JavaScript is disabled in your browser. Please enable JavaScript to view this website.
AB277535

Anti-MAG/GMA antibody [EPR24276-125] - BSA and Azide free

Be the first to review this product! Submit a review

|

(1 Publication)

Rabbit Recombinant Monoclonal MAG/GMA antibody. Carrier free. Suitable for ICC/IF, IP, WB, IHC-Fr, IHC-P and reacts with Rat, Human, Mouse samples. Cited in 1 publication.

View Alternative Names

GMA, MAG, Myelin-associated glycoprotein, Siglec-4a

13 Images
Immunohistochemistry (Formalin/PFA-fixed paraffin-embedded sections) - Anti-MAG/GMA antibody [EPR24276-125] - BSA and Azide free (AB277535)
  • IHC-P

Supplier Data

Immunohistochemistry (Formalin/PFA-fixed paraffin-embedded sections) - Anti-MAG/GMA antibody [EPR24276-125] - BSA and Azide free (AB277535)

This data was developed using ab277524, the same antibody clone in a different buffer formulation.

Immunohistochemical analysis of paraffin-embedded human sciatic nerve tissue labeling MAG/GMA with ab277524 at 1/5000 dilution (0.1008 ug/ml) followed by a ready to use Rabbit specific IHC polymer detection kit HRP/DAB (ab209101). Positive staining on human sciatic nerve. The section was incubated with ab277524 for 30 mins at room temperature. The immunostaining was performed on a Leica Biosystems BOND® RX instrument. Counterstained with Hematoxylin.

Secondary antibody only control : Secondary antibody is a ready to use Rabbit specific IHC polymer detection kit HRP/DAB (ab209101).

Heat mediated antigen retrieval with Tris-EDTA buffer (pH 9.0, epitope retrieval solution2) for 20 mins.

Immunohistochemistry (Formalin/PFA-fixed paraffin-embedded sections) - Anti-MAG/GMA antibody [EPR24276-125] - BSA and Azide free (AB277535)
  • IHC-P

Supplier Data

Immunohistochemistry (Formalin/PFA-fixed paraffin-embedded sections) - Anti-MAG/GMA antibody [EPR24276-125] - BSA and Azide free (AB277535)

This data was developed using ab277524, the same antibody clone in a different buffer formulation.

Immunohistochemical analysis of paraffin-embedded human cerebrum tissue labeling MAG/GMA with ab277524 at 1/5000 dilution (0.1008 ug/ml) followed by a ready to use Rabbit specific IHC polymer detection kit HRP/DAB (ab209101). Positive staining on human cerebrum.The section was incubated with ab277524 for 30 mins at room temperature. The immunostaining was performed on a Leica Biosystems BOND® RX instrument. Counterstained with Hematoxylin.

Secondary antibody only control : Secondary antibody is a ready to use Rabbit specific IHC polymer detection kit HRP/DAB (ab209101).

Heat mediated antigen retrieval with Tris-EDTA buffer (pH 9.0, epitope retrieval solution2) for 20 mins.

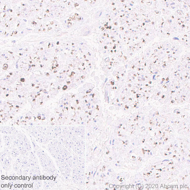
Immunohistochemistry (Formalin/PFA-fixed paraffin-embedded sections) - Anti-MAG/GMA antibody [EPR24276-125] - BSA and Azide free (AB277535)
  • IHC-P

Supplier Data

Immunohistochemistry (Formalin/PFA-fixed paraffin-embedded sections) - Anti-MAG/GMA antibody [EPR24276-125] - BSA and Azide free (AB277535)

This data was developed using ab277524, the same antibody clone in a different buffer formulation.

Immunohistochemical analysis of paraffin-embedded mouse hippocampus tissue labeling MAG/GMA with ab277524 at 1/2000 dilution (0.252 ug/ml) followed by a ready to use Rabbit specific IHC polymer detection kit HRP/DAB (ab209101). Positive staining on mouse hippocampus. (PMID : 25523827)The section was incubated with ab277524 for 30 mins at room temperature. The immunostaining was performed on a Leica Biosystems BOND® RX instrument. Counterstained with Hematoxylin.

