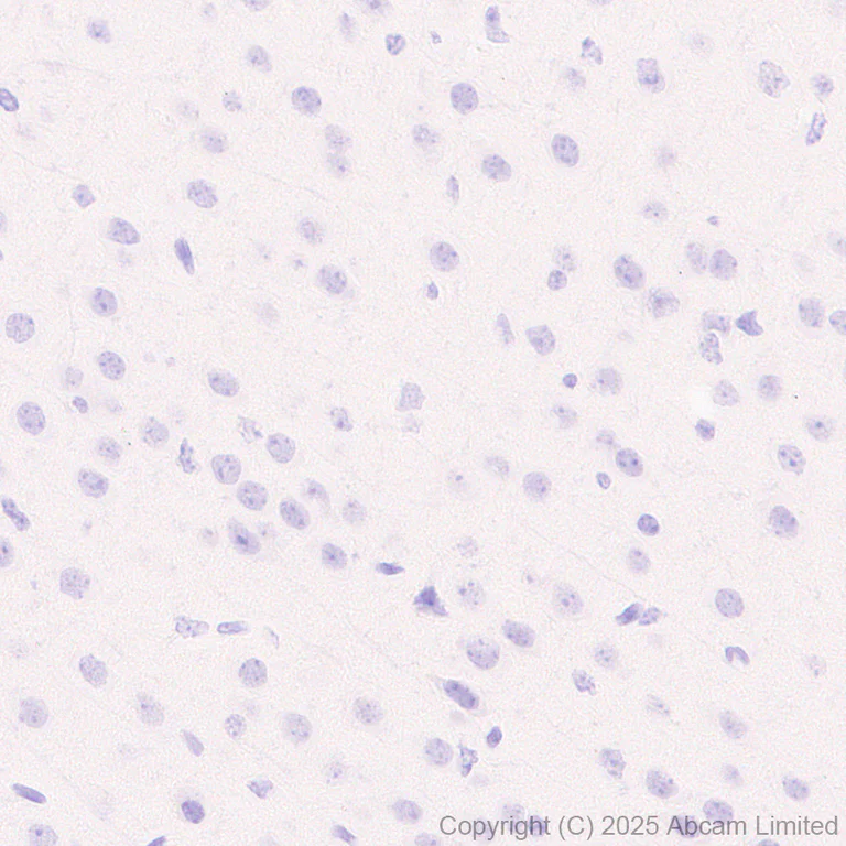
Immunohistochemistry (Formalin/PFA-fixed paraffin-embedded sections) - Anti-MafA antibody [EPR30417-538] (AB324869)
  • IHC-P

Supplier Data

Immunohistochemistry (Formalin/PFA-fixed paraffin-embedded sections) - Anti-MafA antibody [EPR30417-538] (AB324869)

Immunohistochemical analysis of paraffin-embedded Mouse cerebrum tissue labeling MafA with ab324869 at 1/100 (5.13 ug/ml) dilution, followed by a ready to use LeicaDS9800 (Bond™ Polymer Refine Detection).

Negative control : No staining on mouse cerebrum (PMID : 12011435).
The primary antibody was incubated for 30 mins at room temperature.
The immunostaining was performed on a Leica Biosystems BOND® RX instrument

Counterstained with Hematoxylin.

Secondary antibody only control : Secondary antibody is a ready to use LeicaDS9800 (Bond™ Polymer Refine Detection).

Heat mediated antigen retrieval was performed with Tris-EDTA buffer (pH 9.0, Epitope Retrieval Solution2) for 20 mins

Immunohistochemistry (Formalin/PFA-fixed paraffin-embedded sections) - Anti-MafA antibody [EPR30417-538] (AB324869)
  • IHC-P

Supplier Data

Immunohistochemistry (Formalin/PFA-fixed paraffin-embedded sections) - Anti-MafA antibody [EPR30417-538] (AB324869)

Immunohistochemical analysis of paraffin-embedded Rat cerebrum tissue labeling MafA with ab324869 at 1/100 (5.13 ug/ml) dilution, followed by a ready to use LeicaDS9800 (Bond™ Polymer Refine Detection).

Negative control : No staining on rat cerebrum.
The primary antibody was incubated for 30 mins at room temperature.
The immunostaining was performed on a Leica Biosystems BOND® RX instrument

Counterstained with Hematoxylin.

Secondary antibody only control : Secondary antibody is a ready to use LeicaDS9800 (Bond™ Polymer Refine Detection).

Heat mediated antigen retrieval was performed with Tris-EDTA buffer (pH 9.0, Epitope Retrieval Solution2) for 20 mins

  • Carrier free

    Anti-MafA antibody [EPR30417-538] - BSA and Azide free

Key facts

Host species

Rabbit

Clonality

Monoclonal

Clone number

EPR30417-538

Isotype

IgG

Carrier free

No

Reacts with

Mouse, Rat

Applications

WB, mIHC, IHC-P, ICC/IF

applications

Immunogen

The exact immunogen used to generate this antibody is proprietary information.

