JavaScript is disabled in your browser. Please enable JavaScript to view this website.
AB277524

Anti-MAG/GMA antibody [EPR24276-125]

Be the first to review this product! Submit a review

|

(5 Publications)

Rabbit Recombinant Monoclonal MAG/GMA antibody. Suitable for ICC/IF, IP, WB, IHC-Fr, IHC-P and reacts with Rat, Mouse, Human samples. Cited in 5 publications.

View Alternative Names

GMA, MAG, Myelin-associated glycoprotein, Siglec-4a

13 Images
Immunohistochemistry (Formalin/PFA-fixed paraffin-embedded sections) - Anti-MAG/GMA antibody [EPR24276-125] (AB277524)
  • IHC-P

Supplier Data

Immunohistochemistry (Formalin/PFA-fixed paraffin-embedded sections) - Anti-MAG/GMA antibody [EPR24276-125] (AB277524)

Immunohistochemical analysis of paraffin-embedded human sciatic nerve tissue labeling MAG/GMA with ab277524 at 1/5000 dilution (0.1008 ug/ml) followed by a ready to use Rabbit specific IHC polymer detection kit HRP/DAB (ab209101). Positive staining on human sciatic nerve. The section was incubated with ab277524 for 30 mins at room temperature. The immunostaining was performed on a Leica Biosystems BOND® RX instrument. Counterstained with Hematoxylin.

Secondary antibody only control : Secondary antibody is a ready to use Rabbit specific IHC polymer detection kit HRP/DAB (ab209101).

Heat mediated antigen retrieval with Tris-EDTA buffer (pH 9.0, epitope retrieval solution2) for 20 mins.

Immunohistochemistry (Formalin/PFA-fixed paraffin-embedded sections) - Anti-MAG/GMA antibody [EPR24276-125] (AB277524)
  • IHC-P

Supplier Data

Immunohistochemistry (Formalin/PFA-fixed paraffin-embedded sections) - Anti-MAG/GMA antibody [EPR24276-125] (AB277524)

Immunohistochemical analysis of paraffin-embedded human cerebrum tissue labeling MAG/GMA with ab277524 at 1/5000 dilution (0.1008 ug/ml) followed by a ready to use Rabbit specific IHC polymer detection kit HRP/DAB (ab209101). Positive staining on human cerebrum.The section was incubated with ab277524 for 30 mins at room temperature. The immunostaining was performed on a Leica Biosystems BOND® RX instrument. Counterstained with Hematoxylin.

Secondary antibody only control : Secondary antibody is a ready to use Rabbit specific IHC polymer detection kit HRP/DAB (ab209101).

Heat mediated antigen retrieval with Tris-EDTA buffer (pH 9.0, epitope retrieval solution2) for 20 mins.

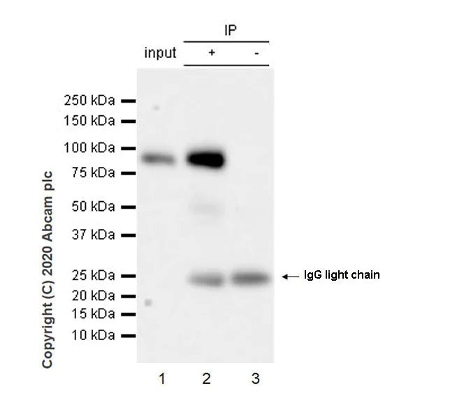
Immunoprecipitation - Anti-MAG/GMA antibody [EPR24276-125] (AB277524)
  • IP

Supplier Data

Immunoprecipitation - Anti-MAG/GMA antibody [EPR24276-125] (AB277524)

MAG/GMA was immunoprecipitated from 0.35 mg human cerebellum tissue lysate with ab277524 at 1/30 dilution (2ug in 0.35mg lysates). Western blot was performed on the immunoprecipitate using ab277524 at 1/1000 dilution. VeriBlot for IP Detection Reagent (HRP)(ab131366) was used at 1/5000 dilution.

