JavaScript is disabled in your browser. Please enable JavaScript to view this website.
AB223162

Anti-MAGE3 antibody [EPR19065]

Be the first to review this product! Submit a review

|

(8 Publications)

Anti-MAGE3 antibody [EPR19065] (ab223162) is a rabbit monoclonal antibody detecting MAGE3 in Western Blot, IP, IHC-P, ICC/IF. Suitable for Human.

- Biophysical QC for unrivalled batch-batch consistency

View Alternative Names

MAGE3, MAGEA3, Melanoma-associated antigen 3, Antigen MZ2-D, Cancer/testis antigen 1.3, MAGE-3 antigen, CT1.3

12 Images
Immunocytochemistry/ Immunofluorescence - Anti-MAGE3 antibody [EPR19065] (AB223162)
  • ICC/IF

Supplier Data

Immunocytochemistry/ Immunofluorescence - Anti-MAGE3 antibody [EPR19065] (AB223162)

Immunofluorescent analysis of 100% methanol-fixed HeLa (human epithelial cell line from cervix adenocarcinoma) cells labeling MAGE3 with ab223162 at 1/100 dilution followed by Goat Anti-Rabbit IgG H&L (Alexa Fluor® 488) (ab150077) secondary antibody at 1/1000 dilution (green). Confocal image showing nuclear and cytoplasmic staining on HeLa cell line.

The nuclear counterstain is DAPI (blue). Tubulin is detected with Anti-alpha Tubulin antibody [DM1A] - Microtubule Marker (Alexa Fluor® 594 (ab195889) at 1/200 dilution (red).

Secondary antibody only control : Used PBS instead of primary antibody secondary antibody is Goat Anti-Rabbit IgG H&L (Alexa Fluor® 488) (ab150077) secondary antibody at 1/1000 dilution.

Immunohistochemistry (Formalin/PFA-fixed paraffin-embedded sections) - Anti-MAGE3 antibody [EPR19065] (AB223162)
  • IHC-P

Supplier Data

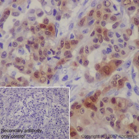
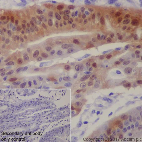
Immunohistochemistry (Formalin/PFA-fixed paraffin-embedded sections) - Anti-MAGE3 antibody [EPR19065] (AB223162)

Immunohistochemical analysis of paraffin-embedded human melanoma tissue labeling MAGE3 with ab223162 at 1/500 dilution followed by Goat Anti-Rabbit IgG H&L (HRP) Ready to use. Nuclear and cytoplasmic staining on human melanoma (PMID : 26100270). Counter stained with Hematoxylin.

Secondary antibody only control : Used PBS instead of primary antibody secondary antibody is Goat Anti-Rabbit IgG H&L (HRP) Ready to use.

Perform heat mediated antigen retrieval with Tris/EDTA buffer pH 9.0 before commencing with IHC staining protocol.

Immunohistochemistry (Formalin/PFA-fixed paraffin-embedded sections) - Anti-MAGE3 antibody [EPR19065] (AB223162)
  • IHC-P

Supplier Data

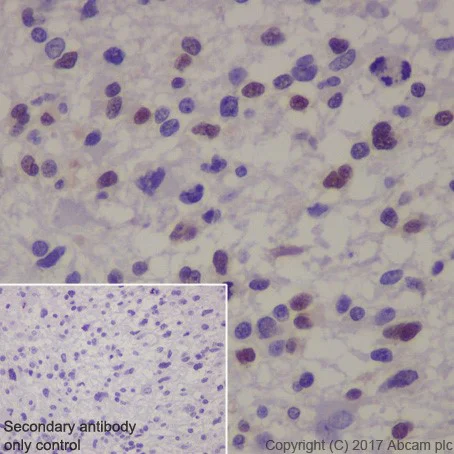
Immunohistochemistry (Formalin/PFA-fixed paraffin-embedded sections) - Anti-MAGE3 antibody [EPR19065] (AB223162)

Immunohistochemical analysis of paraffin-embedded human glioma tissue labeling MAGE3 with ab223162 at 1/500 dilution followed by Goat Anti-Rabbit IgG H&L (HRP) Ready to use. Nuclear staining on human glioma (PMID : 23946777). Counter stained with Hematoxylin.

Secondary antibody only control : Used PBS instead of primary antibody secondary antibody is Goat Anti-Rabbit IgG H&L (HRP) Ready to use.