Secondary antibody only control : Secondary antibody is a ready to use Rabbit specific IHC polymer detection kit HRP/DAB (ab209101).

Heat mediated antigen retrieval with Tris-EDTA buffer (pH 9.0, epitope retrieval solution2) for 20 mins.

Immunohistochemistry (Frozen sections) - Anti-MAG/GMA antibody [EPR24276-125] - BSA and Azide free (AB277535)
  • IHC-Fr

Supplier Data

Immunohistochemistry (Frozen sections) - Anti-MAG/GMA antibody [EPR24276-125] - BSA and Azide free (AB277535)

This data was developed using ab277524, the same antibody clone in a different buffer formulation.

Immunohistochemical analysis of 4% PFA-fixed, 0.2% Triton X-100 permeabilized frozen rat cerebellum tissue labeling MAG/GMA with ab277524 at 1/500 dilution (1.008 ug/ml) followed by ab150077 Goat Anti-Rabbit IgG H&L (Alexa Fluor® 488) at 1/1000 dilution (Green). Positive staining on rat cerebellum is observed. The nuclear counterstain was DAPI (Blue).

Secondary antibody control : Secondary antibody is ab150077 Goat Anti-Rabbit IgG H&L (Alexa Fluor® 488) at 1/1000 dilution.

Heat mediated antigen retrieval using sodium citrate buffer (10mM citrate pH 6.0 + 0.05% Tween-20).

Immunocytochemistry/ Immunofluorescence - Anti-MAG/GMA antibody [EPR24276-125] - BSA and Azide free (AB277535)
  • ICC/IF

Supplier Data

Immunocytochemistry/ Immunofluorescence - Anti-MAG/GMA antibody [EPR24276-125] - BSA and Azide free (AB277535)

This data was developed using ab277524, the same antibody clone in a different buffer formulation.

Immunofluorescent analysis of 4% Paraformaldehyde-fixed, 0.1% Triton X-100 permeabilized rat primary neural/glia cell cells labelling MAG/GMA with ab277524 at 1/50 dilution (10.08 ug/ml), followed by ab150080 Goat Anti-Rabbit IgG H&L (Alexa Fluor® 594) antibody at 1/1000 dilution (Green). Confocal image showing cytoplasmic staining in rat primary oligodendroglia cells. Confocal scanning Z step was set as 0.3 μm followed by image processing with maximum Z projection. Anti-Myelin Basic Protein rat monoclonal antibody was used to counterstain tubulin at 1/200 dilution (Red). The Nuclear counterstain was DAPI (Blue).

-ve control 1 : ab277241 at 1/50 dilution, followed by ab150157 at 1/1000 dilution.

-ve control 2 : Anti-Myelin Basic Protein rat monoclonal antibody, followed by ab150080 at 1/1000 dilution.

Immunohistochemistry (Frozen sections) - Anti-MAG/GMA antibody [EPR24276-125] - BSA and Azide free (AB277535)
  • IHC-Fr

Supplier Data

Immunohistochemistry (Frozen sections) - Anti-MAG/GMA antibody [EPR24276-125] - BSA and Azide free (AB277535)

This data was developed using ab277524, the same antibody clone in a different buffer formulation.

Immunohistochemical analysis of 4% PFA-fixed, 0.2% Triton X-100 permeabilized frozen mouse liver tissue labeling MAG/GMA with ab277524 at 1/100 dilution (5.04 ug/ml) followed by ab150077 Goat Anti-Rabbit IgG H&L (Alexa Fluor® 488) at 1/1000 dilution (Green). Negative control : No staining on mouse liver (PMID2432614) is observed. The nuclear counterstain was DAPI (Blue).