Lane 1 : Human cerebellum tissue lysate 10 ug

Lane 2 : ab277524 IP in Human cerebellum tissue lysate

Lane 3 : Rabbit monoclonal IgG (ab172730) instead of ab277524 in Human cerebellum tissue lysate

Blocking and dilution buffer and concentration : 5% NFDM/TBST.

Exposure time : 23 seconds.

All lanes:

Immunoprecipitation - Anti-MAG/GMA antibody [EPR24276-125] (ab277524)

Predicted band size: 69 kDa

Observed band size: 100 kDa

false

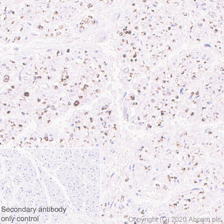
Immunohistochemistry (Formalin/PFA-fixed paraffin-embedded sections) - Anti-MAG/GMA antibody [EPR24276-125] (AB277524)
  • IHC-P

Supplier Data

Immunohistochemistry (Formalin/PFA-fixed paraffin-embedded sections) - Anti-MAG/GMA antibody [EPR24276-125] (AB277524)

Immunohistochemical analysis of paraffin-embedded mouse hippocampus tissue labeling MAG/GMA with ab277524 at 1/2000 dilution (0.252 ug/ml) followed by a ready to use Rabbit specific IHC polymer detection kit HRP/DAB (ab209101). Positive staining on mouse hippocampus. (PMID : 25523827)The section was incubated with ab277524 for 30 mins at room temperature. The immunostaining was performed on a Leica Biosystems BOND® RX instrument. Counterstained with Hematoxylin.

Secondary antibody only control : Secondary antibody is a ready to use Rabbit specific IHC polymer detection kit HRP/DAB (ab209101).

Heat mediated antigen retrieval with Tris-EDTA buffer (pH 9.0, epitope retrieval solution2) for 20 mins.

Immunohistochemistry (Frozen sections) - Anti-MAG/GMA antibody [EPR24276-125] (AB277524)
  • IHC-Fr

Supplier Data

Immunohistochemistry (Frozen sections) - Anti-MAG/GMA antibody [EPR24276-125] (AB277524)

Immunohistochemical analysis of 4% PFA-fixed, 0.2% Triton X-100 permeabilized frozen rat cerebellum tissue labeling MAG/GMA with ab277524 at 1/500 dilution (1.008 ug/ml) followed by ab150077 Goat Anti-Rabbit IgG H&L (Alexa Fluor® 488) at 1/1000 dilution (Green). Positive staining on rat cerebellum is observed. The nuclear counterstain was DAPI (Blue).

Secondary antibody control : Secondary antibody is ab150077 Goat Anti-Rabbit IgG H&L (Alexa Fluor® 488) at 1/1000 dilution.

Heat mediated antigen retrieval using sodium citrate buffer (10mM citrate pH 6.0 + 0.05% Tween-20).

Immunocytochemistry/ Immunofluorescence - Anti-MAG/GMA antibody [EPR24276-125] (AB277524)
  • ICC/IF

Supplier Data

Immunocytochemistry/ Immunofluorescence - Anti-MAG/GMA antibody [EPR24276-125] (AB277524)

Immunofluorescent analysis of 4% Paraformaldehyde-fixed, 0.1% Triton X-100 permeabilized rat primary neural/glia cell cells labelling MAG/GMA with ab277524 at 1/50 dilution (10.08 ug/ml), followed by ab150080 Goat Anti-Rabbit IgG H&L (Alexa Fluor® 594) antibody at 1/1000 dilution (Green). Confocal image showing cytoplasmic staining in rat primary oligodendroglia cells. Confocal scanning Z step was set as 0.3 μm followed by image processing with maximum Z projection. Anti-Myelin Basic Protein rat monoclonal antibody was used to counterstain tubulin at 1/200 dilution (Red). The Nuclear counterstain was DAPI (Blue).

