JavaScript is disabled in your browser. Please enable JavaScript to view this website.
AB282590

Anti-MAGEA10 antibody [EPR24366-89] - BSA and Azide free

Be the first to review this product! Submit a review

|

(0 Publication)

Rabbit Recombinant Monoclonal MAGEA10 antibody. Carrier free. Suitable for ICC/IF, IP, Flow Cyt (Intra), WB, IHC-P and reacts with Human samples.

View Alternative Names

MAGE10, MAGEA10, Melanoma-associated antigen 10, Cancer/testis antigen 1.10, MAGE-10 antigen, CT1.10

12 Images
Immunohistochemistry (Formalin/PFA-fixed paraffin-embedded sections) - Anti-MAGEA10 antibody [EPR24366-89] - BSA and Azide free (AB282590)
  • IHC-P

Supplier Data

Immunohistochemistry (Formalin/PFA-fixed paraffin-embedded sections) - Anti-MAGEA10 antibody [EPR24366-89] - BSA and Azide free (AB282590)

This data was developed using ab271057, the same antibody clone in a different buffer formulation.

Immunohistochemical analysis of paraffin-embedded human lung carcinoma tissue labelling MAGEA10 with ab271057 at 1/2000 dilution (0.26 ug/ml) followed by a ready to use Goat Anti-Rabbit IgG H&L (HRP polymer). Nuclear staining in human lung carcinoma. The section was incubated with ab271057 at 4°C overnight. Counterstained with Hematoxylin.

Secondary antibody only control : Secondary antibody is a ready to use Goat Anti-Rabbit IgG H&L (HRP polymer).

Heat mediated antigen retrieval using ab93684 (Tris/EDTA buffer, pH 9.0)

Immunohistochemistry (Formalin/PFA-fixed paraffin-embedded sections) - Anti-MAGEA10 antibody [EPR24366-89] - BSA and Azide free (AB282590)
  • IHC-P

Supplier Data

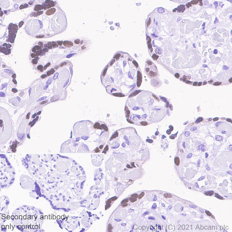
Immunohistochemistry (Formalin/PFA-fixed paraffin-embedded sections) - Anti-MAGEA10 antibody [EPR24366-89] - BSA and Azide free (AB282590)

This data was developed using ab271057, the same antibody clone in a different buffer formulation.

Immunohistochemical analysis of paraffin-embedded human placenta tissue labelling MAGEA10 with ab271057 at 1/2000 dilution (0.26 ug/ml) followed by a ready to use Goat Anti-Rabbit IgG H&L (HRP polymer). Nuclear staining in human placenta. The section was incubated with ab271057 at 4°C overnight. Counterstained with Hematoxylin.

Secondary antibody only control : Secondary antibody is a ready to use Goat Anti-Rabbit IgG H&L (HRP polymer).

Heat mediated antigen retrieval using ab93684 (Tris/EDTA buffer, pH 9.0)

Flow Cytometry (Intracellular) - Anti-MAGEA10 antibody [EPR24366-89] - BSA and Azide free (AB282590)
  • Flow Cyt (Intra)

Supplier Data

Flow Cytometry (Intracellular) - Anti-MAGEA10 antibody [EPR24366-89] - BSA and Azide free (AB282590)

This data was developed using ab271057, the same antibody clone in a different buffer formulation.

Flow cytometric analysis of 4% paraformaldehyde fixed 90% methanol permeabilized SK-MEL-2 (human skin malignant melanoma) cells labelling MAGEA10 with ab271057 at 1/500 dilution (0.1ug)/ (Red) compared with a Rabbit monoclonal IgG (ab172730) (Black) isotype control and an unlabelled control (cells without incubation with primary antibody and secondary antibody) (Blue). A Goat anti rabbit IgG (Alexa Fluor® 488, ab150077) at 1/2000 dilution was used as the secondary antibody.

Immunocytochemistry/ Immunofluorescence - Anti-MAGEA10 antibody [EPR24366-89] - BSA and Azide free (AB282590)
  • ICC/IF

Supplier Data

Immunocytochemistry/ Immunofluorescence - Anti-MAGEA10 antibody [EPR24366-89] - BSA and Azide free (AB282590)

This data was developed using ab271057, the same antibody clone in a different buffer formulation.

