JavaScript is disabled in your browser. Please enable JavaScript to view this website.
AB183309

Anti-MAGEA1 antibody [SP194] - C-terminal

Be the first to review this product! Submit a review

|

(1 Publication)

Rabbit Recombinant Monoclonal MAGEA1 antibody. C-terminal. Suitable for IHC-P, Flow Cyt (Intra), WB and reacts with Human samples. Cited in 1 publication.

View Alternative Names

MAGE1, MAGE1A, MAGEA1, Melanoma-associated antigen 1, Antigen MZ2-E, Cancer/testis antigen 1.1, MAGE-1 antigen, CT1.1

5 Images
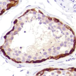
Immunohistochemistry (Formalin/PFA-fixed paraffin-embedded sections) - Anti-MAGEA1 antibody [SP194] - C-terminal (AB183309)
  • IHC-P

Supplier Data

Immunohistochemistry (Formalin/PFA-fixed paraffin-embedded sections) - Anti-MAGEA1 antibody [SP194] - C-terminal (AB183309)

Immunohistochemical analysis of Human testis tissue labeling MAGEA1 using ab183309 at a 1/100 dilution.

Flow Cytometry (Intracellular) - Anti-MAGEA1 antibody [SP194] - C-terminal (AB183309)
  • Flow Cyt (Intra)

Unknown

Flow Cytometry (Intracellular) - Anti-MAGEA1 antibody [SP194] - C-terminal (AB183309)

Flow Cytometry analysis of SK-OV-3 (Human ovarian cancer epithelial cell) cells labeling MAGEA1 with purified ab183309 at 1/20 dilution (8 μg/ml) (red). Cells were fixed with 4% paraformaldehyde and permeabilised with 90% methanol. A Goat anti rabbit IgG (Alexa Fluor® 488, ab150077) secondary antibody was used at 1/2000 dilution. Isotype control - Rabbit monoclonal IgG (ab172730) / Black. Unlabeled control - Unlabelled cells / blue.

Immunohistochemistry (Formalin/PFA-fixed paraffin-embedded sections) - Anti-MAGEA1 antibody [SP194] - C-terminal (AB183309)
  • IHC-P

Supplier Data

Immunohistochemistry (Formalin/PFA-fixed paraffin-embedded sections) - Anti-MAGEA1 antibody [SP194] - C-terminal (AB183309)

Immunohistochemical analysis of Human skin squamous cell carcinoma tissue labeling MAGEA1 using ab183309 at a 1/100 dilution.

Flow Cytometry (Intracellular) - Anti-MAGEA1 antibody [SP194] - C-terminal (AB183309)
  • Flow Cyt (Intra)

Supplier Data

Flow Cytometry (Intracellular) - Anti-MAGEA1 antibody [SP194] - C-terminal (AB183309)

Flow cytometric analysis of Human A431 cells labeling MAGEA1 using ab183309(1/400) (green) compared to a negative control rabbit IgG (blue)

Western blot - Anti-MAGEA1 antibody [SP194] - C-terminal (AB183309)
  • WB

Supplier Data

Western blot - Anti-MAGEA1 antibody [SP194] - C-terminal (AB183309)

All lanes:

Western blot - Anti-MAGEA1 antibody [SP194] - C-terminal (ab183309) at 1/400 dilution

All lanes:

Human A431 cell lysate

Predicted band size: 34 kDa

false

  • Carrier free

    Anti-MAGEA1 antibody [SP194] - BSA and Azide free

Key facts

Host species

Rabbit

Clonality

Monoclonal

Clone number

SP194

Isotype

IgG

Carrier free

No

Reacts with

Human

Applications

Flow Cyt (Intra), IHC-P, WB

applications

Immunogen

The exact immunogen used to generate this antibody is proprietary information.

Reactivity data

{ "title": "Reactivity Data", "filters": { "stats": ["", "Species", "Dilution Info", "Notes"], "tabs": { "all-applications": {"fullname" : "All Applications", "shortname": "All Applications"}, "IHCP" : {"fullname" : "Immunohistochemistry (Formalin/PFA-fixed paraffin-embedded sections)", "shortname":"IHC-P"}, "FlowCytIntra" : {"fullname" : "Flow Cytometry (Intracellular)", "shortname":"Flow Cyt (Intra)"}, "WB" : {"fullname" : "Western blot", "shortname":"WB"} }, "product-promise": { "all": "all", "testedAndGuaranteed": "tested", "guaranteed": "expected", "predicted": "predicted", "notRecommended": "not-recommended" } }, "values": { "Human": { "IHCP-species-checked": "testedAndGuaranteed", "IHCP-species-dilution-info": "1/100", "IHCP-species-notes": "<p></p> Perform heat-mediated antigen retrieval with citrate buffer pH 6 before commencing with IHC staining protocol.", "FlowCytIntra-species-checked": "testedAndGuaranteed", "FlowCytIntra-species-dilution-info": "1/400", "FlowCytIntra-species-notes": "<p><a href='/en-us/products/primary-antibodies/rabbit-igg-monoclonal-epr25a-isotype-control-ab172730'>ab172730</a> - Rabbit monoclonal IgG, is suitable for use as an isotype control with this antibody.</p>", "WB-species-checked": "testedAndGuaranteed", "WB-species-dilution-info": "1/400", "WB-species-notes": "<p></p>" } } }