Reactivity data

{ "title": "Reactivity Data", "filters": { "stats": ["", "Species", "Dilution Info", "Notes"], "tabs": { "all-applications": {"fullname" : "All Applications", "shortname": "All Applications"}, "ICCIF" : {"fullname" : "Immunocytochemistry/ Immunofluorescence", "shortname":"ICC/IF"}, "mIHC" : {"fullname" : "Multiplex immunohistochemistry", "shortname":"mIHC"}, "IHCP" : {"fullname" : "Immunohistochemistry (Formalin/PFA-fixed paraffin-embedded sections)", "shortname":"IHC-P"}, "WB" : {"fullname" : "Western blot", "shortname":"WB"} }, "product-promise": { "all": "all", "testedAndGuaranteed": "tested", "guaranteed": "expected", "predicted": "predicted", "notRecommended": "not-recommended" } }, "values": { "Human": { "ICCIF-species-checked": "notRecommended", "ICCIF-species-dilution-info": "", "ICCIF-species-notes": "<p></p>", "mIHC-species-checked": "notRecommended", "mIHC-species-dilution-info": "", "mIHC-species-notes": "", "IHCP-species-checked": "notRecommended", "IHCP-species-dilution-info": "", "IHCP-species-notes": "", "WB-species-checked": "notRecommended", "WB-species-dilution-info": "", "WB-species-notes": "<p></p>" }, "Mouse": { "ICCIF-species-checked": "testedAndGuaranteed", "ICCIF-species-dilution-info": "1/50", "ICCIF-species-notes": "<p></p>", "mIHC-species-checked": "testedAndGuaranteed", "mIHC-species-dilution-info": "1/100", "mIHC-species-notes": "<p></p> Perform heat-mediated antigen retrieval with Tris/EDTA buffer pH 9.0 before commencing with IHC staining protocol.", "IHCP-species-checked": "testedAndGuaranteed", "IHCP-species-dilution-info": "1/100", "IHCP-species-notes": "<p></p> Perform heat-mediated antigen retrieval with Tris/EDTA buffer pH 9.0 before commencing with IHC staining protocol.", "WB-species-checked": "testedAndGuaranteed", "WB-species-dilution-info": "1/1000", "WB-species-notes": "<p></p>" }, "Rat": { "ICCIF-species-checked": "guaranteed", "ICCIF-species-dilution-info": "", "ICCIF-species-notes": "", "mIHC-species-checked": "testedAndGuaranteed", "mIHC-species-dilution-info": "1/100", "mIHC-species-notes": "<p></p> Perform heat-mediated antigen retrieval with Tris/EDTA buffer pH 9.0 before commencing with IHC staining protocol.", "IHCP-species-checked": "testedAndGuaranteed", "IHCP-species-dilution-info": "1/100", "IHCP-species-notes": "<p></p> Perform heat-mediated antigen retrieval with Tris/EDTA buffer pH 9.0 before commencing with IHC staining protocol.", "WB-species-checked": "testedAndGuaranteed", "WB-species-dilution-info": "1/1000", "WB-species-notes": "<p></p>" } } }

Product details

Patented technology
Our RabMAb® technology is a patented hybridoma-based technology for making rabbit monoclonal antibodies. For details on our patents, please refer to RabMAb® patents.

What are the advantages of a recombinant monoclonal antibody?
This product is a recombinant monoclonal antibody, which offers several advantages including:

  • - High batch-to-batch consistency and reproducibility
  • - Improved sensitivity and specificity
  • - Long-term security of supply
  • - Animal-free batch production

For more information, read more on recombinant antibodies.

Properties and storage information

Form
Liquid
Purification technique
Affinity purification Protein A
Storage buffer
pH: 7.2 - 7.4 Preservative: 0.01% Sodium azide Constituents: PBS, 40% Glycerol (glycerin, glycerine), 0.05% BSA
Shipped at conditions
Blue Ice
Appropriate short-term storage duration
1-2 weeks
Appropriate short-term storage conditions
+4°C
Appropriate long-term storage conditions
-20°C
Aliquoting information
Upon delivery aliquot
Storage information
Avoid freeze / thaw cycle

Product protocols

For this product, it's our understanding that no specific protocols are required. You can visit:

Target data

Transcription factor that activates insulin gene expression (PubMed : 12011435, PubMed : 15993959). Acts synergistically with NEUROD1/BETA2 and PDX1 (PubMed : 15993959). Binds the insulin enhancer C1/RIPE3b element (PubMed : 12011435). Binds to consensus TRE-type MARE 5'-TGCTGACTCAGCA-3' DNA sequence (PubMed : 23148532, PubMed : 29339498).
See full target information MAFA

Additional targets

Mafa,

Product promise

We are committed to supporting your work with high-quality reagents, and we're here for you every step of the way. In the unlikely event that one of our products does not perform as expected, you're protected by our Product Promise.
For full details, please see our Terms & Conditions

Please note: All products are 'FOR RESEARCH USE ONLY. NOT FOR USE IN DIAGNOSTIC OR THERAPEUTIC PROCEDURES'.

For licensing inquiries, please contact partnerships@abcam.com