Immunofluorescent analysis of 4% paraformaldehyde-fixed, 0.1% TritonX-100 permeabilized A375 (human malignant melanoma epithelial cell) cells labelling MAGEA10 with ab271057 at 1/500 dilution (1.038 ug/ml), followed by ab150081 Goat Anti-Rabbit IgG H&L (Alexa Fluor® 488) preadsorbed antibody at 1/1000 dilution (Green). Confocal image showing nuclear staining in A375 cell line. Negative control : 293T (PMID : 10446460) is observed.

ab195889 Anti-alpha Tubulin mouse monoclonal antibody - Microtubule Marker (Alexa Fluor® 594) was used to counterstain tubulin at 1/200 dilution (Red). The Nuclear counterstain was DAPI (Blue).

Secondary antibody only control : Secondary antibody is ab150081 Goat Anti-Rabbit IgG H&L (Alexa Fluor® 488) preadsorbed at 1/1000 dilution.

Immunohistochemistry (Formalin/PFA-fixed paraffin-embedded sections) - Anti-MAGEA10 antibody [EPR24366-89] - BSA and Azide free (AB282590)
  • IHC-P

Supplier Data

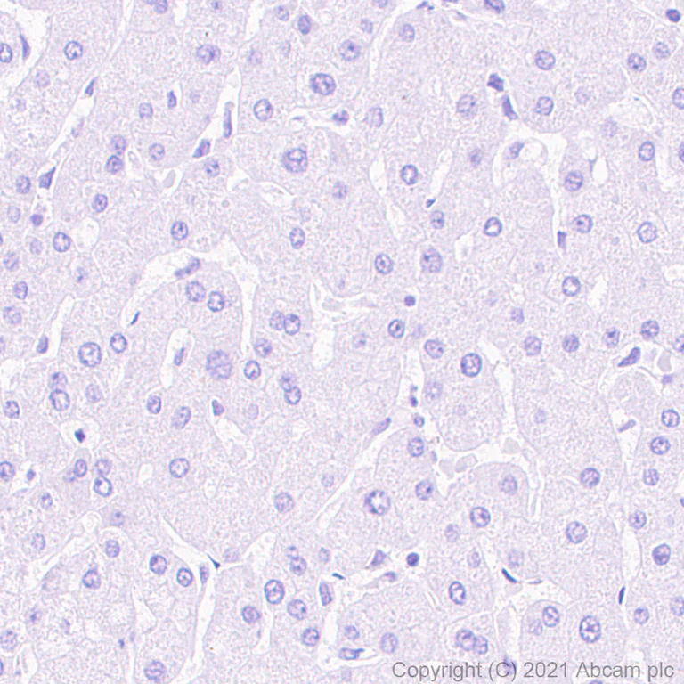
Immunohistochemistry (Formalin/PFA-fixed paraffin-embedded sections) - Anti-MAGEA10 antibody [EPR24366-89] - BSA and Azide free (AB282590)

This data was developed using ab271057, the same antibody clone in a different buffer formulation.

Immunohistochemical analysis of paraffin-embedded human liver tissue labelling MAGEA10 with ab271057 at 1/2000 dilution (0.26 ug/ml) followed by a ready to use Goat Anti-Rabbit IgG H&L (HRP polymer). Negative control : no staining in human liver. The section was incubated with ab271057 at 4°C overnight. Counterstained with Hematoxylin.

Secondary antibody only control : Secondary antibody is a ready to use Goat Anti-Rabbit IgG H&L (HRP polymer).