Secondary antibody control : Secondary antibody is ab150077 Goat Anti-Rabbit IgG H&L (Alexa Fluor® 488) at 1/1000 dilution.

Heat mediated antigen retrieval using sodium citrate buffer (10mM citrate pH 6.0 + 0.05% Tween-20).

Immunohistochemistry (Frozen sections) - Anti-MAG/GMA antibody [EPR24276-125] - BSA and Azide free (AB277535)
  • IHC-Fr

Supplier Data

Immunohistochemistry (Frozen sections) - Anti-MAG/GMA antibody [EPR24276-125] - BSA and Azide free (AB277535)

This data was developed using ab277524, the same antibody clone in a different buffer formulation.

Immunohistochemical analysis of 4% PFA-fixed, 0.2% Triton X-100 permeabilized frozen rat liver tissue labeling MAG/GMA with ab277524 at 1/100 dilution (5.04 ug/ml) followed by ab150077 Goat Anti-Rabbit IgG H&L (Alexa Fluor® 488) at 1/1000 dilution (Green). Negative control : No staining on rat liver (PMID2432614) is observed. The nuclear counterstain was DAPI (Blue).

Secondary antibody control : Secondary antibody is ab150077 Goat Anti-Rabbit IgG H&L (Alexa Fluor® 488) at 1/1000 dilution.

Heat mediated antigen retrieval using sodium citrate buffer (10mM citrate pH 6.0 + 0.05% Tween-20).

Immunohistochemistry (Formalin/PFA-fixed paraffin-embedded sections) - Anti-MAG/GMA antibody [EPR24276-125] - BSA and Azide free (AB277535)
  • IHC-P

Supplier Data

Immunohistochemistry (Formalin/PFA-fixed paraffin-embedded sections) - Anti-MAG/GMA antibody [EPR24276-125] - BSA and Azide free (AB277535)

This data was developed using ab277524, the same antibody clone in a different buffer formulation.

Immunohistochemical analysis of paraffin-embedded rat hippocampus tissue labeling MAG/GMA with ab277524 at 1/2000 (0.252 ug/ml) followed by a ready to use Rabbit specific IHC polymer detection kit HRP/DAB (ab209101). Positive staining on rat hippocampus. (PMID : 17705198, 27000654 )The section was incubated with ab277524 for 30 mins at room temperature. The immunostaining was performed on a Leica Biosystems BOND® RX instrument. Counterstained with Hematoxylin.

Secondary antibody only control : Secondary antibody is a ready to use Rabbit specific IHC polymer detection kit HRP/DAB (ab209101).

Heat mediated antigen retrieval with Tris-EDTA buffer (pH 9.0, epitope retrieval solution2) for 20 mins.

Immunohistochemistry (Frozen sections) - Anti-MAG/GMA antibody [EPR24276-125] - BSA and Azide free (AB277535)
  • IHC-Fr

Supplier Data

Immunohistochemistry (Frozen sections) - Anti-MAG/GMA antibody [EPR24276-125] - BSA and Azide free (AB277535)

This data was developed using ab277524, the same antibody clone in a different buffer formulation.

Immunohistochemical analysis of 4% PFA-fixed, 0.2% Triton X-100 permeabilized frozen mouse cerebellum tissue labeling MAG/GMA with ab277524 at 1/500 dilution (1.008 ug/ml) followed by ab150077 Goat Anti-Rabbit IgG H&L (Alexa Fluor® 488) at 1/1000 dilution (Green). Positive staining on mouse cerebellum is observed. The nuclear counterstain was DAPI (Blue).

Secondary antibody control : Secondary antibody is ab150077 Goat Anti-Rabbit IgG H&L (Alexa Fluor® 488) at 1/1000 dilution.

Heat mediated antigen retrieval using sodium citrate buffer (10mM citrate pH 6.0 + 0.05% Tween-20).

