JavaScript is disabled in your browser. Please enable JavaScript to view this website.
AB229011

Anti-MAGEA4 antibody

Be the first to review this product! Submit a review

|

(6 Publications)

Rabbit Polyclonal MAGEA4 antibody. Suitable for WB, IHC-P, ICC/IF and reacts with Human samples. Cited in 6 publications. Immunogen corresponding to Recombinant Fragment Protein within Human MAGEA4.

View Alternative Names

MAGE4, MAGEA4, Melanoma-associated antigen 4, Cancer/testis antigen 1.4, MAGE-4 antigen, MAGE-41 antigen, MAGE-X2 antigen, CT1.4

4 Images
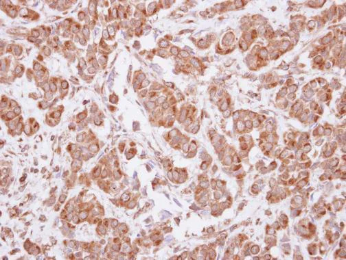
Immunohistochemistry (Formalin/PFA-fixed paraffin-embedded sections) - Anti-MAGEA4 antibody (AB229011)
  • IHC-P

Supplier Data

Immunohistochemistry (Formalin/PFA-fixed paraffin-embedded sections) - Anti-MAGEA4 antibody (AB229011)

Paraffin-embedded human breast cancer tissue stained for MAGEA4 using ab229011 at 1/500 dilution in immunohistochemical analysis.

Immunocytochemistry/ Immunofluorescence - Anti-MAGEA4 antibody (AB229011)
  • ICC/IF

Supplier Data

Immunocytochemistry/ Immunofluorescence - Anti-MAGEA4 antibody (AB229011)

4% paraformaldehyde-fixed A-375 (human malignant melanoma cell line) cells stained for MAGEA4 (green) using ab229011 at 1/500 dilution in ICC/IF.

Nuclear counterstain : Hoechst 33342 (blue).

Western blot - Anti-MAGEA4 antibody (AB229011)
  • WB

Supplier Data

Western blot - Anti-MAGEA4 antibody (AB229011)

12% SDS-PAGE gel.

All lanes:

Western blot - Anti-MAGEA4 antibody (ab229011) at 1/2000 dilution

All lanes:

A549 (human lung carcinoma cell line) whole cell lysate at 30 µg

Predicted band size: 35 kDa

false

Western blot - Anti-MAGEA4 antibody (AB229011)
  • WB

Lab

Western blot - Anti-MAGEA4 antibody (AB229011)

False colour image of Western blot : Anti-MAGEA4 antibody staining at 1/500 dilution, shown in green; Mouse anti-Alpha Tubulin [DM1A] (ab7291) loading control staining at 1/20000 dilution, shown in red. In Western blot, ab229011 was shown to bind specifically to MAGEA4. A band was observed at 40 kDa in wild-type A431 cell lysates with no signal observed at this size in MAGEA4 knockout cell line ab273857 (knockout cell lysate ab273811). To generate this image, wild-type and MAGEA4 knockout A431 cell lysates were analysed. First, samples were run on an SDS-PAGE gel then transferred onto a nitrocellulose membrane. Membranes were blocked in 5 % milk in TBS-0.1 % Tween® 20 (TBS-T) before incubation with primary antibodies overnight at 4 °C. Blots were washed four times in TBS-T, incubated with secondary antibodies for 1 h at room temperature, washed again four times then imaged. Secondary antibodies used were Goat anti-Rabbit IgG H&L 800CW and Goat anti-Mouse IgG H&L 680RD at 1/20000 dilution.