Heat mediated antigen retrieval using ab93684 (Tris/EDTA buffer, pH 9.0)

Immunohistochemistry (Formalin/PFA-fixed paraffin-embedded sections) - Anti-MAGEA10 antibody [EPR24366-89] - BSA and Azide free (AB282590)
  • IHC-P

Supplier Data

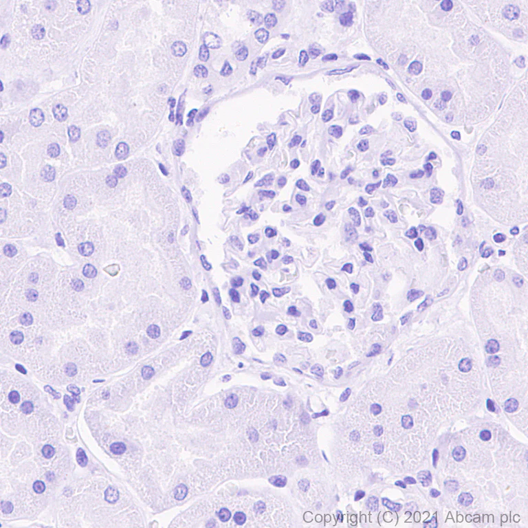
Immunohistochemistry (Formalin/PFA-fixed paraffin-embedded sections) - Anti-MAGEA10 antibody [EPR24366-89] - BSA and Azide free (AB282590)

This data was developed using ab271057, the same antibody clone in a different buffer formulation.

Immunohistochemical analysis of paraffin-embedded human kidney tissue labelling MAGEA10 with ab271057 at 1/2000 dilution (0.26 ug/ml) followed by a ready to use Goat Anti-Rabbit IgG H&L (HRP polymer). Negative control : no staining in human kidney. The section was incubated with ab271057 at 4°C overnight. Counterstained with Hematoxylin.

Secondary antibody only control : Secondary antibody is a ready to use Goat Anti-Rabbit IgG H&L (HRP polymer).

Heat mediated antigen retrieval using ab93684 (Tris/EDTA buffer, pH 9.0)

Immunocytochemistry/ Immunofluorescence - Anti-MAGEA10 antibody [EPR24366-89] - BSA and Azide free (AB282590)
  • ICC/IF

Supplier Data

Immunocytochemistry/ Immunofluorescence - Anti-MAGEA10 antibody [EPR24366-89] - BSA and Azide free (AB282590)

This data was developed using ab271057, the same antibody clone in a different buffer formulation.

Immunofluorescent analysis of 4% paraformaldehyde-fixed, 0.1% TritonX-100 permeabilized SK-MEL-2 (human skin malignant melanoma) cells labelling MAGEA10 with ab271057 at 1/500 dilution (1.038 ug/ml), followed by ab150081 Goat Anti-Rabbit IgG H&L (Alexa Fluor® 488) preadsorbed antibody at 1/1000 dilution (Green). Confocal image showing nuclear staining in SK-MEL-2 cell line. Negative control : 293T (PMID : 10446460) is observed.

ab195889 Anti-alpha Tubulin mouse monoclonal antibody - Microtubule Marker (Alexa Fluor® 594) was used to counterstain tubulin at 1/200 dilution (Red). The Nuclear counterstain was DAPI (Blue).

Secondary antibody only control : Secondary antibody is ab150081 Goat Anti-Rabbit IgG H&L (Alexa Fluor® 488) preadsorbed at 1/1000 dilution.

Flow Cytometry (Intracellular) - Anti-MAGEA10 antibody [EPR24366-89] - BSA and Azide free (AB282590)
  • Flow Cyt (Intra)

Supplier Data

Flow Cytometry (Intracellular) - Anti-MAGEA10 antibody [EPR24366-89] - BSA and Azide free (AB282590)

This data was developed using ab271057, the same antibody clone in a different buffer formulation.

Flow cytometric analysis of 4% paraformaldehyde fixed 90% methanol permeabilized 293T (Human embryonic kidney epithelial cell, Left)/ A375 (Human malignant melanoma epithelial cell, Right) cells labelling MAGEA10 with ab271057 at 1/500 dilution (0.1ug)/ (Red) compared with a Rabbit monoclonal IgG (ab172730) (Black) isotype control and an unlabelled control (cells without incubation with primary antibody and secondary antibody) (Blue). A Goat anti rabbit IgG (Alexa Fluor® 488, ab150077) at 1/2000 dilution was used as the secondary antibody. Negative control : 293T.(PMID : 10446460)

Immunoprecipitation - Anti-MAGEA10 antibody [EPR24366-89] - BSA and Azide free (AB282590)
  • IP

Supplier Data

Immunoprecipitation - Anti-MAGEA10 antibody [EPR24366-89] - BSA and Azide free (AB282590)

This data was developed using ab271057, the same antibody clone in a different buffer formulation.