Western blot - Anti-MAG/GMA antibody [EPR24276-125] - BSA and Azide free (AB277535)
  • WB

Lab

Western blot - Anti-MAG/GMA antibody [EPR24276-125] - BSA and Azide free (AB277535)

This data was developed using ab277524, the same antibody clone in a different buffer formulation.

Blocking and diluting buffer and concentration : 5% NFDM/TBST.

MAG is a glycoprotein. The molecular weight observed is consistent with what has been described in the literature (PMID : 1716323).

Negative control : Liver (PMID : 2432614).

Exposure time : 26 seconds.

All lanes:

Western blot - Anti-MAG/GMA antibody [EPR24276-125] (<a href='/en-us/products/primary-antibodies/mag-gma-antibody-epr24276-125-ab277524'>ab277524</a>) at 1/1000 dilution

Lane 1:

Human cerebellum tissue lysate at 20 µg

Lane 2:

Human liver tissue lysate at 20 µg

Secondary

All lanes:

VeriBlot for IP secondary antibody(HRP)(<a href='/en-us/products/reagents/veriblot-for-ip-detection-reagent-hrp-ab131366'>ab131366</a>) at 1/1000 dilution

Predicted band size: 69 kDa

Observed band size: 100 kDa

false

Western blot - Anti-MAG/GMA antibody [EPR24276-125] - BSA and Azide free (AB277535)
  • WB

Lab

Western blot - Anti-MAG/GMA antibody [EPR24276-125] - BSA and Azide free (AB277535)

This data was developed using ab277524, the same antibody clone in a different buffer formulation.

Blocking and diluting buffer and concentration : 5% NFDM/TBST.

MAG is a glycoprotein. The molecular weight observed is consistent with what has been described in the literature (PMID : 1716323).

Negative control : Liver (PMID : 2432614).

Exposure time : 126 seconds.

All lanes:

Western blot - Anti-MAG/GMA antibody [EPR24276-125] (<a href='/en-us/products/primary-antibodies/mag-gma-antibody-epr24276-125-ab277524'>ab277524</a>) at 1/1000 dilution

Lane 1:

Mouse brain tissue lysate at 20 µg

Lane 2:

Mouse cerebellum tissue lysate at 20 µg

Lane 3:

Mouse liver tissue lysate at 20 µg

Lane 4:

Rat cerebellum tissue lysate at 20 µg

Lane 5:

Rat liver tissue lysate at 20 µg

Secondary

All lanes:

Western blot - Goat Anti-Rabbit IgG H&L (HRP) (<a href='/en-us/products/secondary-antibodies/goat-rabbit-igg-h-l-hrp-ab97051'>ab97051</a>) at 1/100000 dilution

Predicted band size: 69 kDa

Observed band size: 100 kDa

false

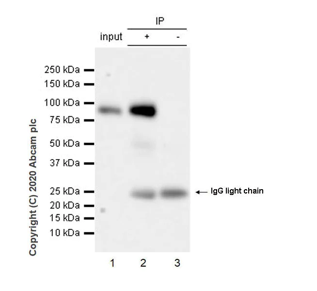
Immunoprecipitation - Anti-MAG/GMA antibody [EPR24276-125] - BSA and Azide free (AB277535)
  • IP

Supplier Data

Immunoprecipitation - Anti-MAG/GMA antibody [EPR24276-125] - BSA and Azide free (AB277535)

This data was developed using ab277524, the same antibody clone in a different buffer formulation.

MAG/GMA was immunoprecipitated from 0.35 mg human cerebellum tissue lysate with ab277524 at 1/30 dilution (2ug in 0.35mg lysates). Western blot was performed on the immunoprecipitate using ab277524 at 1/1000 dilution. VeriBlot for IP Detection Reagent (HRP)(ab131366) was used at 1/5000 dilution.

Lane 1 : Human cerebellum tissue lysate 10 ug

Lane 2 : ab277524 IP in Human cerebellum tissue lysate

Lane 3 : Rabbit monoclonal IgG (ab172730) instead of ab277524 in Human cerebellum tissue lysate

Blocking and dilution buffer and concentration : 5% NFDM/TBST.