-ve control 1 : ab277241 at 1/50 dilution, followed by ab150157 at 1/1000 dilution.

-ve control 2 : Anti-Myelin Basic Protein rat monoclonal antibody, followed by ab150080 at 1/1000 dilution.

Immunohistochemistry (Frozen sections) - Anti-MAG/GMA antibody [EPR24276-125] (AB277524)
  • IHC-Fr

Supplier Data

Immunohistochemistry (Frozen sections) - Anti-MAG/GMA antibody [EPR24276-125] (AB277524)

Immunohistochemical analysis of 4% PFA-fixed, 0.2% Triton X-100 permeabilized frozen rat liver tissue labeling MAG/GMA with ab277524 at 1/100 dilution (5.04 ug/ml) followed by ab150077 Goat Anti-Rabbit IgG H&L (Alexa Fluor® 488) at 1/1000 dilution (Green). Negative control : No staining on rat liver (PMID2432614) is observed. The nuclear counterstain was DAPI (Blue).

Secondary antibody control : Secondary antibody is ab150077 Goat Anti-Rabbit IgG H&L (Alexa Fluor® 488) at 1/1000 dilution.

Heat mediated antigen retrieval using sodium citrate buffer (10mM citrate pH 6.0 + 0.05% Tween-20).

Immunohistochemistry (Frozen sections) - Anti-MAG/GMA antibody [EPR24276-125] (AB277524)
  • IHC-Fr

Supplier Data

Immunohistochemistry (Frozen sections) - Anti-MAG/GMA antibody [EPR24276-125] (AB277524)

Immunohistochemical analysis of 4% PFA-fixed, 0.2% Triton X-100 permeabilized frozen mouse liver tissue labeling MAG/GMA with ab277524 at 1/100 dilution (5.04 ug/ml) followed by ab150077 Goat Anti-Rabbit IgG H&L (Alexa Fluor® 488) at 1/1000 dilution (Green). Negative control : No staining on mouse liver (PMID2432614) is observed. The nuclear counterstain was DAPI (Blue).

Secondary antibody control : Secondary antibody is ab150077 Goat Anti-Rabbit IgG H&L (Alexa Fluor® 488) at 1/1000 dilution.

Heat mediated antigen retrieval using sodium citrate buffer (10mM citrate pH 6.0 + 0.05% Tween-20).

Immunohistochemistry (Formalin/PFA-fixed paraffin-embedded sections) - Anti-MAG/GMA antibody [EPR24276-125] (AB277524)
  • IHC-P

Supplier Data

Immunohistochemistry (Formalin/PFA-fixed paraffin-embedded sections) - Anti-MAG/GMA antibody [EPR24276-125] (AB277524)

Immunohistochemical analysis of paraffin-embedded rat hippocampus tissue labeling MAG/GMA with ab277524 at 1/2000 (0.252 ug/ml) followed by a ready to use Rabbit specific IHC polymer detection kit HRP/DAB (ab209101). Positive staining on rat hippocampus. (PMID : 17705198, 27000654 )The section was incubated with ab277524 for 30 mins at room temperature. The immunostaining was performed on a Leica Biosystems BOND® RX instrument. Counterstained with Hematoxylin.

Secondary antibody only control : Secondary antibody is a ready to use Rabbit specific IHC polymer detection kit HRP/DAB (ab209101).

Heat mediated antigen retrieval with Tris-EDTA buffer (pH 9.0, epitope retrieval solution2) for 20 mins.

Immunohistochemistry (Frozen sections) - Anti-MAG/GMA antibody [EPR24276-125] (AB277524)
  • IHC-Fr

Supplier Data

Immunohistochemistry (Frozen sections) - Anti-MAG/GMA antibody [EPR24276-125] (AB277524)

Immunohistochemical analysis of 4% PFA-fixed, 0.2% Triton X-100 permeabilized frozen mouse cerebellum tissue labeling MAG/GMA with ab277524 at 1/500 dilution (1.008 ug/ml) followed by ab150077 Goat Anti-Rabbit IgG H&L (Alexa Fluor® 488) at 1/1000 dilution (Green). Positive staining on mouse cerebellum is observed. The nuclear counterstain was DAPI (Blue).

