JavaScript is disabled in your browser. Please enable JavaScript to view this website.
AB183859

Anti-MAFF antibody

Be the first to review this product! Submit a review

|

(3 Publications)

Rabbit Polyclonal MAFF antibody. Suitable for WB, IHC-P and reacts with Human samples. Cited in 3 publications. Immunogen corresponding to Recombinant Full Length Protein corresponding to Human MAFF.

View Alternative Names

Transcription factor MafF, U-Maf, V-maf musculoaponeurotic fibrosarcoma oncogene homolog F, MAFF

2 Images
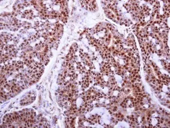
Immunohistochemistry (Formalin/PFA-fixed paraffin-embedded sections) - Anti-MAFF antibody (AB183859)
  • IHC-P

Supplier Data

Immunohistochemistry (Formalin/PFA-fixed paraffin-embedded sections) - Anti-MAFF antibody (AB183859)

Immunohistochemical analysis of paraffin-embedded human breast carcinoma tissue stained for MAFF protein at cytoplasm and nucleus with ab183859 at a 1/250 dilution.

Antigen retrieval : EDTA based (pH 8.0) buffer, 15min

Western blot - Anti-MAFF antibody (AB183859)
  • WB

Supplier Data

Western blot - Anti-MAFF antibody (AB183859)

All lanes:

Western blot - Anti-MAFF antibody (ab183859) at 1/2000 dilution

Lane 1:

Huh7 whole cell lysate/extract at 30 µg

Lane 2:

HepG2 whole cell lysate/extract at 30 µg

Predicted band size: 18 kDa

false

Key facts

Host species

Rabbit

Clonality

Polyclonal

Isotype

IgG

Carrier free

No

Reacts with

Human

Applications

IHC-P, WB

applications

Immunogen

Recombinant Full Length Protein corresponding to Human MAFF.

Q9ULX9

Reactivity data

{ "title": "Reactivity Data", "filters": { "stats": ["", "Species", "Dilution Info", "Notes"], "tabs": { "all-applications": {"fullname" : "All Applications", "shortname": "All Applications"}, "WB" : {"fullname" : "Western blot", "shortname":"WB"}, "IHCP" : {"fullname" : "Immunohistochemistry (Formalin/PFA-fixed paraffin-embedded sections)", "shortname":"IHC-P"} }, "product-promise": { "all": "all", "testedAndGuaranteed": "tested", "guaranteed": "expected", "predicted": "predicted", "notRecommended": "not-recommended" } }, "values": { "Human": { "WB-species-checked": "testedAndGuaranteed", "WB-species-dilution-info": "1/500 - 1/20000", "WB-species-notes": "<p></p>", "IHCP-species-checked": "testedAndGuaranteed", "IHCP-species-dilution-info": "1/100 - 1/1000", "IHCP-species-notes": "<p></p>" } } }

Properties and storage information

Form
Liquid
Purification technique
Affinity purification Immunogen
Storage buffer
pH: 7 Preservative: 0.01% Thimerosal (merthiolate) Constituents: PBS, 20% Glycerol (glycerin, glycerine)
Shipped at conditions
Blue Ice
Appropriate short-term storage duration
1-2 weeks
Appropriate short-term storage conditions
+4°C
Appropriate long-term storage conditions
-20°C
Aliquoting information
Upon delivery aliquot
Storage information
Avoid freeze / thaw cycle

Supplementary information

This supplementary information is collated from multiple sources and compiled automatically.

The protein MAFF also known as v-maf avian musculoaponeurotic fibrosarcoma oncogene homolog F functions as a transcription factor. It is a small protein with a molecular mass of approximately 18 kDa. MAFF is expressed in various tissues including the brain liver and pancreas. It belongs to the small Maf family characterized by their lack of transcriptional activation domains necessitating dimerization with other proteins to regulate gene expression.
Biological function summary

The small Maf protein MAFF plays an important role in regulating oxidative stress response and the coordinated expression of genes involved in detoxification processes. When part of a complex it often dimerizes with Nrf2 a protein that activates the expression of antioxidant response elements (ARE) in gene promoters. This kind of dimerization enables MAFF to indirectly regulate the transcription of genes involved in the cellular protection against oxidative damage.

Pathways

MAFF integrates into the antioxidant defense mechanism especially through its interaction with the Nrf2-Keap1 signaling pathway. Within this pathway MAFF through its interaction with Nrf2 facilitates the induction of cytoprotective genes that help in detoxification and maintaining cellular redox homeostasis. The interaction between MAFF and Nrf2 is significant as Nrf2 becomes stabilized and translocates to the nucleus under oxidative stress which is key for the pathway's protective effects.

MAFF through its interaction mainly with Nrf2 is associated with conditions like cancer and neurodegenerative diseases. In cancer the deregulation of the Nrf2 pathway often involving MAFF can lead to resistance against chemotherapy due to enhanced cellular antioxidant defenses therefore promoting tumor survival. Additionally in neurodegenerative disorders the inefficient activation of the MAFF-Nrf2 pathway may contribute to the accumulation of oxidative damage an underlying factor in diseases like Alzheimer's.

Product protocols

For this product, it's our understanding that no specific protocols are required. You can visit:

Target data

Since they lack a putative transactivation domain, the small Mafs behave as transcriptional repressors when they dimerize among themselves (PubMed : 8932385). However, they seem to serve as transcriptional activators by dimerizing with other (usually larger) basic-zipper proteins, such as NFE2L1/NRF1, and recruiting them to specific DNA-binding sites. Interacts with the upstream promoter region of the oxytocin receptor gene (PubMed : 16549056, PubMed : 8932385). May be a transcriptional enhancer in the up-regulation of the oxytocin receptor gene at parturition (PubMed : 10527846).
See full target information MAFF

Publications (3)

Recent publications for all applications. Explore the full list and refine your search

BMC cardiovascular disorders 21:448 PubMed34535081

2021

Proteome-scale profiling reveals MAFF and MAFG as two novel key transcription factors involved in palmitic acid-induced umbilical vein endothelial cell apoptosis.

Applications

Unspecified application

Species

Unspecified reactive species

Mangyuan Wang,Fen Liu,Binbin Fang,Qiang Huo,Yining Yang

Oncology research 28:299-309 PubMed31969212

2020

MafF Is Regulated via the circ-ITCH/miR-224-5p Axis and Acts as a Tumor Suppressor in Hepatocellular Carcinoma.

Applications

Unspecified application

Species

Unspecified reactive species

Minhua Wu,Xubin Deng,Yu Zhong,Li Hu,Xiujuan Zhang,Yanqin Liang,Xiaofang Li,Xiaoxia Ye

Cellular microbiology 18:80-96 PubMed26248337

2015

Inability to sustain intraphagolysosomal killing of Staphylococcus aureus predisposes to bacterial persistence in macrophages.

Applications

Unspecified application

Species

Unspecified reactive species

Jamil Jubrail,Paul Morris,Martin A Bewley,Simon Stoneham,Simon A Johnston,Simon J Foster,Andrew A Peden,Robert C Read,Helen M Marriott,David H Dockrell
View all publications

Product promise

We are committed to supporting your work with high-quality reagents, and we're here for you every step of the way. In the unlikely event that one of our products does not perform as expected, you're protected by our Product Promise.
For full details, please see our Terms & Conditions

Please note: All products are 'FOR RESEARCH USE ONLY. NOT FOR USE IN DIAGNOSTIC OR THERAPEUTIC PROCEDURES'.

For licensing inquiries, please contact partnerships@abcam.com