Exposure time : 23 seconds.

All lanes:

Immunoprecipitation - Anti-MAG/GMA antibody [EPR24276-125] (<a href='/en-us/products/primary-antibodies/mag-gma-antibody-epr24276-125-ab277524'>ab277524</a>)

Predicted band size: 69 kDa

Observed band size: 100 kDa

false

Immunoprecipitation - Anti-MAG/GMA antibody [EPR24276-125] - BSA and Azide free (AB277535)
  • IP

Supplier Data

Immunoprecipitation - Anti-MAG/GMA antibody [EPR24276-125] - BSA and Azide free (AB277535)

This data was developed using ab277524, the same antibody clone in a different buffer formulation.

MAG/GMA was immunoprecipitated from 0.35 mg mouse brain tissue lysate with ab277524 at 1/30 dilution (2ug in 0.35mg lysates). Western blot was performed on the immunoprecipitate using ab277524 at 1/1000 dilution. VeriBlot for IP Detection Reagent (HRP)(ab131366) was used at 1/5000 dilution.

Lane 1 : Mouse brain tissue lysate 10 ug

Lane 2 : ab277524 IP in Mouse brain tissue lysate

Lane 3 : Rabbit monoclonal IgG (ab172730) instead of ab277524 in Mouse brain tissue lysate

Blocking and dilution buffer and concentration : 5% NFDM/TBST.

Exposure time : 23 seconds.

All lanes:

Immunoprecipitation - Anti-MAG/GMA antibody [EPR24276-125] (<a href='/en-us/products/primary-antibodies/mag-gma-antibody-epr24276-125-ab277524'>ab277524</a>)

Predicted band size: 69 kDa

Observed band size: 100 kDa

false

Key facts

Host species

Rabbit

Clonality

Monoclonal

Clone number

EPR24276-125

Isotype

IgG

Carrier free

Yes

Reacts with

Mouse, Rat, Human

Applications

WB, ICC/IF, IHC-P, IP, IHC-Fr

applications

Immunogen

The exact immunogen used to generate this antibody is proprietary information.

