JavaScript is disabled in your browser. Please enable JavaScript to view this website.
AB251574

Anti-MAGE3 antibody [EPR19065] - BSA and Azide free

Be the first to review this product! Submit a review

|

(1 Publication)

Rabbit Recombinant Monoclonal MAGE3 antibody. Carrier free. Suitable for ICC/IF, IP, WB, IHC-P and reacts with Human samples. Cited in 1 publication.

View Alternative Names

MAGE3, MAGEA3, Melanoma-associated antigen 3, Antigen MZ2-D, Cancer/testis antigen 1.3, MAGE-3 antigen, CT1.3

12 Images
Immunocytochemistry/ Immunofluorescence - Anti-MAGE3 antibody [EPR19065] - BSA and Azide free (AB251574)
  • ICC/IF

Supplier Data

Immunocytochemistry/ Immunofluorescence - Anti-MAGE3 antibody [EPR19065] - BSA and Azide free (AB251574)

This data was developed using ab223162, the same antibody clone in a different buffer formulation.

Immunofluorescent analysis of 100% methanol-fixed HeLa (human epithelial cell line from cervix adenocarcinoma) cells labeling MAGE3 with ab223162 at 1/100 dilution, followed by Goat Anti-Rabbit IgG H&L (Alexa Fluor® 488) (ab150077) secondary antibody at 1/1000 dilution (green). Confocal image showing nuclear and cytoplasmic staining on HeLa cell line.

The nuclear counterstain is DAPI (blue). Tubulin is detected with Anti-alpha Tubulin antibody [DM1A] - Microtubule Marker (Alexa Fluor® 594 (ab195889) at 1/200 dilution (red).

Secondary antibody only control : Used PBS instead of primary antibody, secondary antibody is Goat Anti-Rabbit IgG H&L (Alexa Fluor® 488) (ab150077) secondary antibody at 1/1000 dilution.

Immunohistochemistry (Formalin/PFA-fixed paraffin-embedded sections) - Anti-MAGE3 antibody [EPR19065] - BSA and Azide free (AB251574)
  • IHC-P

Supplier Data

Immunohistochemistry (Formalin/PFA-fixed paraffin-embedded sections) - Anti-MAGE3 antibody [EPR19065] - BSA and Azide free (AB251574)

This data was developed using ab223162, the same antibody clone in a different buffer formulation.

Immunohistochemical analysis of paraffin-embedded human melanoma tissue labeling MAGE3 with ab223162 at 1/500 dilution, followed by Goat Anti-Rabbit IgG H&L (HRP) Ready to use. Nuclear and cytoplasmic staining on human melanoma (PMID : 26100270). Counter stained with Hematoxylin.

Secondary antibody only control : Used PBS instead of primary antibody, secondary antibody is Goat Anti-Rabbit IgG H&L (HRP) Ready to use.

Perform heat mediated antigen retrieval with Tris/EDTA buffer pH 9.0 before commencing with IHC staining protocol.

Immunohistochemistry (Formalin/PFA-fixed paraffin-embedded sections) - Anti-MAGE3 antibody [EPR19065] - BSA and Azide free (AB251574)
  • IHC-P

Supplier Data

Immunohistochemistry (Formalin/PFA-fixed paraffin-embedded sections) - Anti-MAGE3 antibody [EPR19065] - BSA and Azide free (AB251574)

This data was developed using ab223162, the same antibody clone in a different buffer formulation.

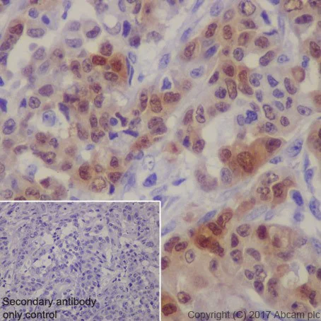
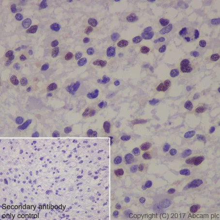
Immunohistochemical analysis of paraffin-embedded human glioma tissue labeling MAGE3 with ab223162 at 1/500 dilution, followed by Goat Anti-Rabbit IgG H&L (HRP) Ready to use. Nuclear staining on human glioma (PMID : 23946777). Counter stained with Hematoxylin.