MAGEA10 was immunoprecipitated from 0.35 mg A375 (human malignant melanoma epithelial cell) whole cell lysate with ab271057 at 1/30 dilution (2ug in 0.35mg lysates). Western blot was performed on the immunoprecipitate using ab271057 at 1/1000 dilution. VeriBlot for IP secondary antibody(HRP)(ab131366) was used at 1/5000 dilution.

Lane 1 : A375 (human malignant melanoma epithelial cell) whole cell lysate 10 ug

Lane 2 : ab271057 IP in A375 whole cell lysate

Lane 3 : Rabbit monoclonal IgG (ab172730) instead of ab271057 in A375 whole cell lysate

Blocking and dilution buffer and concentration : 5% NFDM/TBST.

Exposure time : 7.75 seconds

All lanes:

Immunoprecipitation - Anti-MAGEA10 antibody [EPR24366-89] (<a href='/en-us/products/primary-antibodies/magea10-antibody-epr24366-89-ab271057'>ab271057</a>)

Predicted band size: 41 kDa

Observed band size: 65 kDa

false

Immunoprecipitation - Anti-MAGEA10 antibody [EPR24366-89] - BSA and Azide free (AB282590)
  • IP

Supplier Data

Immunoprecipitation - Anti-MAGEA10 antibody [EPR24366-89] - BSA and Azide free (AB282590)

This data was developed using ab271057, the same antibody clone in a different buffer formulation.

MAGEA10 was immunoprecipitated from 0.35 mg SK-MEL-2 (human skin malignant melanoma) whole cell lysate with ab271057 at 1/30 dilution (2ug in 0.35mg lysates). Western blot was performed on the immunoprecipitate using ab271057 at 1/1000 dilution. VeriBlot for IP secondary antibody(HRP)(ab131366) was used at 1/5000 dilution.

Lane 1 : SK-MEL-2 (human skin malignant melanoma) whole cell lysate 10 ug

Lane 2 : ab271057 IP in SK-MEL-2 whole cell lysate

Lane 3 : Rabbit monoclonal IgG (ab172730) instead of ab271057 in SK-MEL-2 whole cell lysate

Blocking and dilution buffer and concentration : 5% NFDM/TBST.

Exposure time : 67 seconds

All lanes:

Immunoprecipitation - Anti-MAGEA10 antibody [EPR24366-89] (<a href='/en-us/products/primary-antibodies/magea10-antibody-epr24366-89-ab271057'>ab271057</a>)

Predicted band size: 41 kDa

Observed band size: 65 kDa

false

Western blot - Anti-MAGEA10 antibody [EPR24366-89] - BSA and Azide free (AB282590)
  • WB

Lab

Western blot - Anti-MAGEA10 antibody [EPR24366-89] - BSA and Azide free (AB282590)

This data was developed using ab271057, the same antibody clone in a different buffer formulation.

Blocking and diluting buffer and concentration : 5% NFDM/TBST

Negative control : 293T (PMID : 10446460)

Exposure time : Lane 1 : 3.75 seconds Lane 2-4 : 36 seconds

All lanes:

Western blot - Anti-MAGEA10 antibody [EPR24366-89] (<a href='/en-us/products/primary-antibodies/magea10-antibody-epr24366-89-ab271057'>ab271057</a>) at 1/1000 dilution

Lane 1:

SK-MEL-2 (human skin malignant melanoma), whole cell lysate at 20 µg

Lane 2:

A375 (human malignant melanoma epithelial cell), whole cell lysate at 20 µg

Lane 3:

SH-SY5Y (human neuroblastoma epithelial cell), whole cell lysate at 20 µg

Lane 4:

293T (human embryonic kidney epithelial cell), whole cell lysate at 20 µg

Secondary

All lanes:

Western blot - Goat Anti-Rabbit IgG H&L (HRP) (<a href='/en-us/products/secondary-antibodies/goat-rabbit-igg-h-l-hrp-ab97051'>ab97051</a>) at 1/100000 dilution

Predicted band size: 41 kDa

Observed band size: 65 kDa

false

Western blot - Anti-MAGEA10 antibody [EPR24366-89] - BSA and Azide free (AB282590)
  • WB

Lab

Western blot - Anti-MAGEA10 antibody [EPR24366-89] - BSA and Azide free (AB282590)

This data was developed using ab271057, the same antibody clone in a different buffer formulation.