Perform heat mediated antigen retrieval with Tris/EDTA buffer pH 9.0 before commencing with IHC staining protocol.

Immunohistochemistry (Formalin/PFA-fixed paraffin-embedded sections) - Anti-MAGE3 antibody [EPR19065] (AB223162)
  • IHC-P

Supplier Data

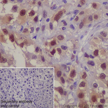
Immunohistochemistry (Formalin/PFA-fixed paraffin-embedded sections) - Anti-MAGE3 antibody [EPR19065] (AB223162)

Immunohistochemical analysis of paraffin-embedded human gastric cancer tissue labeling MAGE3 with ab223162 at 1/500 dilution followed by Goat Anti-Rabbit IgG H&L (HRP) Ready to use. Nuclear and cytoplasmic staining on human gastric cancer (PMID : 16158951). Counter stained with Hematoxylin.

Secondary antibody only control : Used PBS instead of primary antibody secondary antibody is Goat Anti-Rabbit IgG H&L (HRP) Ready to use.

Perform heat mediated antigen retrieval with Tris/EDTA buffer pH 9.0 before commencing with IHC staining protocol.

Immunocytochemistry/ Immunofluorescence - Anti-MAGE3 antibody [EPR19065] (AB223162)
  • ICC/IF

Supplier Data

Immunocytochemistry/ Immunofluorescence - Anti-MAGE3 antibody [EPR19065] (AB223162)

Immunofluorescent analysis of 100% methanol-fixed A-375 (human malignant melanoma cell line) cells labeling MAGE3 with ab223162 at 1/100 dilution followed by Goat Anti-Rabbit IgG H&L (Alexa Fluor® 488) (ab150077) secondary antibody at 1/1000 dilution (green). Confocal image showing nuclear and cytoplasmic staining on A-375 cell line.

The nuclear counterstain is DAPI (blue). Tubulin is detected with Anti-alpha Tubulin antibody [DM1A] - Microtubule Marker (Alexa Fluor® 594 (ab195889) at 1/200 dilution (red).

Secondary antibody only control : Used PBS instead of primary antibody secondary antibody is Goat Anti-Rabbit IgG H&L (Alexa Fluor® 488) (ab150077) secondary antibody at 1/1000 dilution.

Immunohistochemistry (Formalin/PFA-fixed paraffin-embedded sections) - Anti-MAGE3 antibody [EPR19065] (AB223162)
  • IHC-P

Supplier Data

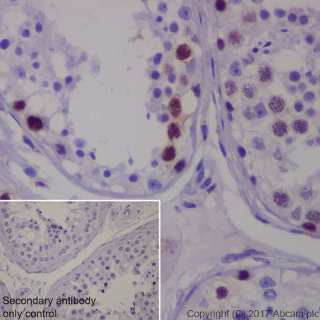
Immunohistochemistry (Formalin/PFA-fixed paraffin-embedded sections) - Anti-MAGE3 antibody [EPR19065] (AB223162)

Immunohistochemical analysis of paraffin-embedded human testis tissue labeling MAGE3 with ab223162 at 1/500 dilution followed by Goat Anti-Rabbit IgG H&L (HRP) Ready to use. Nuclear staining on germ cells of human testis (PMID : 23390371). Counter stained with Hematoxylin.

Secondary antibody only control : Used PBS instead of primary antibody secondary antibody is Goat Anti-Rabbit IgG H&L (HRP) Ready to use.

Perform heat mediated antigen retrieval with Tris/EDTA buffer pH 9.0 before commencing with IHC staining protocol.

Immunohistochemistry (Formalin/PFA-fixed paraffin-embedded sections) - Anti-MAGE3 antibody [EPR19065] (AB223162)
  • IHC-P

Supplier Data

Immunohistochemistry (Formalin/PFA-fixed paraffin-embedded sections) - Anti-MAGE3 antibody [EPR19065] (AB223162)

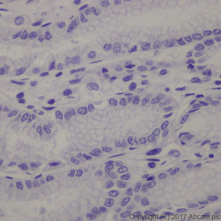
Immunohistochemical analysis of paraffin-embedded human stomach tissue labeling MAGE3 with ab223162 at 1/500 dilution followed by Goat Anti-Rabbit IgG H&L (HRP) Ready to use.

Negative control : No staining on human stomach (PMID : 16158951).

Counter stained with Hematoxylin.

Perform heat mediated antigen retrieval with Tris/EDTA buffer pH 9.0 before commencing with IHC staining protocol.