Secondary antibody control : Secondary antibody is ab150077 Goat Anti-Rabbit IgG H&L (Alexa Fluor® 488) at 1/1000 dilution.

Heat mediated antigen retrieval using sodium citrate buffer (10mM citrate pH 6.0 + 0.05% Tween-20).

Immunoprecipitation - Anti-MAG/GMA antibody [EPR24276-125] (AB277524)
  • IP

Supplier Data

Immunoprecipitation - Anti-MAG/GMA antibody [EPR24276-125] (AB277524)

MAG/GMA was immunoprecipitated from 0.35 mg mouse brain tissue lysate with ab277524 at 1/30 dilution (2ug in 0.35mg lysates). Western blot was performed on the immunoprecipitate using ab277524 at 1/1000 dilution. VeriBlot for IP Detection Reagent (HRP)(ab131366) was used at 1/5000 dilution.

Lane 1 : Mouse brain tissue lysate 10 ug

Lane 2 : ab277524 IP in Mouse brain tissue lysate

Lane 3 : Rabbit monoclonal IgG (ab172730) instead of ab277524 in Mouse brain tissue lysate

Blocking and dilution buffer and concentration : 5% NFDM/TBST.

Exposure time : 23 seconds.

All lanes:

Immunoprecipitation - Anti-MAG/GMA antibody [EPR24276-125] (ab277524)

Predicted band size: 69 kDa

Observed band size: 100 kDa

false

Western blot - Anti-MAG/GMA antibody [EPR24276-125] (AB277524)
  • WB

Lab

Western blot - Anti-MAG/GMA antibody [EPR24276-125] (AB277524)

Blocking and diluting buffer and concentration : 5% NFDM/TBST.

MAG is a glycoprotein. The molecular weight observed is consistent with what has been described in the literature (PMID : 1716323).

Negative control : Liver (PMID : 2432614).

Exposure time : 26 seconds.

All lanes:

Western blot - Anti-MAG/GMA antibody [EPR24276-125] (ab277524) at 1/1000 dilution

Lane 1:

Human cerebellum tissue lysate at 20 µg

Lane 2:

Human liver tissue lysate at 20 µg

Secondary

All lanes:

VeriBlot for IP secondary antibody(HRP)(<a href='/en-us/products/reagents/veriblot-for-ip-detection-reagent-hrp-ab131366'>ab131366</a>) at 1/1000 dilution

Predicted band size: 69 kDa

Observed band size: 100 kDa

false

Western blot - Anti-MAG/GMA antibody [EPR24276-125] (AB277524)
  • WB

Lab

Western blot - Anti-MAG/GMA antibody [EPR24276-125] (AB277524)

Blocking and diluting buffer and concentration : 5% NFDM/TBST.

MAG is a glycoprotein. The molecular weight observed is consistent with what has been described in the literature (PMID : 1716323).

Negative control : Liver (PMID : 2432614).

Exposure time : 126 seconds.

All lanes:

Western blot - Anti-MAG/GMA antibody [EPR24276-125] (ab277524) at 1/1000 dilution

Lane 1:

Mouse brain tissue lysate at 20 µg

Lane 2:

Mouse cerebellum tissue lysate at 20 µg

Lane 3:

Mouse liver tissue lysate at 20 µg

Lane 4:

Rat cerebellum tissue lysate at 20 µg

Lane 5:

Rat liver tissue lysate at 20 µg

Secondary

All lanes:

Western blot - Goat Anti-Rabbit IgG H&L (HRP) (<a href='/en-us/products/secondary-antibodies/goat-rabbit-igg-h-l-hrp-ab97051'>ab97051</a>) at 1/100000 dilution

Predicted band size: 69 kDa

Observed band size: 100 kDa

false

  • Carrier free

    Anti-MAG/GMA antibody [EPR24276-125] - BSA and Azide free

Key facts

Host species

Rabbit

Clonality

Monoclonal

Clone number

EPR24276-125

Isotype

IgG

Carrier free

No

Reacts with

Mouse, Rat, Human

Applications

IHC-P, WB, ICC/IF, IP, IHC-Fr

applications

Immunogen

The exact immunogen used to generate this antibody is proprietary information.