Reactivity data

{ "title": "Reactivity Data", "filters": { "stats": ["", "Species", "Dilution Info", "Notes"], "tabs": { "all-applications": {"fullname" : "All Applications", "shortname": "All Applications"}, "ICCIF" : {"fullname" : "Immunocytochemistry/ Immunofluorescence", "shortname":"ICC/IF"}, "IP" : {"fullname" : "Immunoprecipitation", "shortname":"IP"}, "FlowCyt" : {"fullname" : "Flow Cytometry", "shortname":"Flow Cyt"}, "WB" : {"fullname" : "Western blot", "shortname":"WB"}, "IHCFr" : {"fullname" : "Immunohistochemistry (Frozen sections)", "shortname":"IHC-Fr"}, "IHCP" : {"fullname" : "Immunohistochemistry (Formalin/PFA-fixed paraffin-embedded sections)", "shortname":"IHC-P"} }, "product-promise": { "all": "all", "testedAndGuaranteed": "tested", "guaranteed": "expected", "predicted": "predicted", "notRecommended": "not-recommended" } }, "values": { "Human": { "ICCIF-species-checked": "notRecommended", "ICCIF-species-dilution-info": "", "ICCIF-species-notes": "<p></p>", "IP-species-checked": "testedAndGuaranteed", "IP-species-dilution-info": "", "IP-species-notes": "<p></p>", "FlowCyt-species-checked": "notRecommended", "FlowCyt-species-dilution-info": "", "FlowCyt-species-notes": "<p></p>", "WB-species-checked": "testedAndGuaranteed", "WB-species-dilution-info": "", "WB-species-notes": "<p></p>", "IHCFr-species-checked": "guaranteed", "IHCFr-species-dilution-info": "", "IHCFr-species-notes": "", "IHCP-species-checked": "testedAndGuaranteed", "IHCP-species-dilution-info": "", "IHCP-species-notes": "<p>Can be used at 1/5000 dilution for human.</p>" }, "Mouse": { "ICCIF-species-checked": "notRecommended", "ICCIF-species-dilution-info": "", "ICCIF-species-notes": "<p></p>", "IP-species-checked": "testedAndGuaranteed", "IP-species-dilution-info": "", "IP-species-notes": "<p></p>", "FlowCyt-species-checked": "notRecommended", "FlowCyt-species-dilution-info": "", "FlowCyt-species-notes": "<p></p>", "WB-species-checked": "testedAndGuaranteed", "WB-species-dilution-info": "", "WB-species-notes": "<p></p>", "IHCFr-species-checked": "testedAndGuaranteed", "IHCFr-species-dilution-info": "", "IHCFr-species-notes": "<p>Heat mediated antigen retrieval using sodium citrate buffer (10mM citrate pH 6.0 + 0.05% Tween-20).</p>", "IHCP-species-checked": "testedAndGuaranteed", "IHCP-species-dilution-info": "", "IHCP-species-notes": "<p>Can be used at 1/5000 dilution for human.</p>" }, "Rat": { "ICCIF-species-checked": "testedAndGuaranteed", "ICCIF-species-dilution-info": "", "ICCIF-species-notes": "<p></p>", "IP-species-checked": "guaranteed", "IP-species-dilution-info": "", "IP-species-notes": "", "FlowCyt-species-checked": "notRecommended", "FlowCyt-species-dilution-info": "", "FlowCyt-species-notes": "<p></p>", "WB-species-checked": "testedAndGuaranteed", "WB-species-dilution-info": "", "WB-species-notes": "<p></p>", "IHCFr-species-checked": "testedAndGuaranteed", "IHCFr-species-dilution-info": "", "IHCFr-species-notes": "<p>Heat mediated antigen retrieval using sodium citrate buffer (10mM citrate pH 6.0 + 0.05% Tween-20).</p>", "IHCP-species-checked": "testedAndGuaranteed", "IHCP-species-dilution-info": "", "IHCP-species-notes": "<p>Can be used at 1/5000 dilution for human.</p>" } } }

Product details

ab277535 is the carrier-free version of ab277524.

Patented technology
Our RabMAb® technology is a patented hybridoma-based technology for making rabbit monoclonal antibodies. For details on our patents, please refer to RabMAb® patents.

What are the advantages of a recombinant monoclonal antibody?
This product is a recombinant monoclonal antibody, which offers several advantages including:

  • - High batch-to-batch consistency and reproducibility
  • - Improved sensitivity and specificity
  • - Long-term security of supply
  • - Animal-free batch production

For more information, read more on recombinant antibodies.

Conjugation ready
Our carrier-free antibodies are typically supplied in a PBS-only formulation, purified and free of BSA, sodium azide and glycerol. This conjugation-ready format is designed for use with fluorochromes, metal isotopes, oligonucleotides, and enzymes, which makes them ideal for antibody labelling, functional and cell-based assays, flow-based assays (e.g. mass cytometry) and Multiplex Imaging applications.

Use our conjugation kits for antibody conjugates that are ready-to-use in as little as 20 minutes with 1 minute hands-on-time and 100% antibody recovery: available for fluorescent dyes, HRP, biotin and gold.

Compatibility
This product is compatible with the Maxpar® Antibody Labeling Kit from Fluidigm, without the need for antibody preparation. Maxpar® is a trademark of Fluidigm Canada Inc.

Properties and storage information

Form
Liquid
Purification technique
Affinity purification Protein A
Storage buffer
Constituents: PBS
Shipped at conditions
Blue Ice
Appropriate short-term storage conditions
+4°C
Appropriate long-term storage conditions
+4°C

Supplementary information

This supplementary information is collated from multiple sources and compiled automatically.