Immunohistochemistry (Formalin/PFA-fixed paraffin-embedded sections) - Anti-MAGE3 antibody [EPR19065] (AB223162)
  • IHC-P

Supplier Data

Immunohistochemistry (Formalin/PFA-fixed paraffin-embedded sections) - Anti-MAGE3 antibody [EPR19065] (AB223162)

Immunohistochemical analysis of paraffin-embedded human colon cancer tissue labeling MAGE3 with ab223162 at 1/500 dilution followed by Goat Anti-Rabbit IgG H&L (HRP) Ready to use. Nuclear and cytoplasmic staining on human colon cancer (PMID : 23390371). Counter stained with Hematoxylin.

Secondary antibody only control : Used PBS instead of primary antibody secondary antibody is Goat Anti-Rabbit IgG H&L (HRP) Ready to use.

Perform heat mediated antigen retrieval with Tris/EDTA buffer pH 9.0 before commencing with IHC staining protocol.

Immunoprecipitation - Anti-MAGE3 antibody [EPR19065] (AB223162)
  • IP

Supplier Data

Immunoprecipitation - Anti-MAGE3 antibody [EPR19065] (AB223162)

MAGE3 was immunoprecipitated from 0.35 mg of A-375 (human malignant melanoma cell line) whole cell lysate with ab223162 at 1/30 dilution. Western blot was performed from the immunoprecipitate using ab223162 at 1/1000 dilution. VeriBlot for IP Detection Reagent (HRP) (ab131366), was used for detection at 1/10000 dilution.

Lane 1 : A-375 whole cell lysate 10 μg (Input).

Lane 2 : ab223162 IP in A-375 whole cell lysate.

Lane 3 : Rabbit monoclonal IgG (ab172730) instead of ab223162 in A-375 whole cell lysate

Blocking and dilution buffer and concentration : 5% NFDM/TBST.

Exposure time : 10 seconds.

All lanes:

Immunoprecipitation - Anti-MAGE3 antibody [EPR19065] (ab223162)

Predicted band size: 35 kDa

Observed band size: 45-50 kDa

false

Western blot - Anti-MAGE3 antibody [EPR19065] (AB223162)
  • WB

Supplier Data

Western blot - Anti-MAGE3 antibody [EPR19065] (AB223162)

Exposure time : Lanes 1,2 : 5 seconds; Lane 3 : 2 seconds.

Blocking/Dilution buffer : 5% NFDM/TBST.

The observed molecular weight is consistent with what has been described in the literature (PMID : 7757970).

All lanes:

Western blot - Anti-MAGE3 antibody [EPR19065] (ab223162) at 1/5000 dilution

Lane 1:

A-375 (human malignant melanoma cell line) whole cell lysate at 10 µg

Lane 2:

RPMI-8226 (human plasmacytoma, myeloma B lymphocyte cell line) whole cell lysate at 10 µg

Lane 3:

HeLa (human epithelial cell line from cervix adenocarcinoma) whole cell lysate at 10 µg

Secondary

All lanes:

Western blot - Goat Anti-Rabbit IgG H&L (HRP) (<a href='/en-us/products/secondary-antibodies/goat-rabbit-igg-h-l-hrp-ab97051'>ab97051</a>) at 1/100000 dilution

Predicted band size: 35 kDa

true

Western blot - Anti-MAGE3 antibody [EPR19065] (AB223162)
  • WB

Supplier Data

Western blot - Anti-MAGE3 antibody [EPR19065] (AB223162)

Exposure time : Lane 1 : 3 seconds; Lanes 2, 4 : 1 second; Lane 3 : 30 seconds.

Blocking/Dilution buffer : 5% NFDM/TBST.

Vinc-tag is derived from protein vinculin (P18206) and contains aa1-258 (29 kDa).

Lane 1:

Western blot - Anti-MAGE3 antibody [EPR19065] (ab223162) at 1/20000 dilution

Lanes 2 and 4:

Western blot - Anti-MAGE3 antibody [EPR19065] (ab223162) at 1/10000 dilution

Lane 3:

Western blot - Anti-MAGE3 antibody [EPR19065] (ab223162) at 1/1000 dilution

Lane 1:

His- and vinc-tagged human MAGEA2 recombinant protein (aa1-314) at 0.01 µg

Lane 2:

His-tagged human MAGEA6 recombinant protein (aa1-314) at 0.01 µg

Lane 3:

His-tagged human MAGEA8 recombinant protein (aa1-318) at 0.01 µg

Lane 4:

