JavaScript is disabled in your browser. Please enable JavaScript to view this website.
AB140678

Anti-MAGE3 antibody [OTI1H1]

Be the first to review this product! Submit a review

|

(4 Publications)

Mouse Monoclonal MAGE3 antibody. Suitable for WB, IHC-P and reacts with Human samples. Cited in 4 publications. Immunogen corresponding to Recombinant Full Length Protein corresponding to Human MAGEA3.

View Alternative Names

MAGE3, MAGEA3, Melanoma-associated antigen 3, Antigen MZ2-D, Cancer/testis antigen 1.3, MAGE-3 antigen, CT1.3

2 Images
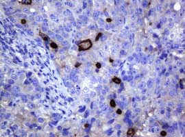
Immunohistochemistry (Formalin/PFA-fixed paraffin-embedded sections) - Anti-MAGE3 antibody [OTI1H1] (AB140678)
  • IHC-P

Unknown

Immunohistochemistry (Formalin/PFA-fixed paraffin-embedded sections) - Anti-MAGE3 antibody [OTI1H1] (AB140678)

Immunohistochemical analysis of paraffin-embedded Human colon adenocarcinoma tissue labelling MAGE3 with ab140678 at 1/150 dilution.

Western blot - Anti-MAGE3 antibody [OTI1H1] (AB140678)
  • WB

Unknown

Western blot - Anti-MAGE3 antibody [OTI1H1] (AB140678)

HEK293T cell lysates were generated from transient transfection of the cDNA clone (RC210002)

All lanes:

Western blot - Anti-MAGE3 antibody [OTI1H1] (ab140678) at 1/2000 dilution

Lane 1:

HEK293T cell lysate transfected with pCMV6-ENTRY control at 5 µg

Lane 2:

HEK293T cell lysate transfected with pCMV6-ENTRY MAGE3 cDNA at 5 µg

Predicted band size: 35 kDa

false

Key facts

Host species

Mouse

Clonality

Monoclonal

Clone number

OTI1H1

Isotype

IgG1

Carrier free

No

Reacts with

Human

Applications

WB, IHC-P

applications

Immunogen

Recombinant Full Length Protein corresponding to Human MAGEA3.

P43357

Specificity

This antibody cross reacts with MAGEA2, MAGEA6, MAGEA8 and MAGEA12 and does not cross react with MAGEA1 and MAGEA4.

Reactivity data

{ "title": "Reactivity Data", "filters": { "stats": ["", "Species", "Dilution Info", "Notes"], "tabs": { "all-applications": {"fullname" : "All Applications", "shortname": "All Applications"}, "WB" : {"fullname" : "Western blot", "shortname":"WB"}, "IHCP" : {"fullname" : "Immunohistochemistry (Formalin/PFA-fixed paraffin-embedded sections)", "shortname":"IHC-P"} }, "product-promise": { "all": "all", "testedAndGuaranteed": "tested", "guaranteed": "expected", "predicted": "predicted", "notRecommended": "not-recommended" } }, "values": { "Human": { "WB-species-checked": "testedAndGuaranteed", "WB-species-dilution-info": "1/2000", "WB-species-notes": "<p></p>", "IHCP-species-checked": "testedAndGuaranteed", "IHCP-species-dilution-info": "1/150", "IHCP-species-notes": "<p></p>" } } }

Product details

The clone number has been updated from 1H1 to OTI1H1, both clone numbers name the same clone.

Dilute in PBS (pH7.3) before use.

This product was changed from ascites to tissue culture supernatant on 10th September 2018. Please note that the dilutions may need to be adjusted accordingly. If you have any questions, please do not hesitate to contact our scientific support team.

Properties and storage information

Form
Liquid
Purification technique
Affinity purification Protein G
Purification notes
ab140678 is purified from TCS by affinity chromatography.
Storage buffer
pH: 7.3 Preservative: 0.02% Sodium azide Constituents: PBS, 50% Glycerol (glycerin, glycerine), 1% BSA
Shipped at conditions
Blue Ice
Appropriate short-term storage conditions
+4°C
Appropriate long-term storage conditions
-20°C
Aliquoting information
Upon delivery aliquot
Storage information
Avoid freeze / thaw cycle

Supplementary information

This supplementary information is collated from multiple sources and compiled automatically.

The 'MAGE-A3' protein sometimes referred to simply as 'MAGE3' is part of the MAGE (Melanoma Antigen Gene) family which comprises a group of proteins known for their involvement in various cellular processes. MAGE-A3 specifically is encoded by a gene located on the X chromosome. The molecular mass of MAGE-A3 is approximately 46 kDa. This protein is typically expressed in a variety of tumor cells but is absent in most normal tissues with the exception of placental and testicular tissues. Its expression profile makes MAGE-A3 a significant focus in cancer research due to its restricted presence in normal cells and prevalent presence in transformed cells.
Biological function summary

MAGE-A3 contributes to processes related to cell cycle regulation and apoptosis. The protein is part of a complex that influences cellular stress responses and survival pathways. It exerts its biological function through interactions with other proteins potentially acting as a regulator of transcription factors involved in cell proliferation and survival. The activity and utility of MAGE-A3 in this context make it a target of interest in therapeutic research specifically for cancer vaccines and immune response strategies.

