JavaScript is disabled in your browser. Please enable JavaScript to view this website.
AB245755

Anti-MAGEA1 antibody [SP194] - BSA and Azide free

Be the first to review this product! Submit a review

|

(0 Publication)

Rabbit Recombinant Monoclonal MAGEA1 antibody. Carrier free. Suitable for IHC-P, WB, Flow Cyt (Intra) and reacts with Human samples.

View Alternative Names

MAGE1, MAGE1A, MAGEA1, Melanoma-associated antigen 1, Antigen MZ2-E, Cancer/testis antigen 1.1, MAGE-1 antigen, CT1.1

4 Images
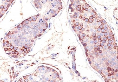
Immunohistochemistry (Formalin/PFA-fixed paraffin-embedded sections) - Anti-MAGEA1 antibody [SP194] - BSA and Azide free (AB245755)
  • IHC-P

Unknown

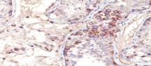
Immunohistochemistry (Formalin/PFA-fixed paraffin-embedded sections) - Anti-MAGEA1 antibody [SP194] - BSA and Azide free (AB245755)

Immunohistochemical analysis of Human testis tissue labeling MAGEA1 using ab183309 at a 1/100 dilution.

This data was developed using the same antibody clone in a different buffer formulation containing PBS, BSA and sodium azide (ab183309).

Flow Cytometry (Intracellular) - Anti-MAGEA1 antibody [SP194] - BSA and Azide free (AB245755)
  • Flow Cyt (Intra)

Unknown

Flow Cytometry (Intracellular) - Anti-MAGEA1 antibody [SP194] - BSA and Azide free (AB245755)

Intracellular Flow Cytometry analysis of SK-OV-3 (Human ovarian cancer epithelial cell) cells labeling MAGEA1 with purified ab183309 at 1/20 dilution (8μg/ml) (red). Cells were fixed with 4% paraformaldehyde and permeabilised with 90% methanol. A Goat anti rabbit IgG (Alexa Fluor® 488, ab150077) secondary antibody was used at 1/2000 dilution. Isotype control - Rabbit monoclonal IgG (ab172730) / Black. Unlabeled control - Unlabelled cells / blue.

This data was developed using the same antibody clone in a different buffer formulation containing PBS, BSA, glycerol, and sodium azide (ab183309).

Immunohistochemistry (Formalin/PFA-fixed paraffin-embedded sections) - Anti-MAGEA1 antibody [SP194] - BSA and Azide free (AB245755)
  • IHC-P

Supplier Data

Immunohistochemistry (Formalin/PFA-fixed paraffin-embedded sections) - Anti-MAGEA1 antibody [SP194] - BSA and Azide free (AB245755)

Immunohistochemical analysis of Human skin squamous cell carcinoma tissue labeling MAGEA1 using ab183309 at a 1/100 dilution.

This data was developed using the same antibody clone in a different buffer formulation containing PBS, BSA and sodium azide (ab183309).

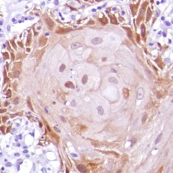
Flow Cytometry (Intracellular) - Anti-MAGEA1 antibody [SP194] - BSA and Azide free (AB245755)
  • Flow Cyt (Intra)

Supplier Data

Flow Cytometry (Intracellular) - Anti-MAGEA1 antibody [SP194] - BSA and Azide free (AB245755)

Immunohistochemical analysis of Human skin squamous cell carcinoma tissue labeling MAGE 1 using ab183309 at a 1/100 dilution.

This data was developed using the same antibody clone in a different buffer formulation containing PBS, BSA, and sodium azide (ab183309)

Key facts

Host species

Rabbit

Clonality

Monoclonal

Clone number

SP194

Isotype

IgG

Carrier free

Yes

Reacts with

Human

Applications

IHC-P, Flow Cyt (Intra), WB

applications

Immunogen

The exact immunogen used to generate this antibody is proprietary information.

Reactivity data

{ "title": "Reactivity Data", "filters": { "stats": ["", "Species", "Dilution Info", "Notes"], "tabs": { "all-applications": {"fullname" : "All Applications", "shortname": "All Applications"}, "IHCP" : {"fullname" : "Immunohistochemistry (Formalin/PFA-fixed paraffin-embedded sections)", "shortname":"IHC-P"}, "WB" : {"fullname" : "Western blot", "shortname":"WB"}, "FlowCytIntra" : {"fullname" : "Flow Cytometry (Intracellular)", "shortname":"Flow Cyt (Intra)"} }, "product-promise": { "all": "all", "testedAndGuaranteed": "tested", "guaranteed": "expected", "predicted": "predicted", "notRecommended": "not-recommended" } }, "values": { "Human": { "IHCP-species-checked": "testedAndGuaranteed", "IHCP-species-dilution-info": "", "IHCP-species-notes": "<p></p>", "WB-species-checked": "guaranteed", "WB-species-dilution-info": "", "WB-species-notes": "<p></p>", "FlowCytIntra-species-checked": "testedAndGuaranteed", "FlowCytIntra-species-dilution-info": "", "FlowCytIntra-species-notes": "<p><a href='/en-us/products/primary-antibodies/rabbit-igg-monoclonal-epr25a-isotype-control-ab172730'>ab172730</a> - Rabbit monoclonal IgG, is suitable for use as an isotype control with this antibody.</p>" } } }