MAG (Myelin-Associated Glycoprotein) sometimes referred to as 'MAG protein' 'MAG RAT' or 'MAG/GMA' weighs approximately 100 kDa. This protein is prominently expressed in the central and peripheral nervous systems. MAG localizes to the periaxonal region of myelinated axons making it essential for proper neuronal function. It plays an important role in maintaining the stability and structure of myelin sheaths which are important for the efficient transmission of nerve impulses.
Biological function summary

This protein acts as an adhesion molecule that contributes to the myelination process. It exists as part of a molecular complex that interacts with other oligodendrocyte and Schwann cell proteins. This interaction is important for nerve regeneration and the expansion of the myelin sheath during development and repair. MAG also assists in signaling between axons and glial cells improving cellular communication and myelin integrity.

Pathways

MAG significantly impacts pathways such as the Nogo receptor which is associated with inhibiting axonal growth and regeneration. MAG interacts with the NOGO protein and other members of the Nogo receptor signaling pathway where it functions to regulate neuronal growth and regeneration. Furthermore MAG's interplay with NOGO receptor components contributes to limiting excessive sprouting of axons balancing growth and stability of the nervous system.

MAG is notably linked to neuropathies and multiple sclerosis. In neuropathies abnormal MAG expression can disrupt nerve conduction and lead to demyelinating conditions. Multiple sclerosis sees extensive involvement of MAG where its malfunction or reduced expression associates with the failure of remyelination processes. Additionally MAG's connection with proteins such as NOGO and other myelin-associated inhibitors implicates its role in the pathology of these disorders offering potential targets for therapeutic interventions.

Product protocols

For this product, it's our understanding that no specific protocols are required. You can visit:

Target data

Adhesion molecule that mediates interactions between myelinating cells and neurons by binding to neuronal sialic acid-containing gangliosides and to the glycoproteins RTN4R and RTN4RL2 (By similarity). Not required for initial myelination, but seems to play a role in the maintenance of normal axon myelination. Protects motoneurons against apoptosis, also after injury; protection against apoptosis is probably mediated via interaction with neuronal RTN4R and RTN4RL2. Required to prevent degeneration of myelinated axons in adults; this probably depends on binding to gangliosides on the axon cell membrane (By similarity). Negative regulator of neurite outgrowth; in dorsal root ganglion neurons the inhibition is mediated primarily via binding to neuronal RTN4R or RTN4RL2 and to a lesser degree via binding to neuronal gangliosides. In cerebellar granule cells the inhibition is mediated primarily via binding to neuronal gangliosides. In sensory neurons, inhibition of neurite extension depends only partially on RTN4R, RTN4RL2 and gangliosides. Inhibits axon longitudinal growth (By similarity). Inhibits axon outgrowth by binding to RTN4R (By similarity). Preferentially binds to alpha-2,3-linked sialic acid. Binds ganglioside Gt1b (By similarity).
See full target information MAG

Publications (1)

Recent publications for all applications. Explore the full list and refine your search

Antioxidants (Basel, Switzerland) 14: PubMed40563324

2025

Dynamic Transcriptomic and Cellular Remodeling Underlie Cuprizone-Induced Demyelination and Endogenous Repair in the CNS.

Applications

Unspecified application

Species

Unspecified reactive species

Yantuanjin Ma,Tianyi Liu,Zhipeng Li,Wei Wei,Qiting Zhao,Shufen Wang
View all publications

Product promise

We are committed to supporting your work with high-quality reagents, and we're here for you every step of the way. In the unlikely event that one of our products does not perform as expected, you're protected by our Product Promise.
For full details, please see our Terms & Conditions

Please note: All products are 'FOR RESEARCH USE ONLY. NOT FOR USE IN DIAGNOSTIC OR THERAPEUTIC PROCEDURES'.

For licensing inquiries, please contact partnerships@abcam.com