Product details

Patented technology
Our RabMAb® technology is a patented hybridoma-based technology for making rabbit monoclonal antibodies. For details on our patents, please refer to RabMAb® patents.

What are the advantages of a recombinant monoclonal antibody?
This product is a recombinant monoclonal antibody, which offers several advantages including:

  • - High batch-to-batch consistency and reproducibility
  • - Improved sensitivity and specificity
  • - Long-term security of supply
  • - Animal-free batch production

For more information, read more on recombinant antibodies.

Properties and storage information

Form
Liquid
Purification technique
Affinity purification Protein A/G
Purification notes
Purified from TCS by protein A/G.
Storage buffer
pH: 7.6 Preservative: 0.1% Sodium azide Constituents: PBS, 1% BSA
Shipped at conditions
Blue Ice
Appropriate short-term storage duration
1-2 weeks
Appropriate short-term storage conditions
+4°C
Appropriate long-term storage conditions
-20°C
Aliquoting information
Upon delivery aliquot
Storage information
Avoid freeze / thaw cycle

Supplementary information

This supplementary information is collated from multiple sources and compiled automatically.

MAGEA1 also known as MAGE-1 is a member of the MAGE (Melanoma Antigen Gene) family of proteins. It has a molecular weight of approximately 39 kDa. MAGEA1 is expressed mainly in male germline tissues and in various cancer cells but not in adult somatic tissues. The protein functions mechanically by interacting with specific molecules in cells although detailed mechanisms are still under investigation.
Biological function summary

The protein encoded by MAGEA1 participates in cellular processes linked to cancer development and progression. It does not function as part of a larger complex but interacts directly with certain cellular pathways. In particular the expression of MAGEA1 is often associated with transformation events and uncontrolled cell proliferation underlining its role in oncogenesis.

Pathways

MAGEA1 plays roles in oncogenic and apoptotic pathways. It can influence the p53 signaling pathway important for cell cycle regulation and apoptosis. The interaction with other proteins such as p53 and potentially with the NF-kB pathway highlights how MAGEA1 might modulate the apoptotic response. MAGEA1 impacts cellular mechanisms by affecting apoptosis and proliferation through these pathways.

MAGEA1 is strongly related to cancer particularly melanoma and some other tumor types. Its expression in cancers makes MAGEA1 a target for cancer immunotherapy. MAGEA1 associates with proteins like p53 in certain cancers and can alter the tumor suppressive characteristics. Its role in these diseases presents MAGEA1 as a biomarker for cancer diagnosis and treatment adding clinical significance to its study.

Product protocols

For this product, it's our understanding that no specific protocols are required. You can visit:

Target data

May be involved in transcriptional regulation through interaction with SNW1 and recruiting histone deactelyase HDAC1. May inhibit notch intracellular domain (NICD) transactivation. May play a role in embryonal development and tumor transformation or aspects of tumor progression. Antigen recognized on a melanoma by autologous cytolytic T-lymphocytes.
See full target information MAGEA1

Publications (1)

Recent publications for all applications. Explore the full list and refine your search

Nature communications 8:363 PubMed28842558

2017

HSP70-Hrd1 axis precludes the oncorepressor potential of N-terminal misfolded Blimp-1s in lymphoma cells.

Applications

Unspecified application

Species

Unspecified reactive species

Wen-Fang Wang,Li Yan,Zhao Liu,Lan-Xuan Liu,Jian Lin,Zhi-Yin Liu,Xiong-Ping Chen,Wu Zhang,Zi-Zhen Xu,Ting Shi,Jun-Min Li,Yi-Lei Zhao,Guoyu Meng,Yi Xia,Jian-Yong Li,Jiang Zhu
View all publications

Product promise

We are committed to supporting your work with high-quality reagents, and we're here for you every step of the way. In the unlikely event that one of our products does not perform as expected, you're protected by our Product Promise.
For full details, please see our Terms & Conditions

Please note: All products are 'FOR RESEARCH USE ONLY. NOT FOR USE IN DIAGNOSTIC OR THERAPEUTIC PROCEDURES'.

For licensing inquiries, please contact partnerships@abcam.com