All lanes:

SH-SY5Y cell lysate at 1/500 dilution

Lane 1:

Wild-type A431 cell lysate at 20 µg

Lane 2:

Western blot - Human MAGEA4 knockout A-431 cell lysate (ab273811) at 20 µg

Lane 3:

U-2 OS cell lysate at 20 µg

Lane 4:

Western blot at 20 µg

Secondary

All lanes:

Goat anti-Rabbit IgG H&L 800CW and Goat anti-Mouse IgG H&L 680RD at 1/20000 dilution

Observed band size: 40 kDa

false

Key facts

Host species

Rabbit

Clonality

Polyclonal

Isotype

IgG

Carrier free

No

Reacts with

Human

Applications

ICC/IF, WB, IHC-P

applications

Immunogen

Recombinant Fragment Protein within Human MAGEA4. The exact immunogen used to generate this antibody is proprietary information.

P43358

Reactivity data

{ "title": "Reactivity Data", "filters": { "stats": ["", "Species", "Dilution Info", "Notes"], "tabs": { "all-applications": {"fullname" : "All Applications", "shortname": "All Applications"}, "WB" : {"fullname" : "Western blot", "shortname":"WB"}, "IHCP" : {"fullname" : "Immunohistochemistry (Formalin/PFA-fixed paraffin-embedded sections)", "shortname":"IHC-P"}, "ICCIF" : {"fullname" : "Immunocytochemistry/ Immunofluorescence", "shortname":"ICC/IF"} }, "product-promise": { "all": "all", "testedAndGuaranteed": "tested", "guaranteed": "expected", "predicted": "predicted", "notRecommended": "not-recommended" } }, "values": { "Human": { "WB-species-checked": "testedAndGuaranteed", "WB-species-dilution-info": "1/500 - 1/3000", "WB-species-notes": "<p></p>", "IHCP-species-checked": "testedAndGuaranteed", "IHCP-species-dilution-info": "1/100 - 1/1000", "IHCP-species-notes": "<p></p>", "ICCIF-species-checked": "testedAndGuaranteed", "ICCIF-species-dilution-info": "1/100 - 1/1000", "ICCIF-species-notes": "<p></p>" }, "Rhesus monkey": { "WB-species-checked": "predicted", "WB-species-dilution-info": "", "WB-species-notes": "", "IHCP-species-checked": "predicted", "IHCP-species-dilution-info": "", "IHCP-species-notes": "", "ICCIF-species-checked": "predicted", "ICCIF-species-dilution-info": "", "ICCIF-species-notes": "" } } }

Properties and storage information

Form
Liquid
Purification technique
Affinity purification Immunogen
Storage buffer
pH: 7 Preservative: 0.01% Thimerosal (merthiolate) Constituents: PBS, 20% Glycerol (glycerin, glycerine), 1% BSA
Shipped at conditions
Blue Ice
Appropriate short-term storage duration
1-2 weeks
Appropriate short-term storage conditions
+4°C
Appropriate long-term storage conditions
-20°C
Aliquoting information
Upon delivery aliquot
Storage information
Avoid freeze / thaw cycle

Supplementary information

This supplementary information is collated from multiple sources and compiled automatically.

MAGEA4 also known as MAGE-A4 is part of the melanoma-associated antigen family. This protein is encoded by the MAGEA4 gene and is characterized by a molecular mass of approximately 42 kDa. Its expression is limited to certain tissues including the testis and is often silent in normal somatic tissues. However MAGEA4 is frequently found in various types of tumors making it a target of interest for cancer research and therapy.
Biological function summary

MAGEA4 participates in cellular processes related to cancer progression. Although not part of a multi-protein complex its presence in tumorous tissues suggests a role in modulating cellular mechanisms that favor tumor survival and proliferation. MAGEA4 does not directly interact with other proteins but might affect cellular pathways indirectly contributing to oncogenesis.

Pathways

MAGEA4 influences several cellular mechanisms that are related to cancer development. While it is not a central player in major biological pathways its function relates to processes affecting cell cycle regulation and apoptosis. This connection was observed in studies showing interactions with other cancer-related proteins like p53 suggesting that MAGEA4 can modify responses to apoptotic signals and may interact with or affect the TP53 pathway.