His-tagged human MAGEA12 recombinant protein (aa1-314) at 0.01 µg

Secondary

All lanes:

Western blot - Goat Anti-Rabbit IgG H&L (HRP) (<a href='/en-us/products/secondary-antibodies/goat-rabbit-igg-h-l-hrp-ab97051'>ab97051</a>) at 1/100000 dilution

Predicted band size: 35 kDa

Observed band size: 38 kDa,41 kDa,70 kDa

true

Western blot - Anti-MAGE3 antibody [EPR19065] (AB223162)
  • WB

Supplier Data

Western blot - Anti-MAGE3 antibody [EPR19065] (AB223162)

Blocking/Dilution buffer : 5% NFDM/TBST.

All lanes:

Western blot - Anti-MAGE3 antibody [EPR19065] (ab223162) at 1/1000 dilution

Lane 1:

His-tagged human MAGEA1 recombinant protein (aa1-309) at 0.01 µg

Lane 2:

His-tagged human MAGEA4 recombinant protein (aa1-317) at 0.01 µg

Secondary

All lanes:

Western blot - Goat Anti-Rabbit IgG H&L (HRP) (<a href='/en-us/products/secondary-antibodies/goat-rabbit-igg-h-l-hrp-ab97051'>ab97051</a>) at 1/100000 dilution

Predicted band size: 35 kDa

true

Exposure time: 3min

  • Carrier free

    Anti-MAGE3 antibody [EPR19065] - BSA and Azide free

Key facts

Host species

Rabbit

Clonality

Monoclonal

Clone number

EPR19065

Isotype

IgG

Carrier free

No

Reacts with

Human

Applications

ICC/IF, IP, WB, IHC-P

applications

Immunogen

The exact immunogen used to generate this antibody is proprietary information.

Specificity

This antibody cross reacts with MAGEA2, MAGEA6, MAGEA8 and MAGEA12 and does not cross react with MAGEA1 and MAGEA4.

Reactivity data

{ "title": "Reactivity Data", "filters": { "stats": ["", "Species", "Dilution Info", "Notes"], "tabs": { "all-applications": {"fullname" : "All Applications", "shortname": "All Applications"}, "IP" : {"fullname" : "Immunoprecipitation", "shortname":"IP"}, "WB" : {"fullname" : "Western blot", "shortname":"WB"}, "ICCIF" : {"fullname" : "Immunocytochemistry/ Immunofluorescence", "shortname":"ICC/IF"}, "IHCP" : {"fullname" : "Immunohistochemistry (Formalin/PFA-fixed paraffin-embedded sections)", "shortname":"IHC-P"} }, "product-promise": { "all": "all", "testedAndGuaranteed": "tested", "guaranteed": "expected", "predicted": "predicted", "notRecommended": "not-recommended" } }, "values": { "Human": { "IP-species-checked": "testedAndGuaranteed", "IP-species-dilution-info": "1/30", "IP-species-notes": "<p></p>", "WB-species-checked": "testedAndGuaranteed", "WB-species-dilution-info": "1/1000", "WB-species-notes": "<p></p>", "ICCIF-species-checked": "testedAndGuaranteed", "ICCIF-species-dilution-info": "1/100", "ICCIF-species-notes": "<p></p>", "IHCP-species-checked": "testedAndGuaranteed", "IHCP-species-dilution-info": "1/500", "IHCP-species-notes": "<p></p>" } } }

Product details

What is this antibody validated in?
Anti-MAGE3 antibody [EPR19065] (ab223162) is a rabbit recombinant monoclonal antibody and is validated for use in Western Blot (WB), Immunoprecipitation (IP), Immunohistochemistry (IHC-P), Immunocytochemistry/immunofluorescence (ICC/IF) in Human samples.

What is the molecular weight of MAGE3?
Anti-MAGE3 [EPR19065] (ab223162) specifically detects a band for MAGE3 (UniProt: P43357) at a molecular weight of 35kDa.

Trial sizes available!
Test your antibody or perform pre-screening before committing to a larger quantity. Sold in 10µl. Discover our selection of trial-size antibodies.

Other related products
We have a range of other formats of antibody clone [EPR19065] also available for your convenience: ab223162, Carrier free - ab251574

Patented technology
Our RabMAb® technology is a patented hybridoma-based technology for making rabbit monoclonal antibodies. For details on our patents, please refer to RabMAb® patents.