Secondary antibody only control : Used PBS instead of primary antibody, secondary antibody is Goat Anti-Rabbit IgG H&L (HRP) Ready to use.

Perform heat mediated antigen retrieval with Tris/EDTA buffer pH 9.0 before commencing with IHC staining protocol.

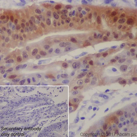
Immunohistochemistry (Formalin/PFA-fixed paraffin-embedded sections) - Anti-MAGE3 antibody [EPR19065] - BSA and Azide free (AB251574)
  • IHC-P

Supplier Data

Immunohistochemistry (Formalin/PFA-fixed paraffin-embedded sections) - Anti-MAGE3 antibody [EPR19065] - BSA and Azide free (AB251574)

This data was developed using ab223162, the same antibody clone in a different buffer formulation.

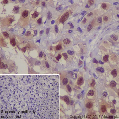
Immunohistochemical analysis of paraffin-embedded human gastric cancer tissue labeling MAGE3 with ab223162 at 1/500 dilution, followed by Goat Anti-Rabbit IgG H&L (HRP) Ready to use. Nuclear and cytoplasmic staining on human gastric cancer (PMID : 16158951). Counter stained with Hematoxylin.

Secondary antibody only control : Used PBS instead of primary antibody, secondary antibody is Goat Anti-Rabbit IgG H&L (HRP) Ready to use.

Perform heat mediated antigen retrieval with Tris/EDTA buffer pH 9.0 before commencing with IHC staining protocol.

Immunocytochemistry/ Immunofluorescence - Anti-MAGE3 antibody [EPR19065] - BSA and Azide free (AB251574)
  • ICC/IF

Supplier Data

Immunocytochemistry/ Immunofluorescence - Anti-MAGE3 antibody [EPR19065] - BSA and Azide free (AB251574)

This data was developed using ab223162, the same antibody clone in a different buffer formulation.

Immunofluorescent analysis of 100% methanol-fixed A-375 (human malignant melanoma cell line) cells labeling MAGE3 with ab223162 at 1/100 dilution, followed by Goat Anti-Rabbit IgG H&L (Alexa Fluor® 488) (ab150077) secondary antibody at 1/1000 dilution (green). Confocal image showing nuclear and cytoplasmic staining on A-375 cell line.

The nuclear counterstain is DAPI (blue). Tubulin is detected with Anti-alpha Tubulin antibody [DM1A] - Microtubule Marker (Alexa Fluor® 594 (ab195889) at 1/200 dilution (red).

Secondary antibody only control : Used PBS instead of primary antibody, secondary antibody is Goat Anti-Rabbit IgG H&L (Alexa Fluor® 488) (ab150077) secondary antibody at 1/1000 dilution.

Immunohistochemistry (Formalin/PFA-fixed paraffin-embedded sections) - Anti-MAGE3 antibody [EPR19065] - BSA and Azide free (AB251574)
  • IHC-P

Supplier Data

Immunohistochemistry (Formalin/PFA-fixed paraffin-embedded sections) - Anti-MAGE3 antibody [EPR19065] - BSA and Azide free (AB251574)

This data was developed using ab223162, the same antibody clone in a different buffer formulation.

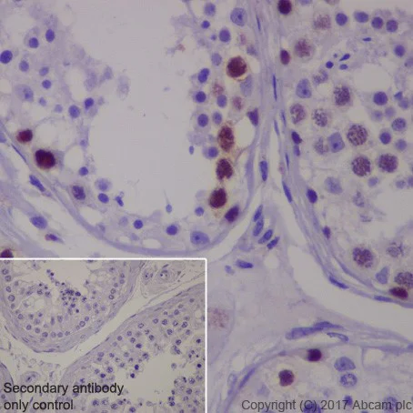
Immunohistochemical analysis of paraffin-embedded human testis tissue labeling MAGE3 with ab223162 at 1/500 dilution, followed by Goat Anti-Rabbit IgG H&L (HRP) Ready to use. Nuclear staining on germ cells of human testis (PMID : 23390371). Counter stained with Hematoxylin.

