JavaScript is disabled in your browser. Please enable JavaScript to view this website.
AB25834

Anti-MAGEA1 antibody [SPM282]

Be the first to review this product! Submit a review

|

(1 Publication)

Mouse Monoclonal MAGEA1 antibody. Suitable for IHC-P and reacts with Human samples. Cited in 1 publication. Immunogen corresponding to Recombinant Full Length Protein corresponding to Human MAGEA1.

View Alternative Names

MAGE1, MAGE1A, MAGEA1, Melanoma-associated antigen 1, Antigen MZ2-E, Cancer/testis antigen 1.1, MAGE-1 antigen, CT1.1

1 Images
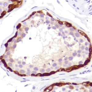
Immunohistochemistry (Formalin/PFA-fixed paraffin-embedded sections) - Anti-MAGEA1 antibody [SPM282] (AB25834)
  • IHC-P

Supplier Data

Immunohistochemistry (Formalin/PFA-fixed paraffin-embedded sections) - Anti-MAGEA1 antibody [SPM282] (AB25834)

Immunohistochemistry (Formalin/PFA-fixed paraffin-embedded sections) analysis of human testis tissue labelling MAGEA1 with ab25834.

Key facts

Host species

Mouse

Clonality

Monoclonal

Clone number

SPM282

Isotype

IgG1

Light chain type

kappa

Carrier free

No

Reacts with

Human

Applications

IHC-P

applications

Immunogen

Recombinant Full Length Protein corresponding to Human MAGEA1.

P43355

Specificity

ab25834 recognises MAGE-1.

Reactivity data

{ "title": "Reactivity Data", "filters": { "stats": ["", "Species", "Dilution Info", "Notes"], "tabs": { "all-applications": {"fullname" : "All Applications", "shortname": "All Applications"}, "IHCP" : {"fullname" : "Immunohistochemistry (Formalin/PFA-fixed paraffin-embedded sections)", "shortname":"IHC-P"} }, "product-promise": { "all": "all", "testedAndGuaranteed": "tested", "guaranteed": "expected", "predicted": "predicted", "notRecommended": "not-recommended" } }, "values": { "Human": { "IHCP-species-checked": "testedAndGuaranteed", "IHCP-species-dilution-info": "1/25", "IHCP-species-notes": "<p></p>" }, "Rat": { "IHCP-species-checked": "predicted", "IHCP-species-dilution-info": "", "IHCP-species-notes": "" }, "Dog": { "IHCP-species-checked": "predicted", "IHCP-species-dilution-info": "", "IHCP-species-notes": "" } } }

Properties and storage information

Form
Liquid
Purification technique
Affinity purification Protein G
Storage buffer
pH: 7.2 - 7.4 Preservative: 0.09% Sodium azide Constituents: BSA, PBS
Shipped at conditions
Blue Ice
Appropriate short-term storage conditions
+4°C
Appropriate long-term storage conditions
-20°C
Aliquoting information
Upon delivery aliquot
Storage information
Avoid freeze / thaw cycle

Supplementary information

This supplementary information is collated from multiple sources and compiled automatically.

MAGEA1 also known as MAGE-1 is a member of the MAGE (Melanoma Antigen Gene) family of proteins. It has a molecular weight of approximately 39 kDa. MAGEA1 is expressed mainly in male germline tissues and in various cancer cells but not in adult somatic tissues. The protein functions mechanically by interacting with specific molecules in cells although detailed mechanisms are still under investigation.
Biological function summary

The protein encoded by MAGEA1 participates in cellular processes linked to cancer development and progression. It does not function as part of a larger complex but interacts directly with certain cellular pathways. In particular the expression of MAGEA1 is often associated with transformation events and uncontrolled cell proliferation underlining its role in oncogenesis.

Pathways

MAGEA1 plays roles in oncogenic and apoptotic pathways. It can influence the p53 signaling pathway important for cell cycle regulation and apoptosis. The interaction with other proteins such as p53 and potentially with the NF-kB pathway highlights how MAGEA1 might modulate the apoptotic response. MAGEA1 impacts cellular mechanisms by affecting apoptosis and proliferation through these pathways.

MAGEA1 is strongly related to cancer particularly melanoma and some other tumor types. Its expression in cancers makes MAGEA1 a target for cancer immunotherapy. MAGEA1 associates with proteins like p53 in certain cancers and can alter the tumor suppressive characteristics. Its role in these diseases presents MAGEA1 as a biomarker for cancer diagnosis and treatment adding clinical significance to its study.

Product protocols

For this product, it's our understanding that no specific protocols are required. You can visit:

Target data

May be involved in transcriptional regulation through interaction with SNW1 and recruiting histone deactelyase HDAC1. May inhibit notch intracellular domain (NICD) transactivation. May play a role in embryonal development and tumor transformation or aspects of tumor progression. Antigen recognized on a melanoma by autologous cytolytic T-lymphocytes.
See full target information MAGEA1

Publications (1)

Recent publications for all applications. Explore the full list and refine your search

Journal of cellular biochemistry 119:1475-1487 PubMed28771803

2017

A20 restores phorbol ester-induced differentiation of THP-1 cells in the absence of nuclear factor-κB activation.

Applications

Unspecified application

Species

Unspecified reactive species

Miho Osako,Momoe Itsumi,Haruka Yamaguchi,Hiroaki Takeuchi,Shoji Yamaoka
View all publications

Product promise

We are committed to supporting your work with high-quality reagents, and we're here for you every step of the way. In the unlikely event that one of our products does not perform as expected, you're protected by our Product Promise.
For full details, please see our Terms & Conditions

Please note: All products are 'FOR RESEARCH USE ONLY. NOT FOR USE IN DIAGNOSTIC OR THERAPEUTIC PROCEDURES'.

For licensing inquiries, please contact partnerships@abcam.com