What are the advantages of a recombinant monoclonal antibody?
This product is a recombinant monoclonal antibody, which offers several advantages including:

  • - High batch-to-batch consistency and reproducibility
  • - Improved sensitivity and specificity
  • - Long-term security of supply
  • - Animal-free batch production

For more information, read more on recombinant antibodies.

Properties and storage information

Form
Liquid
Purification technique
Affinity purification Protein A
Storage buffer
pH: 7.2 - 7.4 Preservative: 0.01% Sodium azide Constituents: PBS, 40% Glycerol (glycerin, glycerine), 0.05% BSA
Shipped at conditions
Blue Ice
Appropriate short-term storage duration
1-2 weeks
Appropriate short-term storage conditions
+4°C
Appropriate long-term storage conditions
-20°C
Aliquoting information
Upon delivery aliquot
Storage information
Avoid freeze / thaw cycle

Supplementary information

This supplementary information is collated from multiple sources and compiled automatically.

The 'MAGE-A3' protein sometimes referred to simply as 'MAGE3' is part of the MAGE (Melanoma Antigen Gene) family which comprises a group of proteins known for their involvement in various cellular processes. MAGE-A3 specifically is encoded by a gene located on the X chromosome. The molecular mass of MAGE-A3 is approximately 46 kDa. This protein is typically expressed in a variety of tumor cells but is absent in most normal tissues with the exception of placental and testicular tissues. Its expression profile makes MAGE-A3 a significant focus in cancer research due to its restricted presence in normal cells and prevalent presence in transformed cells.
Biological function summary

MAGE-A3 contributes to processes related to cell cycle regulation and apoptosis. The protein is part of a complex that influences cellular stress responses and survival pathways. It exerts its biological function through interactions with other proteins potentially acting as a regulator of transcription factors involved in cell proliferation and survival. The activity and utility of MAGE-A3 in this context make it a target of interest in therapeutic research specifically for cancer vaccines and immune response strategies.

Pathways

MAGE-A3 plays a role in the regulation of the apoptotic and cell survival pathways. It is notably involved in pathways such as the p53 pathway essential for modulating cellular responses to stress and DNA damage. MAGE-A3 interacts with proteins like p53 and other regulators involved in the cell cycle and apoptosis thereby affecting cellular decisions to repair damage or undergo programmed cell death. Its role in these pathways highlights its importance in maintaining the balance between cell survival and death highlighting its potential target for therapeutic intervention.

MAGE-A3 is closely associated with cancers such as melanoma and non-small cell lung cancer. Its expression in these malignancies makes it a prime candidate for cancer-specific targeted therapies including cancer vaccines. MAGE-A3 is connected with proteins that regulate immune evasion and tumor growth making its modulation an attractive strategy in immunotherapy. Understanding the interaction of MAGE-A3 with these proteins provides valuable insights necessary for developing precise diagnostic and treatment methods for these cancers.

Product protocols

For this product, it's our understanding that no specific protocols are required. You can visit:

Target data

Activator of ubiquitin ligase activity of RING-type zinc finger-containing E3 ubiquitin-protein ligases that acts as a repressor of autophagy (PubMed : 20864041, PubMed : 31267705). May enhance ubiquitin ligase activity of TRIM28 and stimulate p53/TP53 ubiquitination by TRIM28. Proposed to act through recruitment and/or stabilization of the Ubl-conjugating enzyme (E2) at the E3 : substrate complex (PubMed : 17942928, PubMed : 20864041). May play a role in embryonal development and tumor transformation or aspects of tumor progression (PubMed : 17942928, PubMed : 20864041). In vitro promotes cell viability in melanoma cell lines (PubMed : 17942928). Antigen recognized on a melanoma by autologous cytolytic T-lymphocytes (PubMed : 8113684).
See full target information MAGEA3

Publications (8)

Recent publications for all applications. Explore the full list and refine your search

Acta neuropathologica communications 13:164 PubMed40721826

2025

Melanoma antigens in pediatric medulloblastoma contribute to tumor heterogeneity and species-specificity of group 3 tumors.

Applications

Unspecified application

Species

Unspecified reactive species

Rebecca R J Collins,Rebecca R Florke Gee,Sima Tozandehjani,Tara Bayat,Maria Camila Hoyos Sanchez,Juan Sebastian Solano Gutierrez,Barbara Breznik,Anna K Lee,Samuel T Peters,Jon P Connelly,Shondra M Pruett-Miller,Martine F Roussel,Dinesh Rakheja,Heather S Tillman,Patrick Ryan Potts,Klementina Fon Tacer

BMJ oncology 3:e000472 PubMed40046246

2025

Enhanced immune responses are accompanied by increased MAGEA expression in osteosarcoma metastases.