Reactivity data

{ "title": "Reactivity Data", "filters": { "stats": ["", "Species", "Dilution Info", "Notes"], "tabs": { "all-applications": {"fullname" : "All Applications", "shortname": "All Applications"}, "ICCIF" : {"fullname" : "Immunocytochemistry/ Immunofluorescence", "shortname":"ICC/IF"}, "IP" : {"fullname" : "Immunoprecipitation", "shortname":"IP"}, "FlowCyt" : {"fullname" : "Flow Cytometry", "shortname":"Flow Cyt"}, "WB" : {"fullname" : "Western blot", "shortname":"WB"}, "IHCFr" : {"fullname" : "Immunohistochemistry (Frozen sections)", "shortname":"IHC-Fr"}, "IHCP" : {"fullname" : "Immunohistochemistry (Formalin/PFA-fixed paraffin-embedded sections)", "shortname":"IHC-P"} }, "product-promise": { "all": "all", "testedAndGuaranteed": "tested", "guaranteed": "expected", "predicted": "predicted", "notRecommended": "not-recommended" } }, "values": { "Human": { "ICCIF-species-checked": "notRecommended", "ICCIF-species-dilution-info": "1/50", "ICCIF-species-notes": "<p></p>", "IP-species-checked": "testedAndGuaranteed", "IP-species-dilution-info": "1/30", "IP-species-notes": "<p></p>", "FlowCyt-species-checked": "notRecommended", "FlowCyt-species-dilution-info": "", "FlowCyt-species-notes": "<p></p>", "WB-species-checked": "testedAndGuaranteed", "WB-species-dilution-info": "1/1000", "WB-species-notes": "<p></p>", "IHCFr-species-checked": "guaranteed", "IHCFr-species-dilution-info": "", "IHCFr-species-notes": "", "IHCP-species-checked": "testedAndGuaranteed", "IHCP-species-dilution-info": "1/2000", "IHCP-species-notes": "<p>Can be used at 1/5000 dilution for human.</p>" }, "Mouse": { "ICCIF-species-checked": "notRecommended", "ICCIF-species-dilution-info": "1/50", "ICCIF-species-notes": "<p></p>", "IP-species-checked": "testedAndGuaranteed", "IP-species-dilution-info": "1/30", "IP-species-notes": "<p></p>", "FlowCyt-species-checked": "notRecommended", "FlowCyt-species-dilution-info": "", "FlowCyt-species-notes": "<p></p>", "WB-species-checked": "testedAndGuaranteed", "WB-species-dilution-info": "1/1000", "WB-species-notes": "<p></p>", "IHCFr-species-checked": "testedAndGuaranteed", "IHCFr-species-dilution-info": "1/500", "IHCFr-species-notes": "<p>Heat mediated antigen retrieval using sodium citrate buffer (10mM citrate pH 6.0 + 0.05% Tween-20).</p>", "IHCP-species-checked": "testedAndGuaranteed", "IHCP-species-dilution-info": "1/2000", "IHCP-species-notes": "<p>Can be used at 1/5000 dilution for human.</p>" }, "Rat": { "ICCIF-species-checked": "testedAndGuaranteed", "ICCIF-species-dilution-info": "1/50", "ICCIF-species-notes": "<p></p>", "IP-species-checked": "guaranteed", "IP-species-dilution-info": "", "IP-species-notes": "", "FlowCyt-species-checked": "notRecommended", "FlowCyt-species-dilution-info": "", "FlowCyt-species-notes": "<p></p>", "WB-species-checked": "testedAndGuaranteed", "WB-species-dilution-info": "1/1000", "WB-species-notes": "<p></p>", "IHCFr-species-checked": "testedAndGuaranteed", "IHCFr-species-dilution-info": "1/500", "IHCFr-species-notes": "<p>Heat mediated antigen retrieval using sodium citrate buffer (10mM citrate pH 6.0 + 0.05% Tween-20).</p>", "IHCP-species-checked": "testedAndGuaranteed", "IHCP-species-dilution-info": "1/2000", "IHCP-species-notes": "<p>Can be used at 1/5000 dilution for human.</p>" } } }