Secondary antibody only control : Used PBS instead of primary antibody, secondary antibody is Goat Anti-Rabbit IgG H&L (HRP) Ready to use.

Perform heat mediated antigen retrieval with Tris/EDTA buffer pH 9.0 before commencing with IHC staining protocol.

Immunohistochemistry (Formalin/PFA-fixed paraffin-embedded sections) - Anti-MAGE3 antibody [EPR19065] - BSA and Azide free (AB251574)
  • IHC-P

Supplier Data

Immunohistochemistry (Formalin/PFA-fixed paraffin-embedded sections) - Anti-MAGE3 antibody [EPR19065] - BSA and Azide free (AB251574)

This data was developed using ab223162, the same antibody clone in a different buffer formulation.

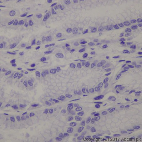
Immunohistochemical analysis of paraffin-embedded human stomach tissue labeling MAGE3 with ab223162 at 1/500 dilution, followed by Goat Anti-Rabbit IgG H&L (HRP) Ready to use.

Negative control : No staining on human stomach (PMID : 16158951).

Counter stained with Hematoxylin.

Perform heat mediated antigen retrieval with Tris/EDTA buffer pH 9.0 before commencing with IHC staining protocol.

Immunohistochemistry (Formalin/PFA-fixed paraffin-embedded sections) - Anti-MAGE3 antibody [EPR19065] - BSA and Azide free (AB251574)
  • IHC-P

Supplier Data

Immunohistochemistry (Formalin/PFA-fixed paraffin-embedded sections) - Anti-MAGE3 antibody [EPR19065] - BSA and Azide free (AB251574)

This data was developed using ab223162, the same antibody clone in a different buffer formulation.

Immunohistochemical analysis of paraffin-embedded human colon cancer tissue labeling MAGE3 with ab223162 at 1/500 dilution, followed by Goat Anti-Rabbit IgG H&L (HRP) Ready to use. Nuclear and cytoplasmic staining on human colon cancer (PMID : 23390371). Counter stained with Hematoxylin.

Secondary antibody only control : Used PBS instead of primary antibody, secondary antibody is Goat Anti-Rabbit IgG H&L (HRP) Ready to use.

Perform heat mediated antigen retrieval with Tris/EDTA buffer pH 9.0 before commencing with IHC staining protocol.

Immunoprecipitation - Anti-MAGE3 antibody [EPR19065] - BSA and Azide free (AB251574)
  • IP

Supplier Data

Immunoprecipitation - Anti-MAGE3 antibody [EPR19065] - BSA and Azide free (AB251574)

This data was developed using ab223162, the same antibody clone in a different buffer formulation.

MAGE3 was immunoprecipitated from 0.35 mg of A-375 (human malignant melanoma cell line) whole cell lysate with ab223162 at 1/30 dilution. Western blot was performed from the immunoprecipitate using ab223162 at 1/1000 dilution. VeriBlot for IP Detection Reagent (HRP) (ab131366), was used for detection at 1/10000 dilution.

Lane 1 : A-375 whole cell lysate 10 μg (Input).

Lane 2 : ab223162 IP in A-375 whole cell lysate.

Lane 3 : Rabbit monoclonal IgG (ab172730) instead of ab223162 in A-375 whole cell lysate

Blocking and dilution buffer : 5% NFDM/TBST.

Exposure time : 10 seconds.