Pathways

MAGE-A3 plays a role in the regulation of the apoptotic and cell survival pathways. It is notably involved in pathways such as the p53 pathway essential for modulating cellular responses to stress and DNA damage. MAGE-A3 interacts with proteins like p53 and other regulators involved in the cell cycle and apoptosis thereby affecting cellular decisions to repair damage or undergo programmed cell death. Its role in these pathways highlights its importance in maintaining the balance between cell survival and death highlighting its potential target for therapeutic intervention.

MAGE-A3 is closely associated with cancers such as melanoma and non-small cell lung cancer. Its expression in these malignancies makes it a prime candidate for cancer-specific targeted therapies including cancer vaccines. MAGE-A3 is connected with proteins that regulate immune evasion and tumor growth making its modulation an attractive strategy in immunotherapy. Understanding the interaction of MAGE-A3 with these proteins provides valuable insights necessary for developing precise diagnostic and treatment methods for these cancers.

Product protocols

For this product, it's our understanding that no specific protocols are required. You can visit:

Target data

Activator of ubiquitin ligase activity of RING-type zinc finger-containing E3 ubiquitin-protein ligases that acts as a repressor of autophagy (PubMed : 20864041, PubMed : 31267705). May enhance ubiquitin ligase activity of TRIM28 and stimulate p53/TP53 ubiquitination by TRIM28. Proposed to act through recruitment and/or stabilization of the Ubl-conjugating enzyme (E2) at the E3 : substrate complex (PubMed : 17942928, PubMed : 20864041). May play a role in embryonal development and tumor transformation or aspects of tumor progression (PubMed : 17942928, PubMed : 20864041). In vitro promotes cell viability in melanoma cell lines (PubMed : 17942928). Antigen recognized on a melanoma by autologous cytolytic T-lymphocytes (PubMed : 8113684).
See full target information MAGEA3

Publications (4)

Recent publications for all applications. Explore the full list and refine your search

Scientific reports 15:5626 PubMed39955423

2025

Identification of ECE2 signaling in promoting non-small lung cancer progression through ET1/YAP1/MAGEA3 axis.

Applications

Unspecified application

Species

Unspecified reactive species

Huaiqing Xiao,Jiawei Ni,Qun Yu

Molecular cancer 24:40 PubMed39901247

2025

Cancer cells avoid ferroptosis induced by immune cells via fatty acid binding proteins.

Applications

Unspecified application

Species

Unspecified reactive species

Maria Angelica Freitas-Cortez,Fatemeh Masrorpour,Hong Jiang,Iqbal Mahmud,Yue Lu,Ailing Huang,Lisa K Duong,Qi Wang,Tiffany A Voss,Claudia S Kettlun Leyton,Bo Wei,Wai-Kin Chan,Kevin Lin,Jie Zhang,Efrosini Tsouko,Shonik Ganjoo,Hampartsoum B Barsoumian,Thomas S Riad,Yun Hu,Carola Leuschner,Nahum Puebla-Osorio,Jing Wang,Jian Hu,Michael A Davies,Vinay K Puduvalli,Cyrielle Billon,Thomas P Burris,Philip L Lorenzi,Boyi Gan,James W Welsh

Cancer letters 435:1-9 PubMed30056111

2018

miR-1273g silences MAGEA3/6 to inhibit human colorectal cancer cell growth via activation of AMPK signaling.

Applications

Unspecified application

Species

Unspecified reactive species

Fang Wu,Fang Liu,Lemei Dong,Han Yang,Xixi He,Lili Li,Lihao Zhao,Sisi Jin,Gang Li

Oncology letters 13:1609-1618 PubMed28454298

2017

Expression and prognostic relevance of MAGE-A3 and MAGE-C2 in non-small cell lung cancer.

Applications

IHC-P

Species

Human

Xinfeng Chen,Liping Wang,Jinyan Liu,Lan Huang,Li Yang,Qun Gao,Xiaojuan Shi,Jieyao Li,Feng Li,Zhen Zhang,Song Zhao,Bin Zhang,Pierre Van der Bruggen,Yi Zhang
View all publications

Product promise

We are committed to supporting your work with high-quality reagents, and we're here for you every step of the way. In the unlikely event that one of our products does not perform as expected, you're protected by our Product Promise.
For full details, please see our Terms & Conditions

Please note: All products are 'FOR RESEARCH USE ONLY. NOT FOR USE IN DIAGNOSTIC OR THERAPEUTIC PROCEDURES'.

For licensing inquiries, please contact partnerships@abcam.com