Product details

Patented technology
Our RabMAb® technology is a patented hybridoma-based technology for making rabbit monoclonal antibodies. For details on our patents, please refer to RabMAb® patents.

What are the advantages of a recombinant monoclonal antibody?
This product is a recombinant monoclonal antibody, which offers several advantages including:

  • - High batch-to-batch consistency and reproducibility
  • - Improved sensitivity and specificity
  • - Long-term security of supply
  • - Animal-free batch production

For more information, read more on recombinant antibodies.

Properties and storage information

Form
Liquid
Purification technique
Affinity purification Protein A
Storage buffer
Preservative: 0.01% Sodium azide Constituents: PBS, 40% Glycerol (glycerin, glycerine), 0.05% BSA
Shipped at conditions
Blue Ice
Appropriate short-term storage duration
1-2 weeks
Appropriate short-term storage conditions
+4°C
Appropriate long-term storage conditions
-20°C
Aliquoting information
Upon delivery aliquot
Storage information
Avoid freeze / thaw cycle

Supplementary information

This supplementary information is collated from multiple sources and compiled automatically.

MAG (Myelin-Associated Glycoprotein) sometimes referred to as 'MAG protein' 'MAG RAT' or 'MAG/GMA' weighs approximately 100 kDa. This protein is prominently expressed in the central and peripheral nervous systems. MAG localizes to the periaxonal region of myelinated axons making it essential for proper neuronal function. It plays an important role in maintaining the stability and structure of myelin sheaths which are important for the efficient transmission of nerve impulses.
Biological function summary

This protein acts as an adhesion molecule that contributes to the myelination process. It exists as part of a molecular complex that interacts with other oligodendrocyte and Schwann cell proteins. This interaction is important for nerve regeneration and the expansion of the myelin sheath during development and repair. MAG also assists in signaling between axons and glial cells improving cellular communication and myelin integrity.

Pathways

MAG significantly impacts pathways such as the Nogo receptor which is associated with inhibiting axonal growth and regeneration. MAG interacts with the NOGO protein and other members of the Nogo receptor signaling pathway where it functions to regulate neuronal growth and regeneration. Furthermore MAG's interplay with NOGO receptor components contributes to limiting excessive sprouting of axons balancing growth and stability of the nervous system.

MAG is notably linked to neuropathies and multiple sclerosis. In neuropathies abnormal MAG expression can disrupt nerve conduction and lead to demyelinating conditions. Multiple sclerosis sees extensive involvement of MAG where its malfunction or reduced expression associates with the failure of remyelination processes. Additionally MAG's connection with proteins such as NOGO and other myelin-associated inhibitors implicates its role in the pathology of these disorders offering potential targets for therapeutic interventions.