All lanes:

Immunoprecipitation - Anti-MAGE3 antibody [EPR19065] (<a href='/en-us/products/primary-antibodies/mage3-antibody-epr19065-ab223162'>ab223162</a>)

Predicted band size: 35 kDa

Observed band size: 45-50 kDa

false

Western blot - Anti-MAGE3 antibody [EPR19065] - BSA and Azide free (AB251574)
  • WB

Supplier Data

Western blot - Anti-MAGE3 antibody [EPR19065] - BSA and Azide free (AB251574)

This data was developed using ab223162, the same antibody clone in a different buffer formulation.

Blocking and dilution buffer : 5% NFDM/TBST.

Exposure time : Lanes 1-2 : 5 seconds; Lane 3 : 2 seconds.

The observed molecular weight is consistent with what has been described in the literature (PMID : 7757970).

All lanes:

Western blot - Anti-MAGE3 antibody [EPR19065] (<a href='/en-us/products/primary-antibodies/mage3-antibody-epr19065-ab223162'>ab223162</a>) at 1/5000 dilution

Lane 1:

A-375 (human malignant melanoma cell line) whole cell lysate at 10 µg

Lane 2:

RPMI-8226 (human plasmacytoma, myeloma B lymphocyte cell line) whole cell lysate at 10 µg

Lane 3:

HeLa (human epithelial cell line from cervix adenocarcinoma) whole cell lysate at 10 µg

Secondary

All lanes:

Western blot - Goat Anti-Rabbit IgG H&L (HRP) (<a href='/en-us/products/secondary-antibodies/goat-rabbit-igg-h-l-hrp-ab97051'>ab97051</a>) at 1/100000 dilution

Predicted band size: 35 kDa

true

Western blot - Anti-MAGE3 antibody [EPR19065] - BSA and Azide free (AB251574)
  • WB

Supplier Data

Western blot - Anti-MAGE3 antibody [EPR19065] - BSA and Azide free (AB251574)

This data was developed using ab223162, the same antibody clone in a different buffer formulation.

Exposure time : Lane 1 : 3 seconds; Lanes 2, 4 : 1 second; Lane 3 : 30 seconds.

Blocking and dilution buffer : 5% NFDM/TBST.

Vinc-tag is derived from protein vinculin (P18206) and contains aa1-258 (29 kDa).

Lane 1:

Western blot - Anti-MAGE3 antibody [EPR19065] (<a href='/en-us/products/primary-antibodies/mage3-antibody-epr19065-ab223162'>ab223162</a>) at 1/20000 dilution

Lanes 2 and 4:

Western blot - Anti-MAGE3 antibody [EPR19065] (<a href='/en-us/products/primary-antibodies/mage3-antibody-epr19065-ab223162'>ab223162</a>) at 1/10000 dilution

Lane 3:

Western blot - Anti-MAGE3 antibody [EPR19065] (<a href='/en-us/products/primary-antibodies/mage3-antibody-epr19065-ab223162'>ab223162</a>) at 1/1000 dilution

Lane 1:

His- and vinc-tagged human MAGEA2 recombinant protein (aa1-314) at 0.01 µg

Lane 2:

His-tagged human MAGEA6 recombinant protein (aa1-314) at 0.01 µg

Lane 3:

His-tagged human MAGEA8 recombinant protein (aa1-318) at 0.01 µg

Lane 4:

His-tagged human MAGEA12 recombinant protein (aa1-314) at 0.01 µg

Secondary

All lanes:

Western blot - Goat Anti-Rabbit IgG H&L (HRP) (<a href='/en-us/products/secondary-antibodies/goat-rabbit-igg-h-l-hrp-ab97051'>ab97051</a>) at 1/100000 dilution

Predicted band size: 35 kDa

Observed band size: 38 kDa,41 kDa,70 kDa

true

Western blot - Anti-MAGE3 antibody [EPR19065] - BSA and Azide free (AB251574)
  • WB

Supplier Data

Western blot - Anti-MAGE3 antibody [EPR19065] - BSA and Azide free (AB251574)

This data was developed using ab223162, the same antibody clone in a different buffer formulation.