Applications

Unspecified application

Species

Unspecified reactive species

Debora M Meijer,Siddh van Oost,Jessica P Roelands,Dina Ruano,I H Briaire-de Bruijn,B E van den Akker,A B Kruisselbrink,P M Wijers-Koster,Manon van der Ploeg,Marieke Ijsselsteijn,S W Lam,Arnoud H de Ru,R T N Tjokrodirijo,M A J van de Sande,Hans Gelderblom,Peter A Van Veelen,M L Kuijjer,Noel de Miranda,Judith V M G Bovee

Scientific reports 14:12546 PubMed38822068

2024

Pulsed electric field induces exocytosis and overexpression of MAGE antigens in melanoma.

Applications

Unspecified application

Species

Unspecified reactive species

Wojciech Szlasa,Natalia Sauer,Dagmara Baczyńska,Marcin Ziętek,Katarzyna Haczkiewicz-Leśniak,Paweł Karpiński,Mariusz Fleszar,Paulina Fortuna,Michał J Kulus,Aleksandra Piotrowska,Alicja Kmiecik,Agnieszka Barańska,Olga Michel,Vitalij Novickij,Mounir Tarek,Paulina Kasperkiewicz,Piotr Dzięgiel,Marzenna Podhorska-Okołów,Jolanta Saczko,Julita Kulbacka

Theranostics 13:4449-4468 PubMed37649599

2023

Global analysis of HLA-A2 restricted MAGE-A3 tumor antigen epitopes and corresponding TCRs in non-small cell lung cancer.

Applications

Unspecified application

Species

Unspecified reactive species

Bei Zhang,Zhiyao Ren,Jianfu Zhao,Yue Zhu,Boya Huang,Chanchan Xiao,Yan Zhang,Jieping Deng,Lipeng Mao,Lei Tang,Dan Lan,Lijuan Gao,Hongyi Zhang,Guobing Chen,Oscar Junhong Luo

Cell reports. Medicine 4:101015 PubMed37075701

2023

A kinome-wide CRISPR screen identifies CK1α as a target to overcome enzalutamide resistance of prostate cancer.

Applications

Unspecified application

Species

Unspecified reactive species

Jinghui Liu,Yue Zhao,Daheng He,Katelyn M Jones,Shan Tang,Derek B Allison,Yanquan Zhang,Jing Chen,Qiongsi Zhang,Xinyi Wang,Chaohao Li,Chi Wang,Lang Li,Xiaoqi Liu

The FEBS journal 289:6400-6419 PubMed35596723

2022

The HN1/HMGB1 axis promotes the proliferation and metastasis of hepatocellular carcinoma and attenuates the chemosensitivity to oxaliplatin.

Applications

Unspecified application

Species

Unspecified reactive species

Ruhua Wang,Yunong Fu,Menglin Yao,Xiaomeng Cui,Yan Zhao,Xinlan Lu,Yarui Li,Yiguang Lin,Shuixiang He

Environmental toxicology 37:1711-1722 PubMed35285568

2022

Knockdown of MAGE-A6 enhanced the irradiation sensitivity of non-small cell lung cancer cells by activating the AMPK pathway.

Applications

Unspecified application

Species

Unspecified reactive species

Jialiang Zhou,Qiang Fan,Jie Li,Jia Wu,Jianfeng Huang,Yunxia Zhang,Xiuyun He

eLife 9: PubMed32270762

2020

Differential expression of MAGEA6 toggles autophagy to promote pancreatic cancer progression.

Applications

Unspecified application

Species

Unspecified reactive species

Yiu Huen Tsang,Yumeng Wang,Kathleen Kong,Caitlin Grzeskowiak,Oksana Zagorodna,Turgut Dogruluk,Hengyu Lu,Nicole Villafane,Venkata Hemanjani Bhavana,Daniela Moreno,Sarah H Elsea,Han Liang,Gordon B Mills,Kenneth L Scott
View all publications

Product promise

We are committed to supporting your work with high-quality reagents, and we're here for you every step of the way. In the unlikely event that one of our products does not perform as expected, you're protected by our Product Promise.
For full details, please see our Terms & Conditions

Please note: All products are 'FOR RESEARCH USE ONLY. NOT FOR USE IN DIAGNOSTIC OR THERAPEUTIC PROCEDURES'.

For licensing inquiries, please contact partnerships@abcam.com