MAGEA4 is prominently linked to various cancers including melanomas and carcinomas such as lung cancer. Its frequent expression in tumor cells but not in normal tissues makes MAGEA4 a target for cancer immunotherapy. Additionally studies have shown that MAGEA4 may interfere with the immune system's ability to detect and destroy cancerous cells partly due to interactions with proteins like CTLA-4 further emphasizing its potential as a therapeutic target in oncology.

Product protocols

For this product, it's our understanding that no specific protocols are required. You can visit:

Target data

Regulates cell proliferation through the inhibition of cell cycle arrest at the G1 phase (PubMed : 22842486). Also negatively regulates p53-mediated apoptosis (PubMed : 22842486).
See full target information MAGEA4

Publications (6)

Recent publications for all applications. Explore the full list and refine your search

Medicine 102:e33908 PubMed37266606

2023

Involvement of NY-ESO-1 and MAGE-A4 in the pathogenesis of desmoid tumors.

Applications

Unspecified application

Species

Unspecified reactive species

Kazuhiko Hashimoto,Shunji Nishimura,Yu Shinyashiki,Tomohiko Ito,Ryosuke Kakinoki,Masao Akagi

Medicine 101:e29621 PubMed35839046

2022

PD-1, PD-L1, NY-ESO-1, and MAGE-A4 expression in cutaneous angiosarcoma: A case report.

Applications

Unspecified application

Species

Unspecified reactive species

Kazuhiko Hashimoto,Shunji Nishimura,Yu Shinyashiki,Tomohiko Ito,Hiroki Tanaka,Kazuhiro Ohtani,Ryosuke Kakinoki,Masao Akagi

European journal of histochemistry : EJH 66: PubMed35736245

2022

Clinicopathological assessment of cancer/testis antigens NY‑ESO‑1 and MAGE‑A4 in osteosarcoma.

Applications

Unspecified application

Species

Unspecified reactive species

Kazuhiko Hashimoto,Shunji Nishimura,Tomohiko Ito,Naohiro Oka,Ryosuke Kakinoki,Masao Akagi

European journal of histochemistry : EJH 66: PubMed35448937

2022

Immunohistochemical expression and clinicopathological assessment of PD-1, PD-L1, NY-ESO-1, and MAGE-A4 expression in highly aggressive soft tissue sarcomas.

Applications

Unspecified application

Species

Unspecified reactive species

Kazuhiko Hashimoto,Shunji Nishimura,Tomohiko Ito,Ryosuke Kakinoki,Masao Akagi

Diagnostics (Basel, Switzerland) 12: PubMed35328286

2022

Clinicopathological Assessment of Cancer/Testis Antigens NY-ESO-1 and MAGE-A4 in Highly Aggressive Soft Tissue Sarcomas.

Applications

Unspecified application

Species

Unspecified reactive species

Kazuhiko Hashimoto,Shunji Nishimura,Tomohiko Ito,Masao Akagi

Journal of molecular biology 434:167397 PubMed34896361

2021

The Final Maturation State of β-actin Involves N-terminal Acetylation by NAA80, not N-terminal Arginylation by ATE1.

Applications

Unspecified application

Species

Unspecified reactive species

Adrian Drazic,Evy Timmerman,Ulrike Kajan,Michaël Marie,Sylvia Varland,Francis Impens,Kris Gevaert,Thomas Arnesen
View all publications

Product promise

We are committed to supporting your work with high-quality reagents, and we're here for you every step of the way. In the unlikely event that one of our products does not perform as expected, you're protected by our Product Promise.
For full details, please see our Terms & Conditions

Please note: All products are 'FOR RESEARCH USE ONLY. NOT FOR USE IN DIAGNOSTIC OR THERAPEUTIC PROCEDURES'.

For licensing inquiries, please contact partnerships@abcam.com