Blocking and diluting buffer and concentration : 5% NFDM/TBST

Negative control : Colon, liver (PMID : 10446460).

This blot was developed using a higher sensitivity ECL substrate.

Exposure time : 3 minutes

All lanes:

Western blot - Anti-MAGEA10 antibody [EPR24366-89] (<a href='/en-us/products/primary-antibodies/magea10-antibody-epr24366-89-ab271057'>ab271057</a>) at 1/1000 dilution

Lane 1:

Human placenta tissue lysate at 20 µg

Lane 2:

Human colon tissue lysate at 20 µg

Lane 3:

Human liver tissue lysate at 20 µg

Secondary

All lanes:

Western blot - VeriBlot for IP Detection Reagent (HRP) (<a href='/en-us/products/reagents/veriblot-for-ip-detection-reagent-hrp-ab131366'>ab131366</a>) at 1/1000 dilution

Predicted band size: 41 kDa

Observed band size: 65 kDa

false

Key facts

Host species

Rabbit

Clonality

Monoclonal

Clone number

EPR24366-89

Isotype

IgG

Carrier free

Yes

Reacts with

Human

Applications

Flow Cyt (Intra), WB, IHC-P, ICC/IF, IP

applications

Immunogen

The exact immunogen used to generate this antibody is proprietary information.

Reactivity data

{ "title": "Reactivity Data", "filters": { "stats": ["", "Species", "Dilution Info", "Notes"], "tabs": { "all-applications": {"fullname" : "All Applications", "shortname": "All Applications"}, "ICCIF" : {"fullname" : "Immunocytochemistry/ Immunofluorescence", "shortname":"ICC/IF"}, "IP" : {"fullname" : "Immunoprecipitation", "shortname":"IP"}, "FlowCytIntra" : {"fullname" : "Flow Cytometry (Intracellular)", "shortname":"Flow Cyt (Intra)"}, "WB" : {"fullname" : "Western blot", "shortname":"WB"}, "IHCP" : {"fullname" : "Immunohistochemistry (Formalin/PFA-fixed paraffin-embedded sections)", "shortname":"IHC-P"} }, "product-promise": { "all": "all", "testedAndGuaranteed": "tested", "guaranteed": "expected", "predicted": "predicted", "notRecommended": "not-recommended" } }, "values": { "Human": { "ICCIF-species-checked": "testedAndGuaranteed", "ICCIF-species-dilution-info": "", "ICCIF-species-notes": "<p></p>", "IP-species-checked": "testedAndGuaranteed", "IP-species-dilution-info": "", "IP-species-notes": "<p></p>", "FlowCytIntra-species-checked": "testedAndGuaranteed", "FlowCytIntra-species-dilution-info": "", "FlowCytIntra-species-notes": "<p></p>", "WB-species-checked": "testedAndGuaranteed", "WB-species-dilution-info": "", "WB-species-notes": "<p></p>", "IHCP-species-checked": "testedAndGuaranteed", "IHCP-species-dilution-info": "", "IHCP-species-notes": "<p></p>" }, "Mouse": { "ICCIF-species-checked": "notRecommended", "ICCIF-species-dilution-info": "", "ICCIF-species-notes": "", "IP-species-checked": "notRecommended", "IP-species-dilution-info": "", "IP-species-notes": "", "FlowCytIntra-species-checked": "notRecommended", "FlowCytIntra-species-dilution-info": "", "FlowCytIntra-species-notes": "", "WB-species-checked": "notRecommended", "WB-species-dilution-info": "", "WB-species-notes": "<p></p>", "IHCP-species-checked": "notRecommended", "IHCP-species-dilution-info": "", "IHCP-species-notes": "<p></p>" }, "Rat": { "ICCIF-species-checked": "notRecommended", "ICCIF-species-dilution-info": "", "ICCIF-species-notes": "", "IP-species-checked": "notRecommended", "IP-species-dilution-info": "", "IP-species-notes": "", "FlowCytIntra-species-checked": "notRecommended", "FlowCytIntra-species-dilution-info": "", "FlowCytIntra-species-notes": "", "WB-species-checked": "notRecommended", "WB-species-dilution-info": "", "WB-species-notes": "<p></p>", "IHCP-species-checked": "notRecommended", "IHCP-species-dilution-info": "", "IHCP-species-notes": "<p></p>" } } }

Product details

ab282590 is the carrier-free version of ab271057.