Product details

ab245755 is the carrier-free version of ab183309.

Patented technology
Our RabMAb® technology is a patented hybridoma-based technology for making rabbit monoclonal antibodies. For details on our patents, please refer to RabMAb® patents.

What are the advantages of a recombinant monoclonal antibody?
This product is a recombinant monoclonal antibody, which offers several advantages including:

  • - High batch-to-batch consistency and reproducibility
  • - Improved sensitivity and specificity
  • - Long-term security of supply
  • - Animal-free batch production

For more information, read more on recombinant antibodies.

Conjugation ready
Our carrier-free antibodies are typically supplied in a PBS-only formulation, purified and free of BSA, sodium azide and glycerol. This conjugation-ready format is designed for use with fluorochromes, metal isotopes, oligonucleotides, and enzymes, which makes them ideal for antibody labelling, functional and cell-based assays, flow-based assays (e.g. mass cytometry) and Multiplex Imaging applications.

Use our conjugation kits for antibody conjugates that are ready-to-use in as little as 20 minutes with 1 minute hands-on-time and 100% antibody recovery: available for fluorescent dyes, HRP, biotin and gold.

Compatibility
This product is compatible with the Maxpar® Antibody Labeling Kit from Fluidigm, without the need for antibody preparation. Maxpar® is a trademark of Fluidigm Canada Inc.

Properties and storage information

Form
Liquid
Purification technique
Affinity purification Protein A/G
Purification notes
Purified from TCS by protein A/G.
Storage buffer
pH: 7.2 - 7.4 Constituents: PBS
Shipped at conditions
Blue Ice
Appropriate short-term storage conditions
+4°C
Appropriate long-term storage conditions
+4°C
Storage information
Do Not Freeze

Supplementary information

This supplementary information is collated from multiple sources and compiled automatically.

MAGEA1 also known as MAGE-1 is a member of the MAGE (Melanoma Antigen Gene) family of proteins. It has a molecular weight of approximately 39 kDa. MAGEA1 is expressed mainly in male germline tissues and in various cancer cells but not in adult somatic tissues. The protein functions mechanically by interacting with specific molecules in cells although detailed mechanisms are still under investigation.
Biological function summary

The protein encoded by MAGEA1 participates in cellular processes linked to cancer development and progression. It does not function as part of a larger complex but interacts directly with certain cellular pathways. In particular the expression of MAGEA1 is often associated with transformation events and uncontrolled cell proliferation underlining its role in oncogenesis.

Pathways

MAGEA1 plays roles in oncogenic and apoptotic pathways. It can influence the p53 signaling pathway important for cell cycle regulation and apoptosis. The interaction with other proteins such as p53 and potentially with the NF-kB pathway highlights how MAGEA1 might modulate the apoptotic response. MAGEA1 impacts cellular mechanisms by affecting apoptosis and proliferation through these pathways.

MAGEA1 is strongly related to cancer particularly melanoma and some other tumor types. Its expression in cancers makes MAGEA1 a target for cancer immunotherapy. MAGEA1 associates with proteins like p53 in certain cancers and can alter the tumor suppressive characteristics. Its role in these diseases presents MAGEA1 as a biomarker for cancer diagnosis and treatment adding clinical significance to its study.

Product protocols

For this product, it's our understanding that no specific protocols are required. You can visit:

Target data

May be involved in transcriptional regulation through interaction with SNW1 and recruiting histone deactelyase HDAC1. May inhibit notch intracellular domain (NICD) transactivation. May play a role in embryonal development and tumor transformation or aspects of tumor progression. Antigen recognized on a melanoma by autologous cytolytic T-lymphocytes.
See full target information MAGEA1

Product promise

We are committed to supporting your work with high-quality reagents, and we're here for you every step of the way. In the unlikely event that one of our products does not perform as expected, you're protected by our Product Promise.
For full details, please see our Terms & Conditions

Please note: All products are 'FOR RESEARCH USE ONLY. NOT FOR USE IN DIAGNOSTIC OR THERAPEUTIC PROCEDURES'.

For licensing inquiries, please contact partnerships@abcam.com