Blocking and dilution buffer : 5% NFDM/TBST.

All lanes:

Western blot - Anti-MAGE3 antibody [EPR19065] (<a href='/en-us/products/primary-antibodies/mage3-antibody-epr19065-ab223162'>ab223162</a>) at 1/1000 dilution

Lane 1:

His-tagged human MAGEA1 recombinant protein (aa1-309) at 0.01 µg

Lane 2:

His-tagged human MAGEA4 recombinant protein (aa1-317) at 0.01 µg

Secondary

All lanes:

Western blot - Goat Anti-Rabbit IgG H&L (HRP) (<a href='/en-us/products/secondary-antibodies/goat-rabbit-igg-h-l-hrp-ab97051'>ab97051</a>) at 1/100000 dilution

Predicted band size: 35 kDa

true

Exposure time: 3min

Key facts

Host species

Rabbit

Clonality

Monoclonal

Clone number

EPR19065

Isotype

IgG

Carrier free

Yes

Reacts with

Human

Applications

IP, ICC/IF, IHC-P, WB

applications

Immunogen

The exact immunogen used to generate this antibody is proprietary information.

Specificity

This antibody cross reacts with MAGEA2, MAGEA6, MAGEA8 and MAGEA12 and does not cross react with MAGEA1 and MAGEA4.

Reactivity data

{ "title": "Reactivity Data", "filters": { "stats": ["", "Species", "Dilution Info", "Notes"], "tabs": { "all-applications": {"fullname" : "All Applications", "shortname": "All Applications"}, "ICCIF" : {"fullname" : "Immunocytochemistry/ Immunofluorescence", "shortname":"ICC/IF"}, "IP" : {"fullname" : "Immunoprecipitation", "shortname":"IP"}, "WB" : {"fullname" : "Western blot", "shortname":"WB"}, "IHCP" : {"fullname" : "Immunohistochemistry (Formalin/PFA-fixed paraffin-embedded sections)", "shortname":"IHC-P"} }, "product-promise": { "all": "all", "testedAndGuaranteed": "tested", "guaranteed": "expected", "predicted": "predicted", "notRecommended": "not-recommended" } }, "values": { "Human": { "ICCIF-species-checked": "testedAndGuaranteed", "ICCIF-species-dilution-info": "", "ICCIF-species-notes": "<p></p>", "IP-species-checked": "testedAndGuaranteed", "IP-species-dilution-info": "", "IP-species-notes": "<p></p>", "WB-species-checked": "testedAndGuaranteed", "WB-species-dilution-info": "", "WB-species-notes": "<p></p>", "IHCP-species-checked": "testedAndGuaranteed", "IHCP-species-dilution-info": "", "IHCP-species-notes": "<p></p>" } } }

Product details

ab251574 is the carrier-free version of ab223162.

Conjugation ready
Our carrier-free antibodies are typically supplied in a PBS-only formulation, purified and free of BSA, sodium azide and glycerol. This conjugation-ready format is designed for use with fluorochromes, metal isotopes, oligonucleotides, and enzymes, which makes them ideal for antibody labelling, functional and cell-based assays, flow-based assays (e.g. mass cytometry) and Multiplex Imaging applications.

Use our conjugation kits for antibody conjugates that are ready-to-use in as little as 20 minutes with 1 minute hands-on-time and 100% antibody recovery: available for fluorescent dyes, HRP, biotin and gold.

Compatibility
This product is compatible with the Maxpar® Antibody Labeling Kit from Fluidigm, without the need for antibody preparation. Maxpar® is a trademark of Fluidigm Canada Inc.

Properties and storage information

Form
Liquid
Purification technique
Affinity purification Protein A
Storage buffer
pH: 7.2 - 7.4 Constituents: PBS
Shipped at conditions
Blue Ice
Appropriate short-term storage conditions
+4°C
Appropriate long-term storage conditions
+4°C
Storage information
Do Not Freeze

Supplementary information

This supplementary information is collated from multiple sources and compiled automatically.