Patented technology
Our RabMAb® technology is a patented hybridoma-based technology for making rabbit monoclonal antibodies. For details on our patents, please refer to RabMAb® patents.

What are the advantages of a recombinant monoclonal antibody?
This product is a recombinant monoclonal antibody, which offers several advantages including:

  • - High batch-to-batch consistency and reproducibility
  • - Improved sensitivity and specificity
  • - Long-term security of supply
  • - Animal-free batch production

For more information, read more on recombinant antibodies.

Conjugation ready
Our carrier-free antibodies are typically supplied in a PBS-only formulation, purified and free of BSA, sodium azide and glycerol. This conjugation-ready format is designed for use with fluorochromes, metal isotopes, oligonucleotides, and enzymes, which makes them ideal for antibody labelling, functional and cell-based assays, flow-based assays (e.g. mass cytometry) and Multiplex Imaging applications.

Use our conjugation kits for antibody conjugates that are ready-to-use in as little as 20 minutes with 1 minute hands-on-time and 100% antibody recovery: available for fluorescent dyes, HRP, biotin and gold.

Compatibility
This product is compatible with the Maxpar® Antibody Labeling Kit from Fluidigm, without the need for antibody preparation. Maxpar® is a trademark of Fluidigm Canada Inc.

Properties and storage information

Form
Liquid
Purification technique
Affinity purification Protein A
Storage buffer
Constituents: PBS
Shipped at conditions
Blue Ice
Appropriate short-term storage conditions
+4°C
Appropriate long-term storage conditions
+4°C

Supplementary information

This supplementary information is collated from multiple sources and compiled automatically.

MAGEA10 also known as Melanoma Antigen Family A 10 is a member of the MAGE (Melanoma Antigen Gene) family. This protein has a molecular mass of about 36 kDa. MAGEA10 is expressed in various tumor cells and some male germline cells in the testis but not in normal somatic tissues. The expression pattern makes it an interesting target for cancer research and potential therapeutic interventions.
Biological function summary

The function of MAGEA10 remains not fully understood but it likely plays a role in cell proliferation and survival. It is not a component of any known protein complex. Research suggests that MAGEA10 might modulate cellular processes by interacting with other proteins impacting pathways related to oncogenesis and cell cycle regulation.

Pathways

MAGEA10 appears to be involved in critical pathways associated with cancer progression and possibly immune evasion. It interacts with proteins involved in cell signaling pathways such as the p53 pathway which is pivotal in regulating the cell cycle and apoptosis. MAGEA10 may influence these pathways by affecting gene transcription and modulating protein-protein interactions.

MAGEA10 has a strong connection to cancer particularly in melanoma and lung cancer. Overexpression of MAGEA10 in these cancers suggests a possible role in tumor growth and metastasis. The protein is part of cancer-testis antigens similar to MAGEA1 another member of the same family implicated in various malignancies suggesting that targeting MAGEA10 could aid in developing specific cancer immunotherapies.

Product protocols

For this product, it's our understanding that no specific protocols are required. You can visit:

Target data

Not known, though may play a role in embryonal development and tumor transformation or aspects of tumor progression.
See full target information MAGEA10

Product promise

We are committed to supporting your work with high-quality reagents, and we're here for you every step of the way. In the unlikely event that one of our products does not perform as expected, you're protected by our Product Promise.
For full details, please see our Terms & Conditions

Please note: All products are 'FOR RESEARCH USE ONLY. NOT FOR USE IN DIAGNOSTIC OR THERAPEUTIC PROCEDURES'.

For licensing inquiries, please contact partnerships@abcam.com