Product protocols

For this product, it's our understanding that no specific protocols are required. You can visit:

Target data

Adhesion molecule that mediates interactions between myelinating cells and neurons by binding to neuronal sialic acid-containing gangliosides and to the glycoproteins RTN4R and RTN4RL2 (By similarity). Not required for initial myelination, but seems to play a role in the maintenance of normal axon myelination. Protects motoneurons against apoptosis, also after injury; protection against apoptosis is probably mediated via interaction with neuronal RTN4R and RTN4RL2. Required to prevent degeneration of myelinated axons in adults; this probably depends on binding to gangliosides on the axon cell membrane (By similarity). Negative regulator of neurite outgrowth; in dorsal root ganglion neurons the inhibition is mediated primarily via binding to neuronal RTN4R or RTN4RL2 and to a lesser degree via binding to neuronal gangliosides. In cerebellar granule cells the inhibition is mediated primarily via binding to neuronal gangliosides. In sensory neurons, inhibition of neurite extension depends only partially on RTN4R, RTN4RL2 and gangliosides. Inhibits axon longitudinal growth (By similarity). Inhibits axon outgrowth by binding to RTN4R (By similarity). Preferentially binds to alpha-2,3-linked sialic acid. Binds ganglioside Gt1b (By similarity).
See full target information MAG

Publications (5)

Recent publications for all applications. Explore the full list and refine your search

Theranostics 15:4763-4784 PubMed40225581

2025

Microglial Lcn2 knockout enhances chronic intracerebral hemorrhage recovery by restoring myelin and reducing inflammation.

Applications

Unspecified application

Species

Unspecified reactive species

Li Wang,Lei Zhang,Kai Wang,Jun He,Liang Yuan,Yangang Wang,Weihao Lv,Zehan Zhang,Yuan Feng,Hongchen Zhang,Min Zhang,Rui Lv,Ya-Nan Dou,Xiaowei Fei,Jialiang Wei

International journal of molecular sciences 26: PubMed40003962

2025

Non-Invasive Assessment of Neurogenesis Dysfunction in Fetuses with Early-Onset Growth Restriction Using Fetal Neuronal Exosomes Isolating from Maternal Blood: A Pilot Study.

Applications

Unspecified application

Species

Unspecified reactive species

Vladislava Gusar,Natalia Kan,Anastasia Leonova,Vitaliy Chagovets,Victor Tyutyunnik,Zarine Khachatryan,Ekaterina Yarotskaya,Gennadiy Sukhikh

Acta neuropathologica 148:49 PubMed39377933

2024

Microangiopathy in temporal lobe epilepsy with diffusion MRI alterations and cognitive decline.

Applications

Unspecified application

Species

Unspecified reactive species

Joan Liu,Lawrence Binding,Isha Puntambekar,Smriti Patodia,Yau Mun Lim,Alicja Mryzyglod,Fenglai Xiao,Shengning Pan,Remika Mito,Jane de Tisi,John S Duncan,Sallie Baxendale,Matthias Koepp,Maria Thom

Investigative ophthalmology & visual science 64:7 PubMed37036418

2023

Schwann Cells Are Key Regulators of Corneal Epithelial Renewal.

Applications

Unspecified application

Species

Unspecified reactive species

Kaveh Mirmoeini,Kiana Tajdaran,Jennifer Zhang,Tessa Gordon,Asim Ali,David R Kaplan,Konstantin Feinberg,Gregory H Borschel

Journal of inflammation research 14:5919-5937 PubMed34803390

2021

Melatonin Ameliorates Axonal Hypomyelination of Periventricular White Matter by Transforming A1 to A2 Astrocyte via JAK2/STAT3 Pathway in Septic Neonatal Rats.

Applications

Unspecified application

Species

Unspecified reactive species

Shuqi Jiang,Huifang Wang,Qiuping Zhou,Qian Li,Nan Liu,Zhenggong Li,Chunbo Chen,Yiyu Deng
View all publications

Product promise

We are committed to supporting your work with high-quality reagents, and we're here for you every step of the way. In the unlikely event that one of our products does not perform as expected, you're protected by our Product Promise.
For full details, please see our Terms & Conditions

Please note: All products are 'FOR RESEARCH USE ONLY. NOT FOR USE IN DIAGNOSTIC OR THERAPEUTIC PROCEDURES'.

For licensing inquiries, please contact partnerships@abcam.com