The 'MAGE-A3' protein sometimes referred to simply as 'MAGE3' is part of the MAGE (Melanoma Antigen Gene) family which comprises a group of proteins known for their involvement in various cellular processes. MAGE-A3 specifically is encoded by a gene located on the X chromosome. The molecular mass of MAGE-A3 is approximately 46 kDa. This protein is typically expressed in a variety of tumor cells but is absent in most normal tissues with the exception of placental and testicular tissues. Its expression profile makes MAGE-A3 a significant focus in cancer research due to its restricted presence in normal cells and prevalent presence in transformed cells.
Biological function summary

MAGE-A3 contributes to processes related to cell cycle regulation and apoptosis. The protein is part of a complex that influences cellular stress responses and survival pathways. It exerts its biological function through interactions with other proteins potentially acting as a regulator of transcription factors involved in cell proliferation and survival. The activity and utility of MAGE-A3 in this context make it a target of interest in therapeutic research specifically for cancer vaccines and immune response strategies.

Pathways

MAGE-A3 plays a role in the regulation of the apoptotic and cell survival pathways. It is notably involved in pathways such as the p53 pathway essential for modulating cellular responses to stress and DNA damage. MAGE-A3 interacts with proteins like p53 and other regulators involved in the cell cycle and apoptosis thereby affecting cellular decisions to repair damage or undergo programmed cell death. Its role in these pathways highlights its importance in maintaining the balance between cell survival and death highlighting its potential target for therapeutic intervention.

MAGE-A3 is closely associated with cancers such as melanoma and non-small cell lung cancer. Its expression in these malignancies makes it a prime candidate for cancer-specific targeted therapies including cancer vaccines. MAGE-A3 is connected with proteins that regulate immune evasion and tumor growth making its modulation an attractive strategy in immunotherapy. Understanding the interaction of MAGE-A3 with these proteins provides valuable insights necessary for developing precise diagnostic and treatment methods for these cancers.

Product protocols

For this product, it's our understanding that no specific protocols are required. You can visit:

Target data

Activator of ubiquitin ligase activity of RING-type zinc finger-containing E3 ubiquitin-protein ligases that acts as a repressor of autophagy (PubMed : 20864041, PubMed : 31267705). May enhance ubiquitin ligase activity of TRIM28 and stimulate p53/TP53 ubiquitination by TRIM28. Proposed to act through recruitment and/or stabilization of the Ubl-conjugating enzyme (E2) at the E3 : substrate complex (PubMed : 17942928, PubMed : 20864041). May play a role in embryonal development and tumor transformation or aspects of tumor progression (PubMed : 17942928, PubMed : 20864041). In vitro promotes cell viability in melanoma cell lines (PubMed : 17942928). Antigen recognized on a melanoma by autologous cytolytic T-lymphocytes (PubMed : 8113684).
See full target information MAGEA3

Publications (1)

Recent publications for all applications. Explore the full list and refine your search

Advanced science (Weinheim, Baden-Wurttemberg, Germany) 11:e2306622 PubMed38353402

2024

Modulation of Cerebrospinal Fluid Dysregulation via a SPAK and OSR1 Targeted Framework Nucleic Acid in Hydrocephalus.

Applications

Unspecified application

Species

Unspecified reactive species

Qiguang Wang,Jian Cheng,Fei Liu,Jianwei Zhu,Yue Li,Yuxuan Zhao,Xiang Li,Huan Zhang,Yan Ju,Lu Ma,Xuhui Hui,Yunfeng Lin
View all publications

Product promise

We are committed to supporting your work with high-quality reagents, and we're here for you every step of the way. In the unlikely event that one of our products does not perform as expected, you're protected by our Product Promise.
For full details, please see our Terms & Conditions

Please note: All products are 'FOR RESEARCH USE ONLY. NOT FOR USE IN DIAGNOSTIC OR THERAPEUTIC PROCEDURES'.

For licensing inquiries, please contact partnerships@abcam.com